HUIXTLA
ESCUINTLA
AKISHINO
AKISHINO2 USG
ESPECIALIDADES
Home
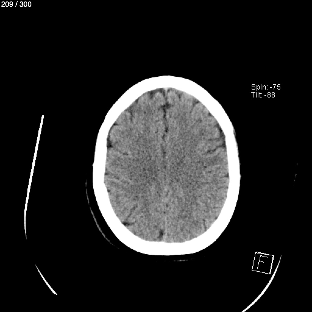
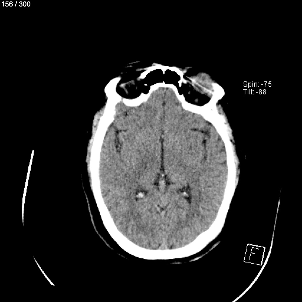
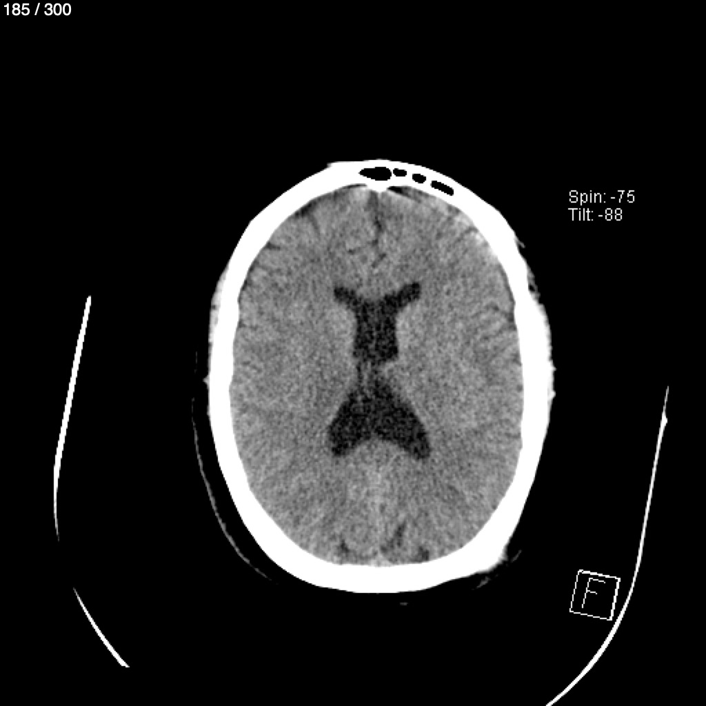
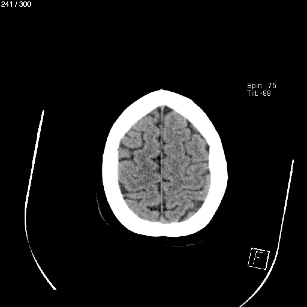
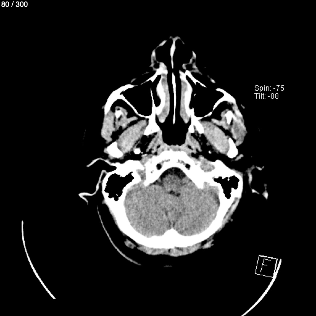
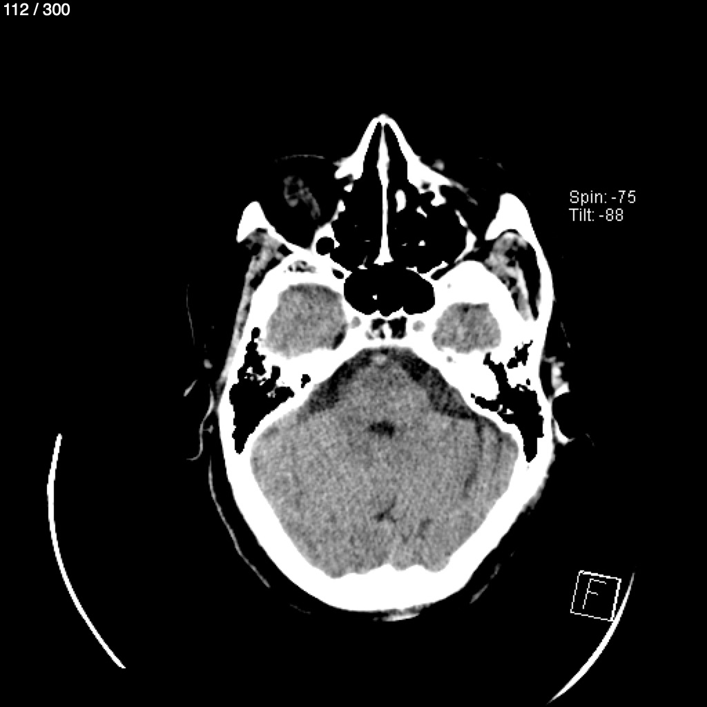
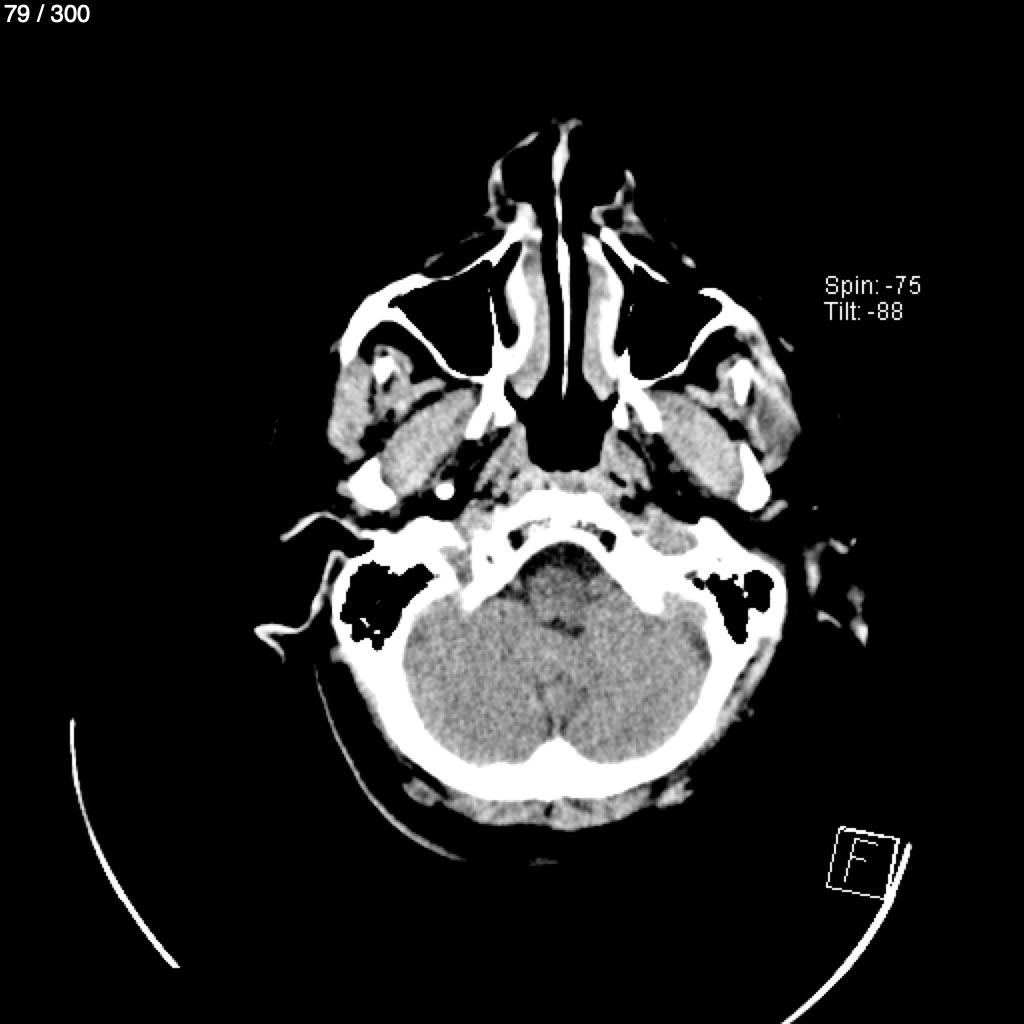
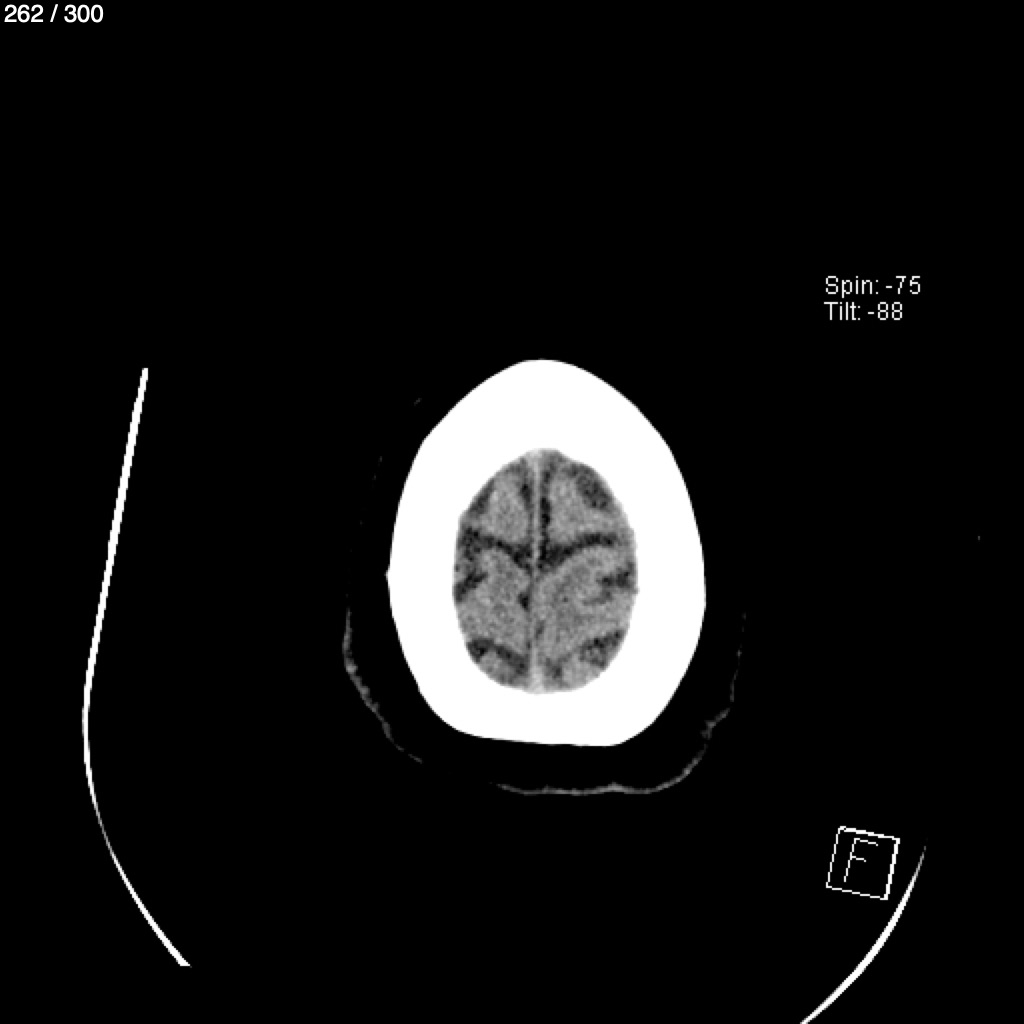
Audelia Edith Martinez Perez - Cabeza Simplecraneo (Adulto)
Next Series
Show as Sequence