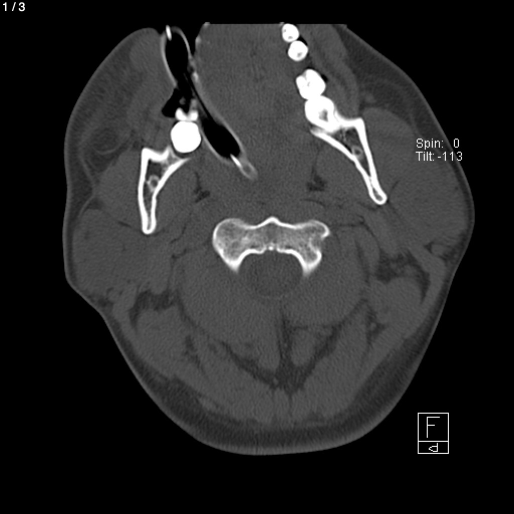
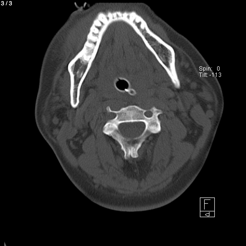
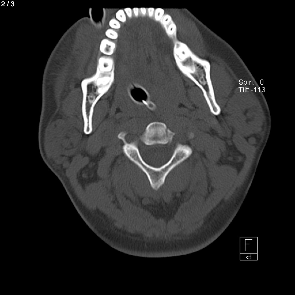
Home A​n​d​r​e​s​ ​B​a​u​t​i​s​t​a​ ​H​e​r​n​a​n​d​e​z​ ​-​ ​C​a​b​e​z​a​ ​S​i​m​p​l​e​c​r​a​n​e​o​ ​(​A​d​u​l​t​o​)