HUIXTLA
ESCUINTLA
AKISHINO
AKISHINO2 USG
ESPECIALIDADES
Home
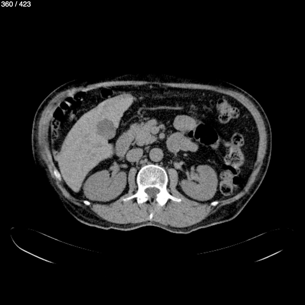
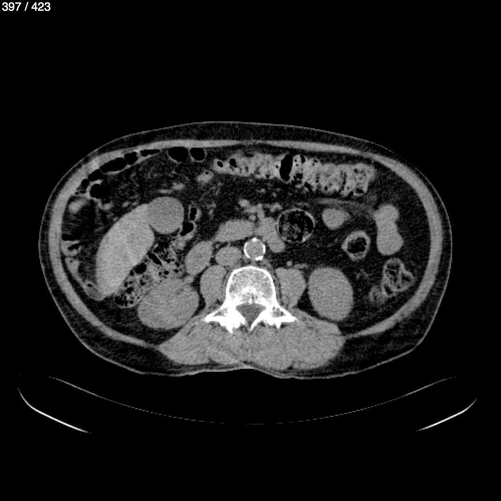
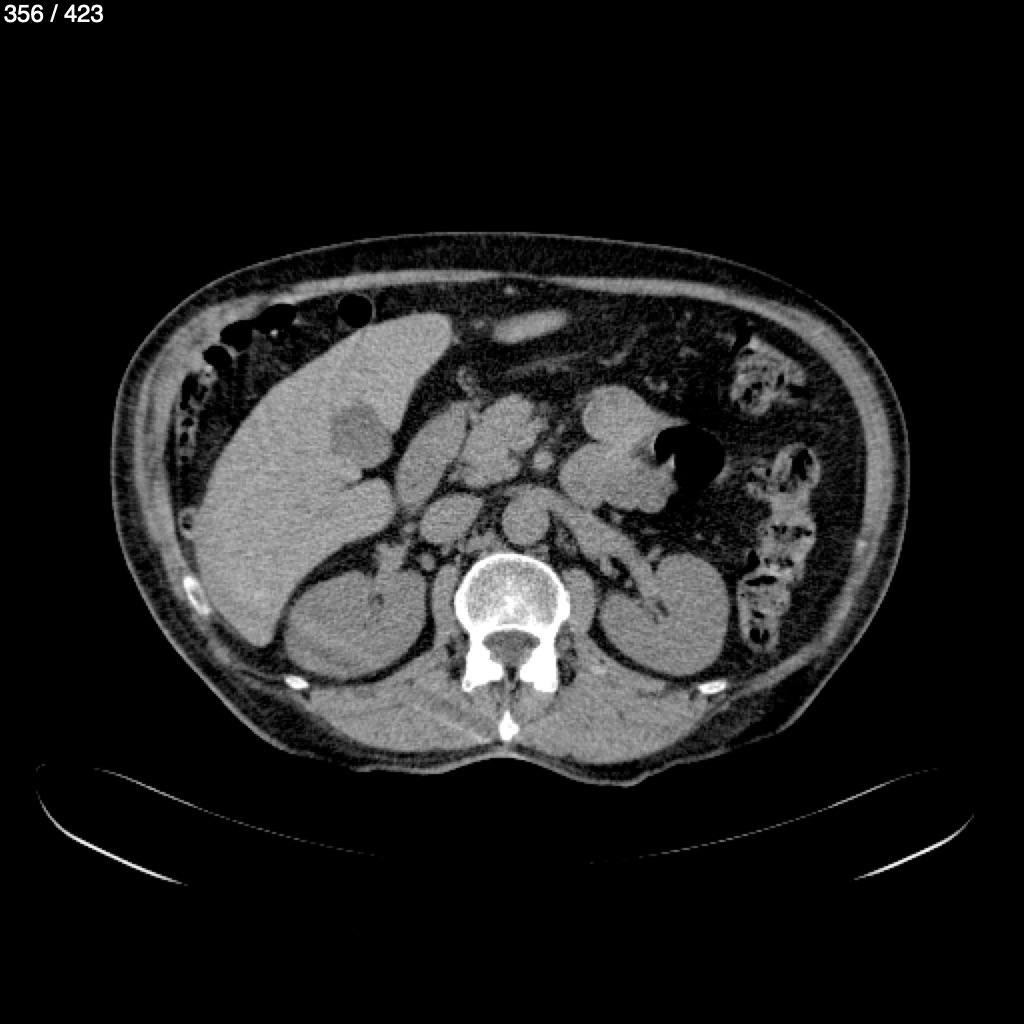
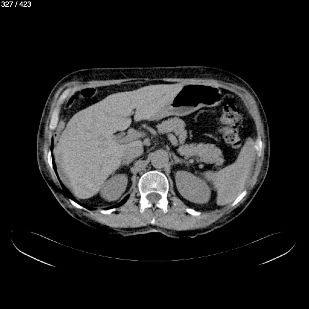
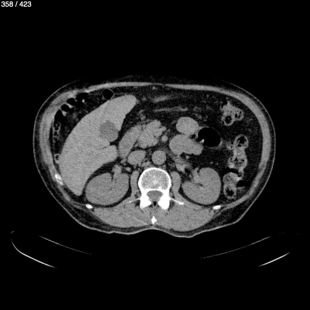
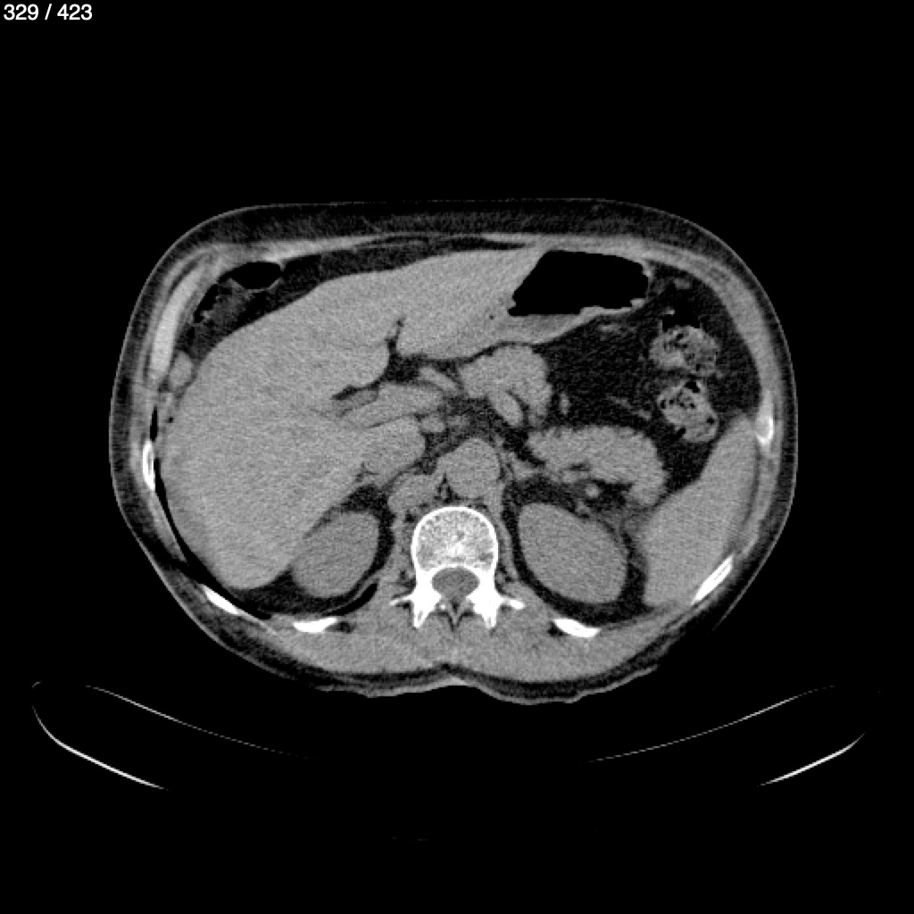
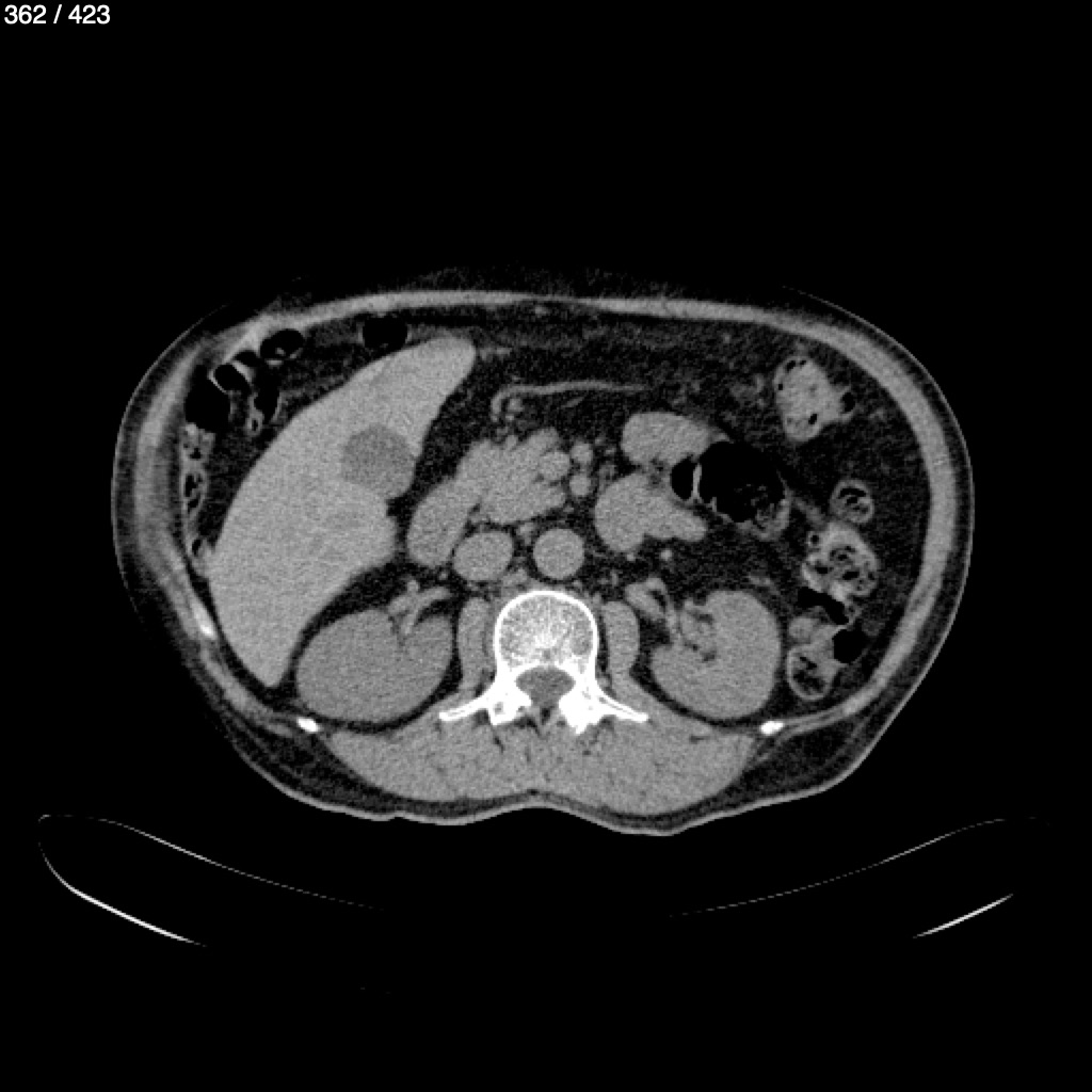
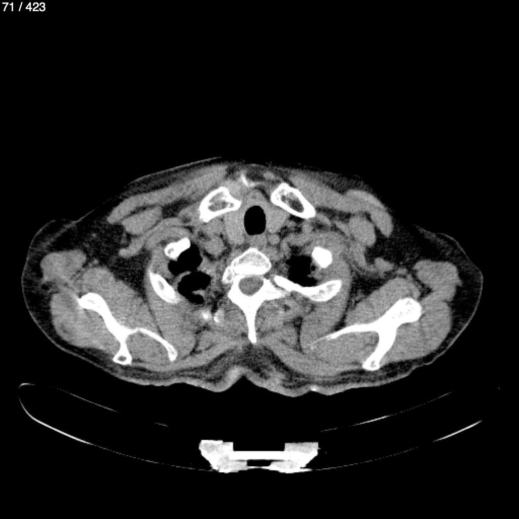
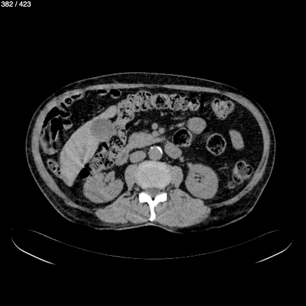
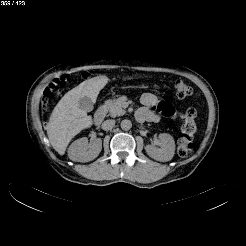
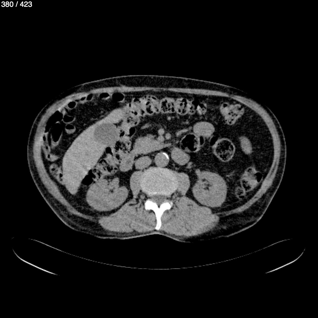
Agustin Navarro Perez - Tórax Torax_Simple (Adulto)
Next Series
Show as Sequence