HUIXTLA
ESCUINTLA
AKISHINO
AKISHINO2 USG
ESPECIALIDADES
Home
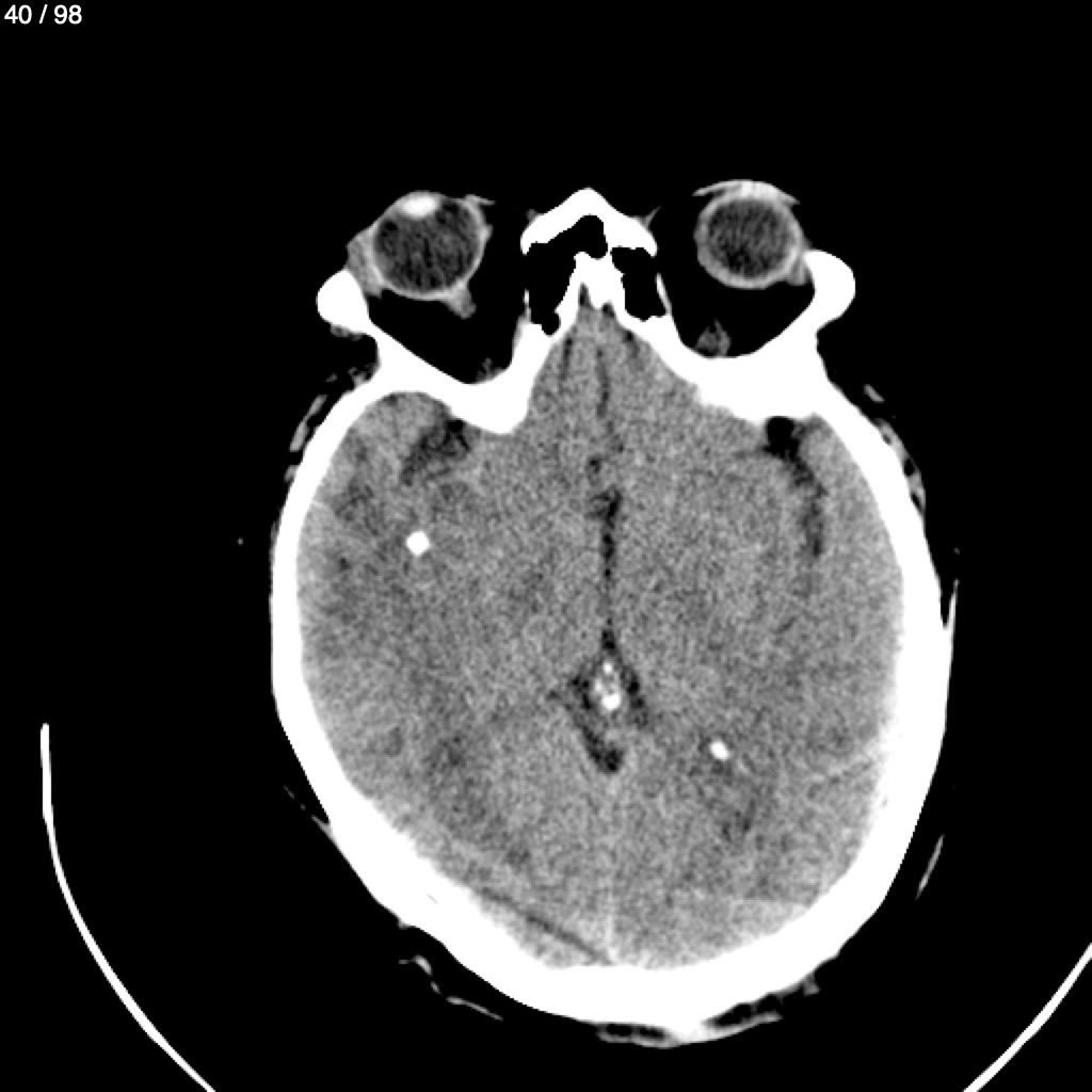
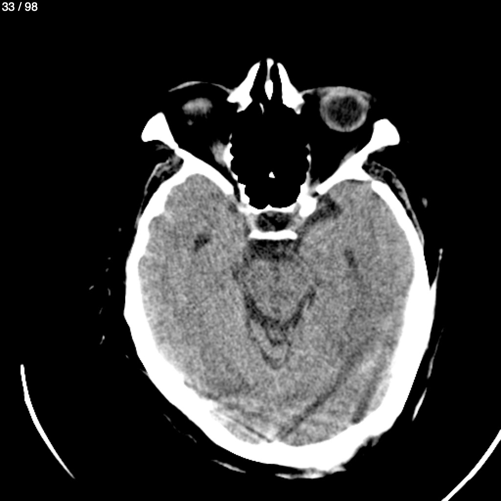
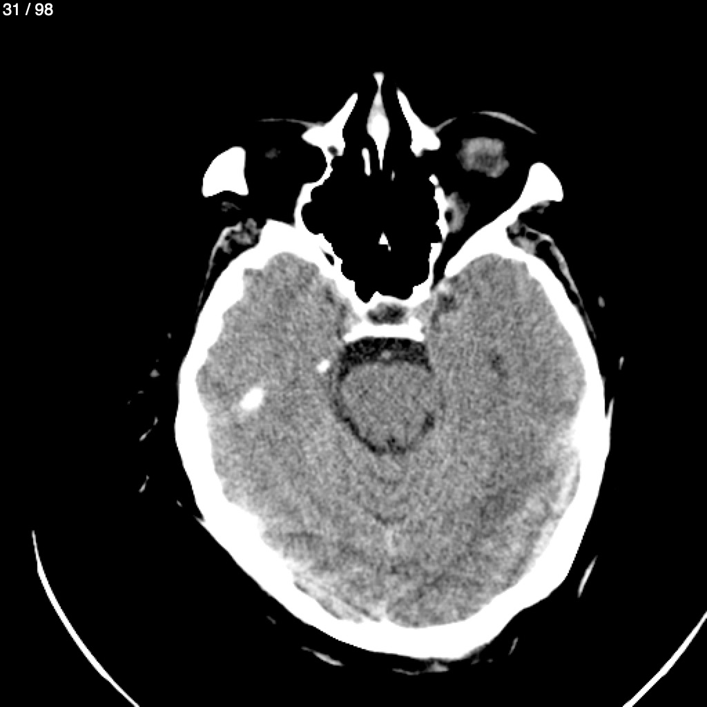
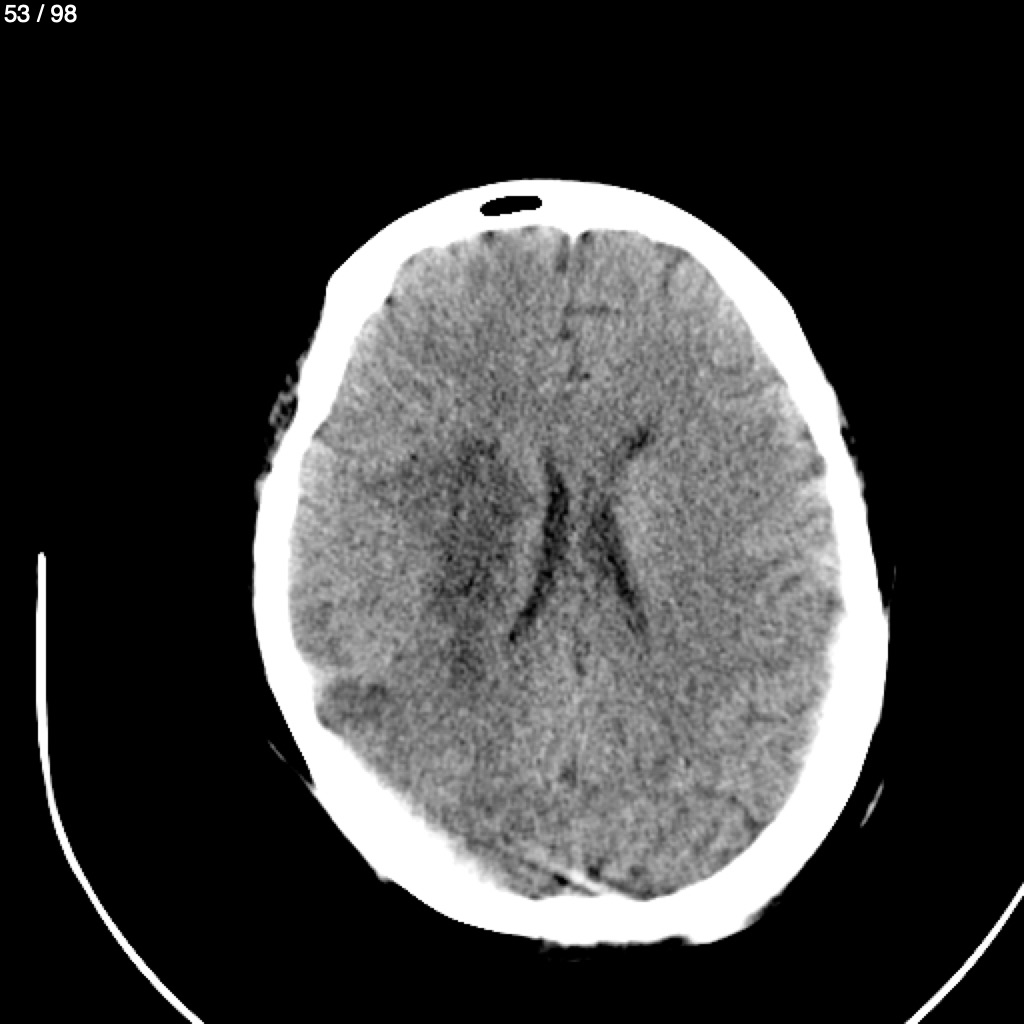
Auda Magali Gomez Ordoñez - Cabeza Simple_Craneo (Adulto)
Next Series
Show as Sequence