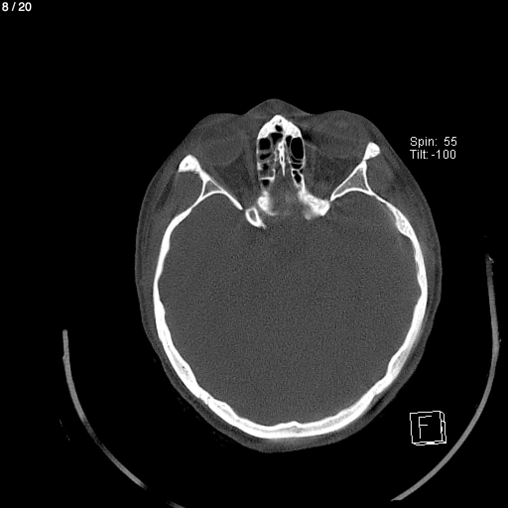
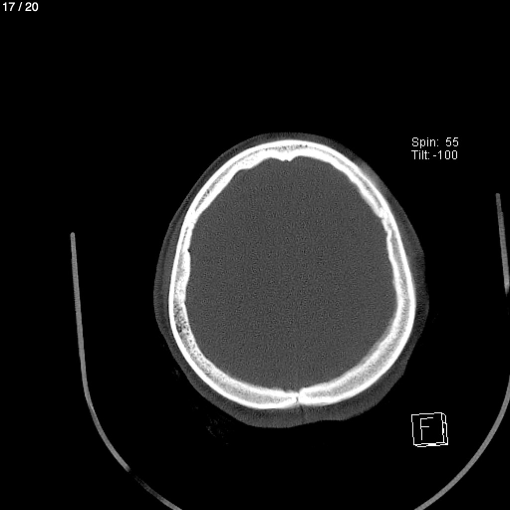
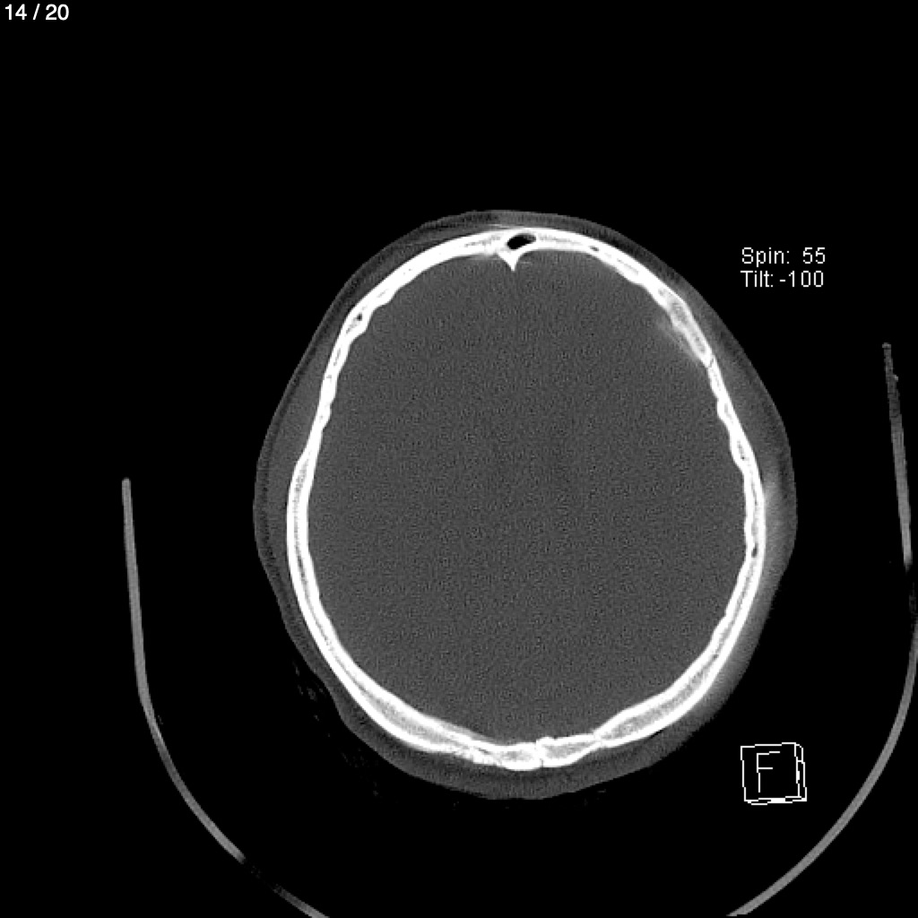
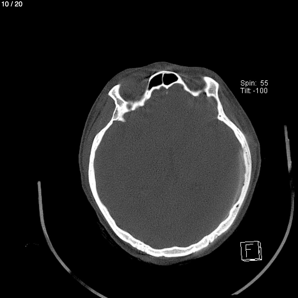
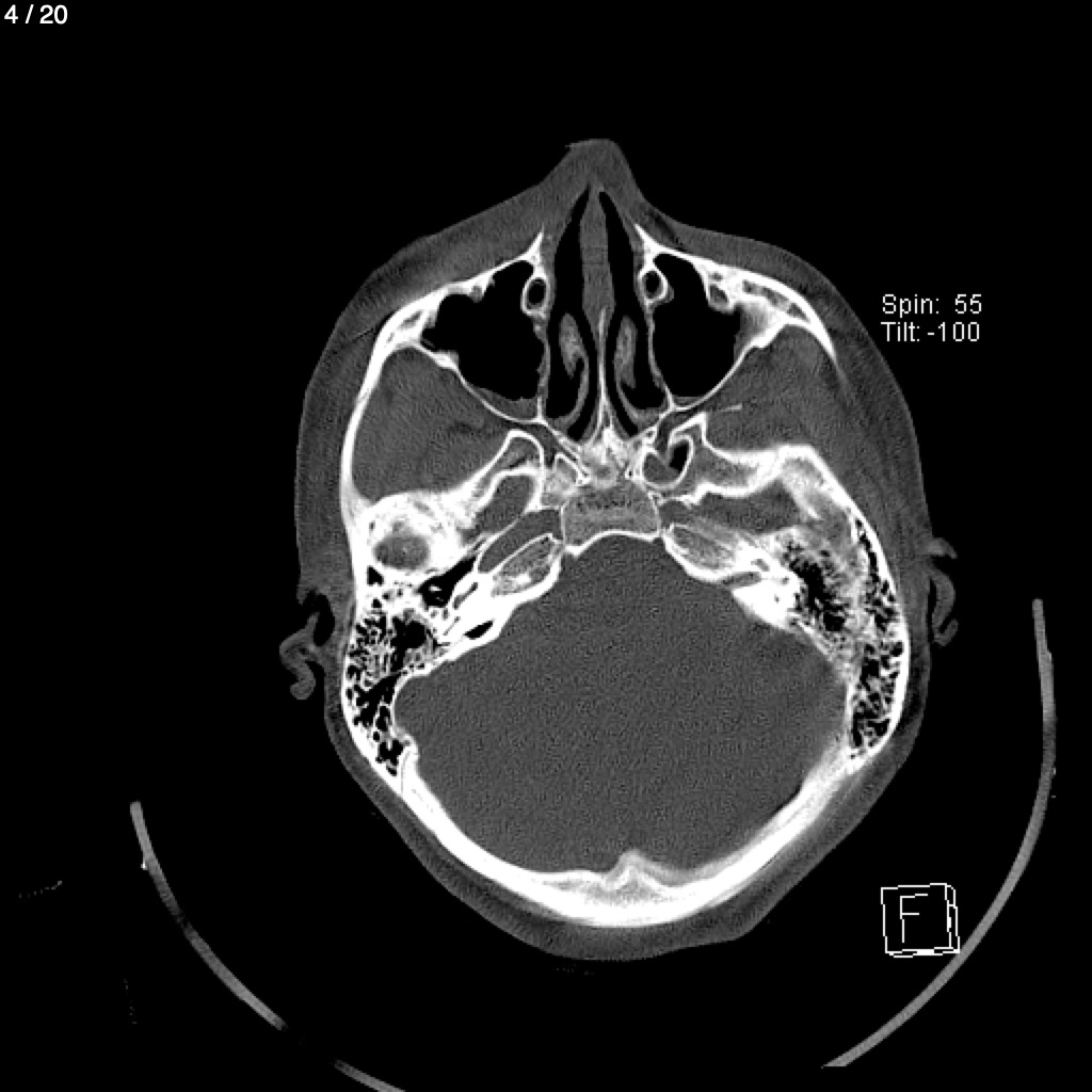
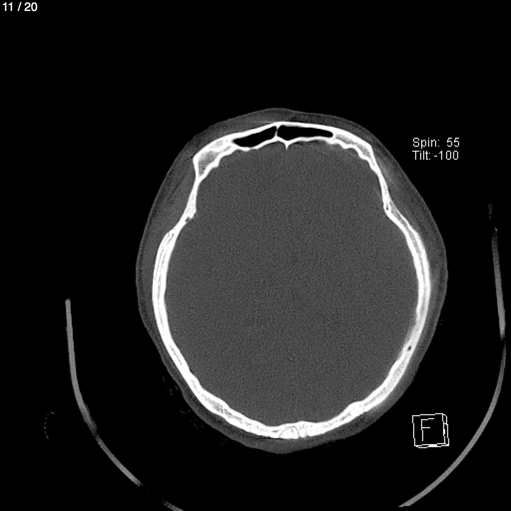
Home A​i​l​i​n​ ​M​i​c​h​e​l​l​e​ ​P​e​r​e​z​ ​V​e​n​t​u​r​a​ ​-​ ​C​a​b​e​z​a​ ​S​i​m​p​l​e​c​r​a​n​e​o​ ​(​A​d​u​l​t​o​)