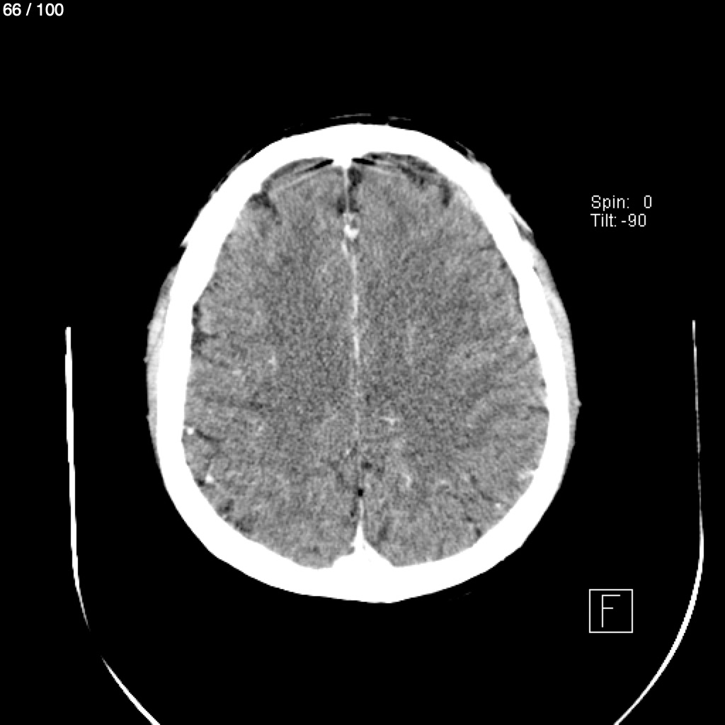
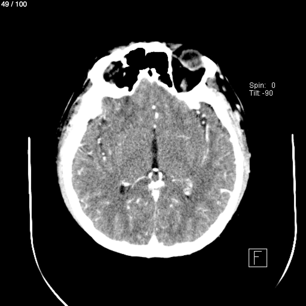
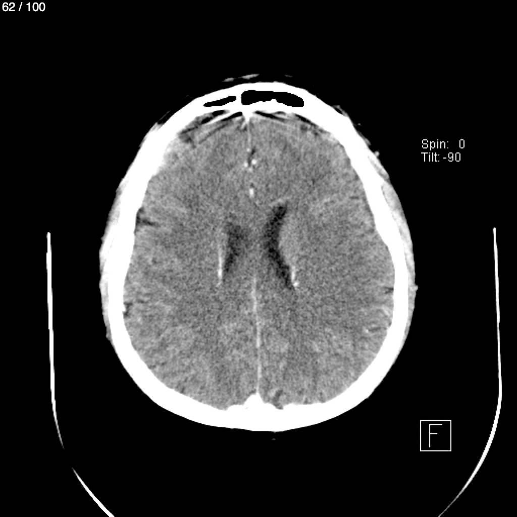
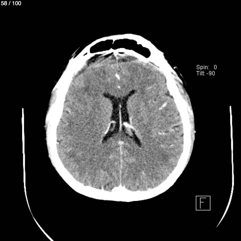
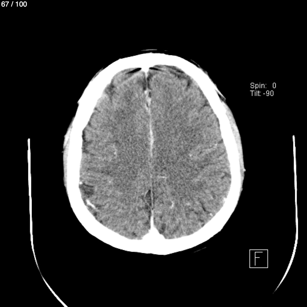
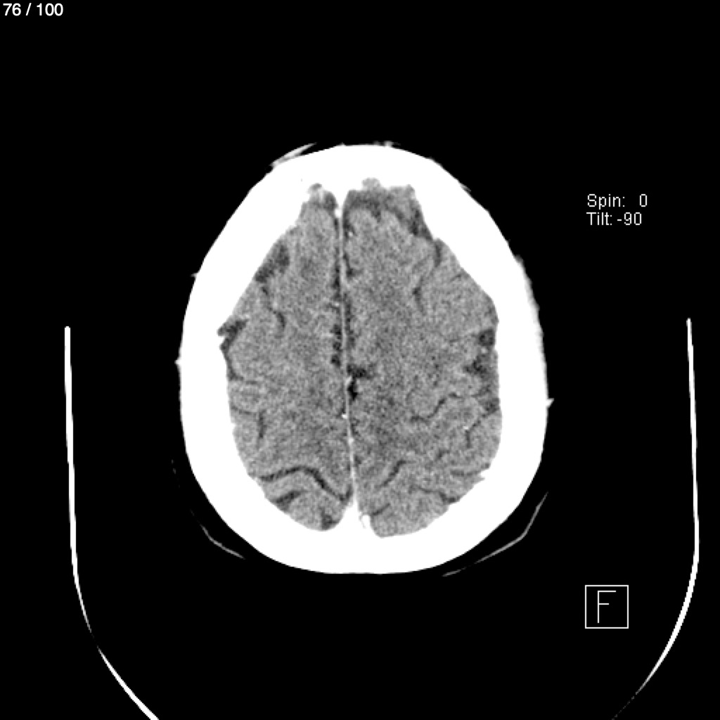
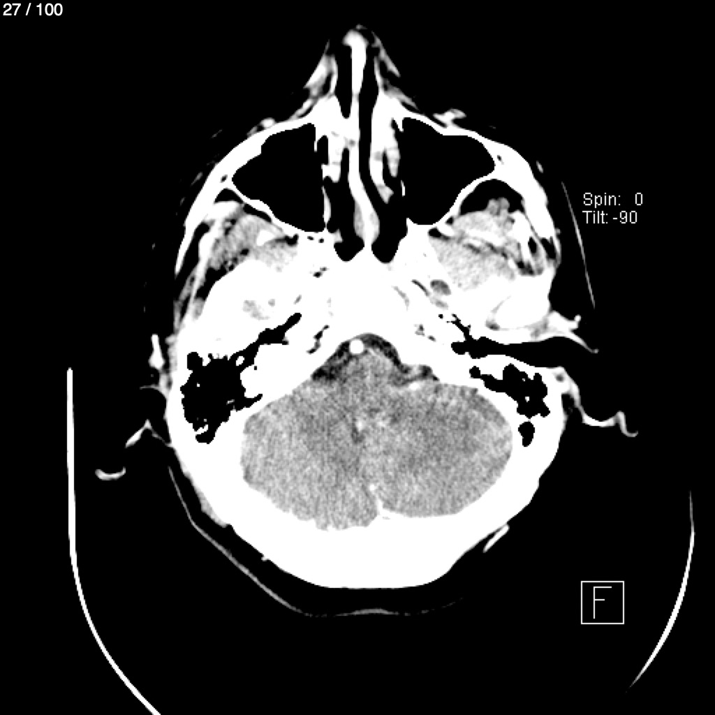
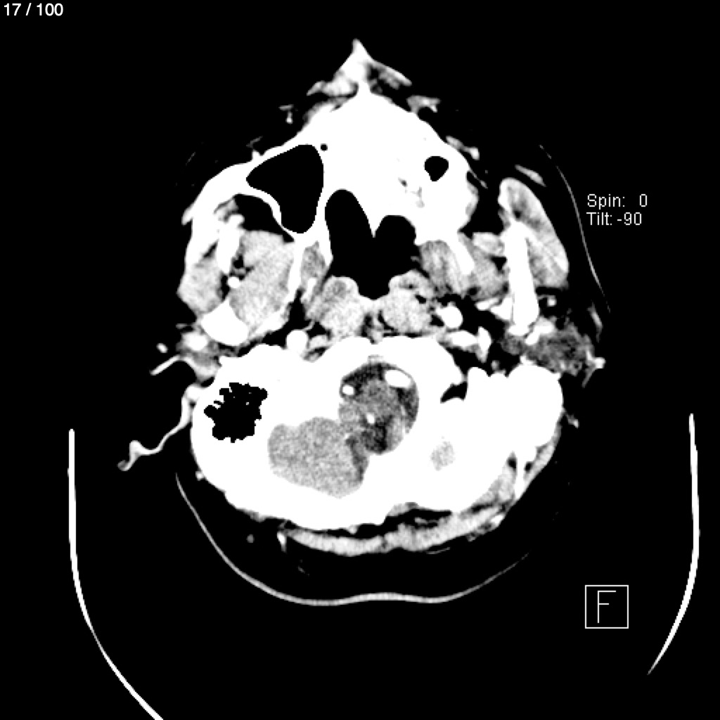
Home A​l​b​e​r​t​o​ ​G​a​l​a​n​ ​G​o​m​e​z​ ​-​ ​C​a​b​e​z​a​ ​C​r​a​n​e​o​_​S​y​c​ ​(​A​d​u​l​t​o​)