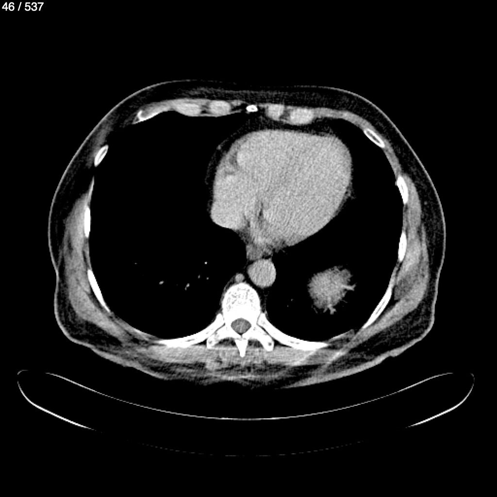
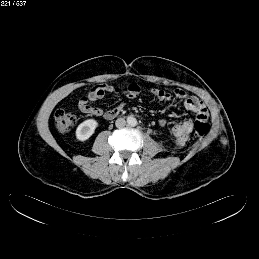
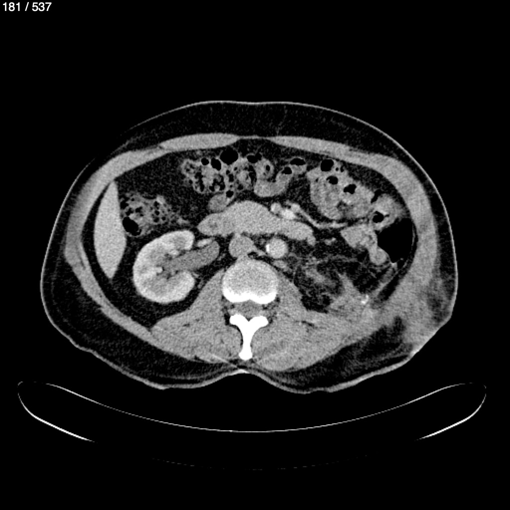
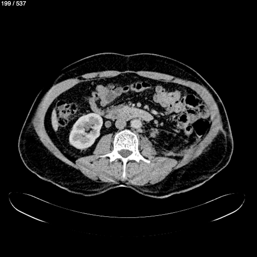
Home A​g​u​s​t​i​n​ ​C​h​i​r​i​n​o​ ​M​a​g​a​r​i​ñ​o​ ​-​ ​A​b​d​o​m​e​n​ ​A​b​d​o​m​e​n​_​S​y​c​ ​(​A​d​u​l​t​o​)