HUIXTLA
ESCUINTLA
AKISHINO
AKISHINO2 USG
ESPECIALIDADES
Home
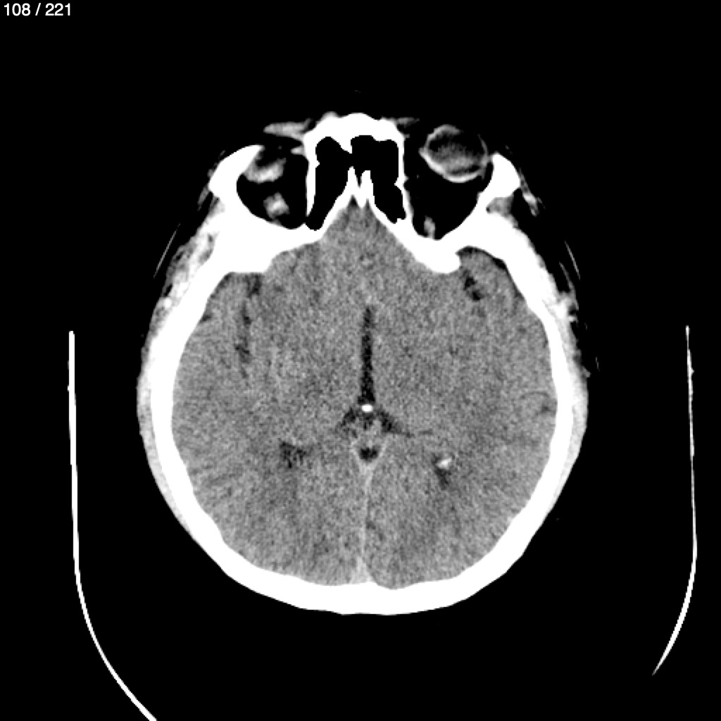
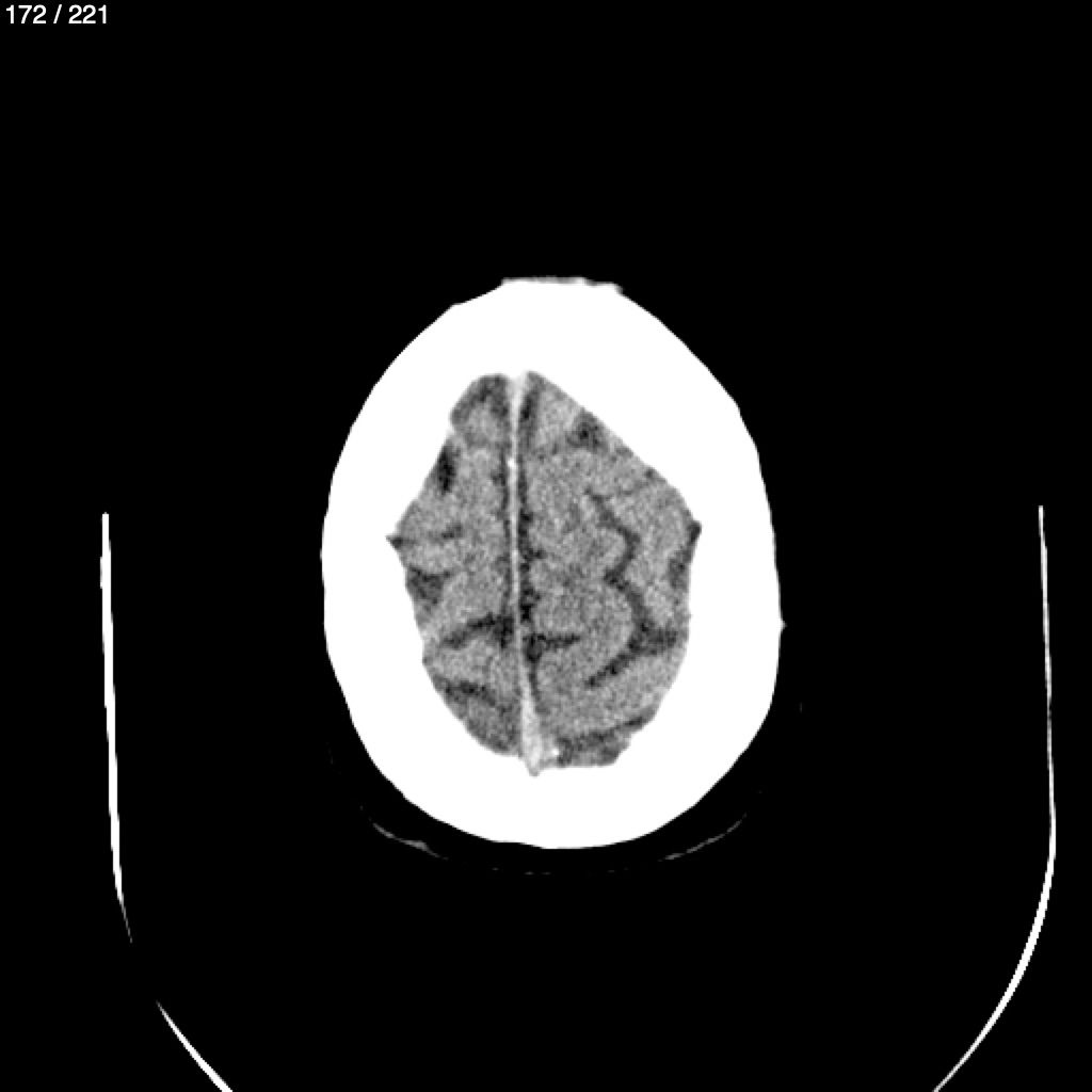
Alberto Galan Gomez - Cabeza Craneo_Syc (Adulto)
Next Series
Show as Sequence