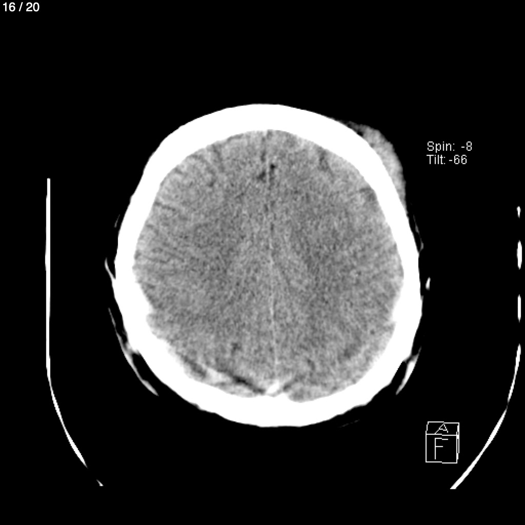
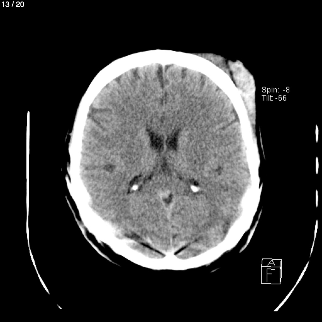
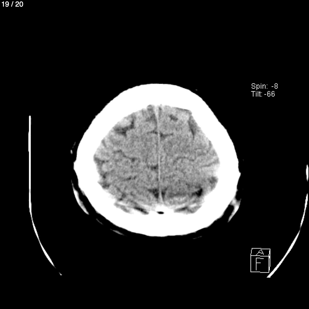
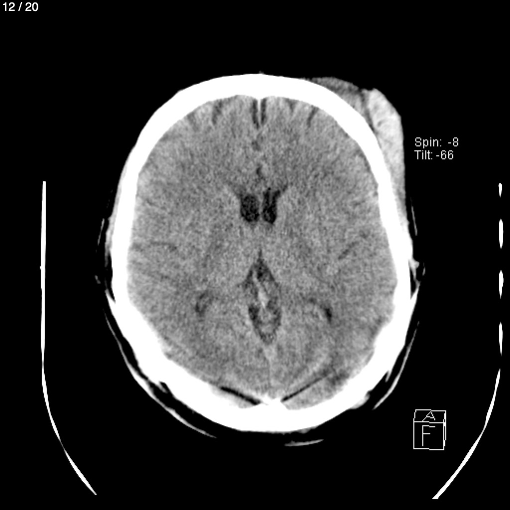
Home R​e​y​d​e​r​ ​R​i​z​o​ ​P​e​r​e​z​ ​-​ ​C​a​b​e​z​a​ ​S​i​m​p​l​e​_​C​r​a​n​e​o​ ​(​A​d​u​l​t​o​)