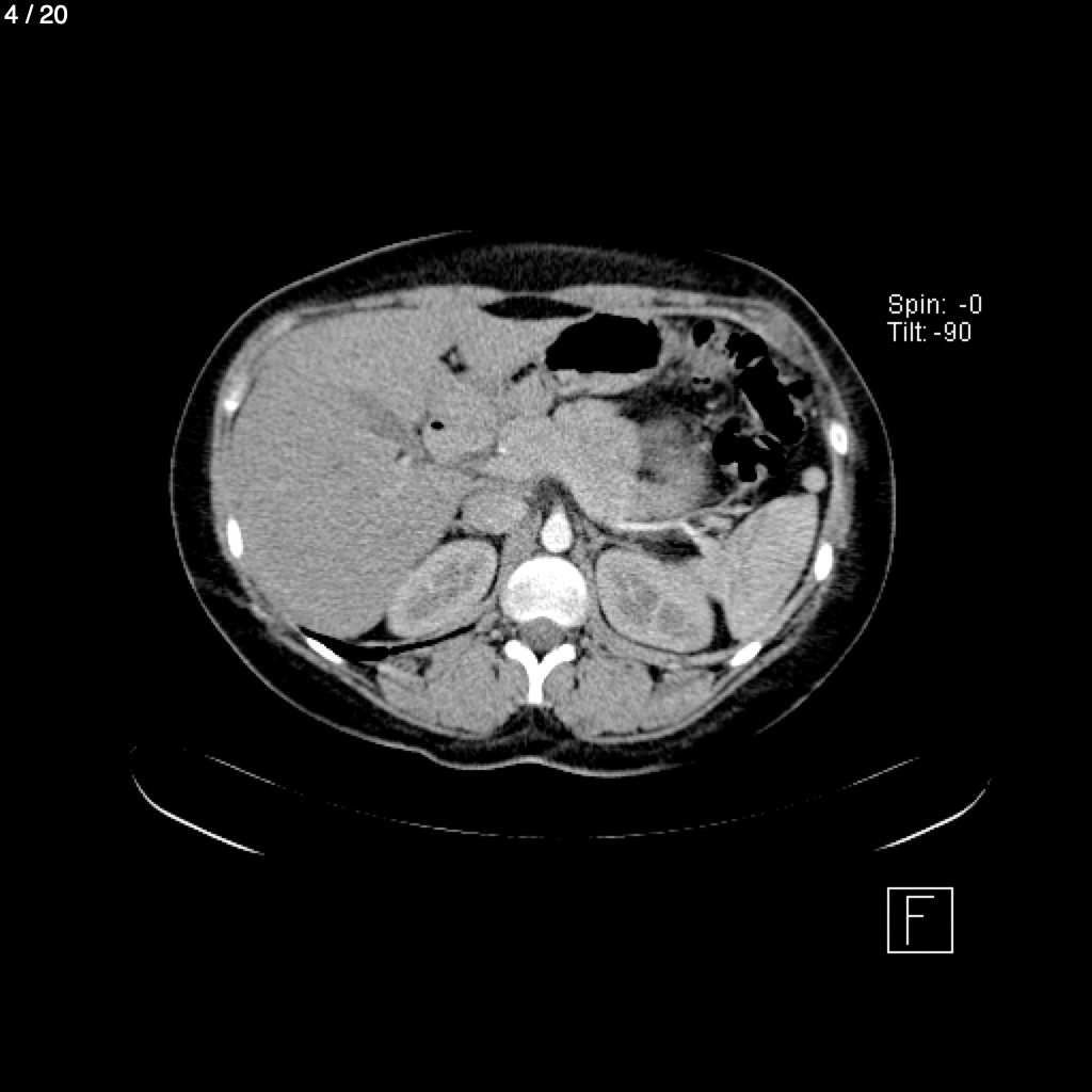
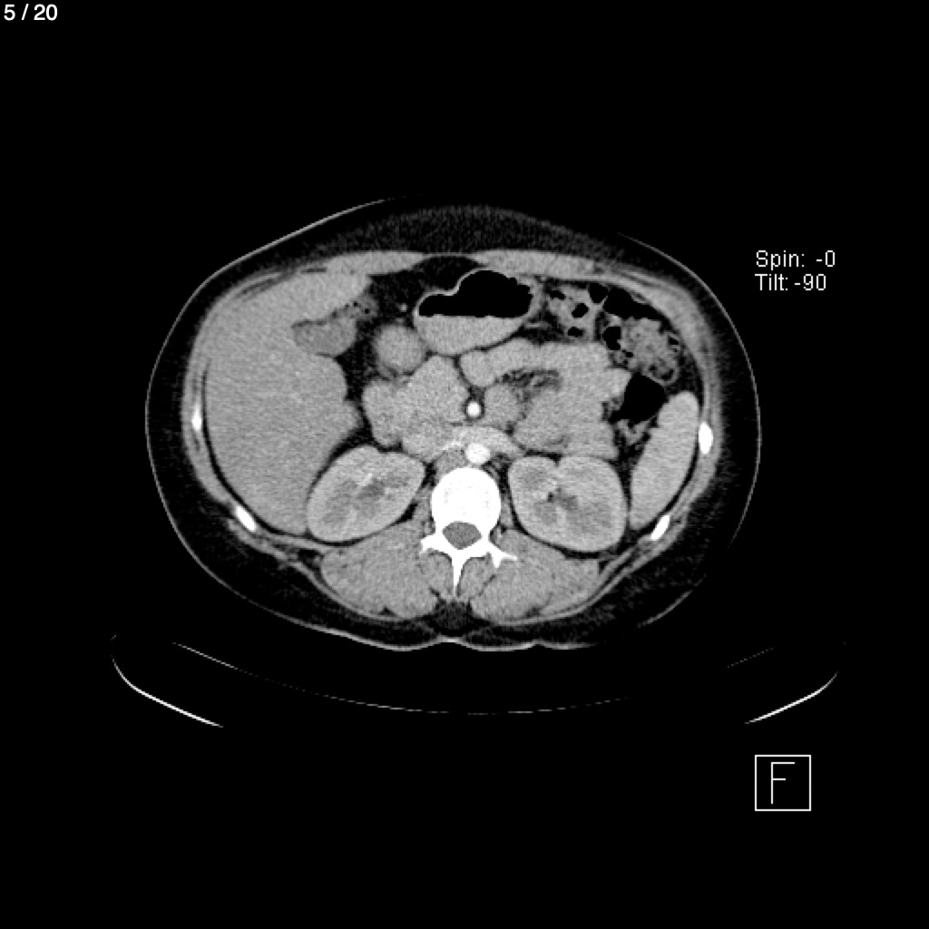
Home A​n​a​ ​I​r​i​s​ ​C​a​n​c​i​n​o​ ​L​u​g​a​ ​-​ ​A​b​d​o​m​e​n​ ​A​b​d​o​m​e​n​_​S​y​c​ ​(​A​d​u​l​t​o​)