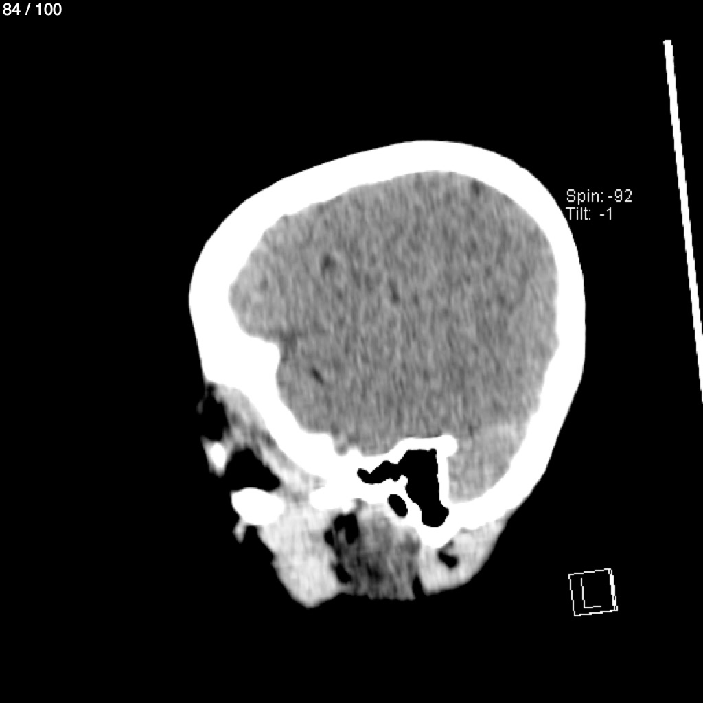
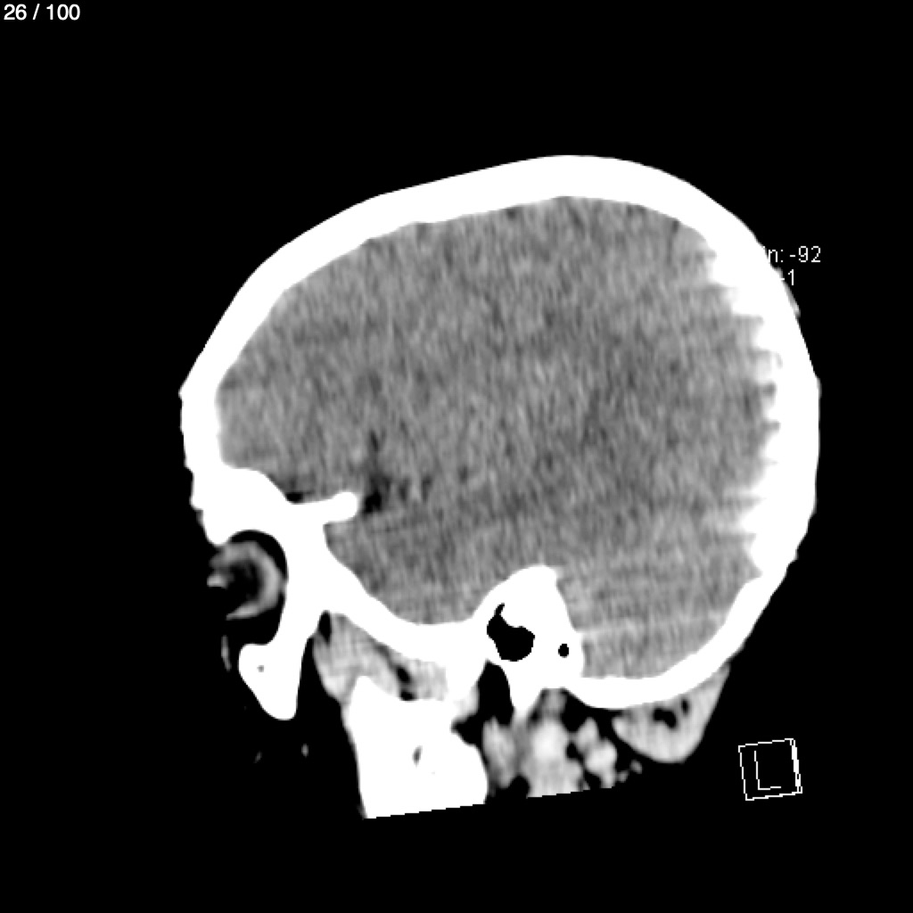
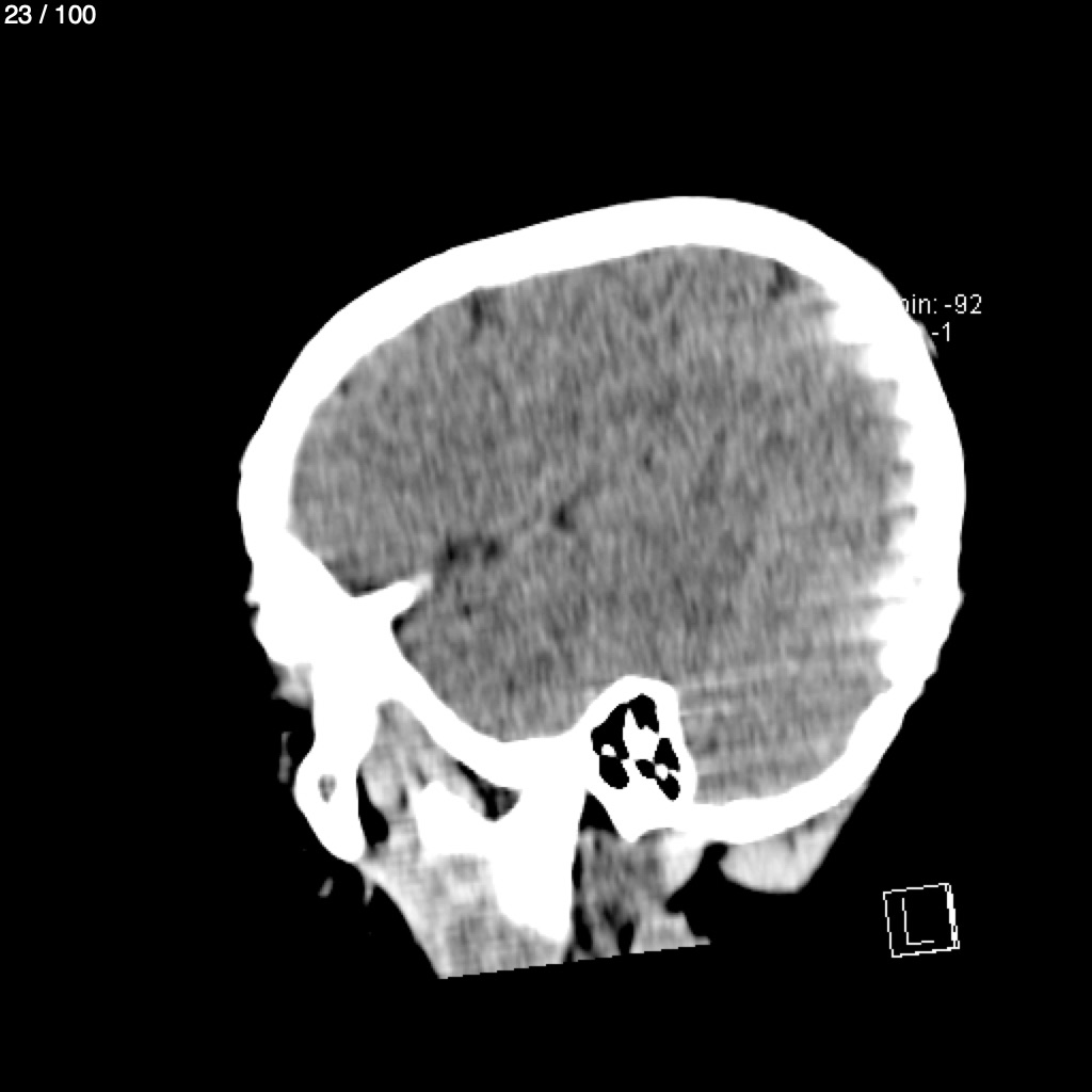
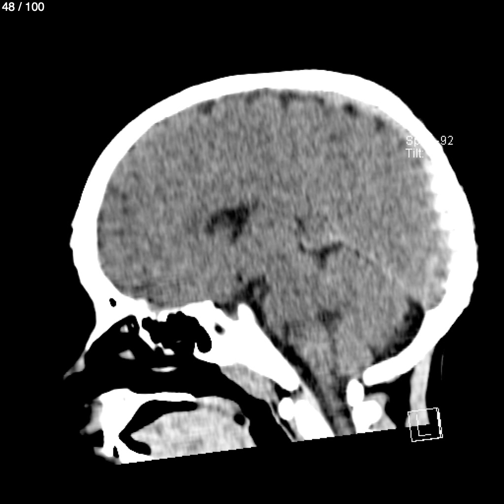
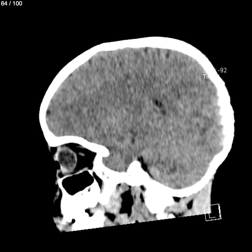
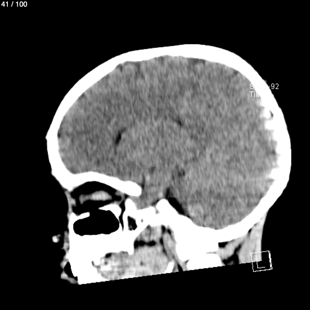
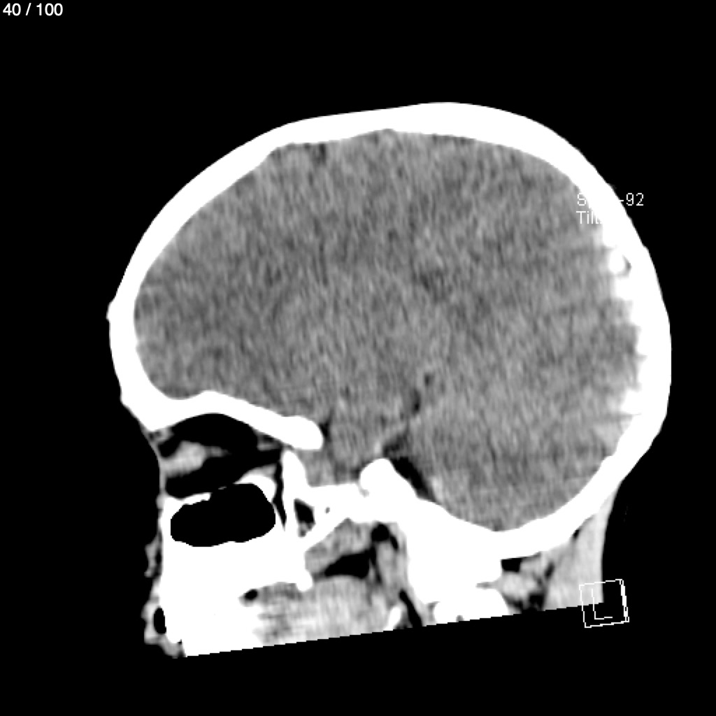
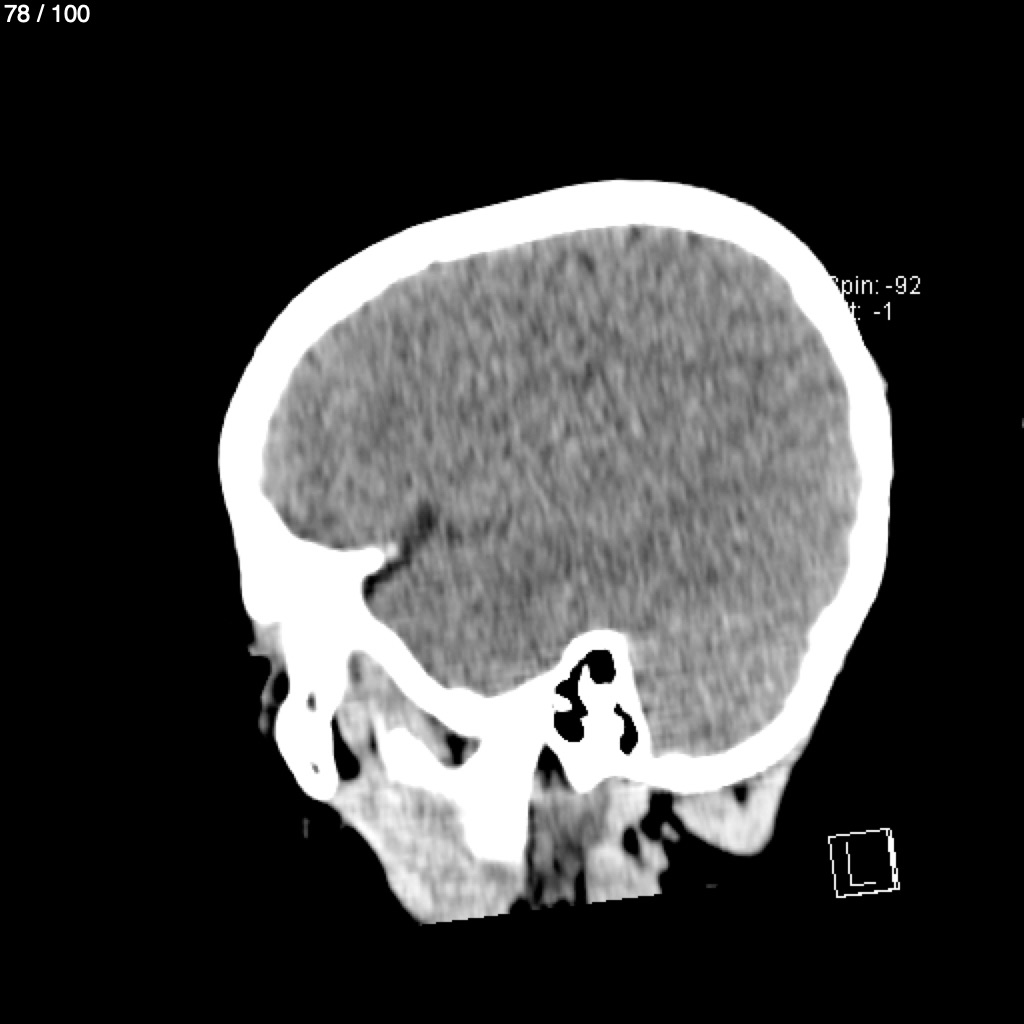
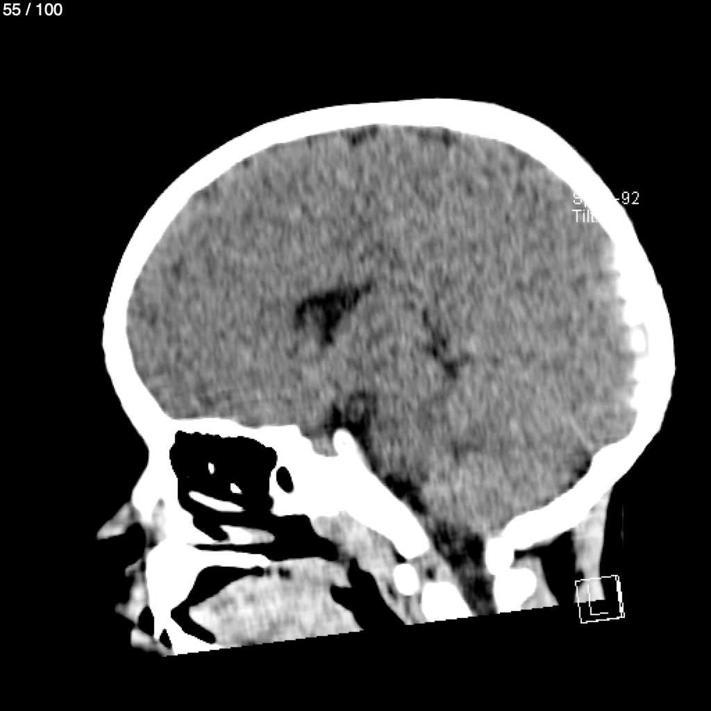
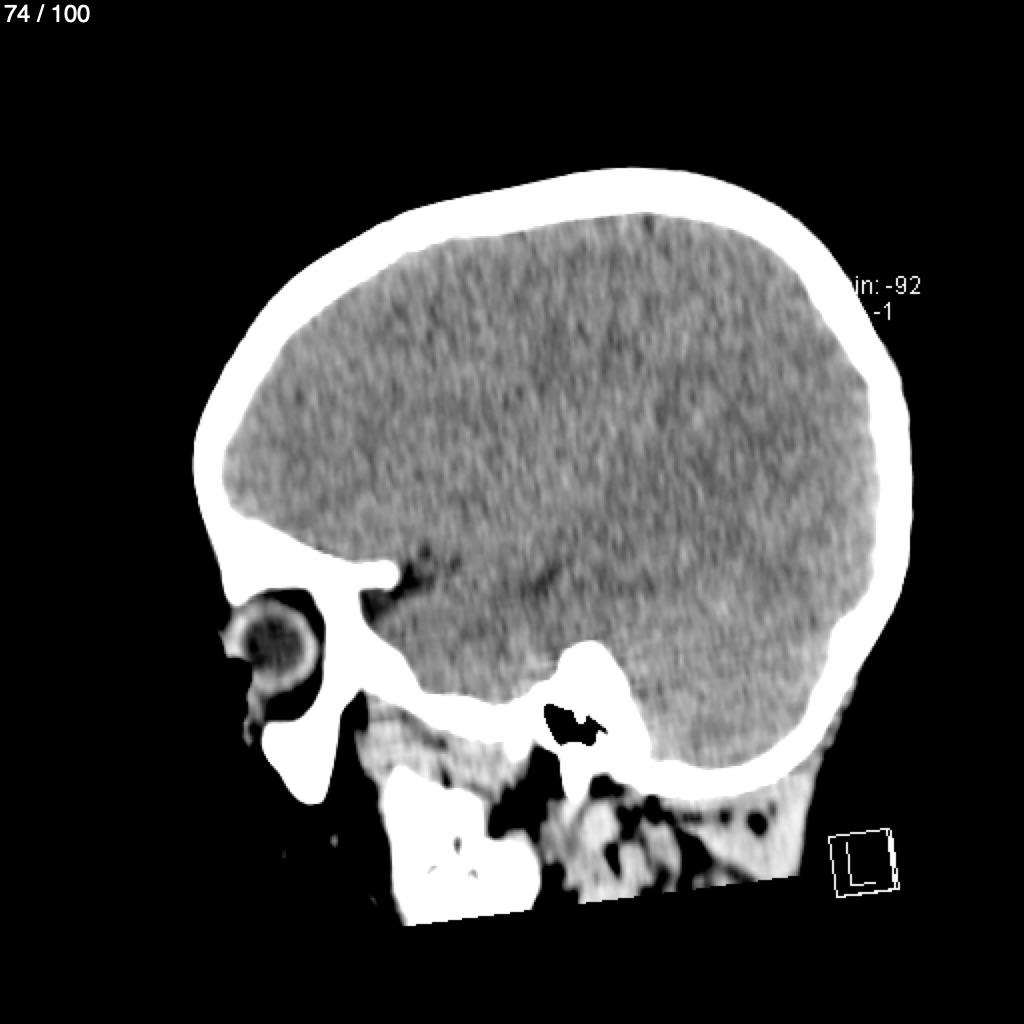
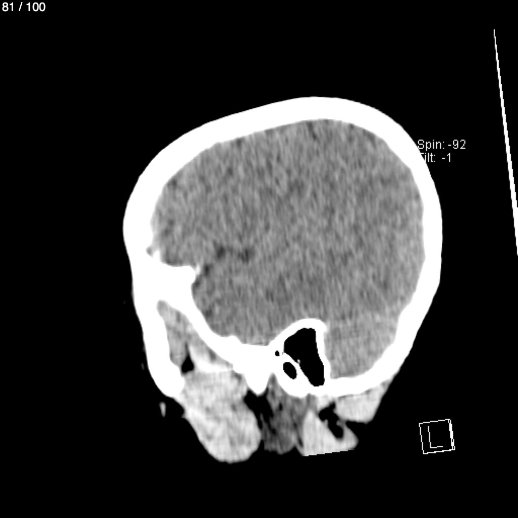
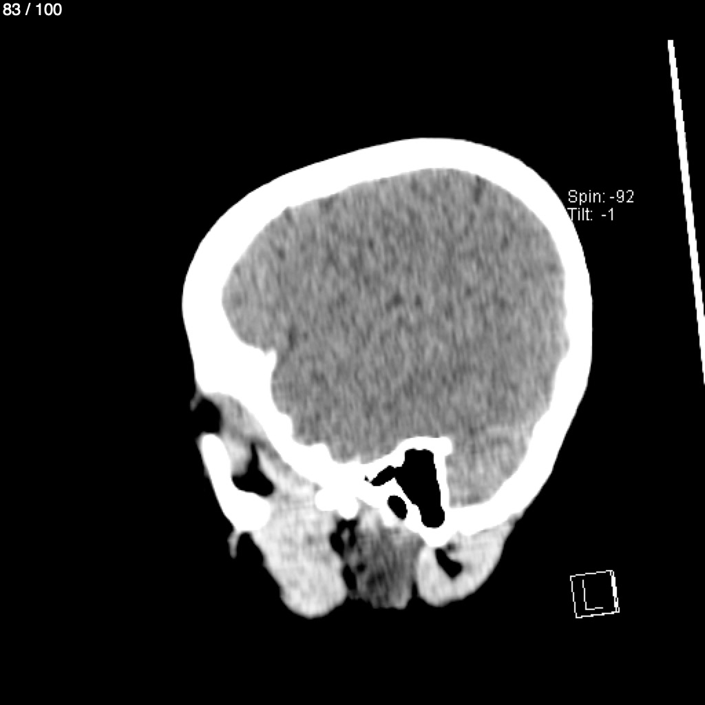
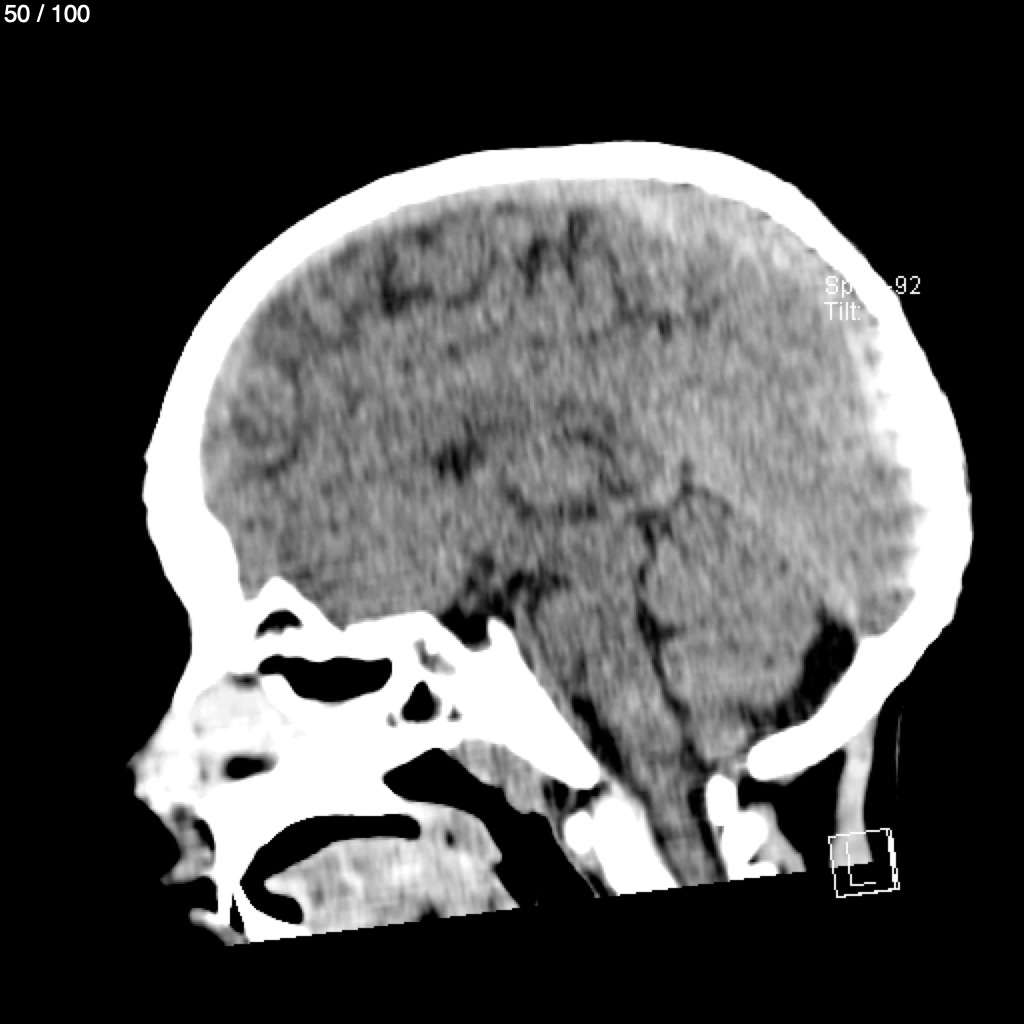
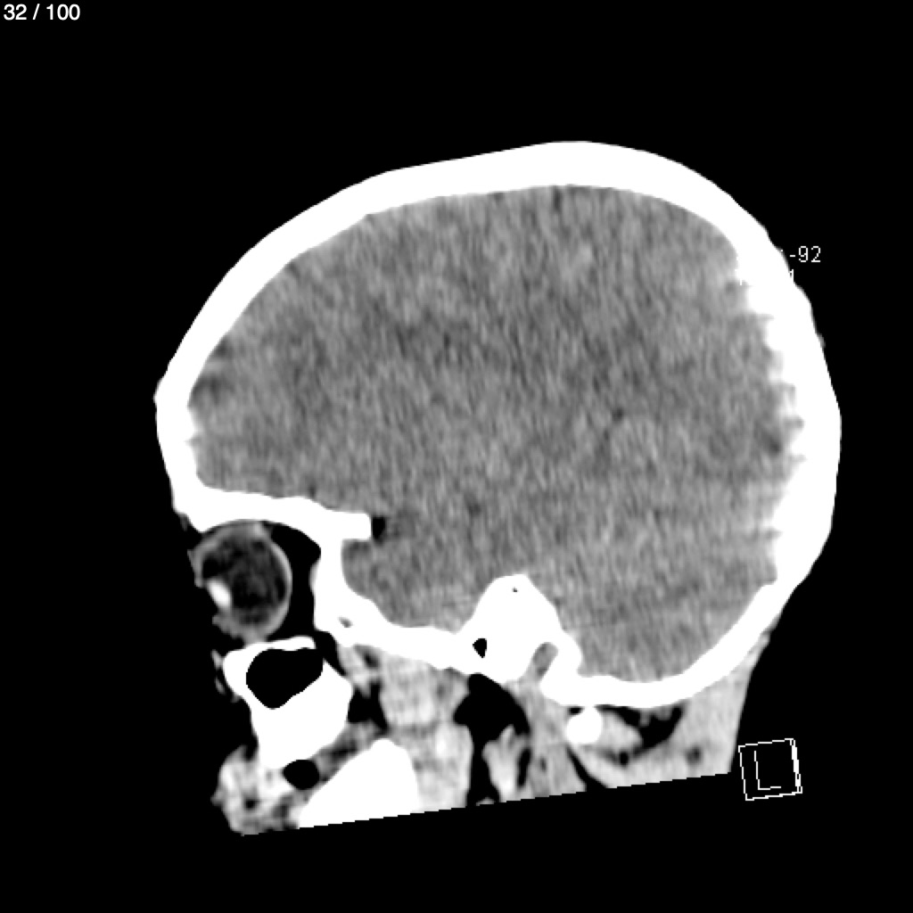
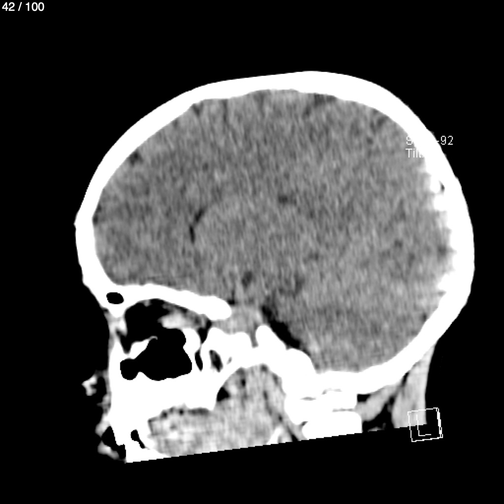
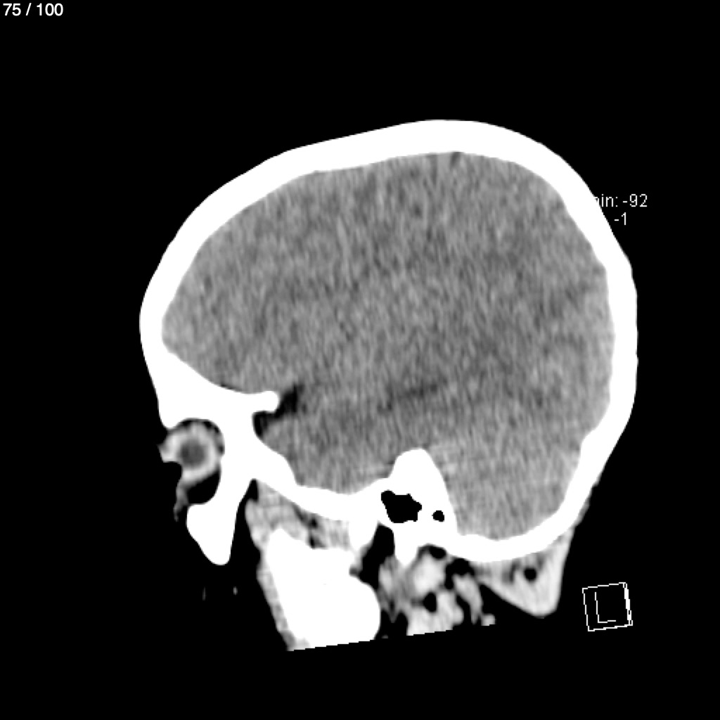
Home A​d​r​i​e​l​ ​V​a​z​q​u​e​z​ ​M​o​r​a​l​e​s​ ​-​ ​C​a​b​e​z​a​ ​S​i​m​p​l​e​_​C​r​a​n​e​o​ ​(​A​d​u​l​t​o​)