HUIXTLA
ESCUINTLA
AKISHINO
AKISHINO2 USG
ESPECIALIDADES
Home
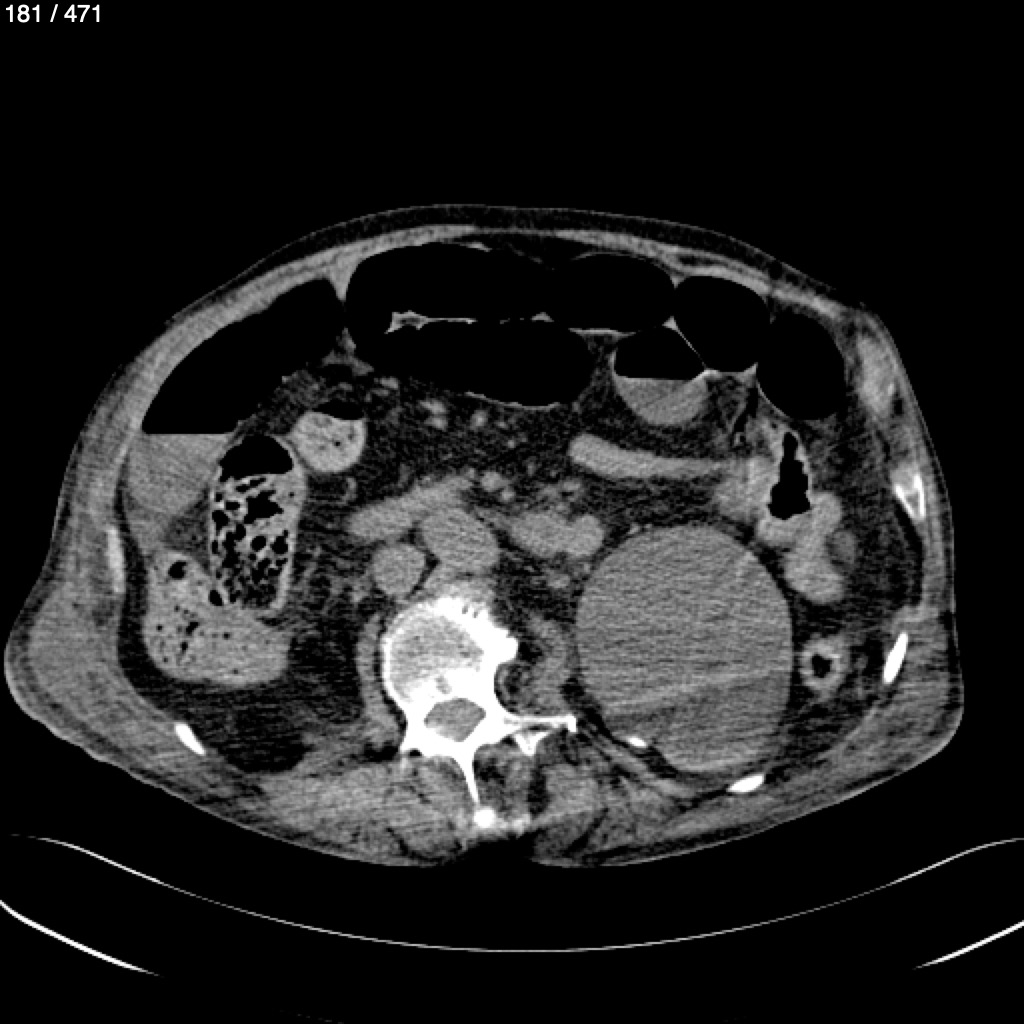
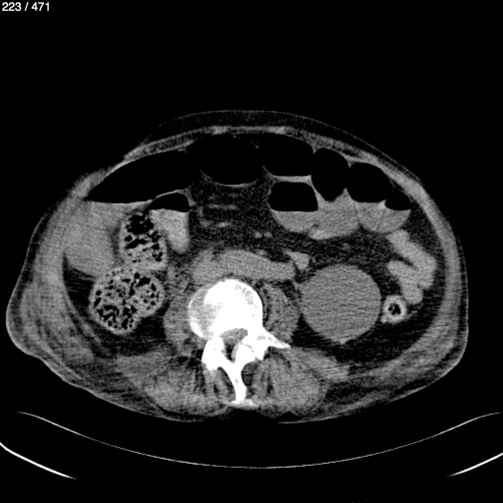
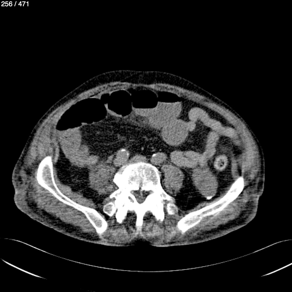
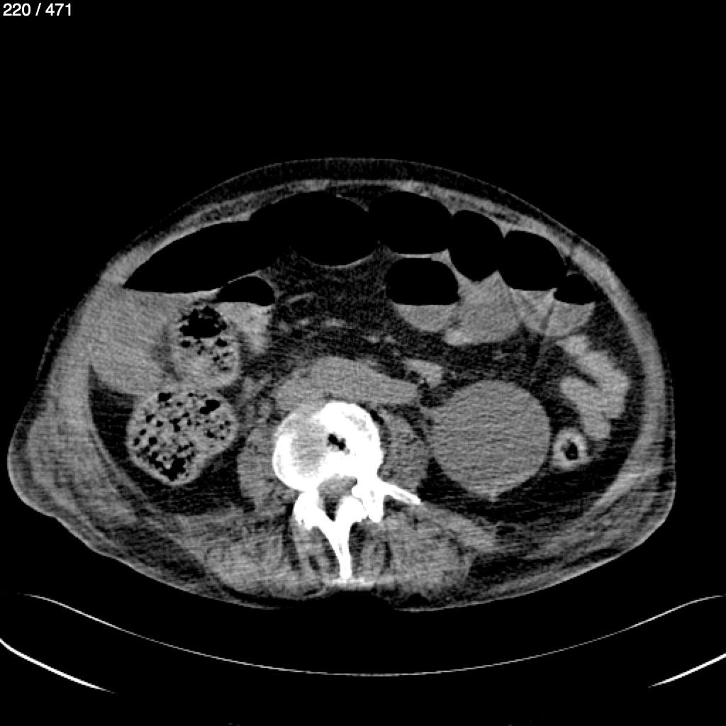
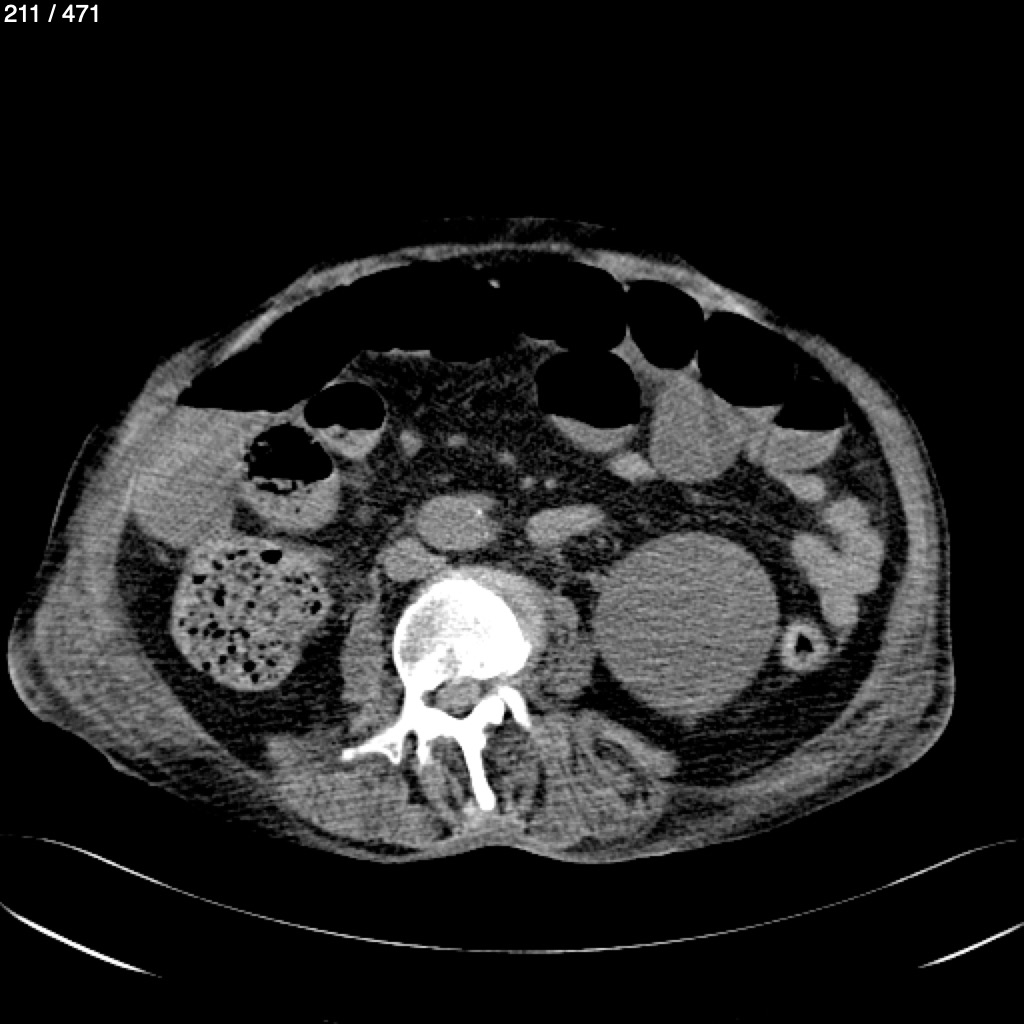
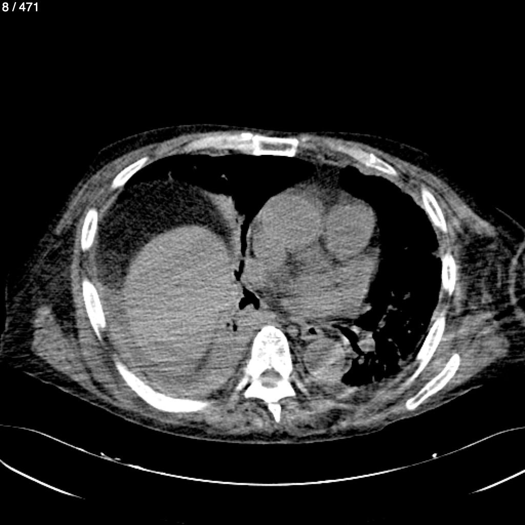
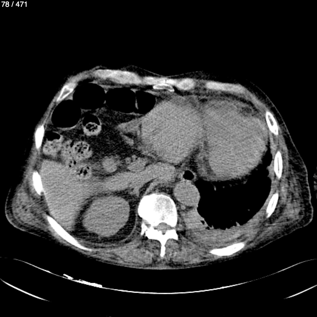
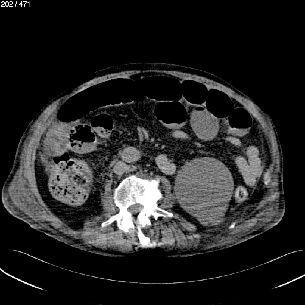
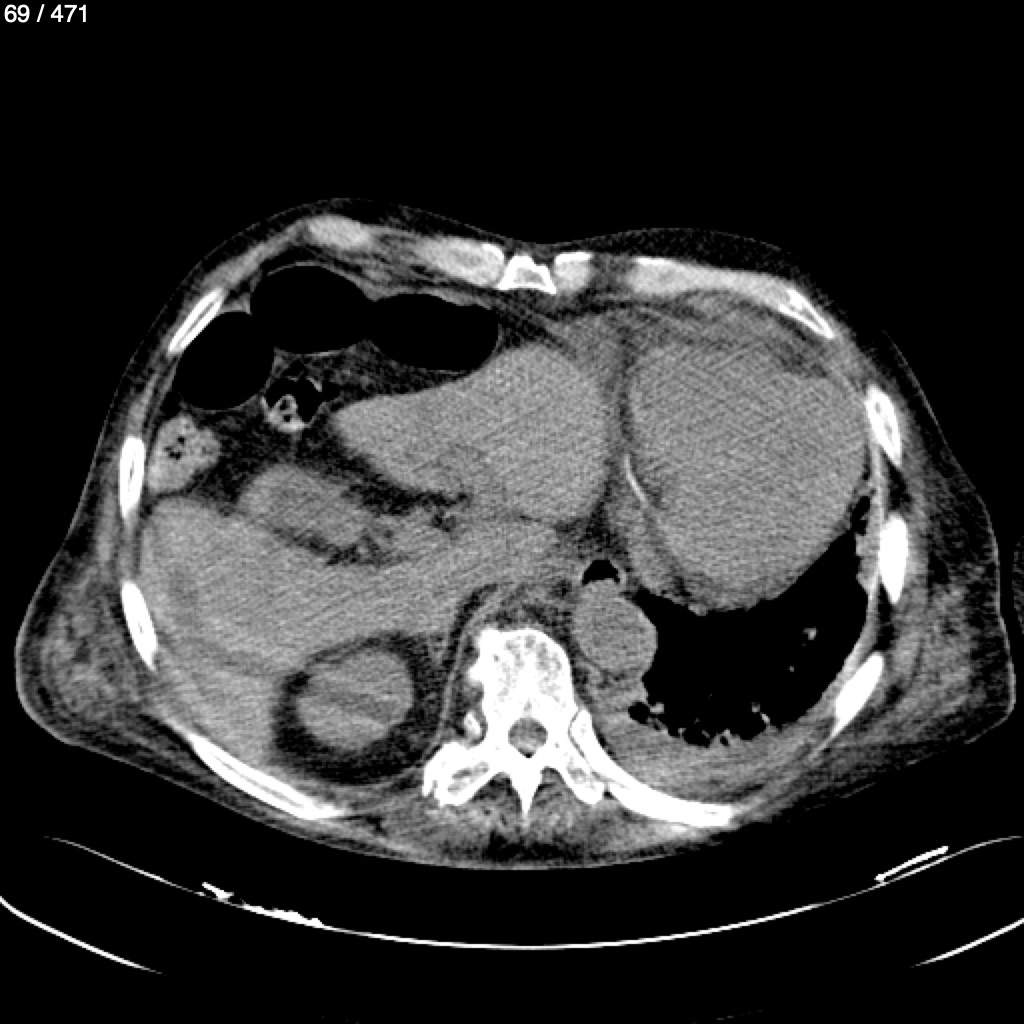
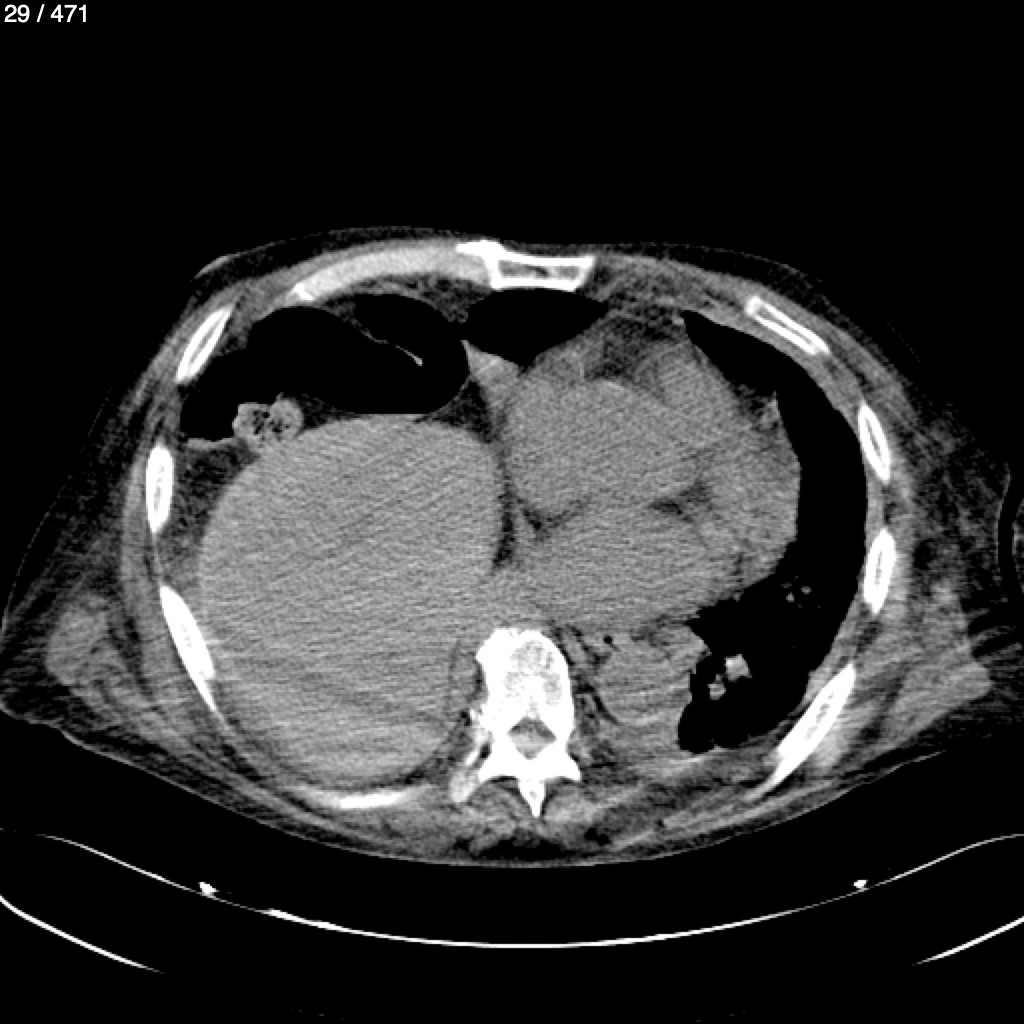
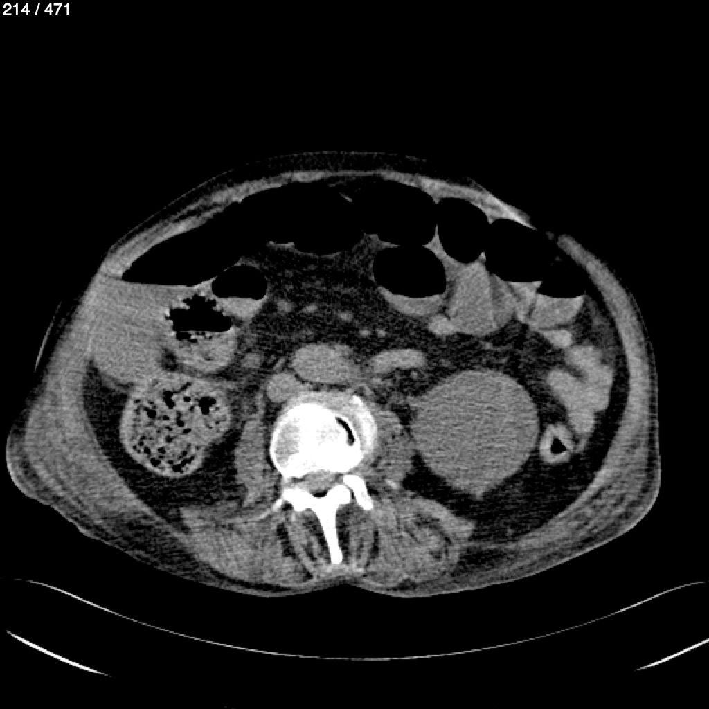
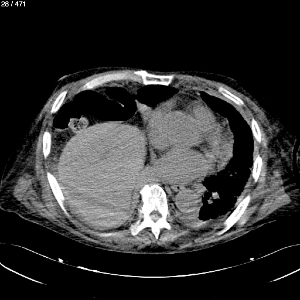
Amado Angel Perez - Abdomen Abdomen_Syc (Adulto)
Next Series
Show as Sequence