HUIXTLA
ESCUINTLA
AKISHINO
AKISHINO2 USG
ESPECIALIDADES
Home
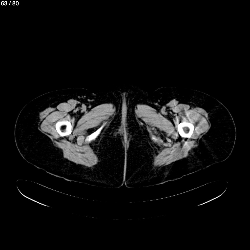
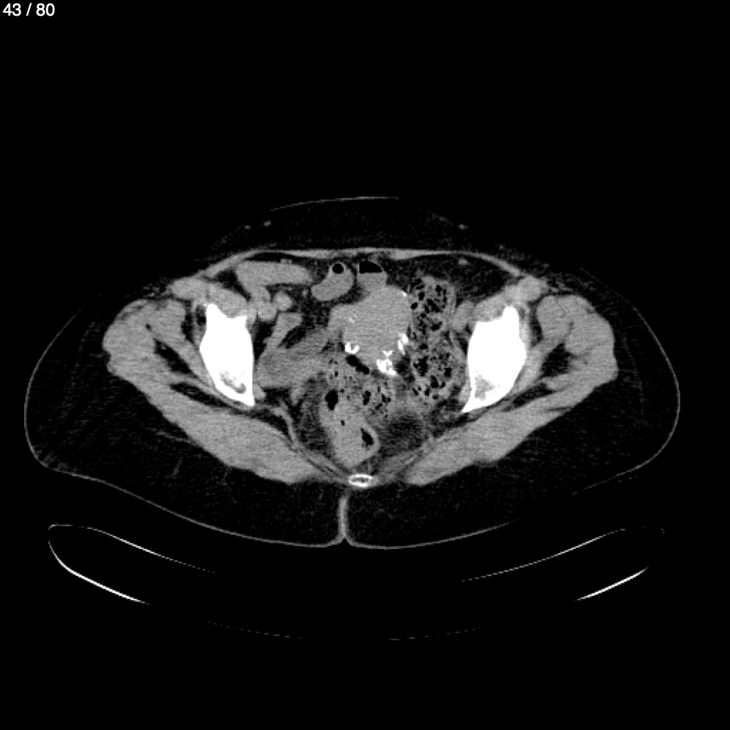
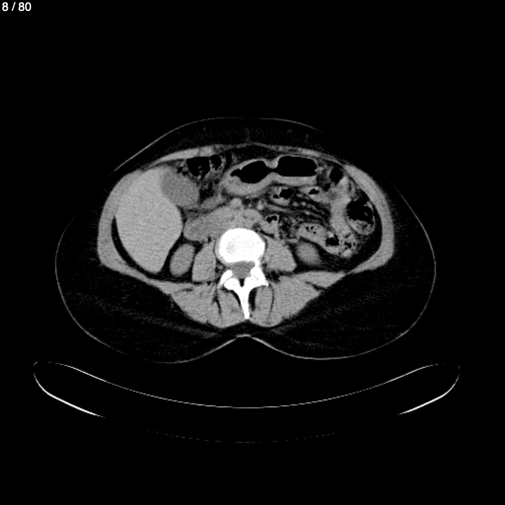
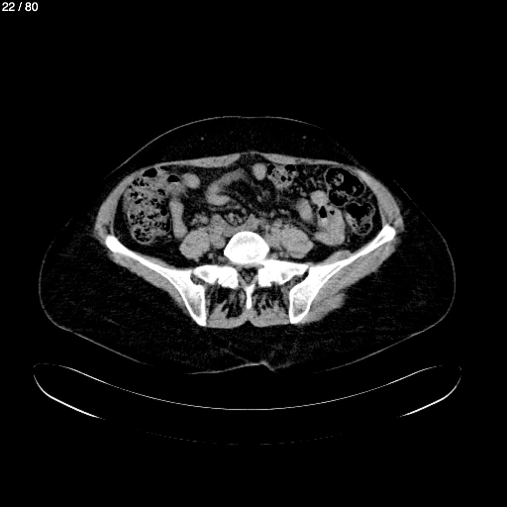
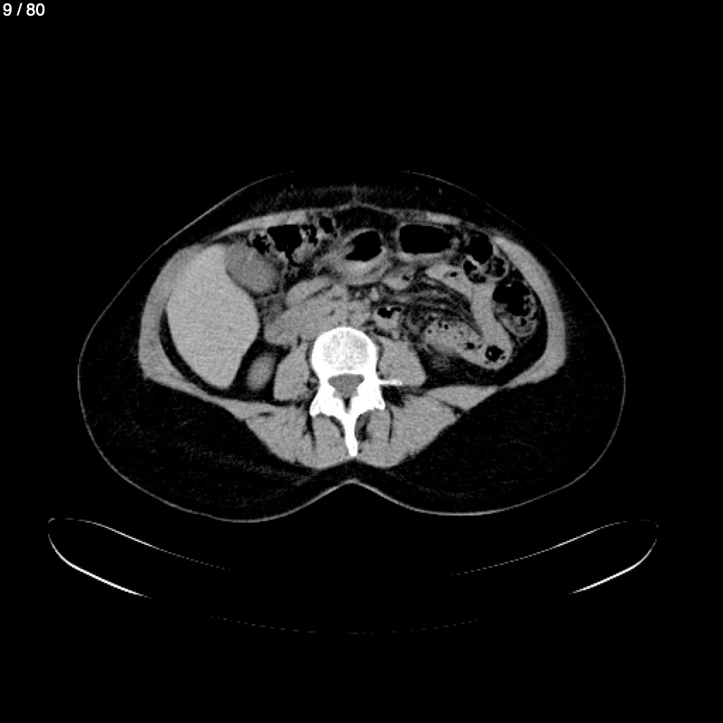
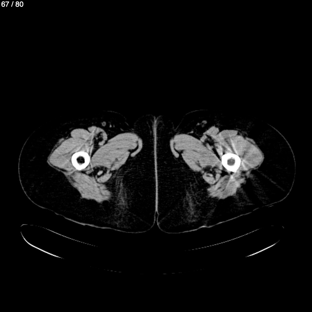
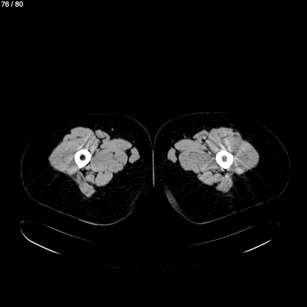
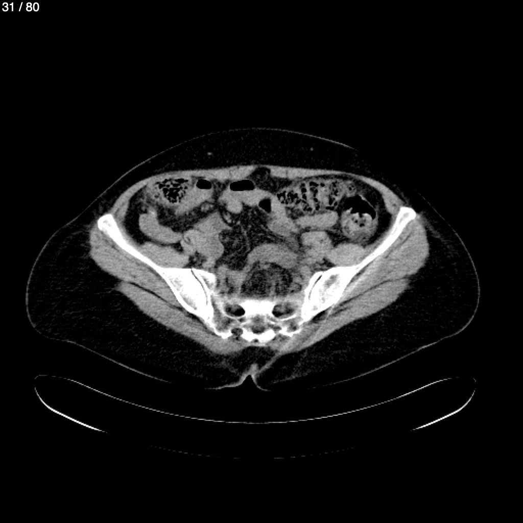
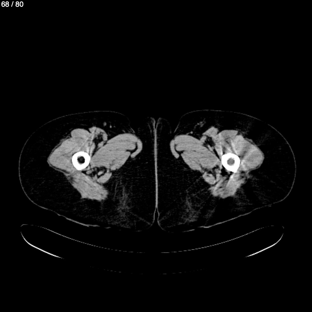
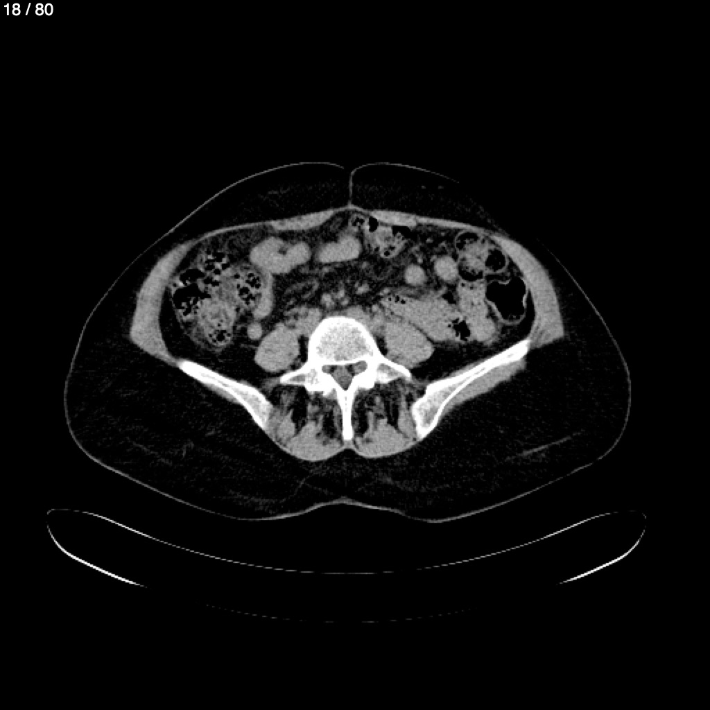
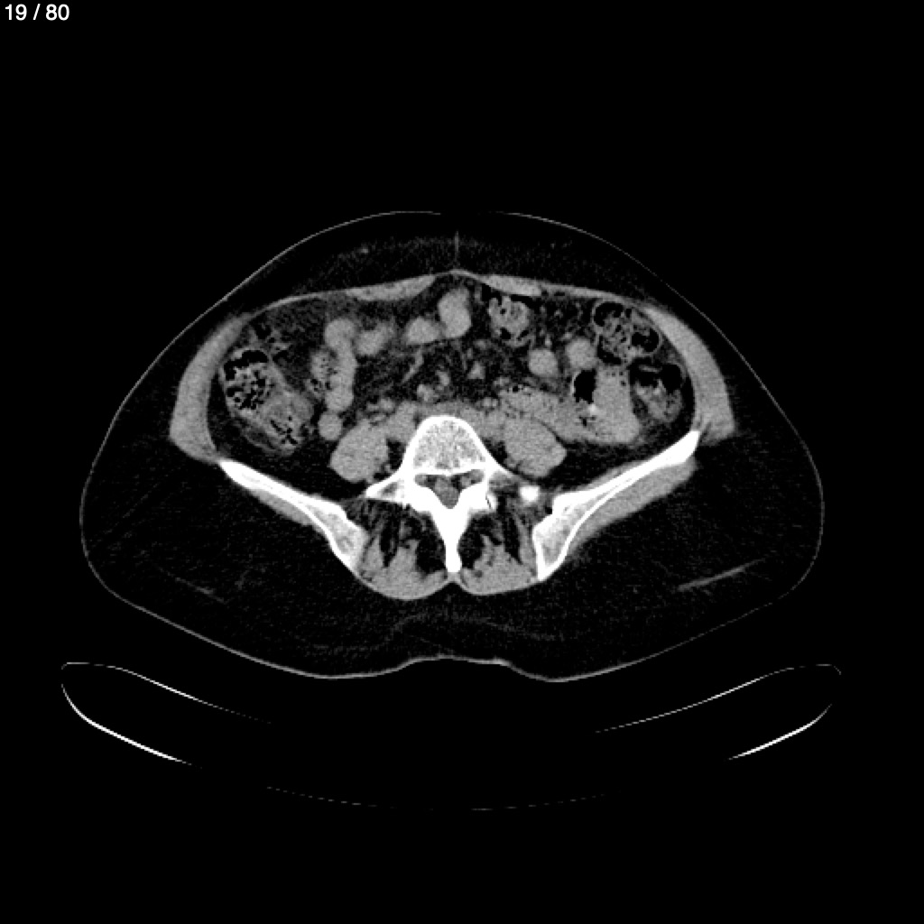
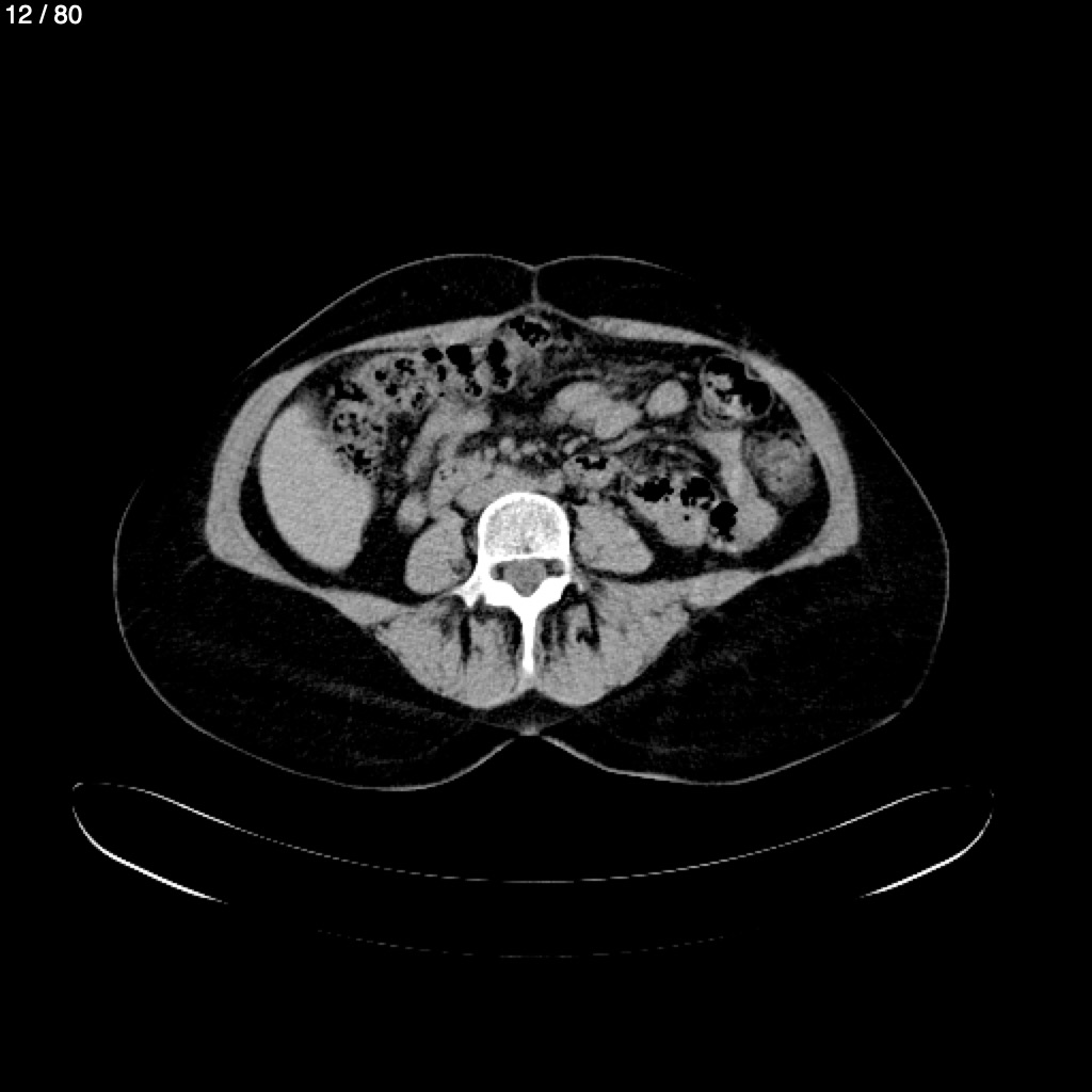
Blanca Estela Leyva Ordoñez - Abdomen Abdomen_Syc (Adulto)
Next Series
Show as Sequence