HUIXTLA
ESCUINTLA
AKISHINO
AKISHINO2 USG
ESPECIALIDADES
Home
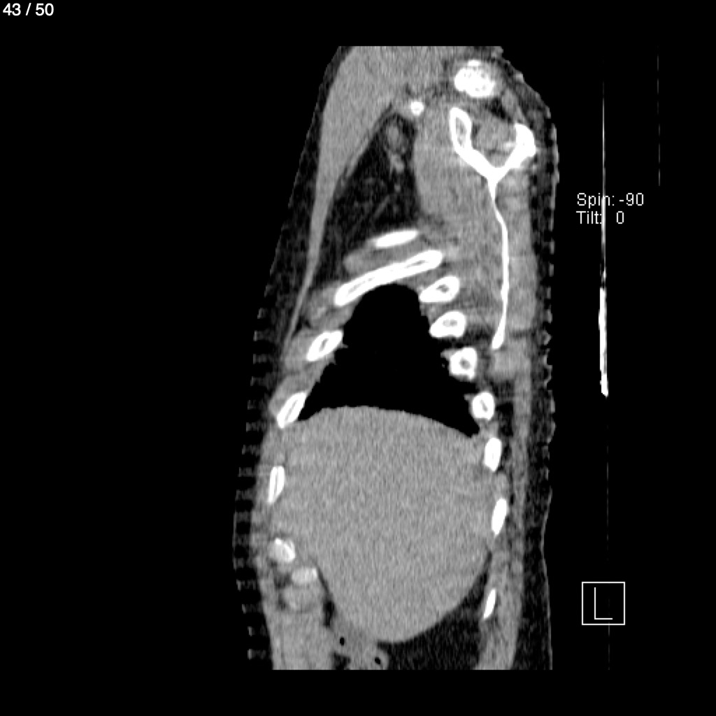
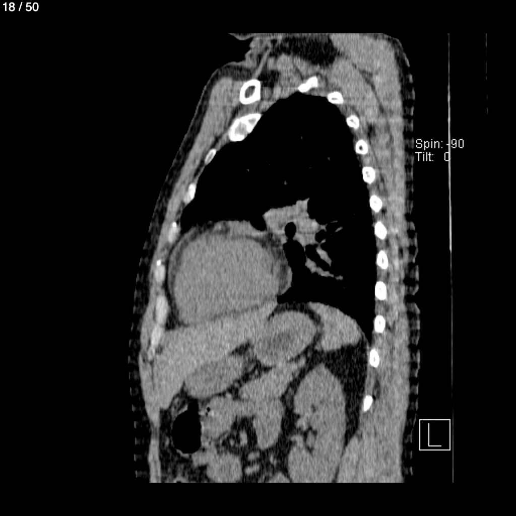
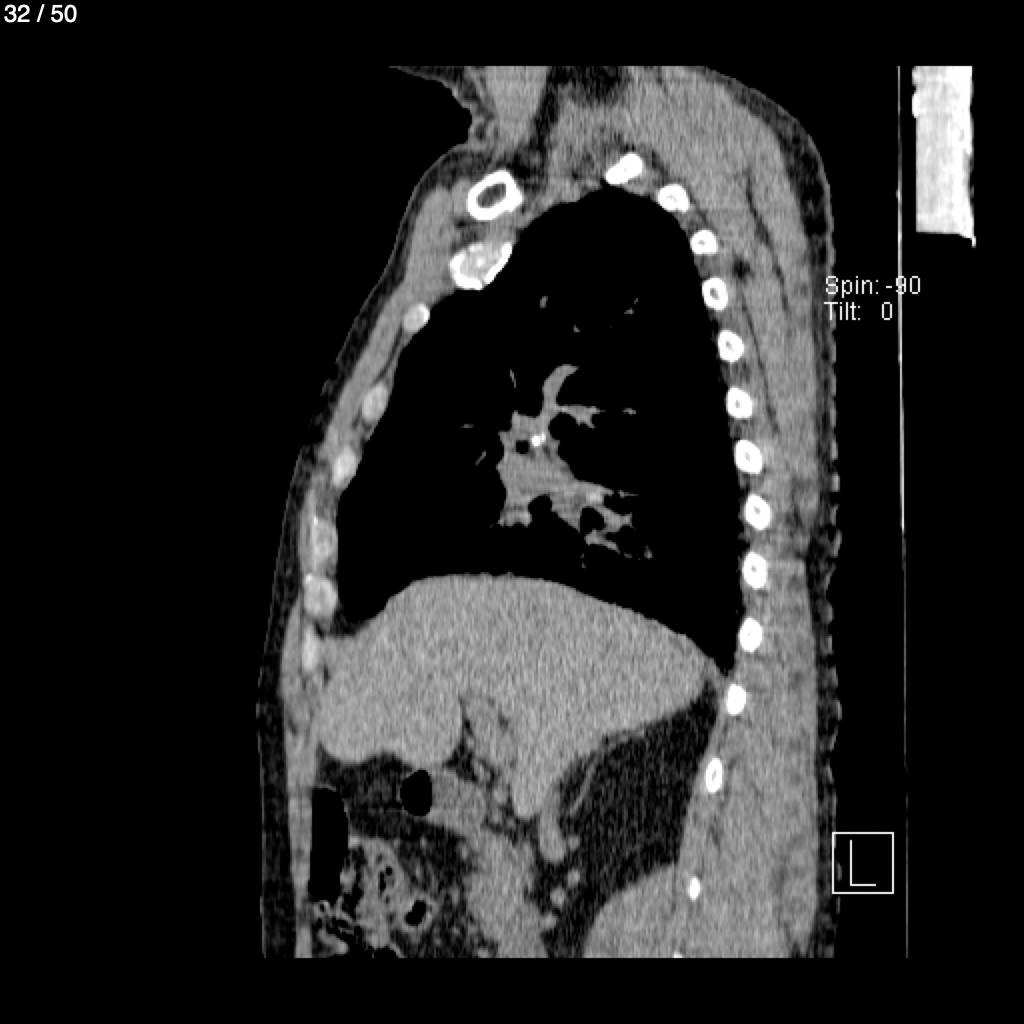
Armando Zacarias Muñoz - Tórax Torax_Syc (Adulto)
Previous Series
Next Series
Show as Sequence