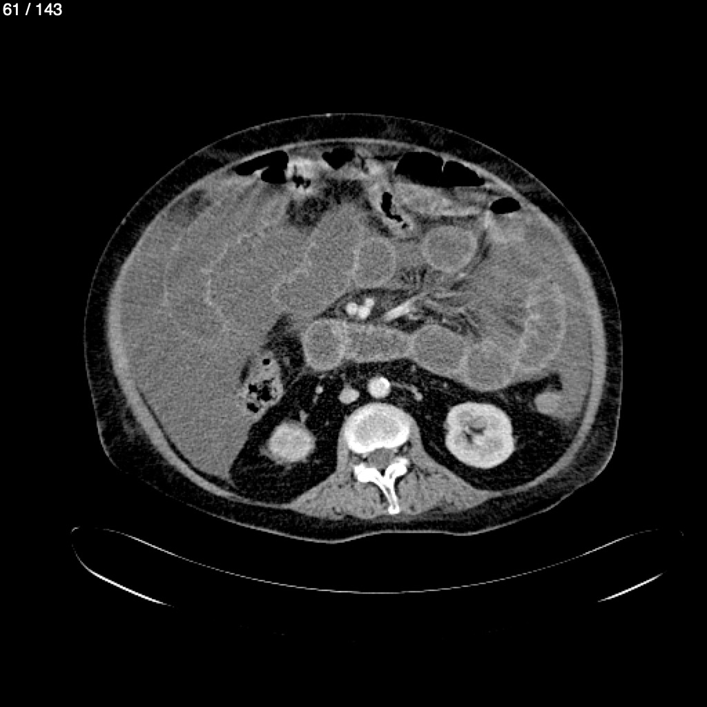
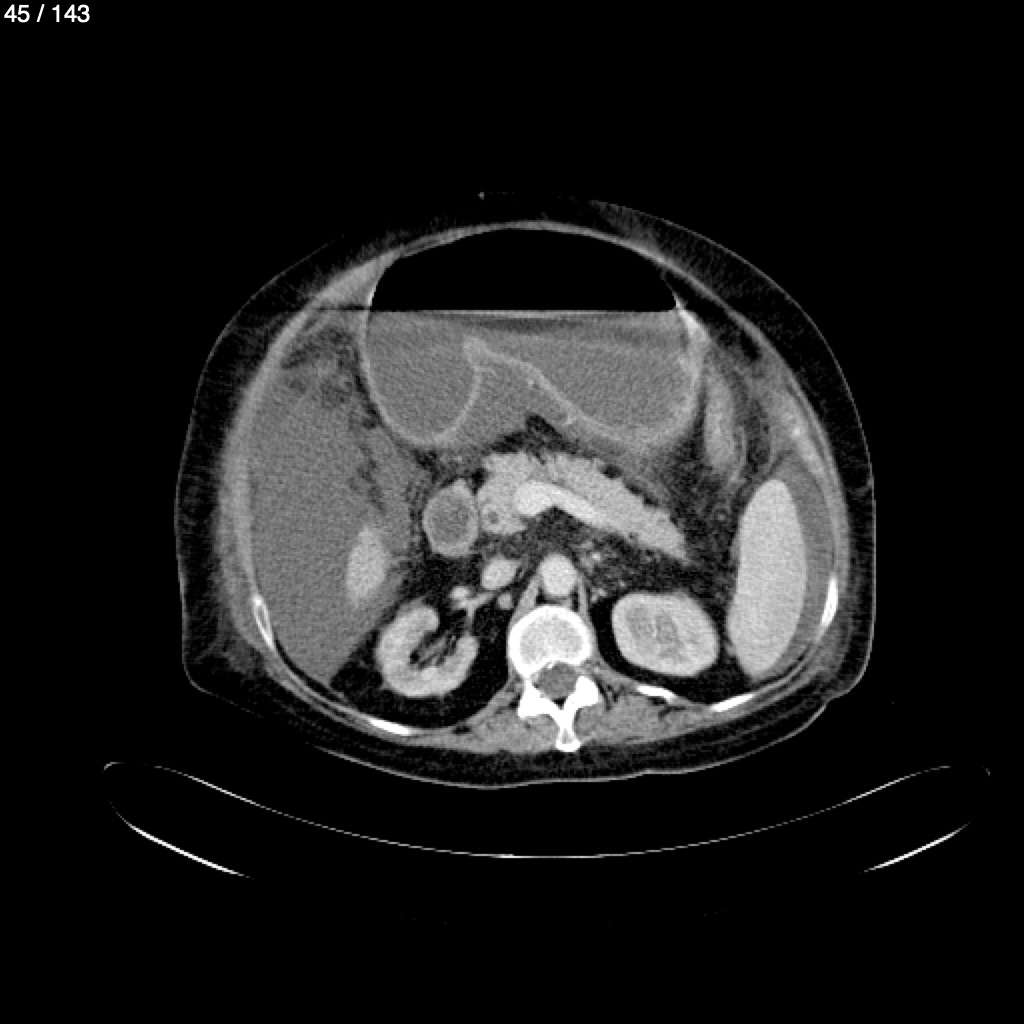
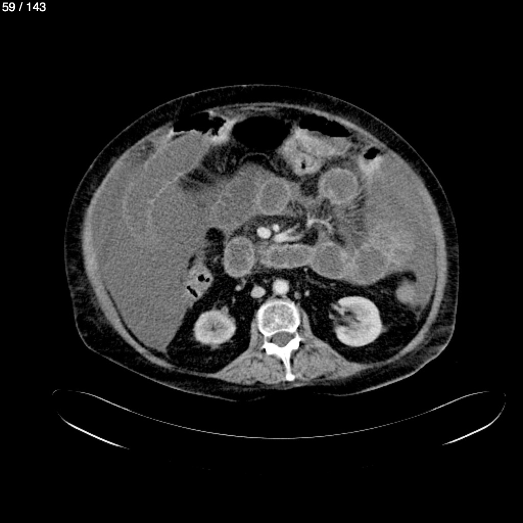
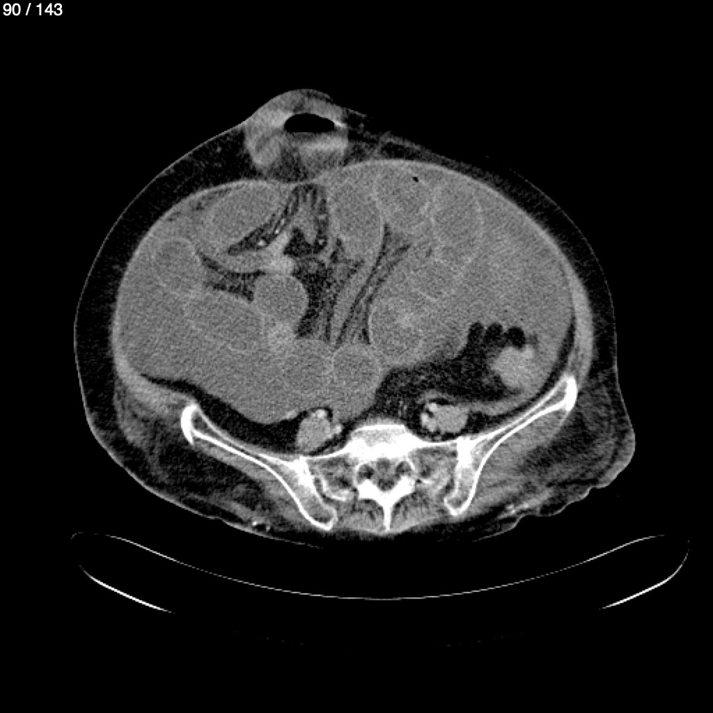
Home A​l​m​a​ ​D​e​l​i​a​ ​R​a​m​i​r​e​z​ ​R​a​m​o​s​ ​-​ ​A​b​d​o​m​e​n​ ​A​b​d​o​m​e​n​_​S​y​c​ ​(​A​d​u​l​t​o​)