HUIXTLA
ESCUINTLA
AKISHINO
AKISHINO2 USG
ESPECIALIDADES
Home
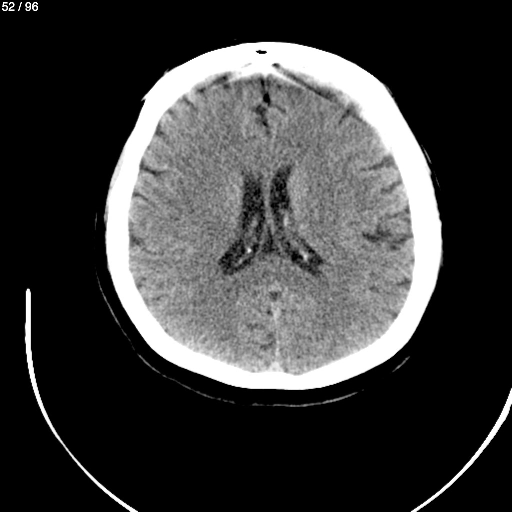
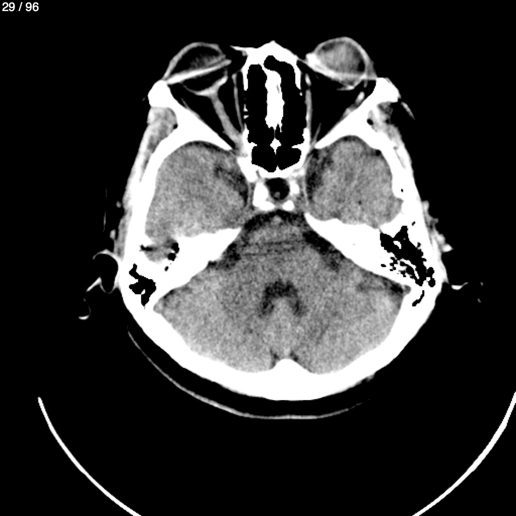
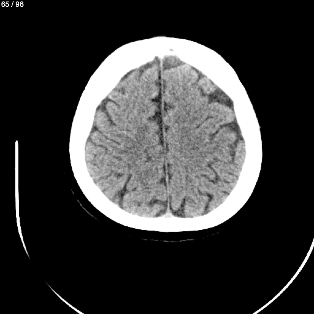
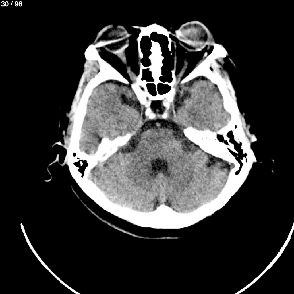
Amanda Sen Vazquez - Cabeza Simple_Craneo (Adulto)
Next Series
Show as Sequence