HUIXTLA
ESCUINTLA
AKISHINO
AKISHINO2 USG
ESPECIALIDADES
Home
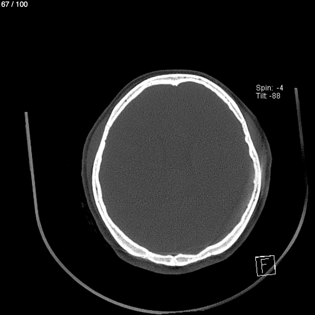
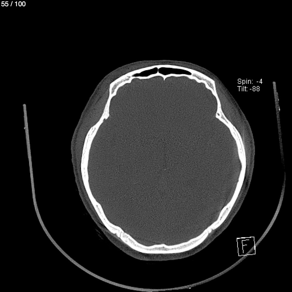
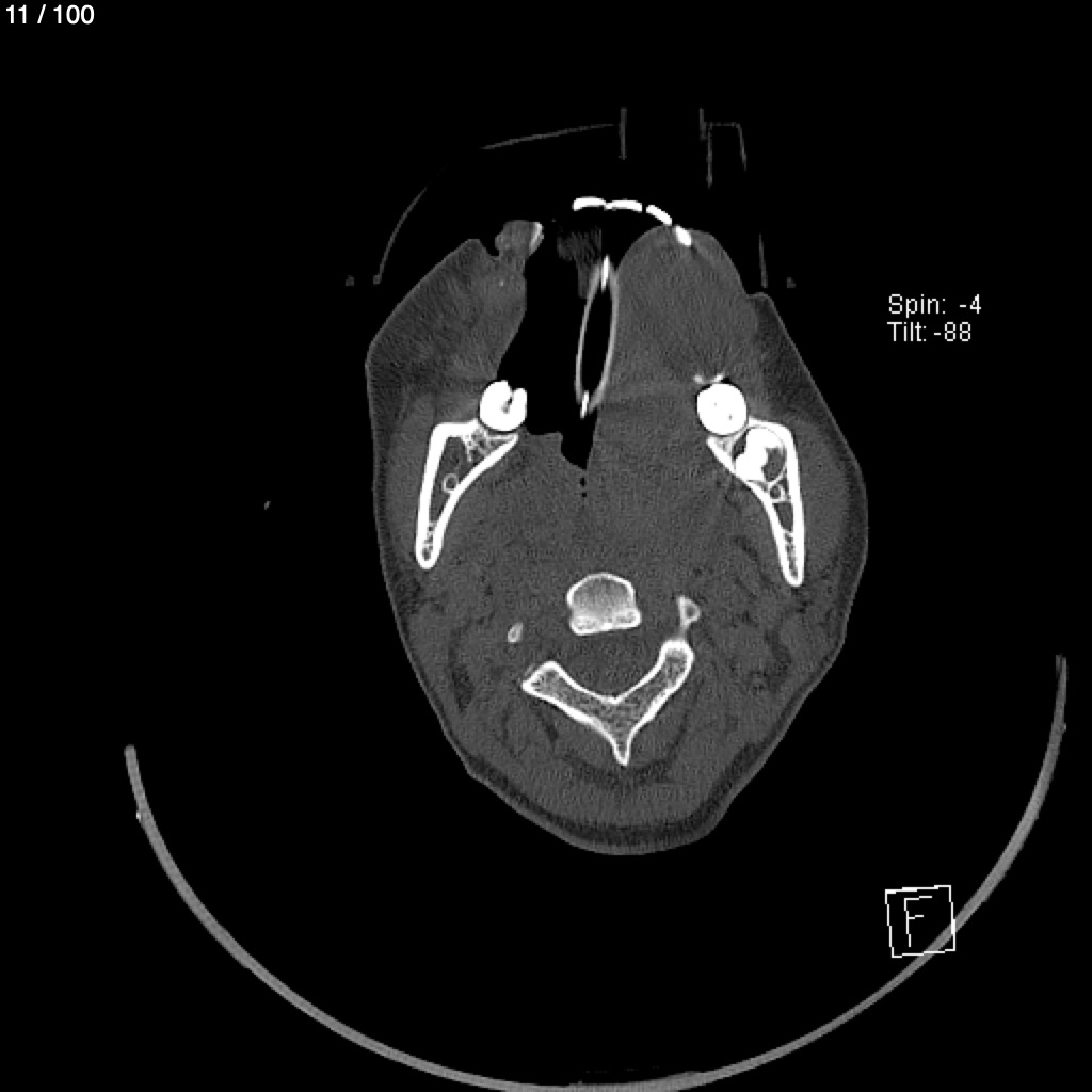
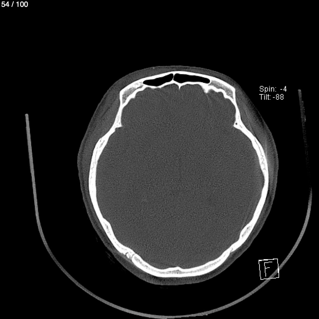
Ailin Michelle Perez Ventura - Cabeza Simplecraneo (Adulto)
Previous Series
Next Series
Show as Sequence