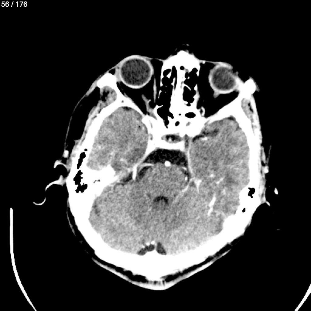
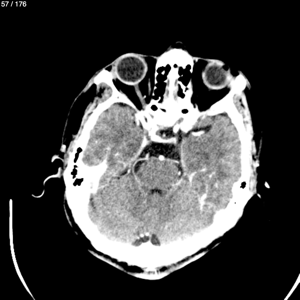
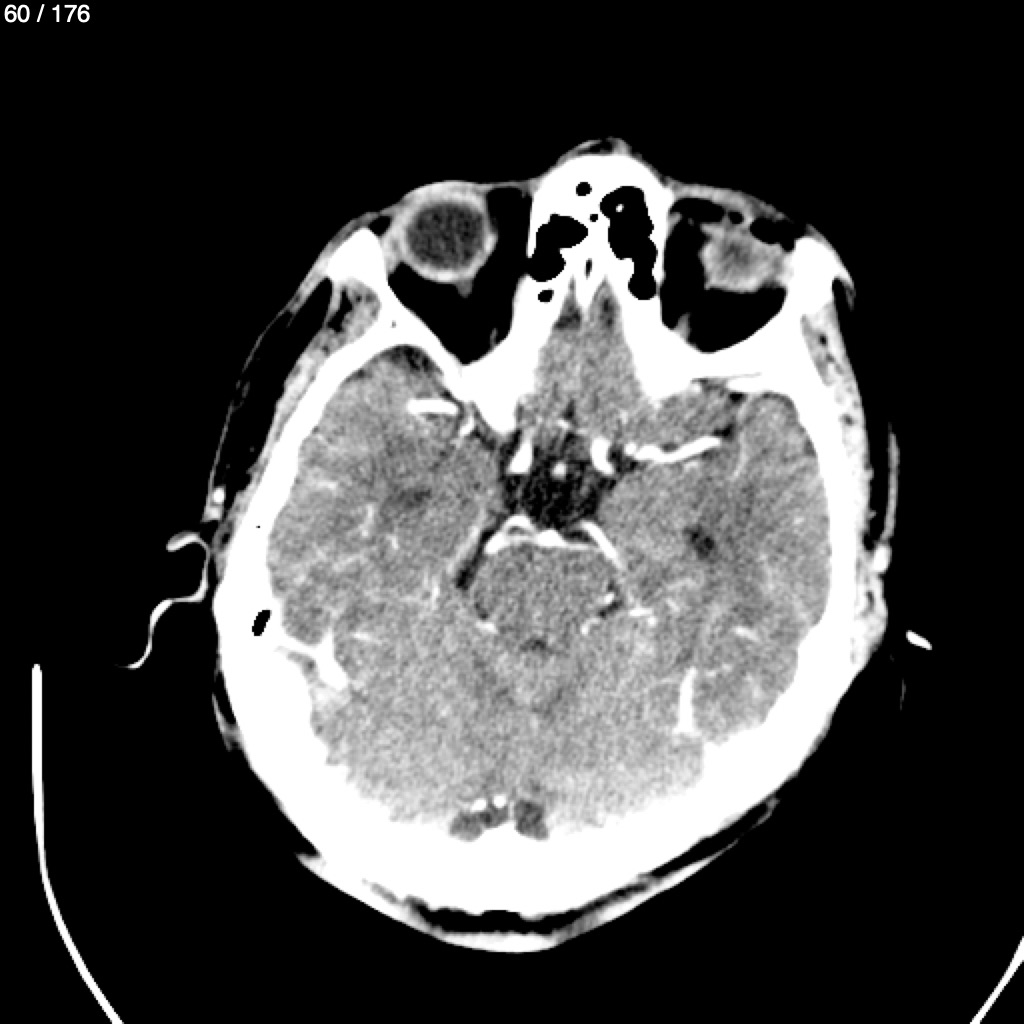
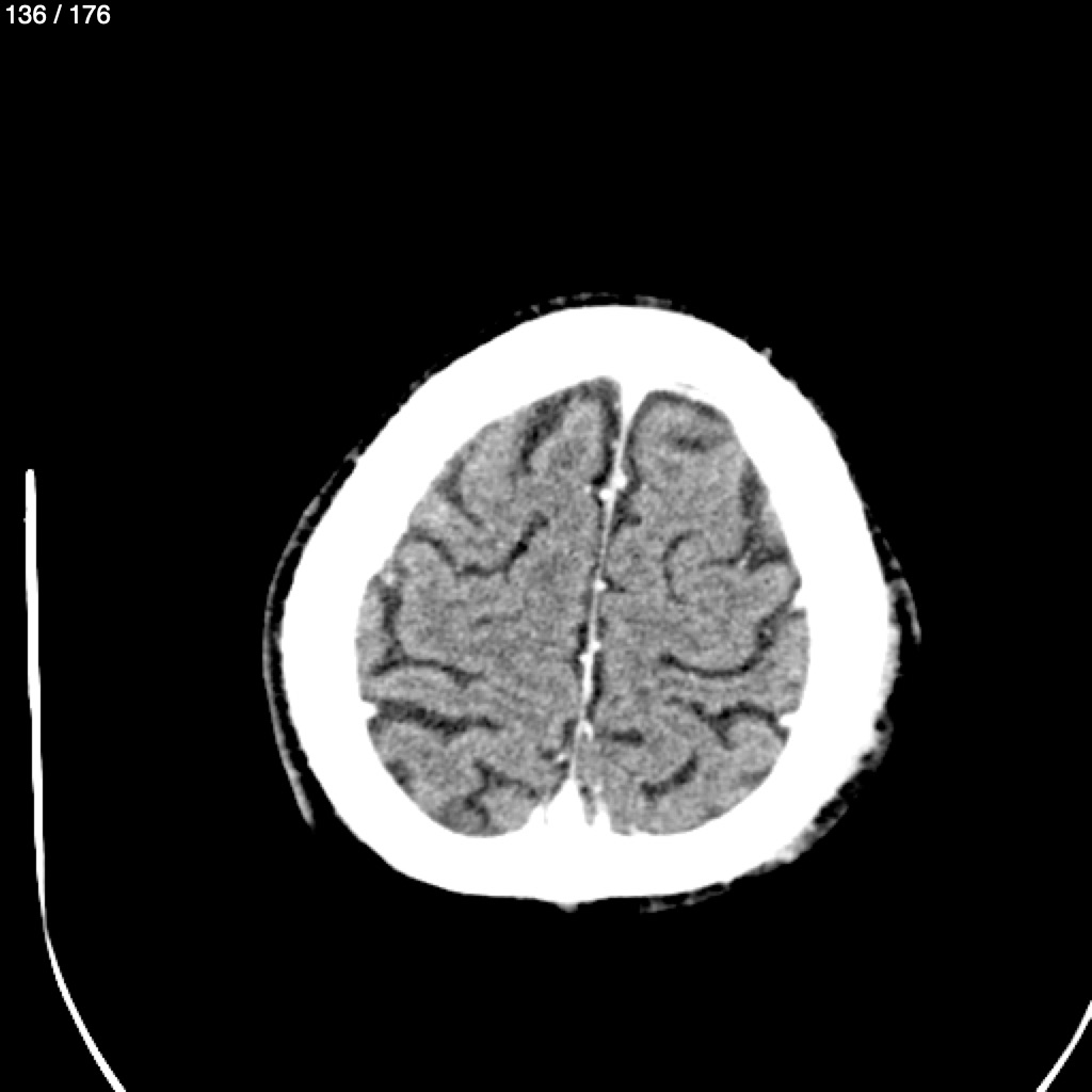
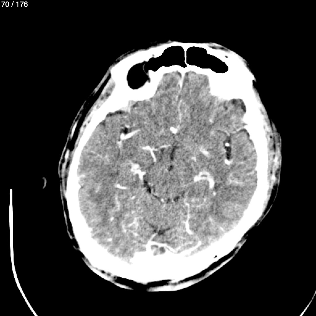
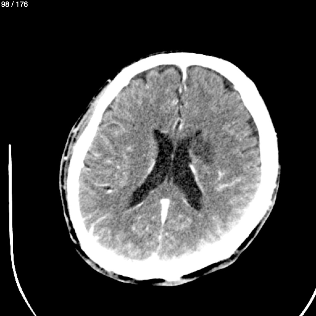
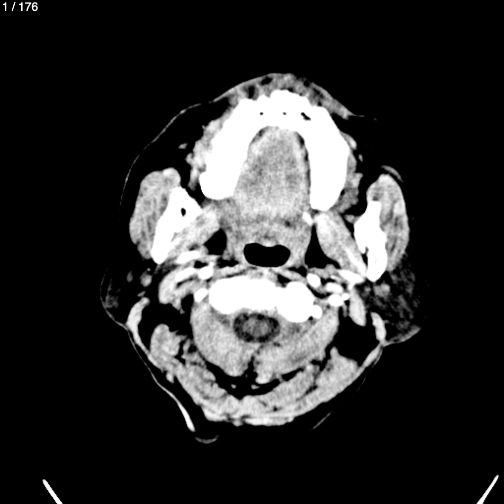
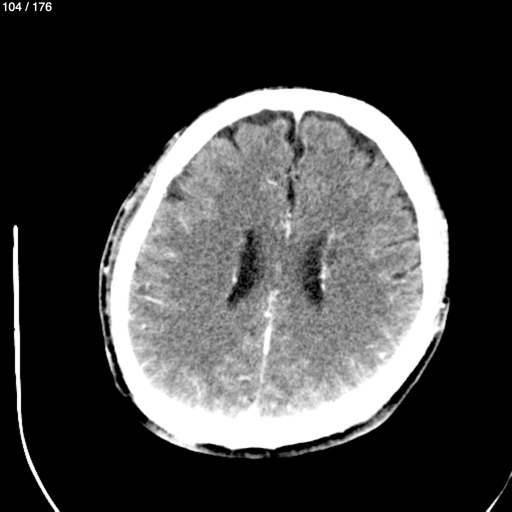
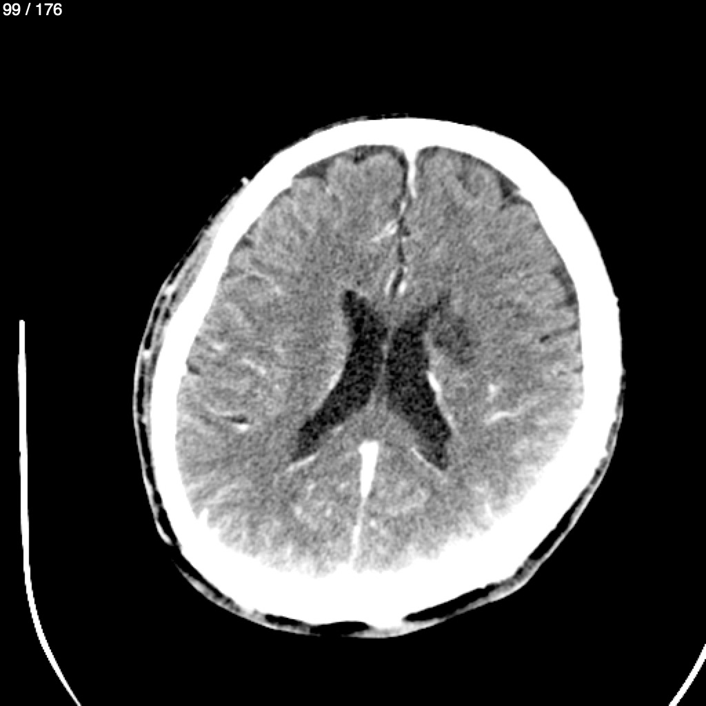
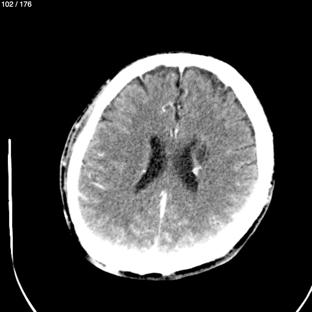
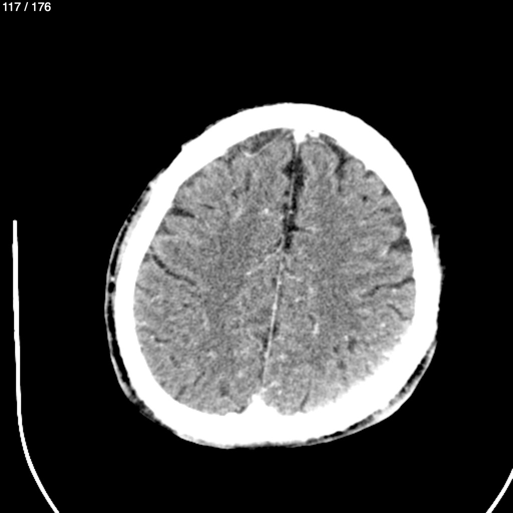
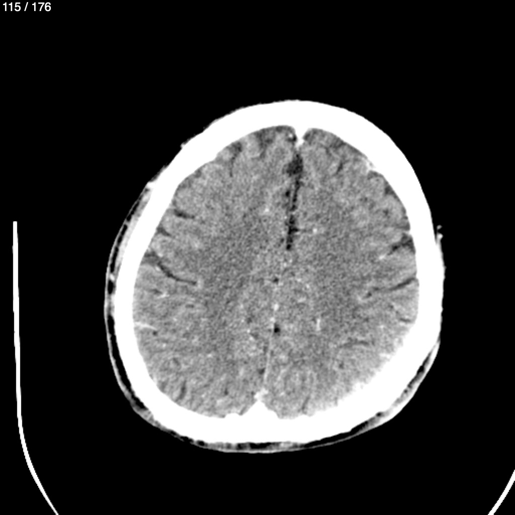
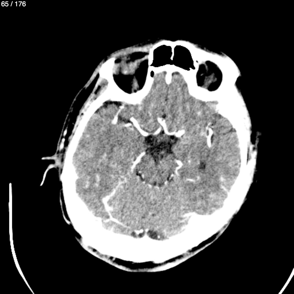
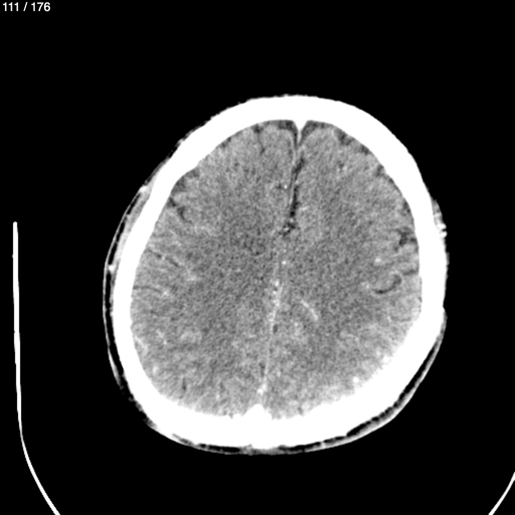
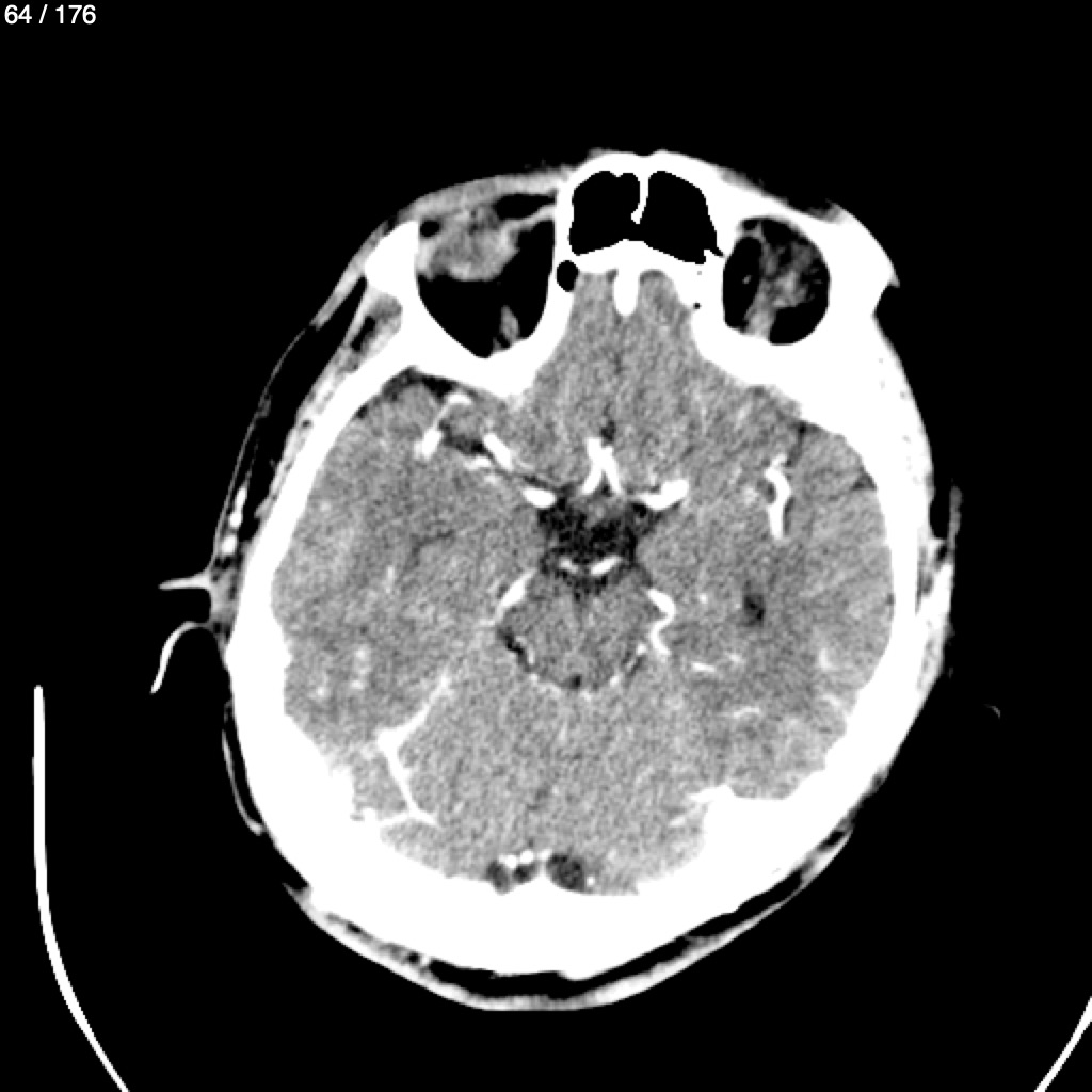
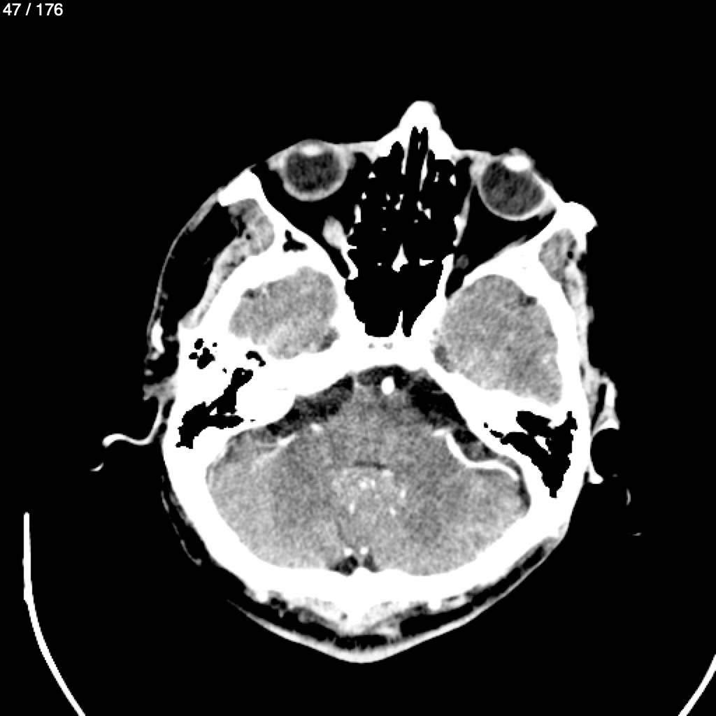
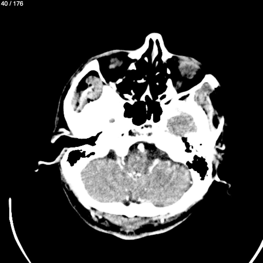
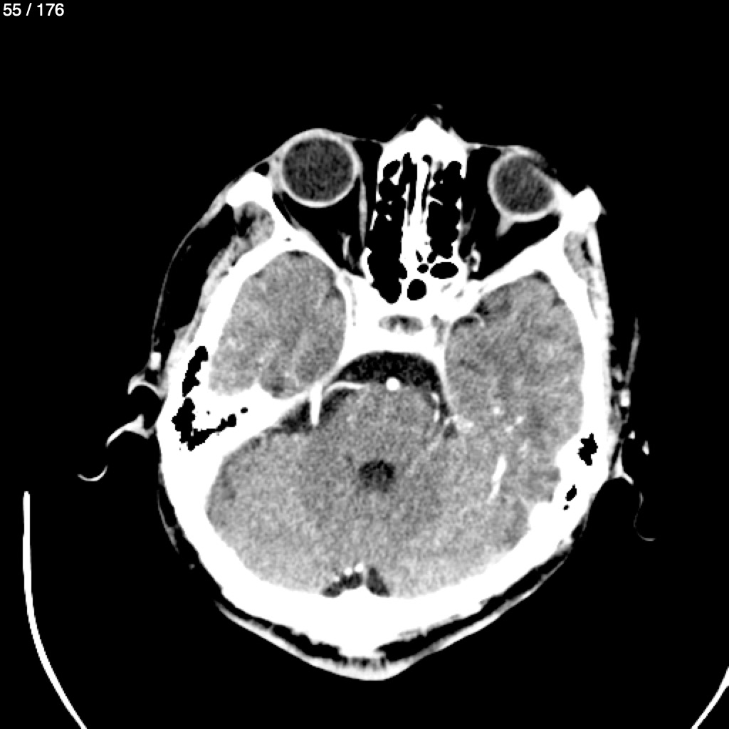
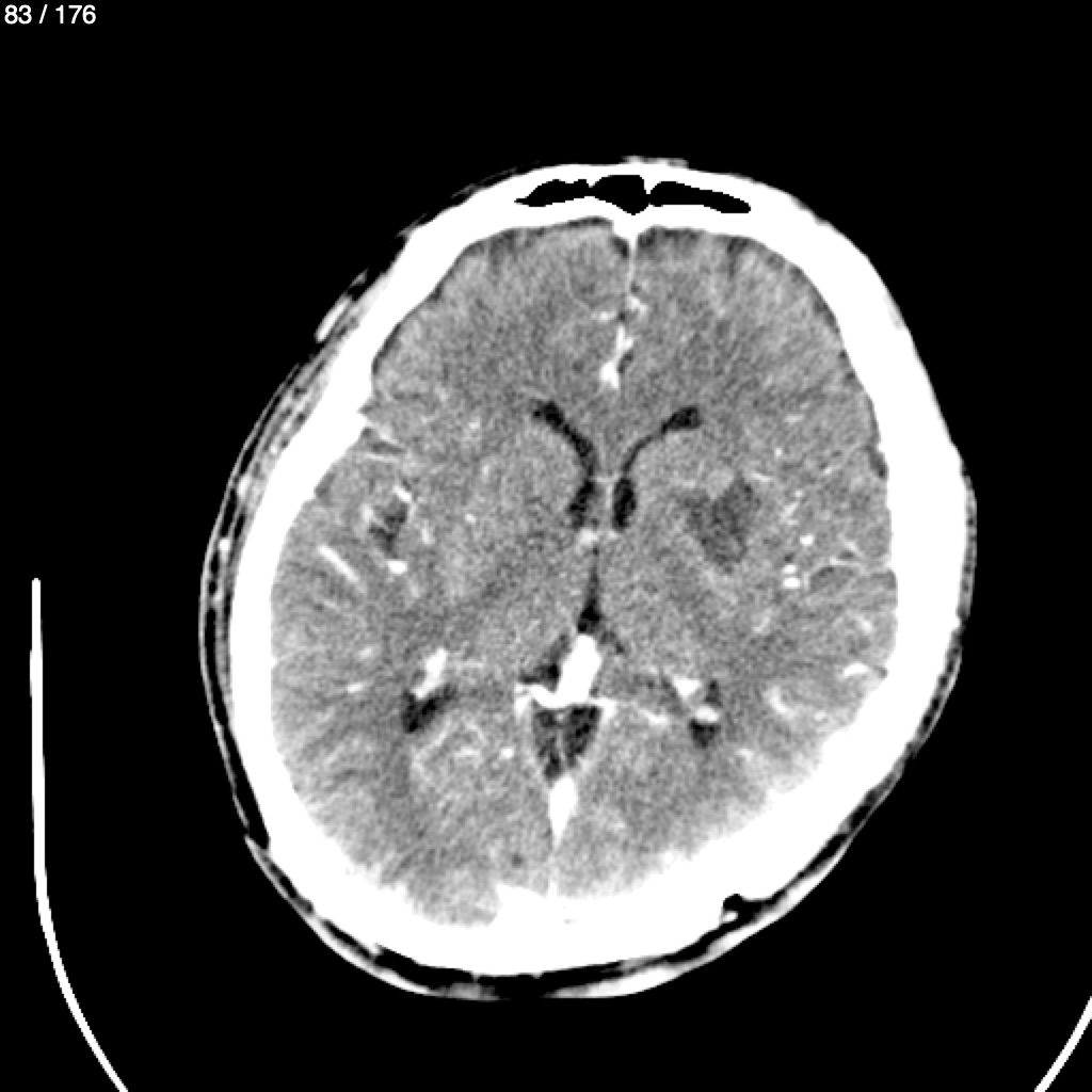
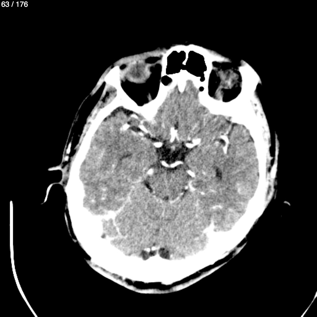
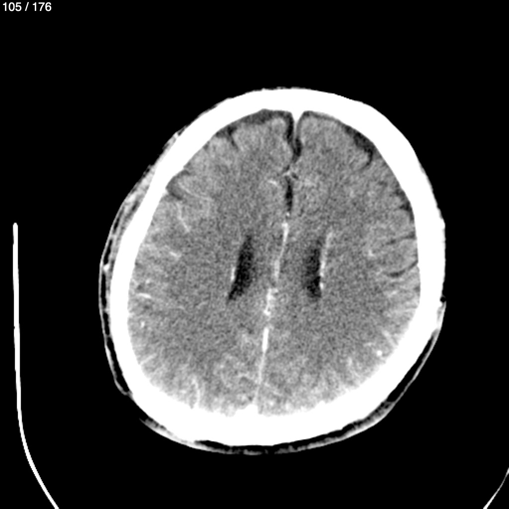
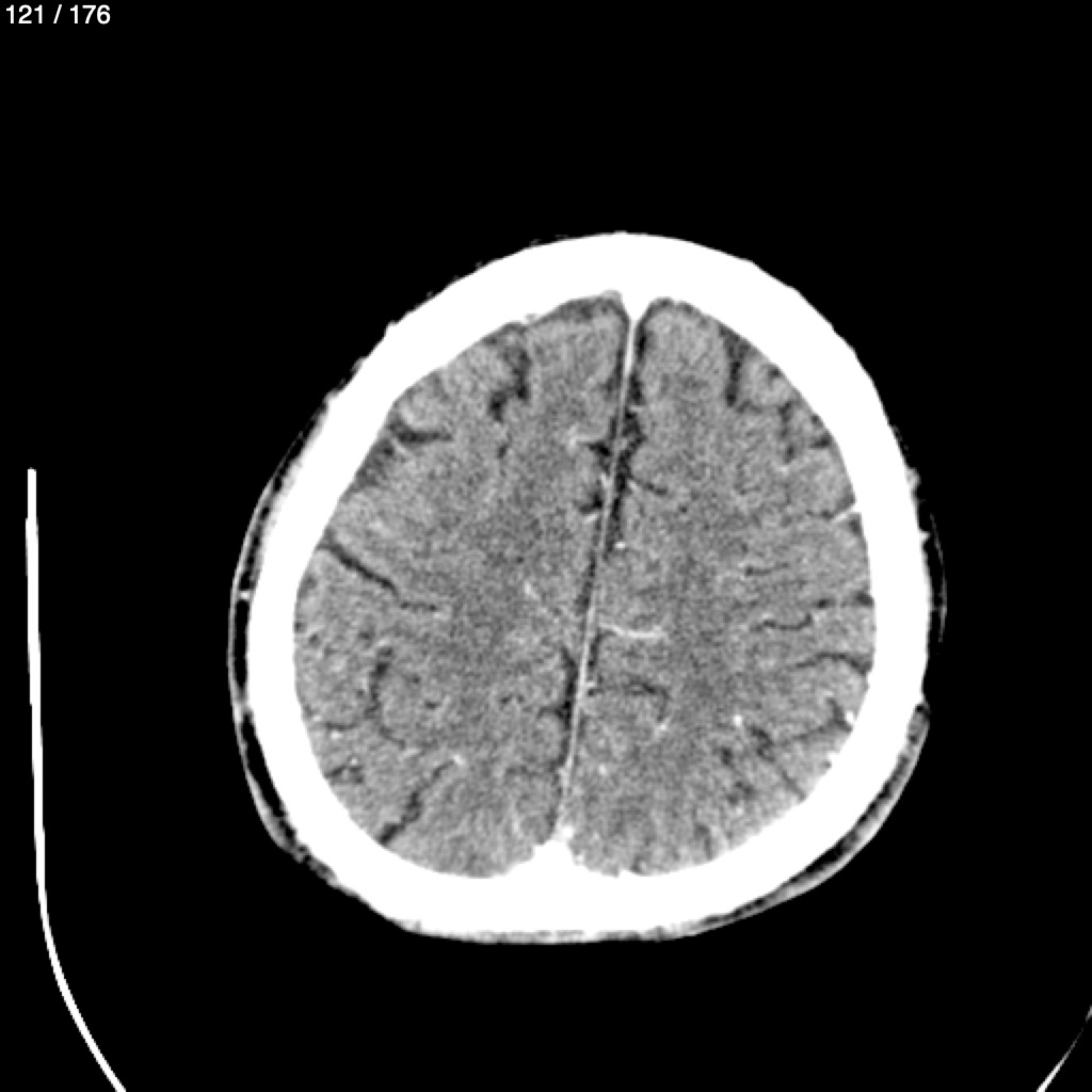
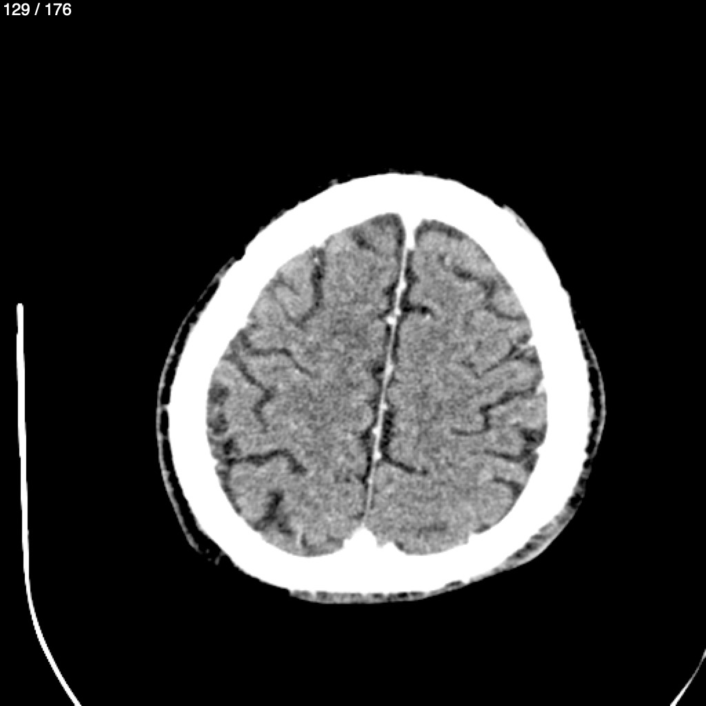
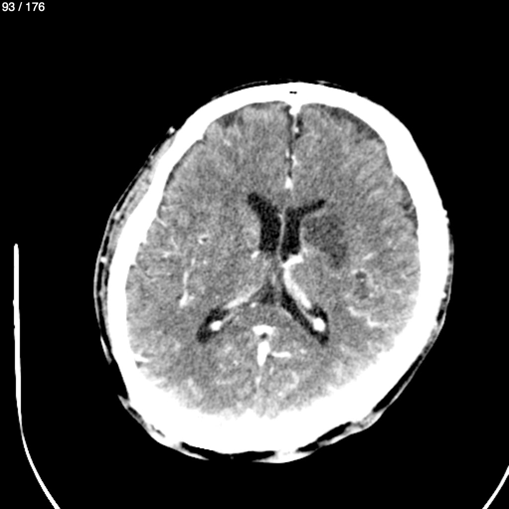
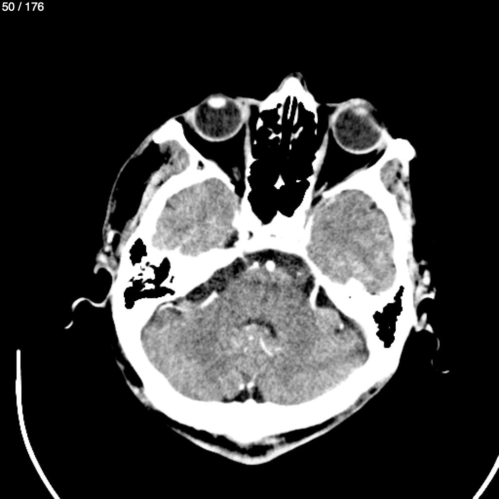
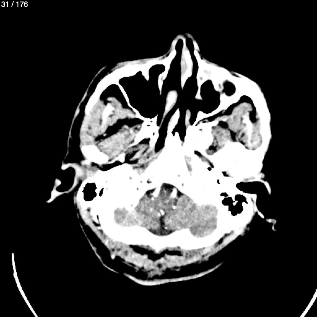
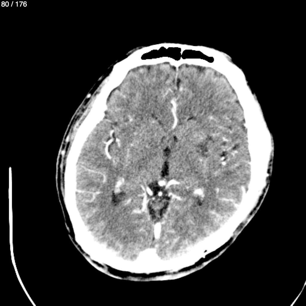
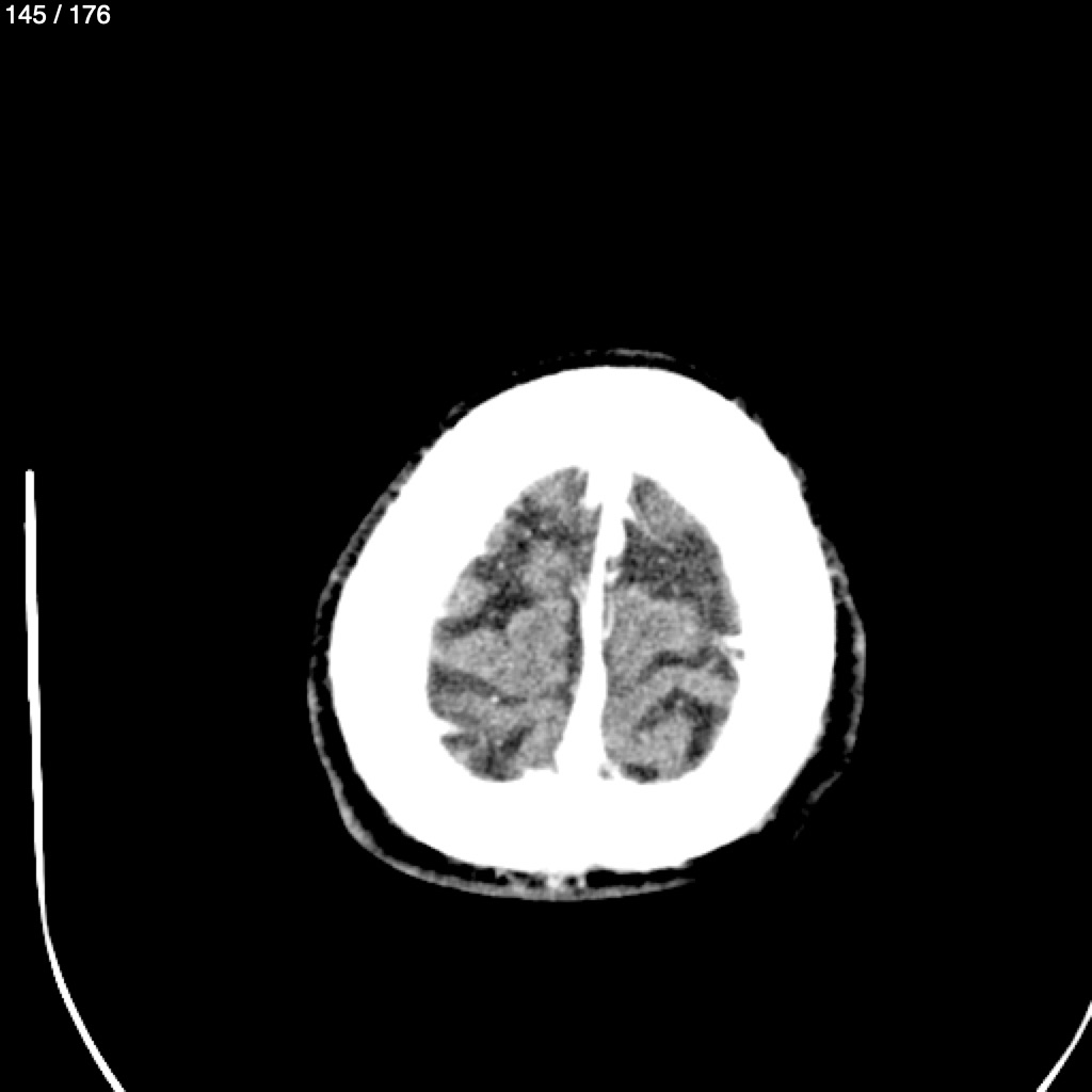
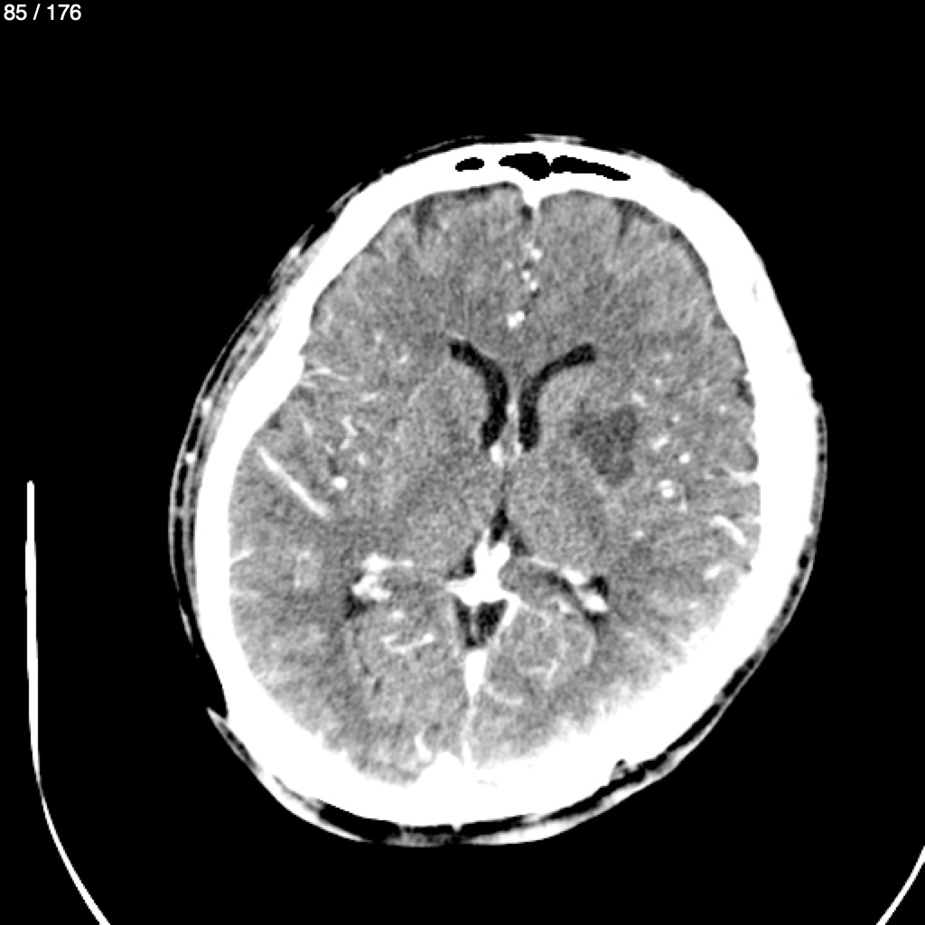
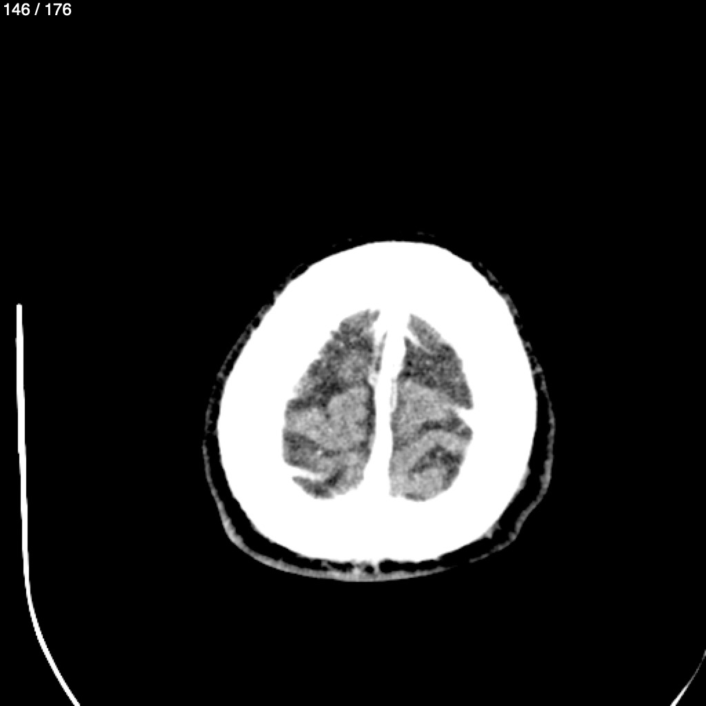
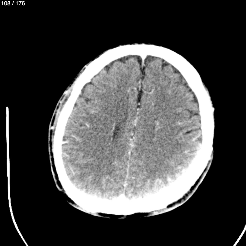
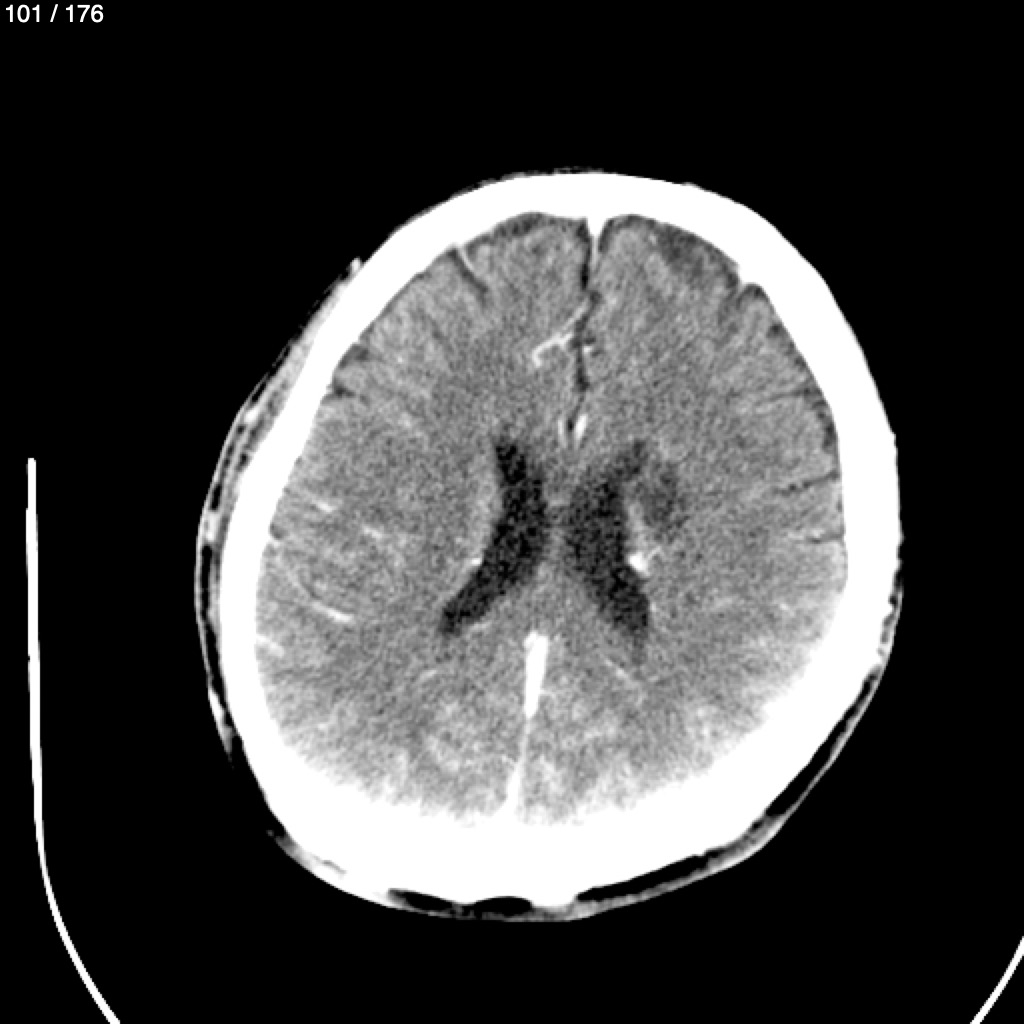
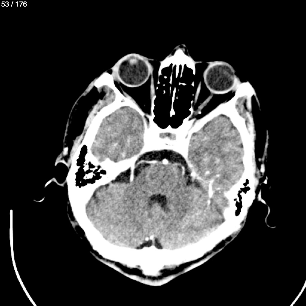
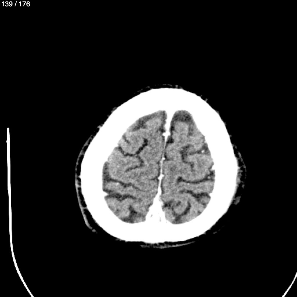
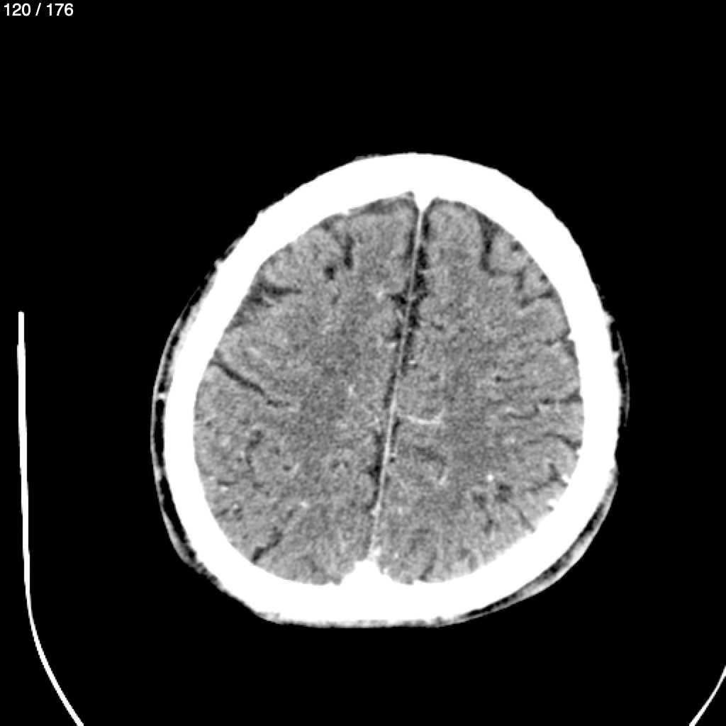
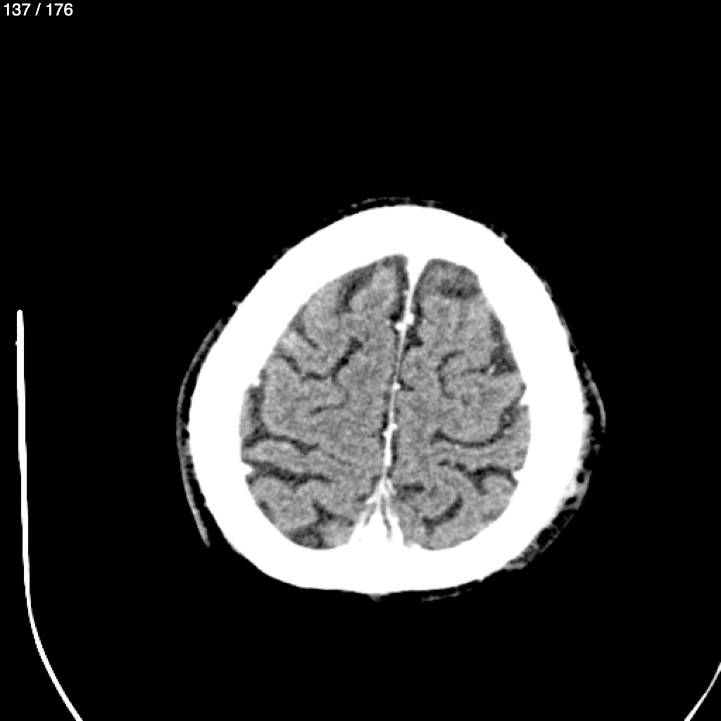
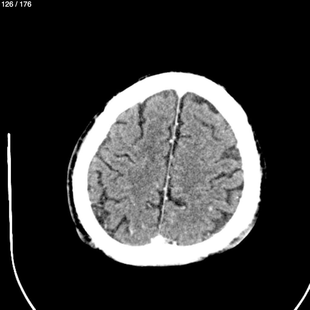
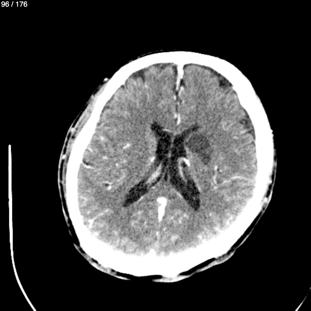
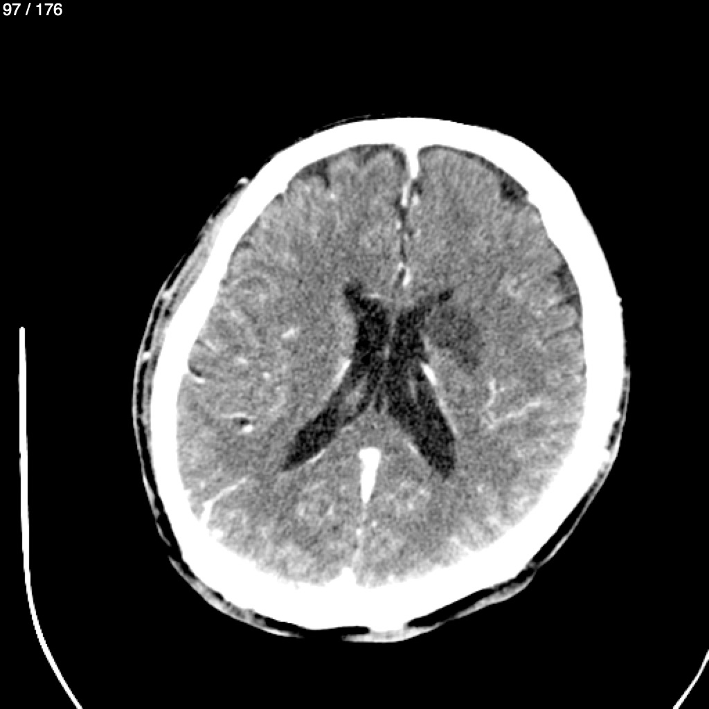
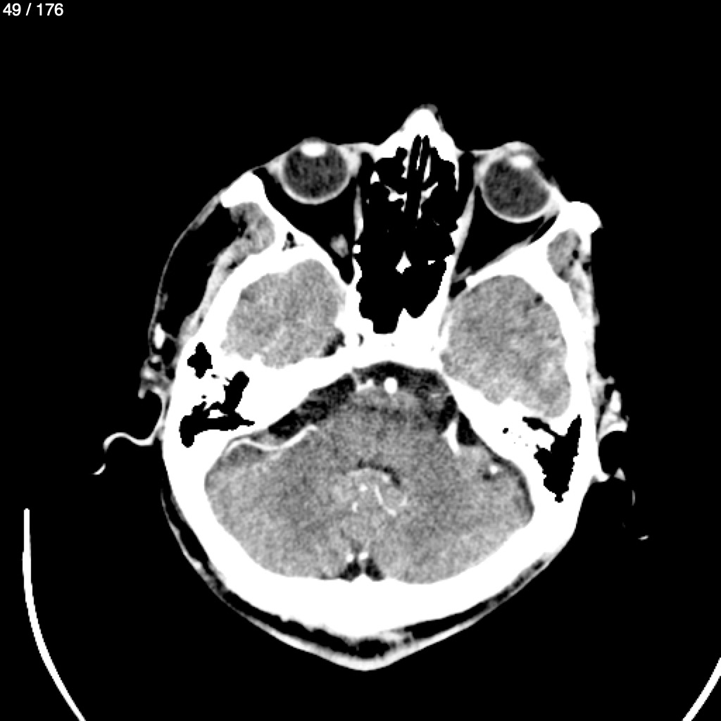
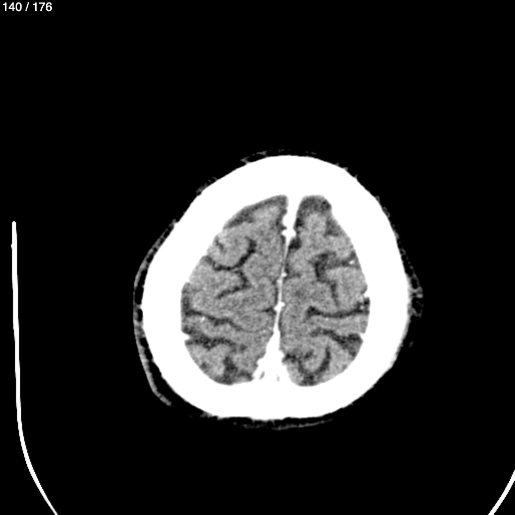
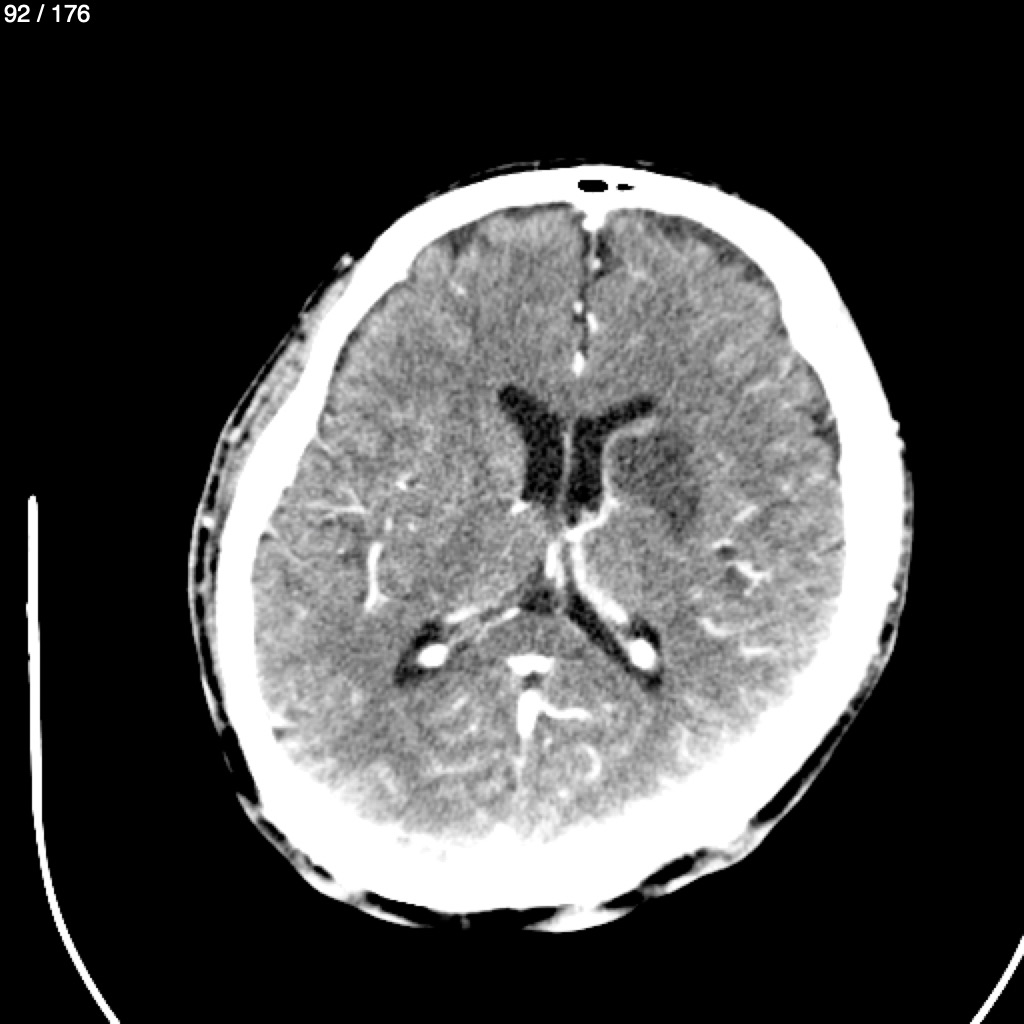
Home A​n​t​o​n​i​o​ ​G​u​t​i​e​r​r​e​z​ ​O​j​e​d​a​ ​-​ ​C​a​b​e​z​a​ ​C​r​a​n​e​o​_​S​y​c​ ​(​A​d​u​l​t​o​)