HUIXTLA
ESCUINTLA
AKISHINO
AKISHINO2 USG
ESPECIALIDADES
Home
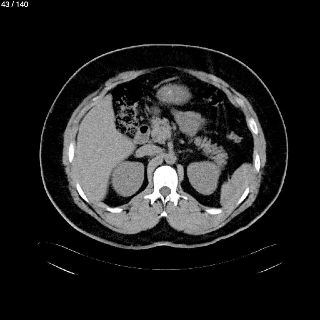
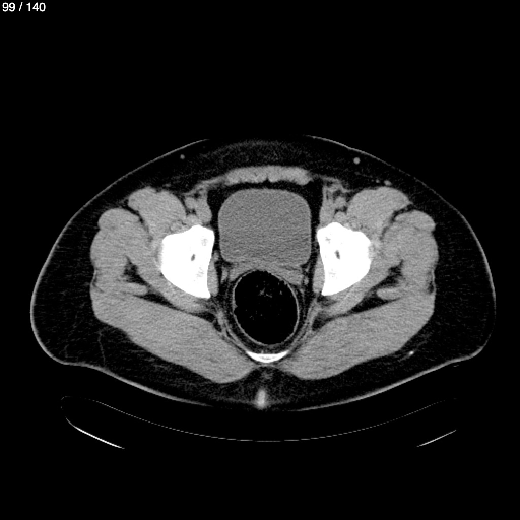
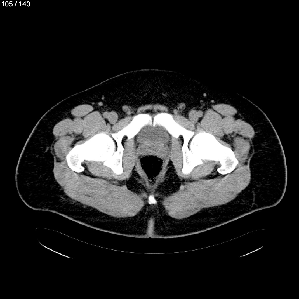
Angel Eduardo Aguilon Vidal - Abdomen Abdomen_Simple (Adulto)
Next Series
Show as Sequence