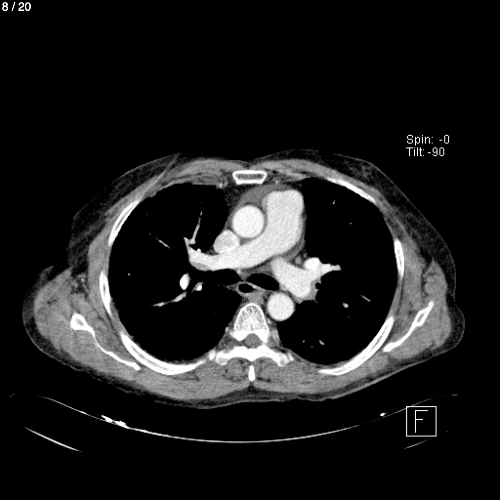
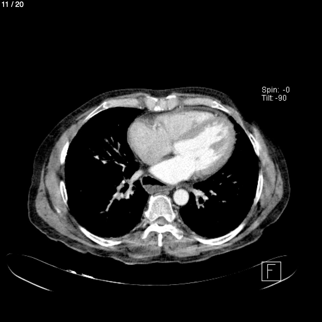
Home A​r​m​a​n​d​o​ ​Z​a​c​a​r​i​a​s​ ​M​u​ñ​o​z​ ​-​ ​T​ó​r​a​x​ ​T​o​r​a​x​_​S​y​c​ ​(​A​d​u​l​t​o​)