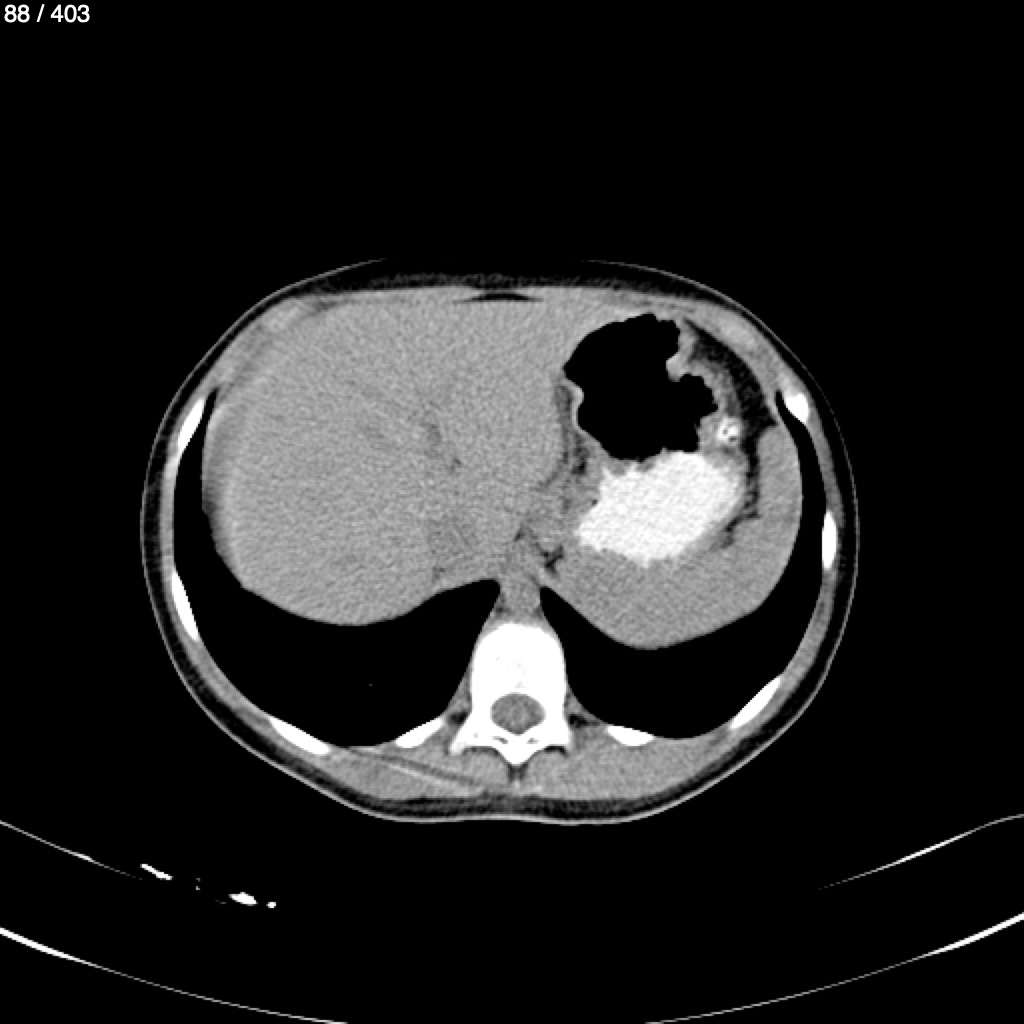
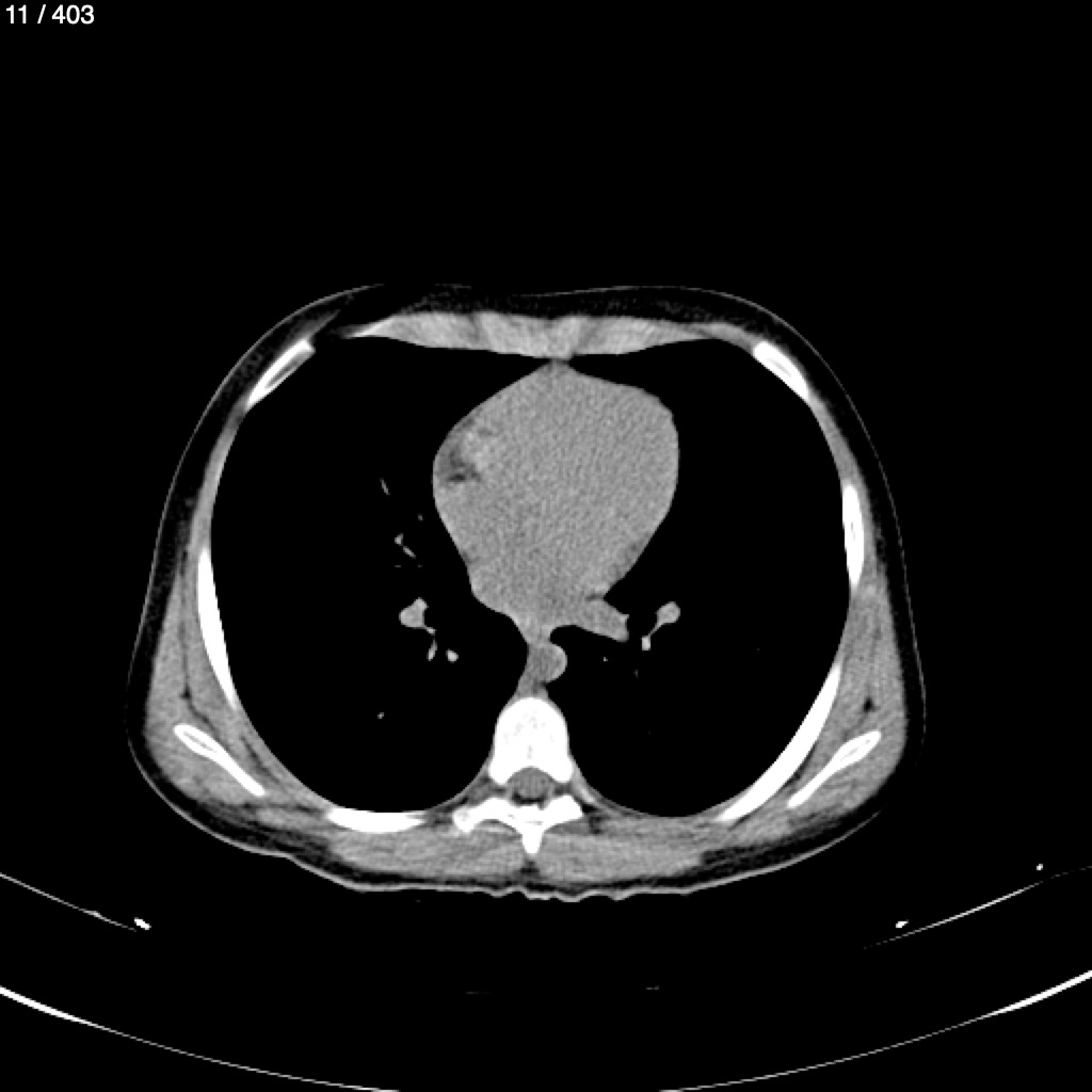
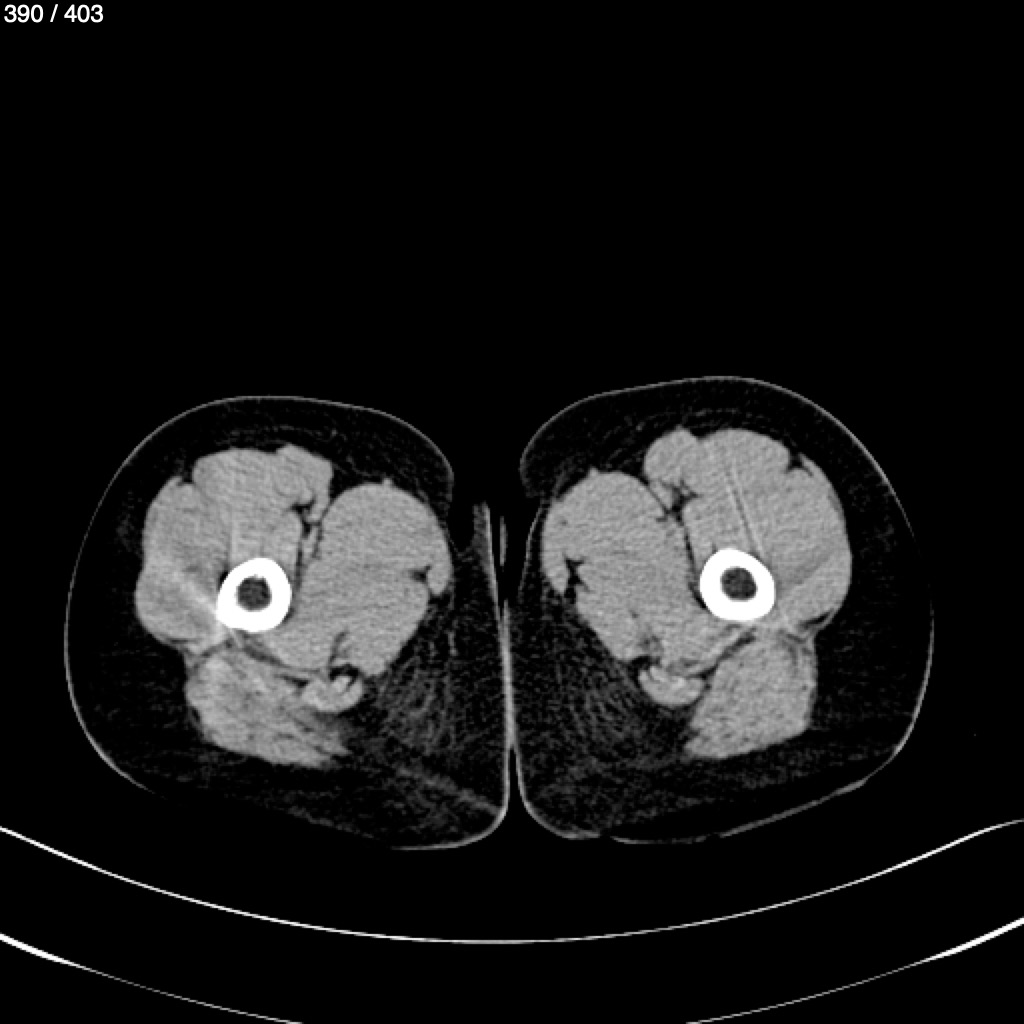
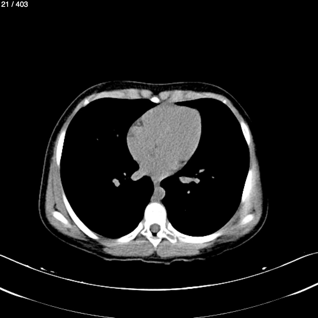
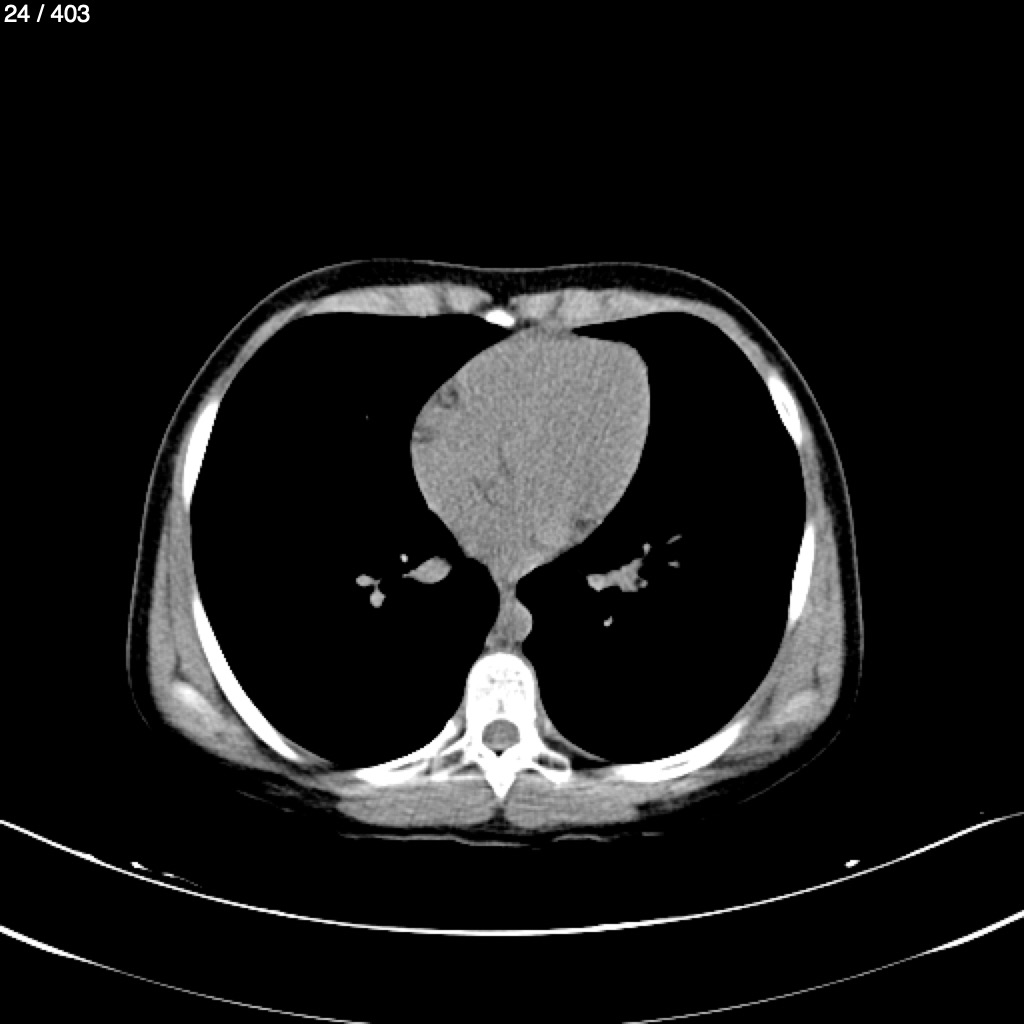
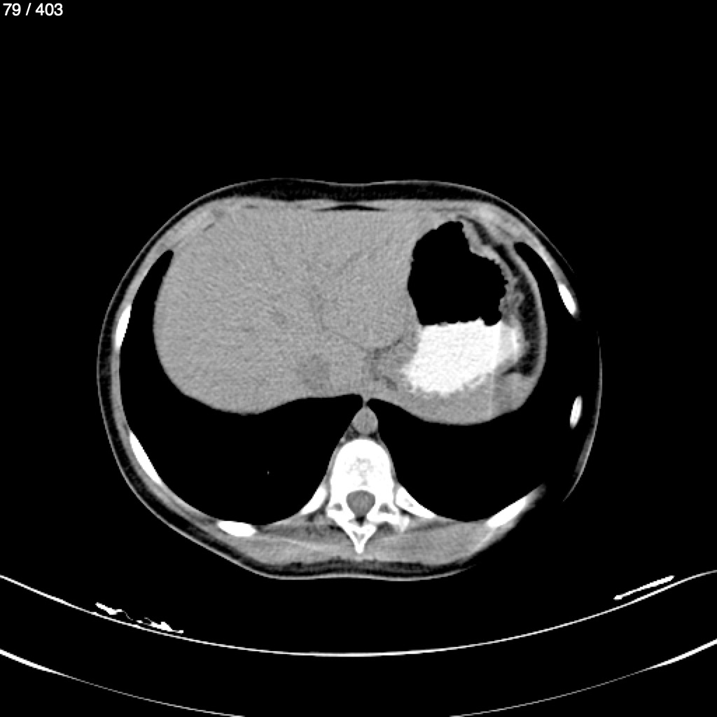
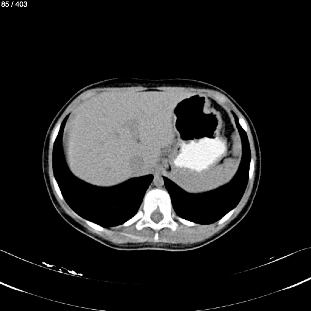
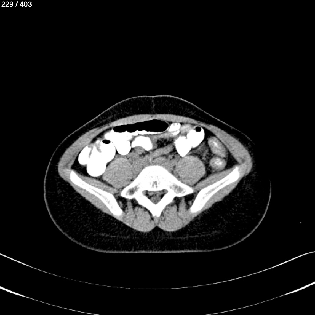
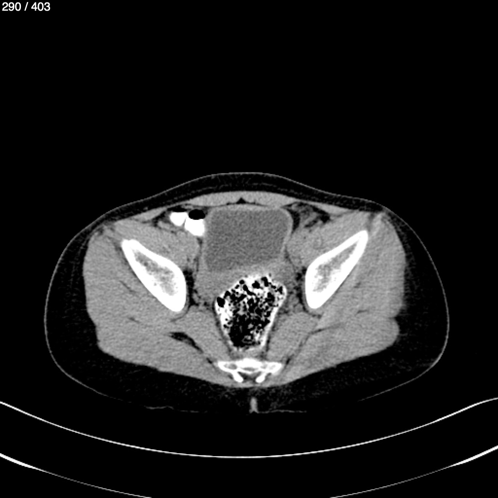
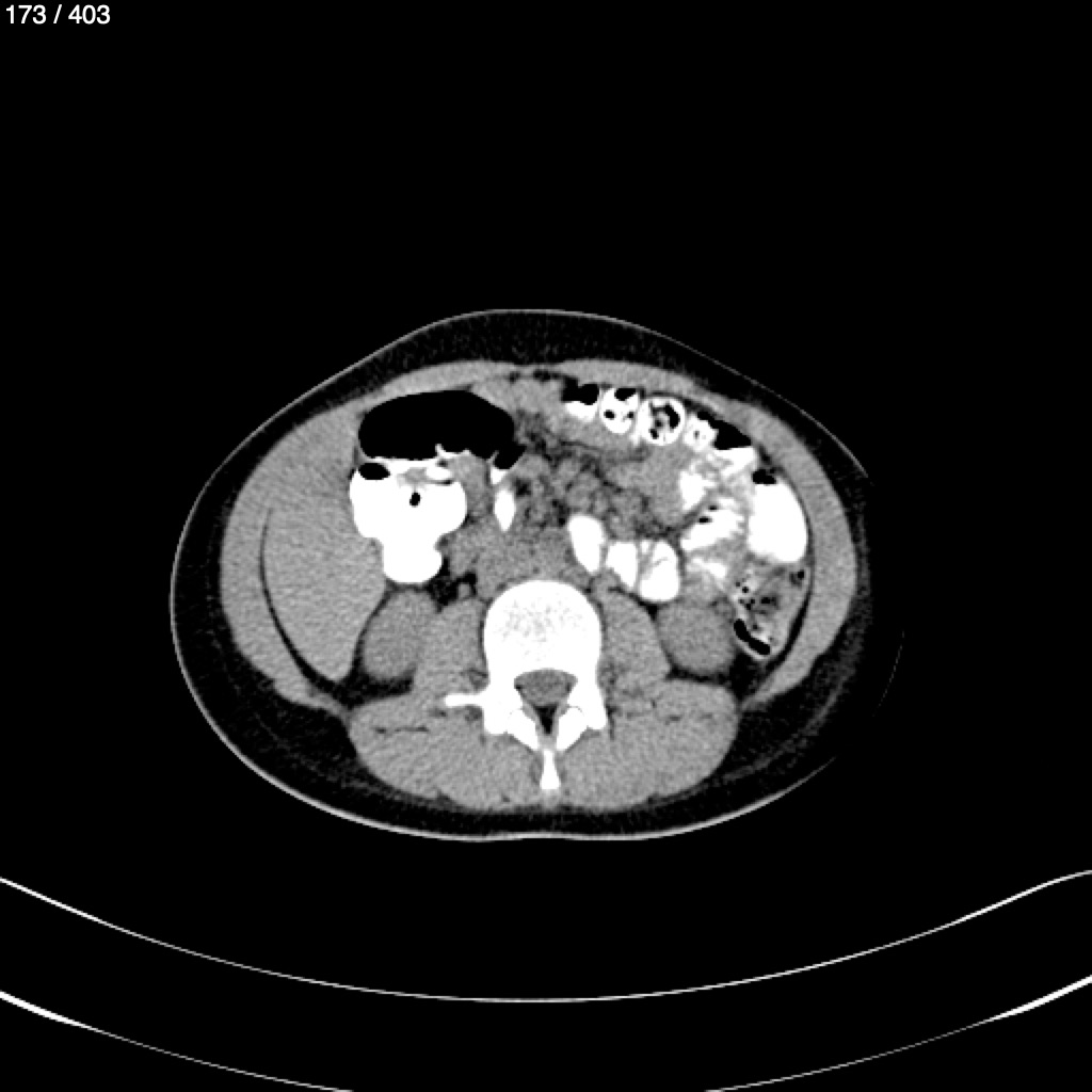
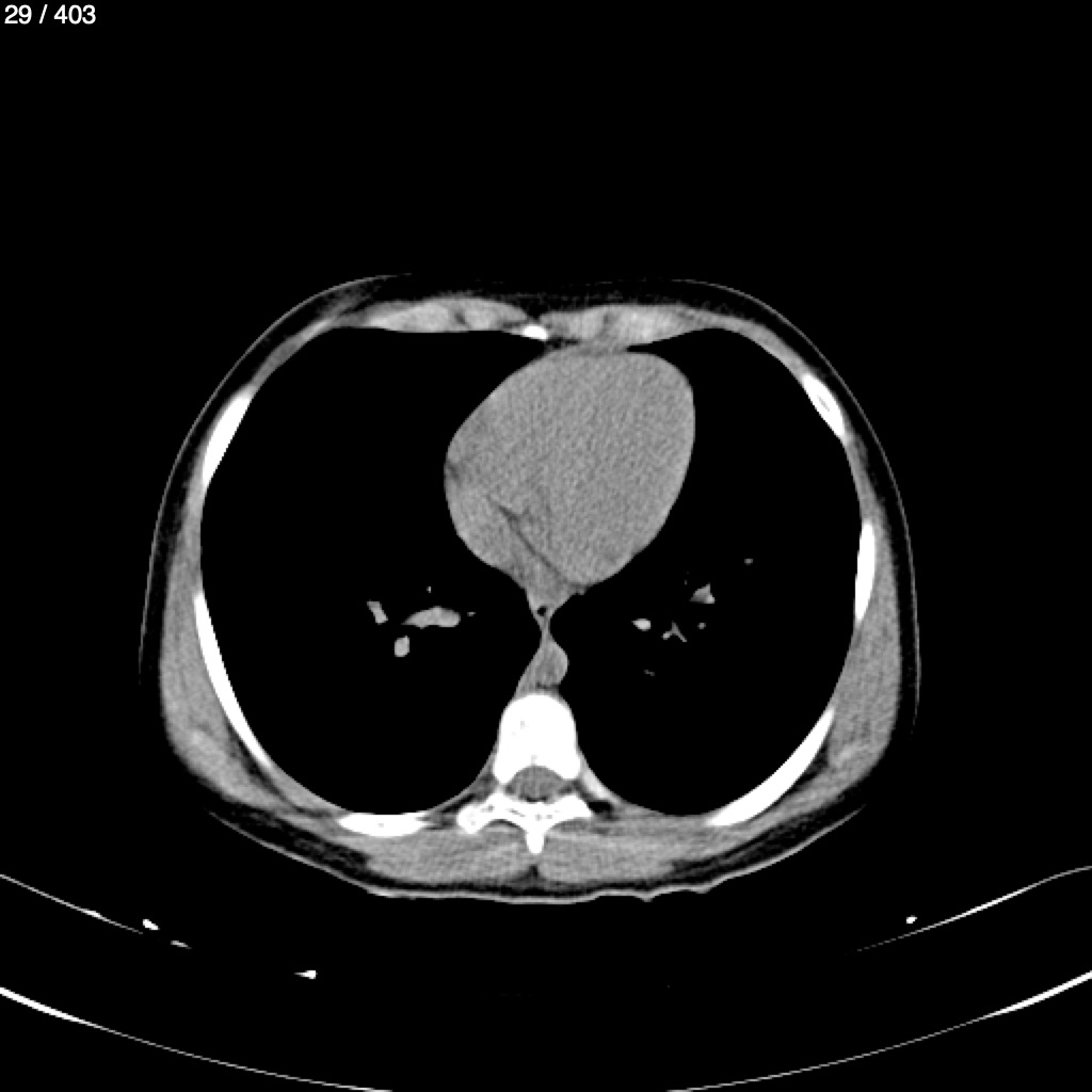
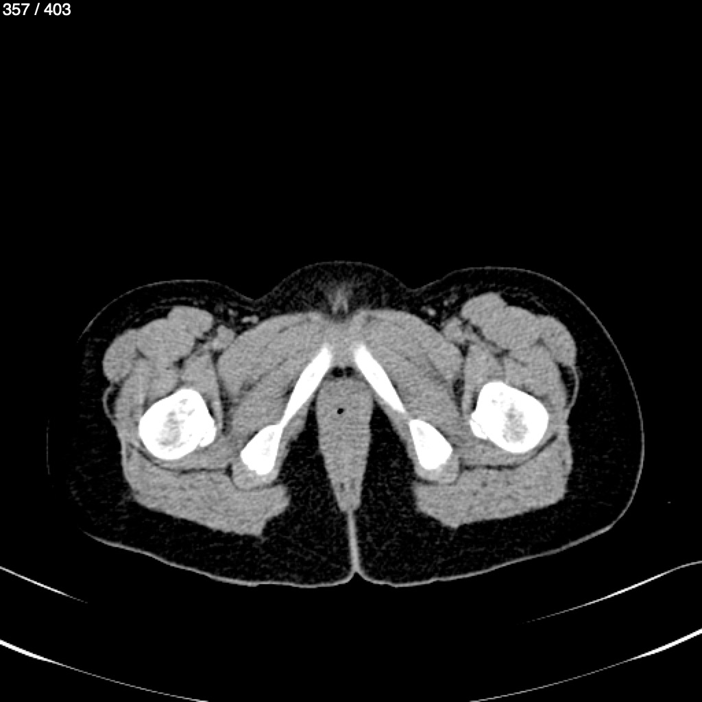
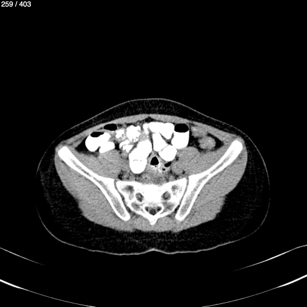
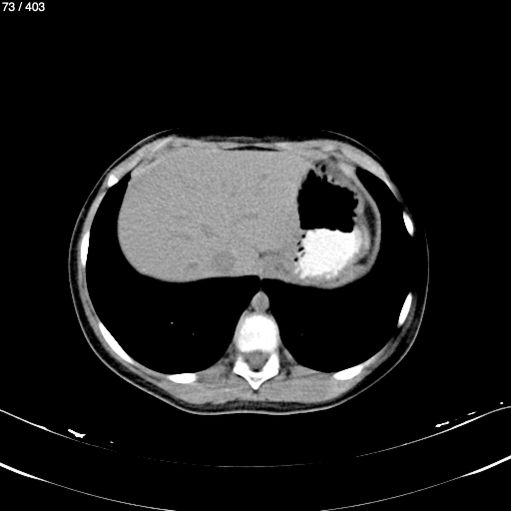
Home B​r​i​a​n​a​ ​Y​a​m​i​l​e​t​h​ ​V​a​z​q​u​e​z​ ​M​e​n​d​e​z​ ​-​ ​A​b​d​o​m​e​n​ ​A​b​d​o​m​e​n​_​S​y​c​ ​(​A​d​u​l​t​o​)