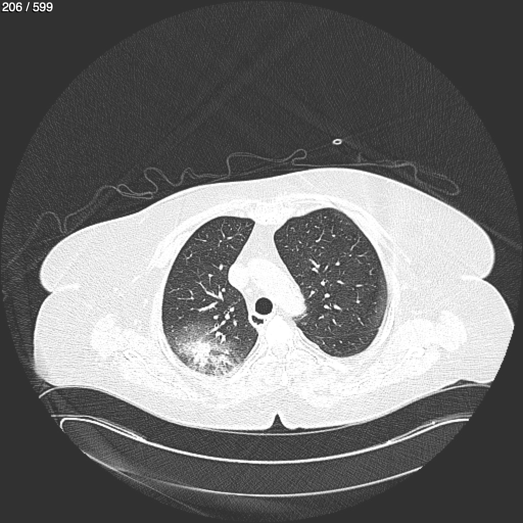
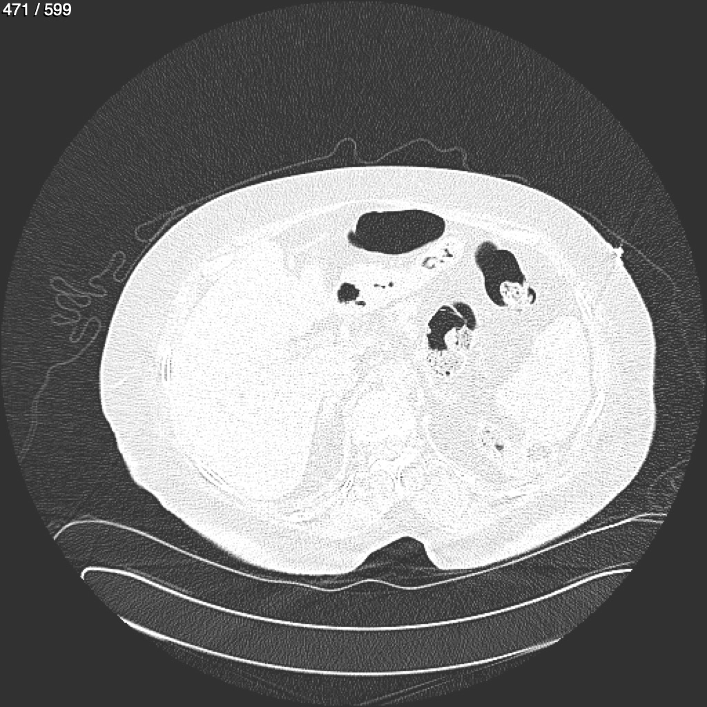
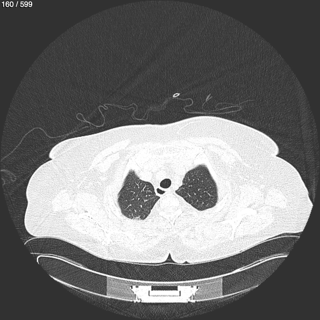
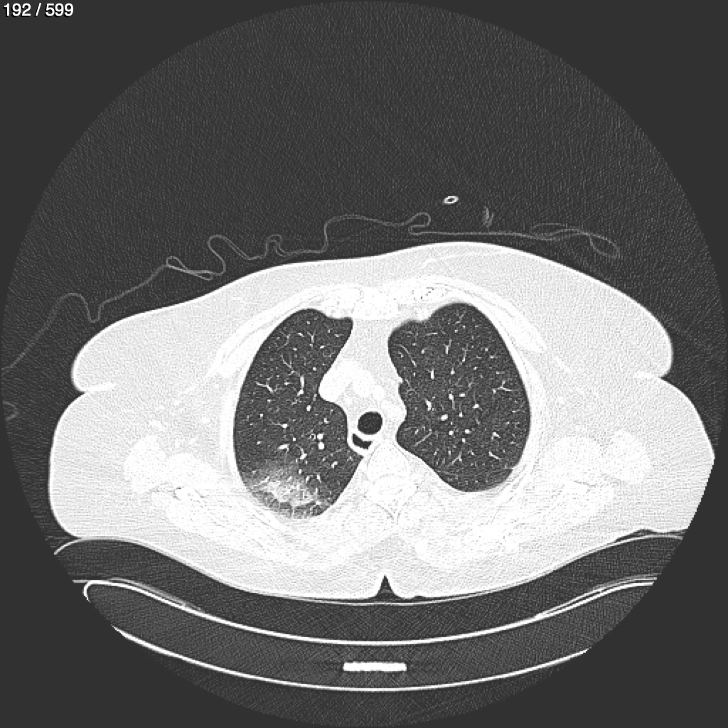
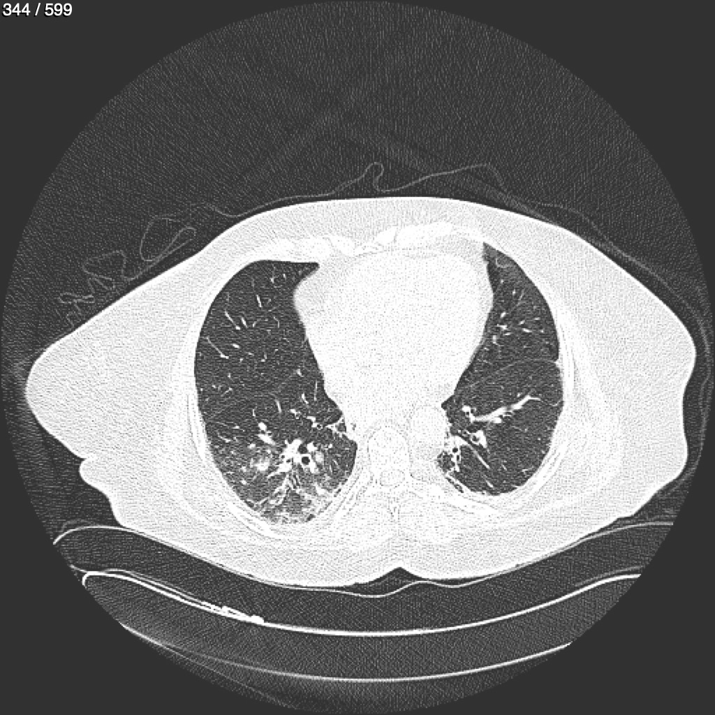
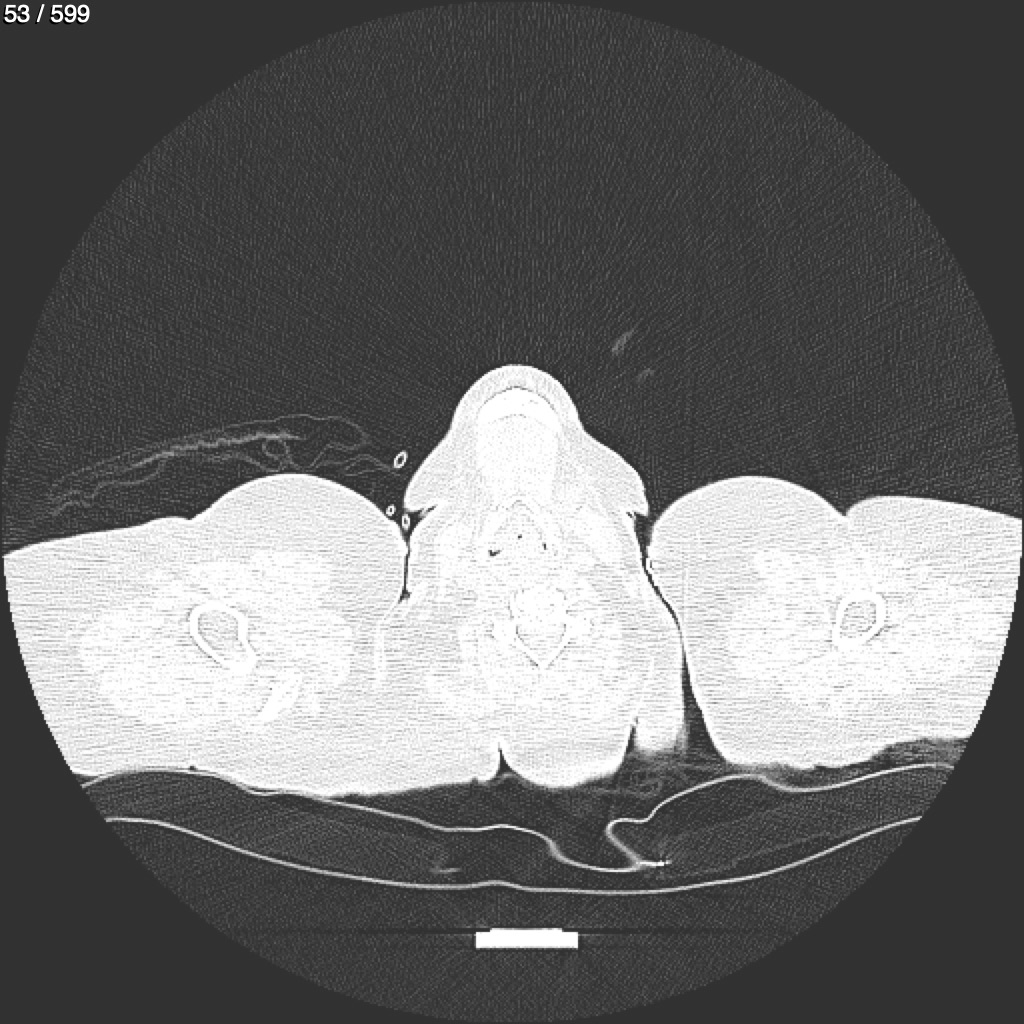
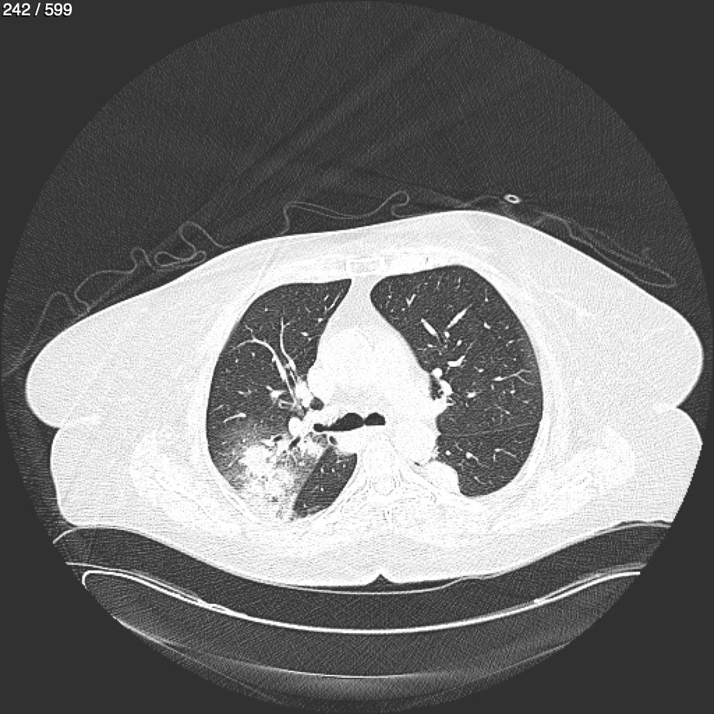
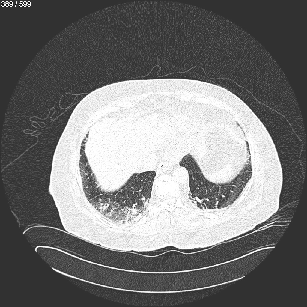
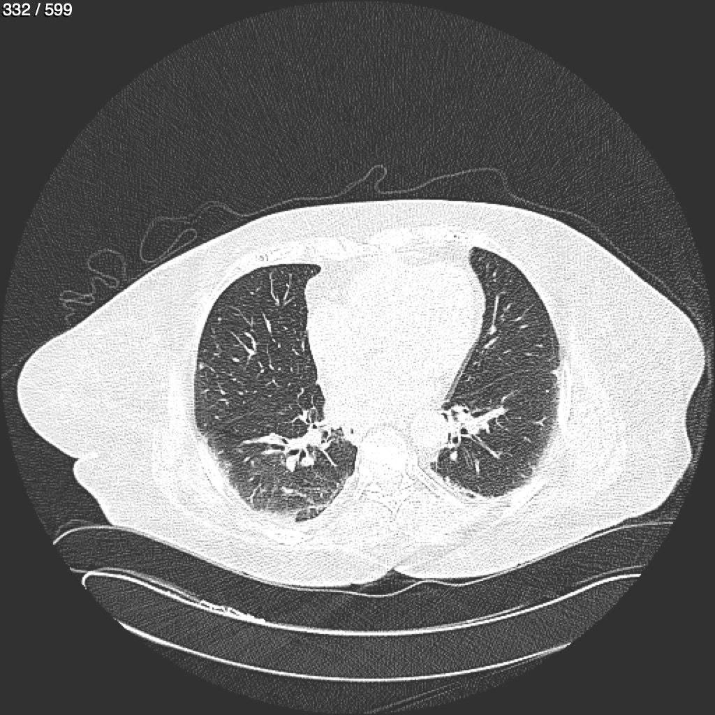
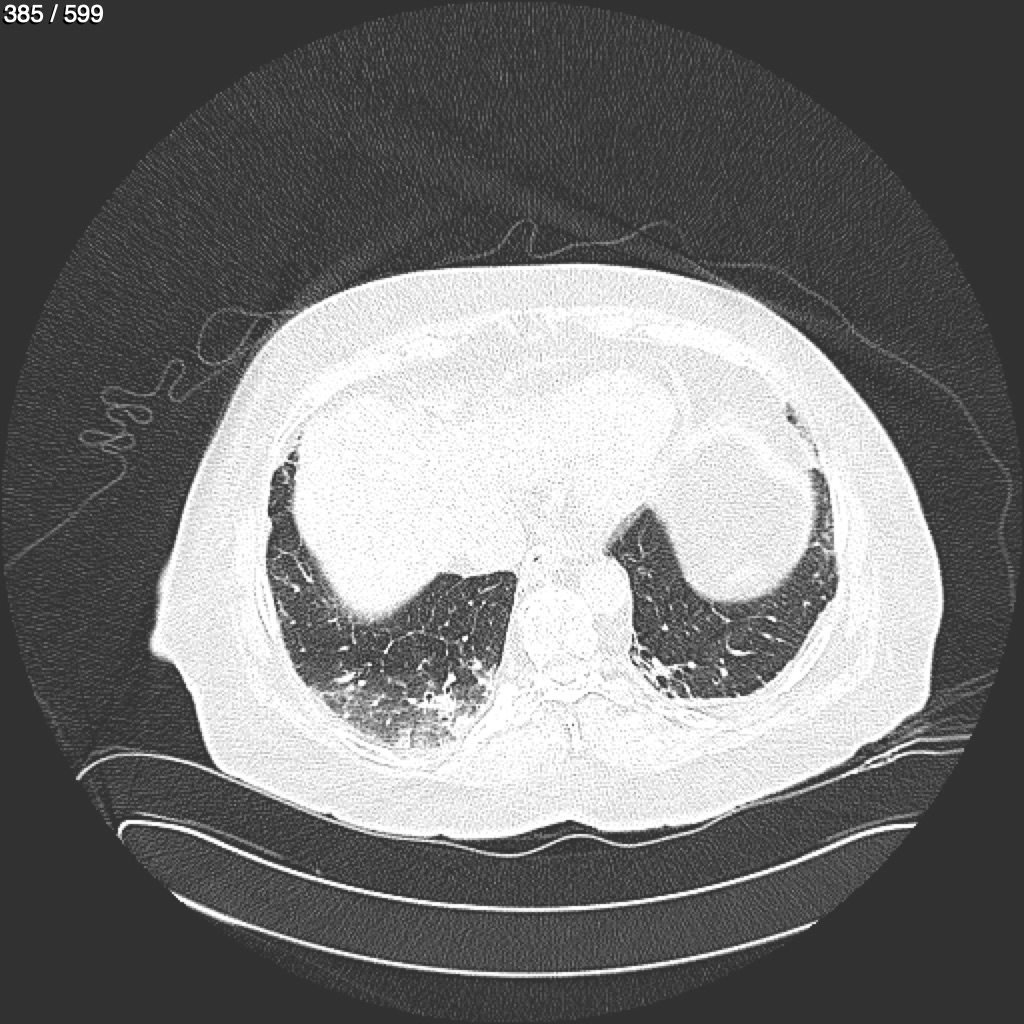
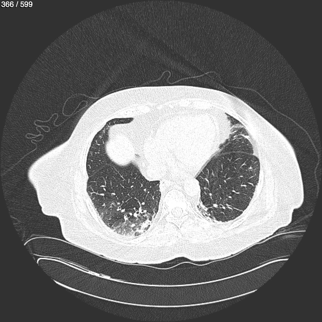
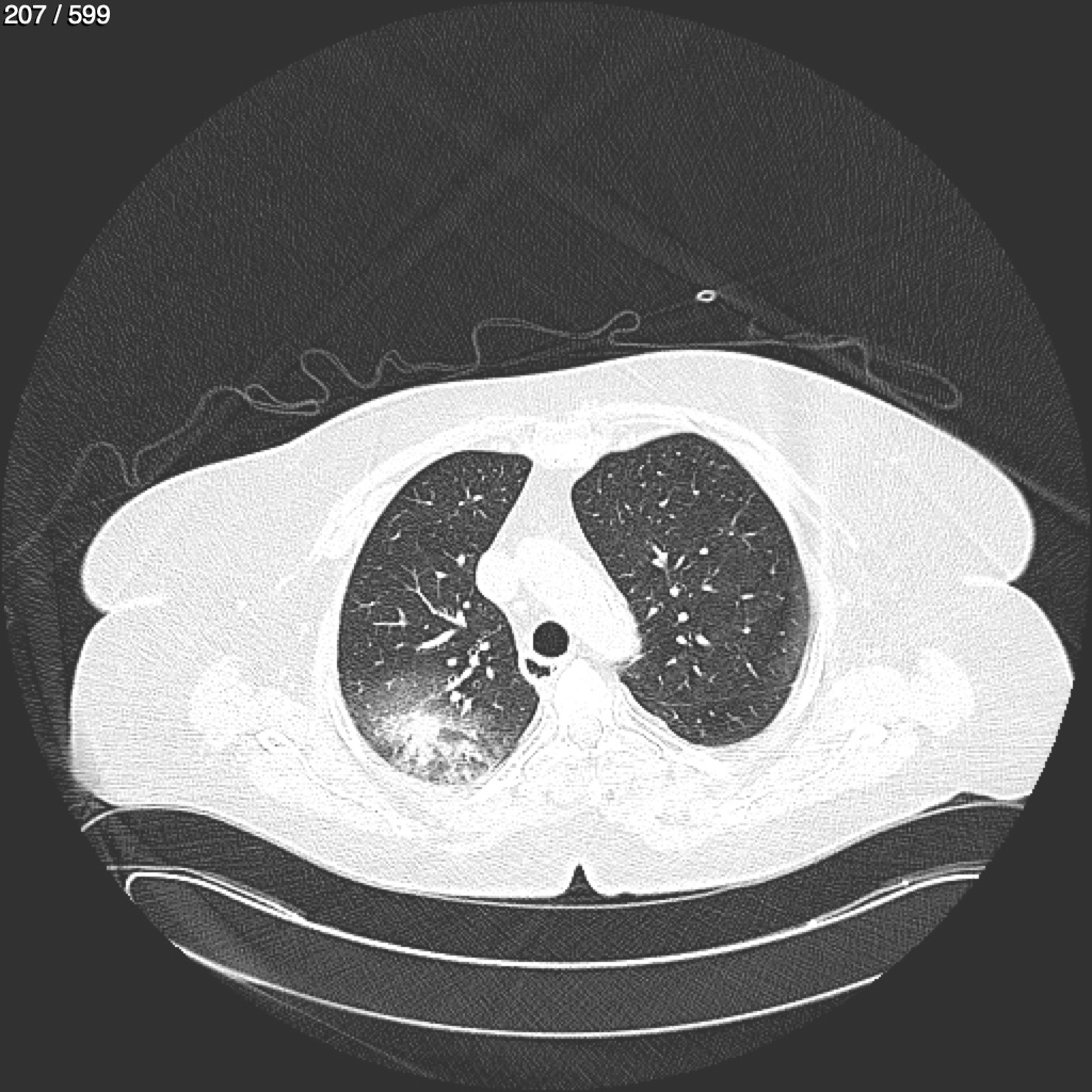
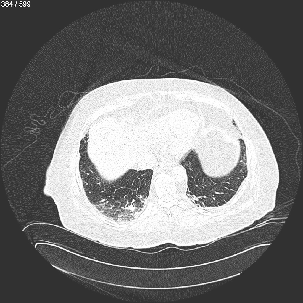
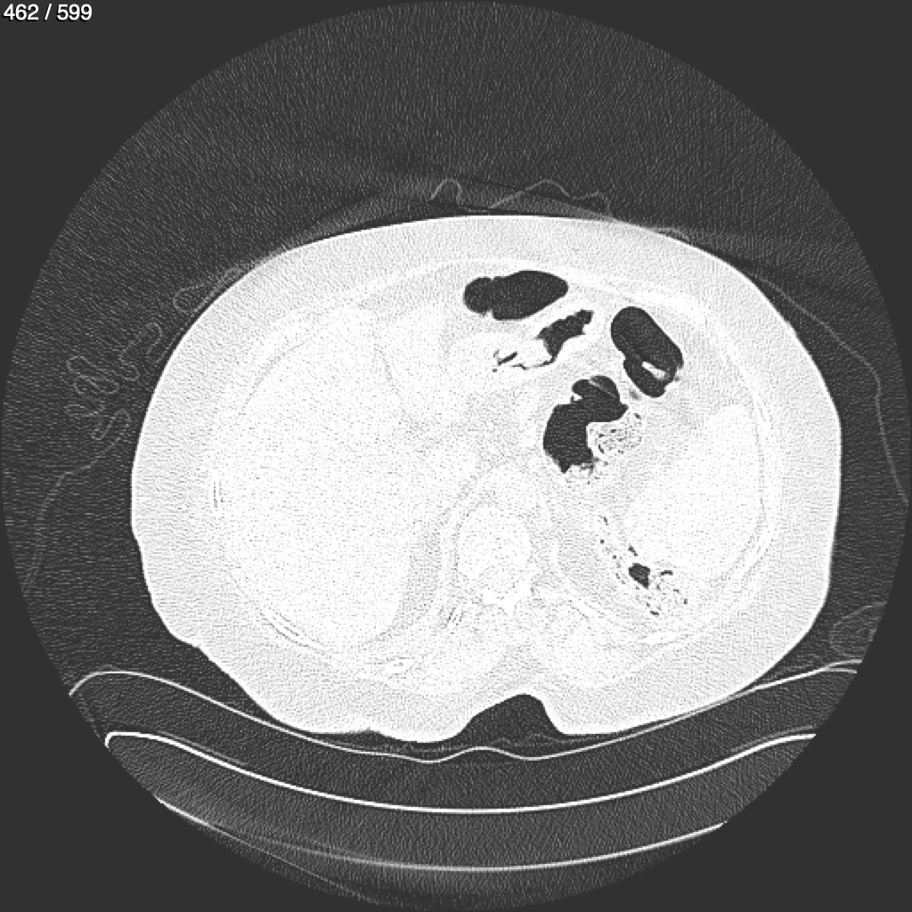
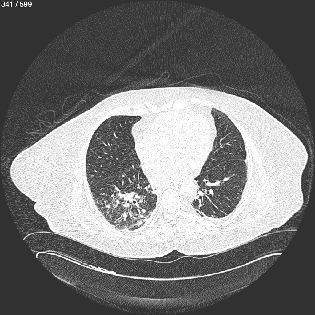
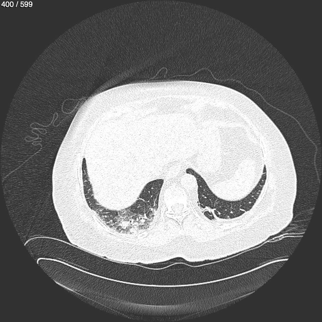
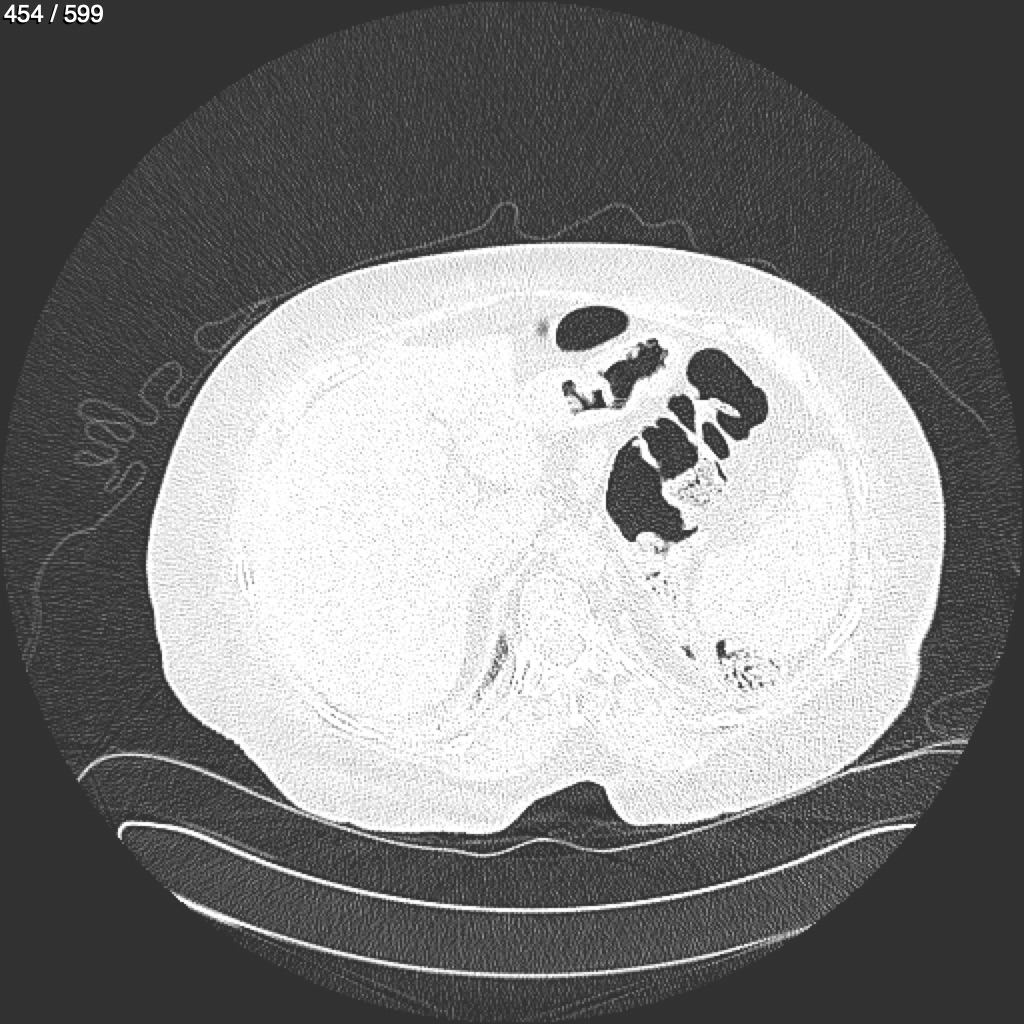
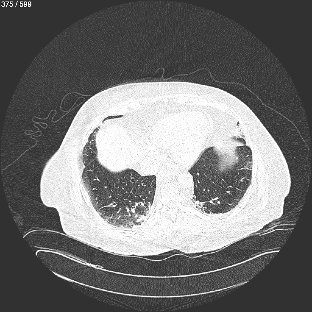
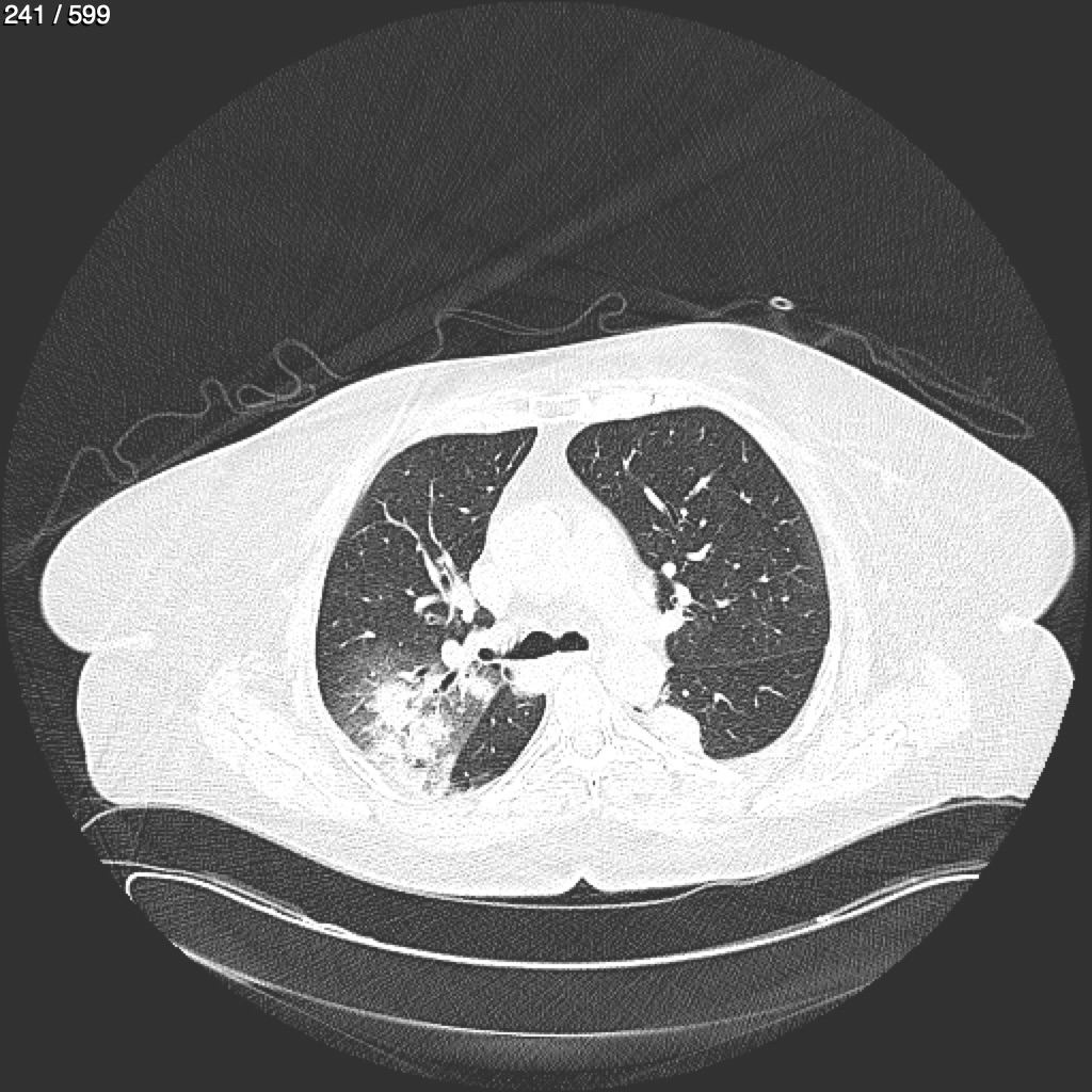
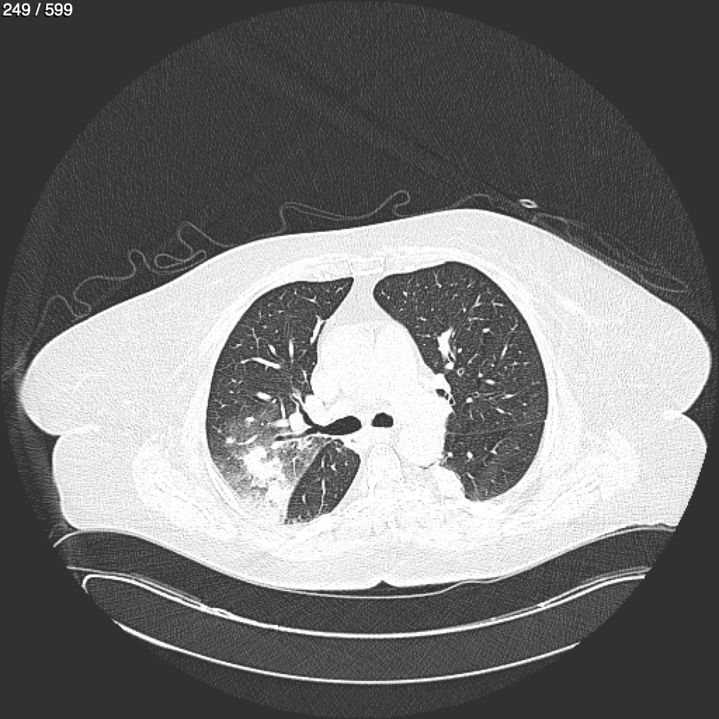
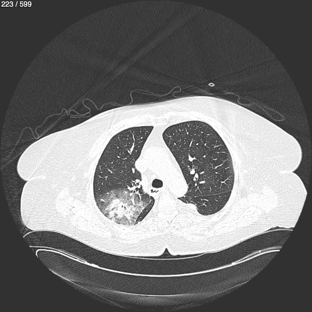
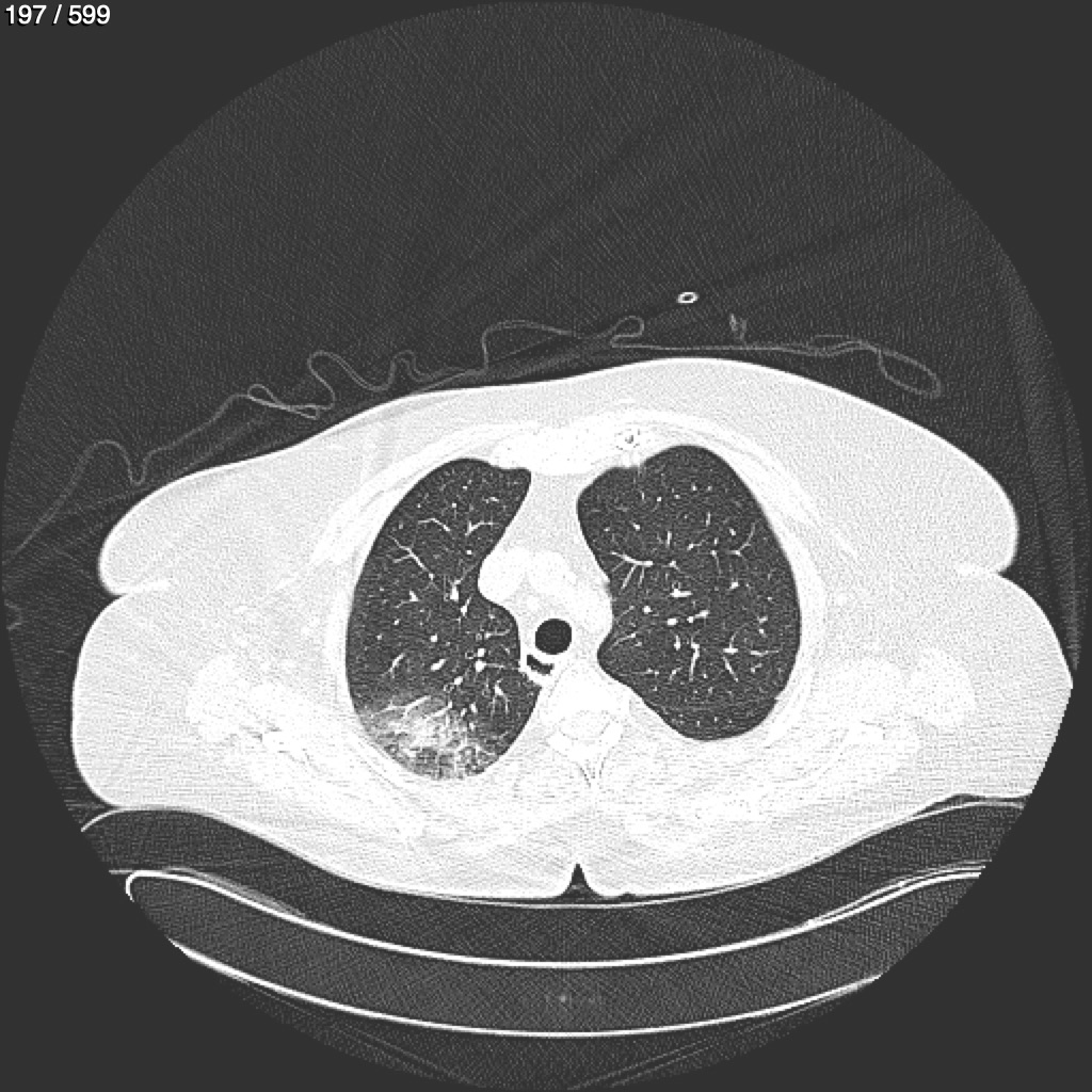
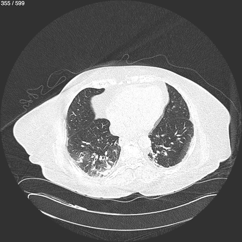
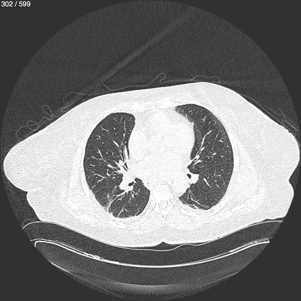
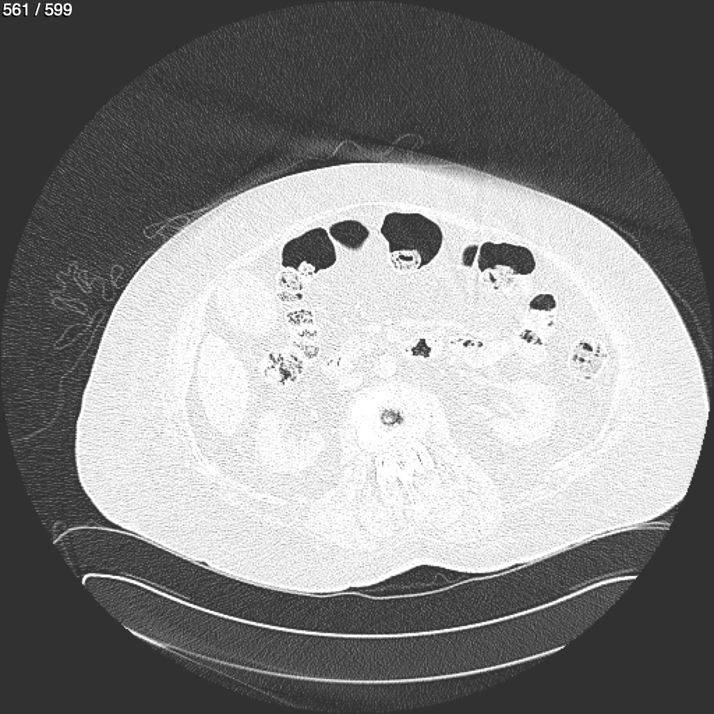
Home G​l​o​r​i​a​ ​G​l​a​d​y​s​ ​B​e​a​s​l​e​y​ ​-​ ​T​ó​r​a​x​ ​T​o​r​a​x​_​S​i​m​p​l​e​ ​(​A​d​u​l​t​o​)