HUIXTLA
ESCUINTLA
AKISHINO
AKISHINO2 USG
ESPECIALIDADES
Home
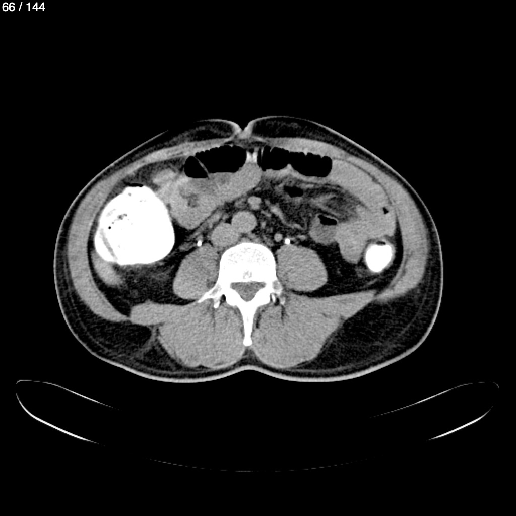
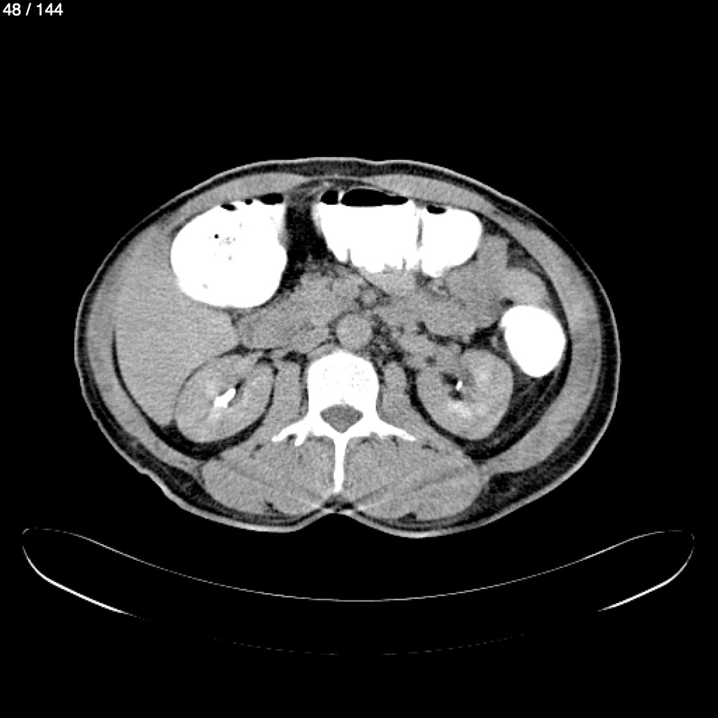
Alejandro Cardenas Reyes - Abdomen Colotaclu (Adulto)
Previous Series
Next Series
Show as Sequence