HUIXTLA
ESCUINTLA
AKISHINO
AKISHINO2 USG
ESPECIALIDADES
Home
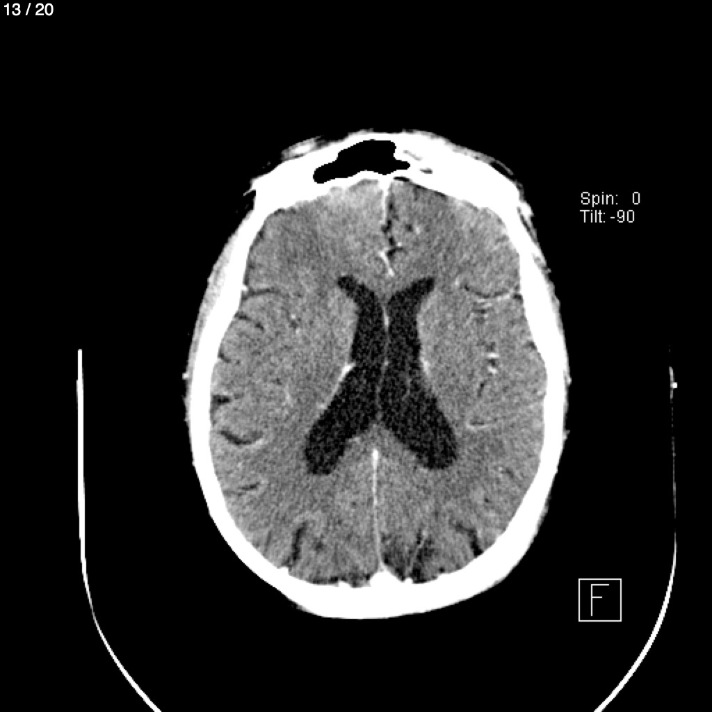
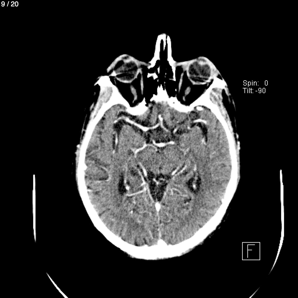
Armando Muñoz Jimenez - Cabeza Craneo_Syc (Adulto)
Previous Series
Show as Sequence