HUIXTLA
ESCUINTLA
AKISHINO
AKISHINO2 USG
ESPECIALIDADES
Home
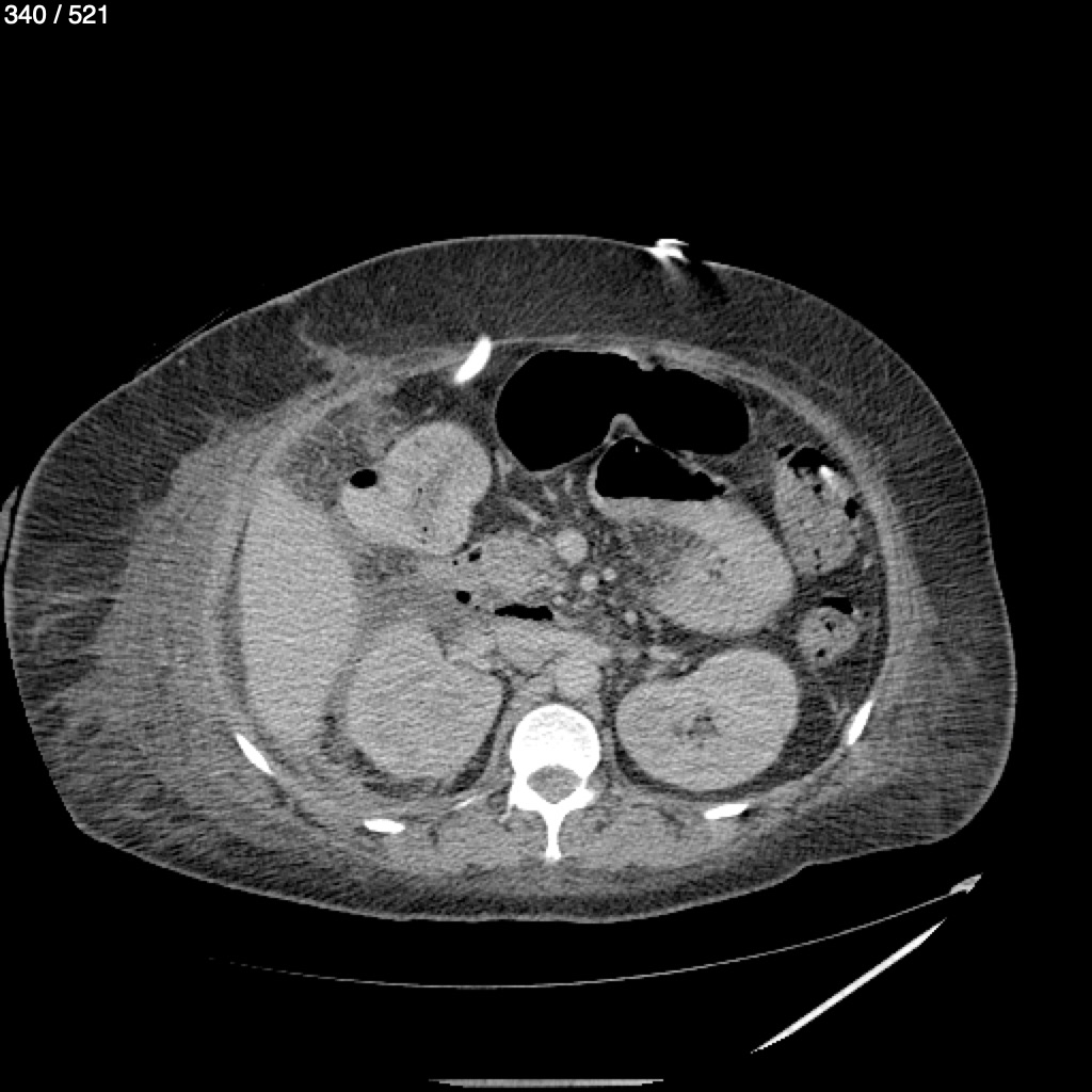
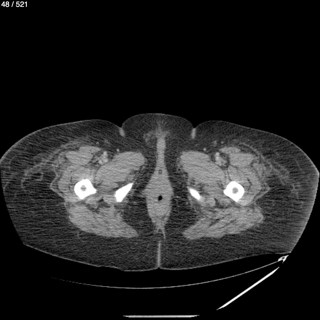
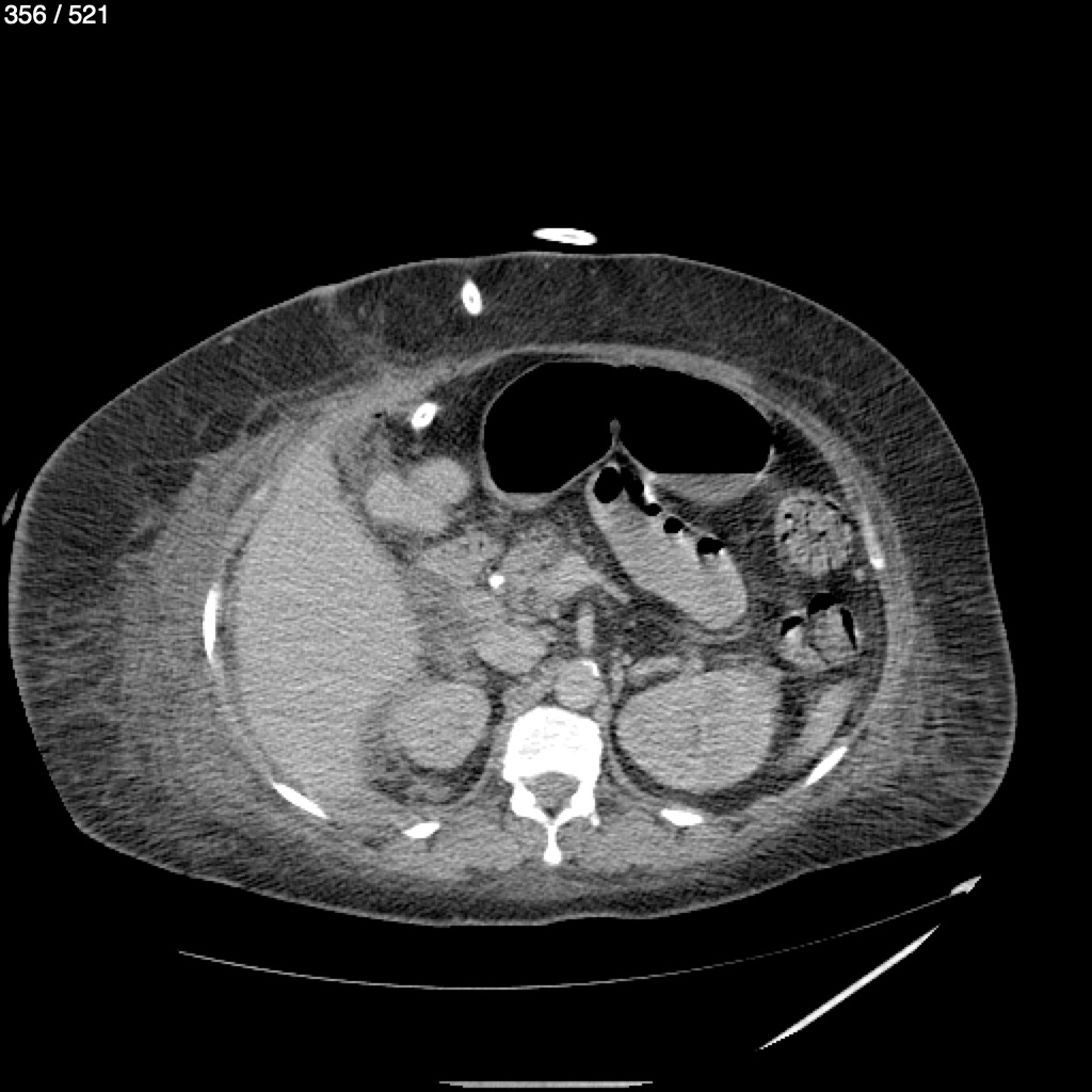
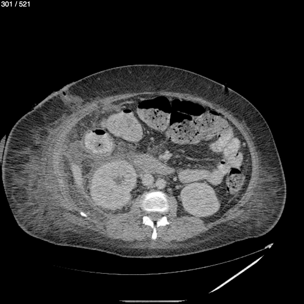
Anselma Guadalupe Dominguez 51A - Unnamed
Previous Series
Next Series
Show as Sequence