HUIXTLA
ESCUINTLA
AKISHINO
AKISHINO2 USG
ESPECIALIDADES
Home
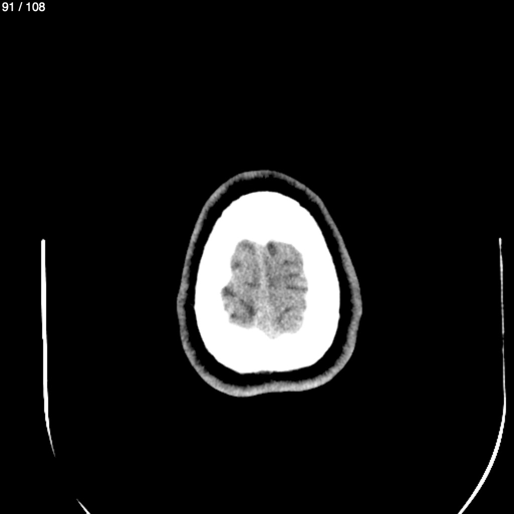
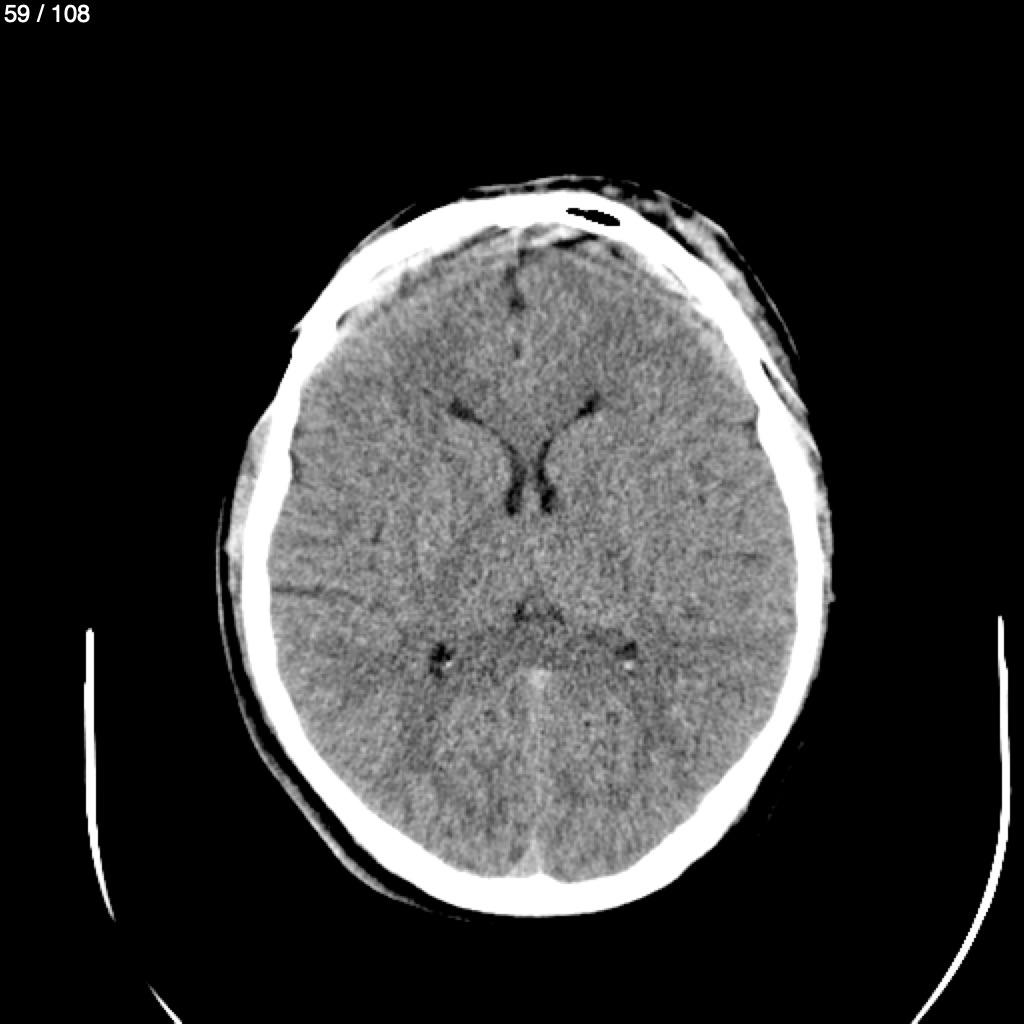
Alexander Daniel Ortiz - Cabeza Craneo_Trauma (Adulto)
Next Series
Show as Sequence