HUIXTLA
ESCUINTLA
AKISHINO
AKISHINO2 USG
ESPECIALIDADES
Home
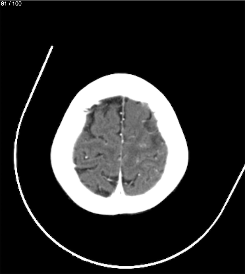
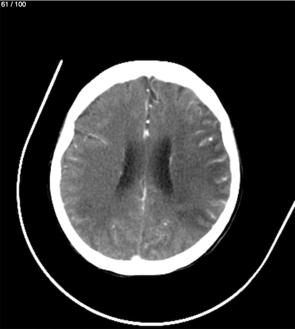
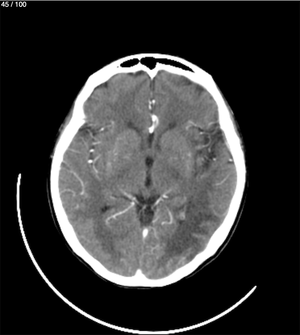
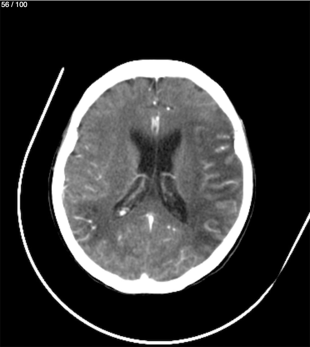
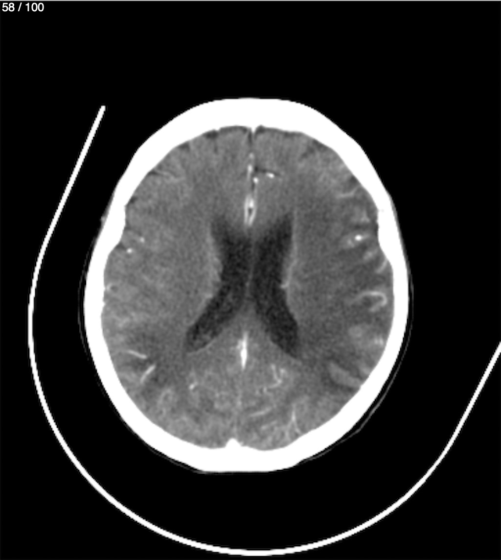
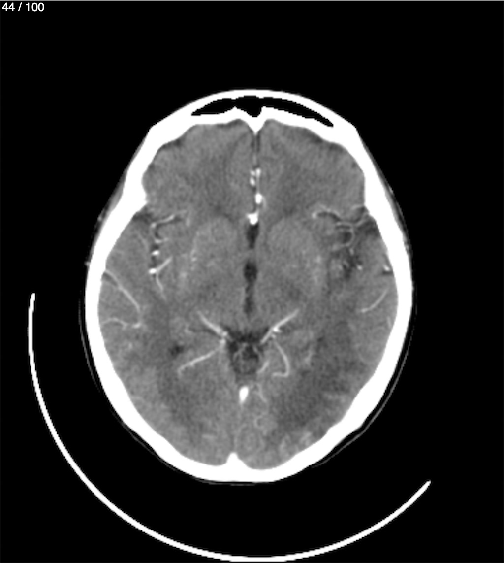
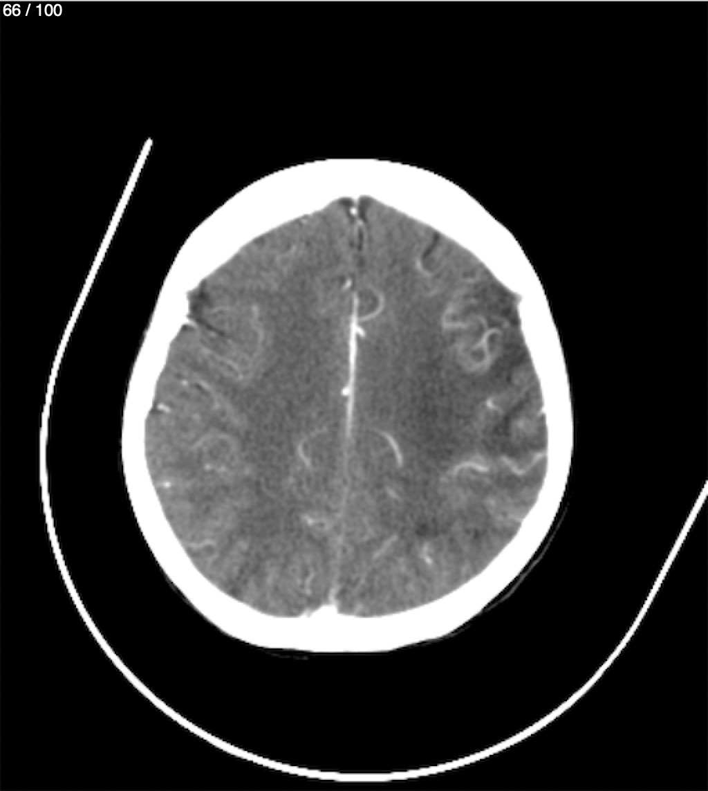
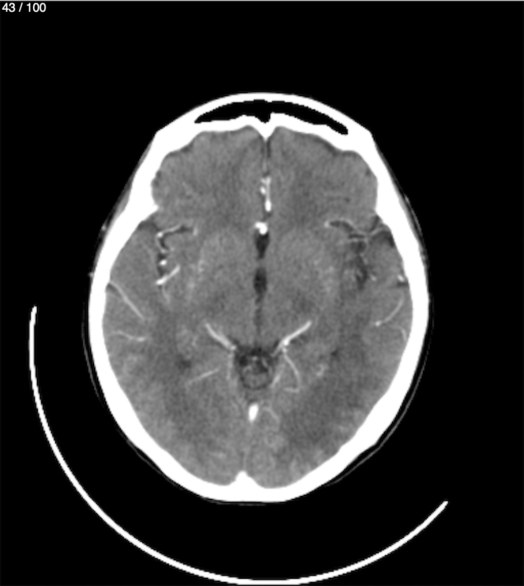
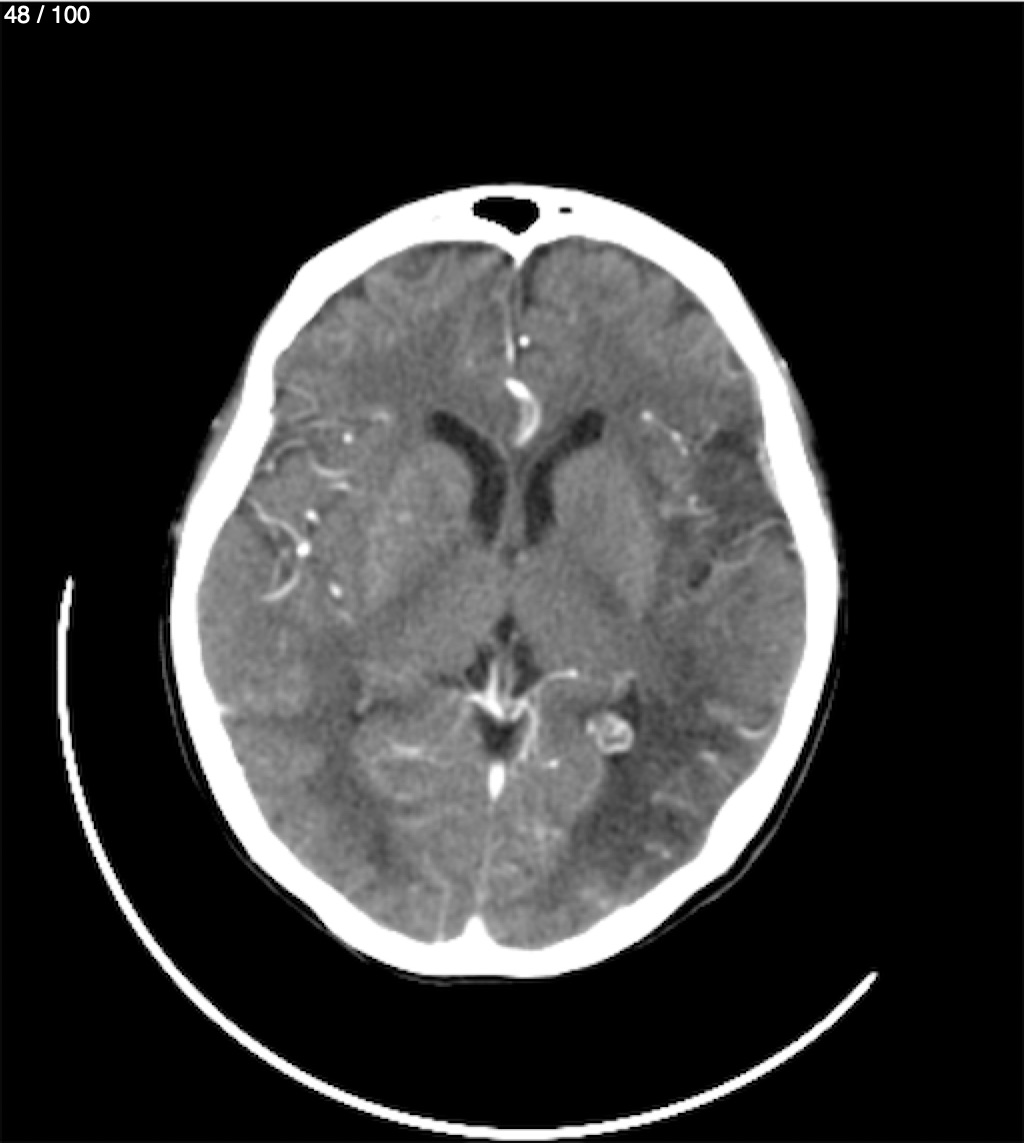
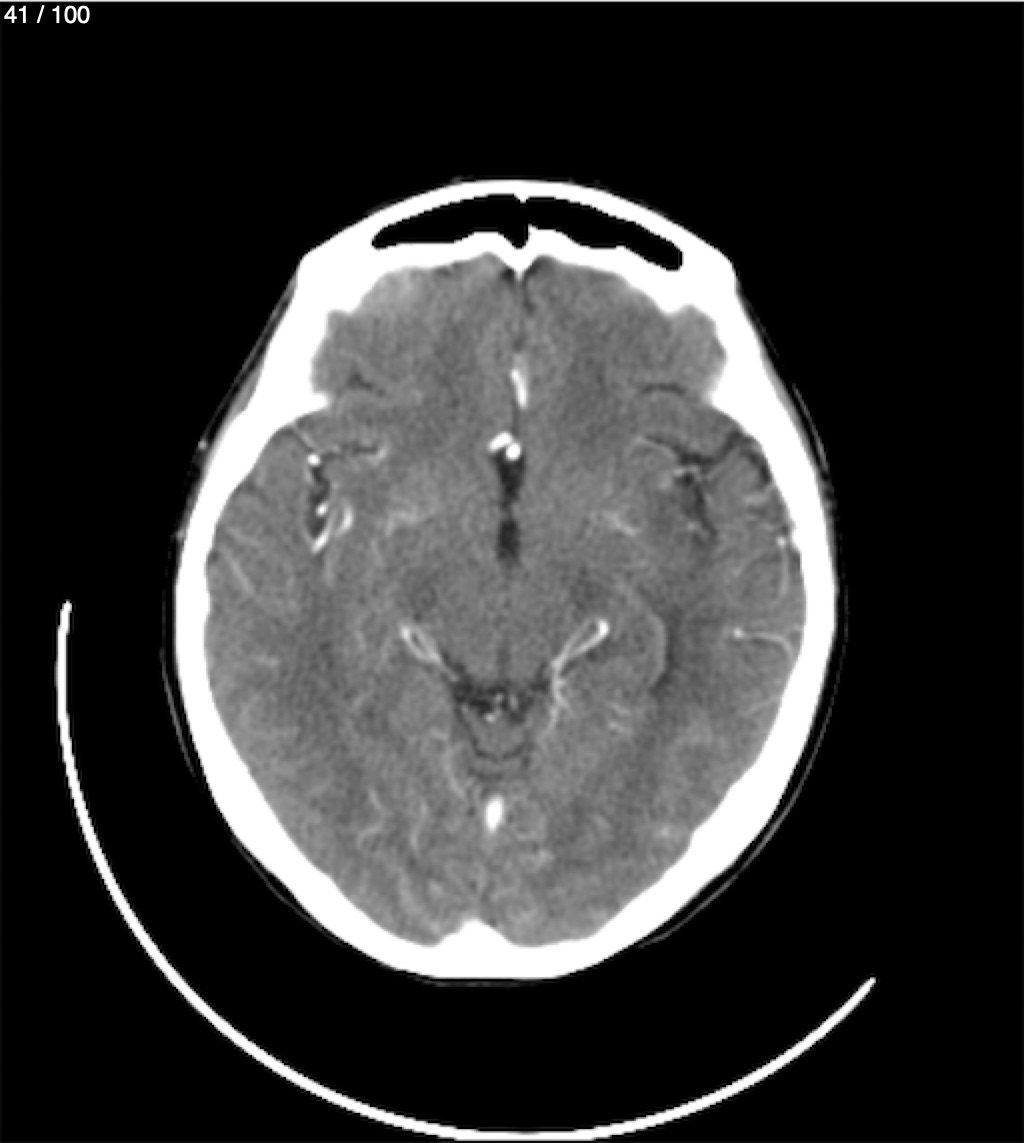
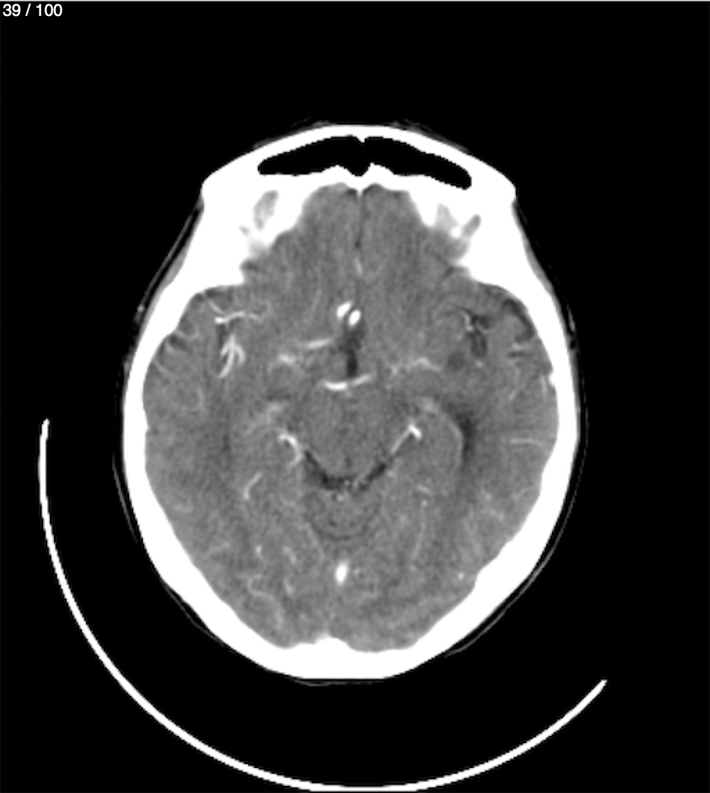
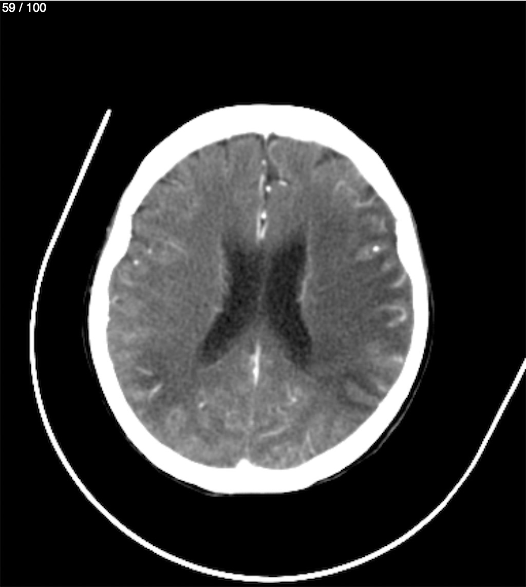
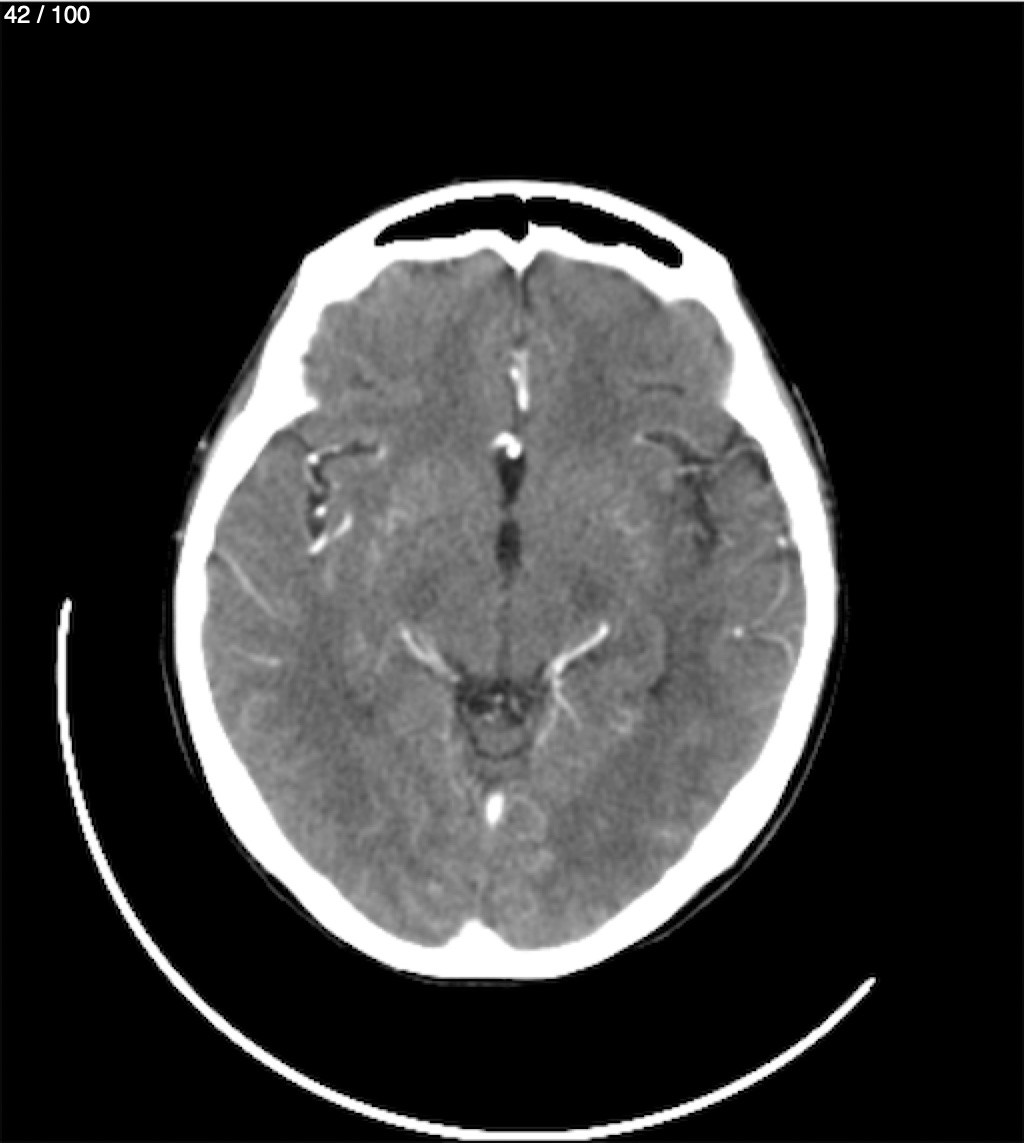
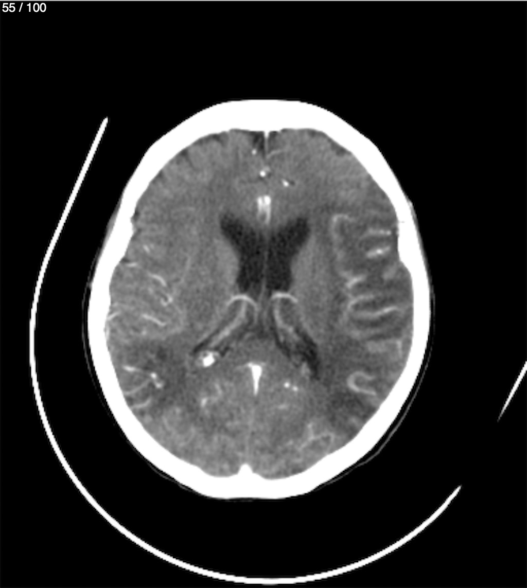
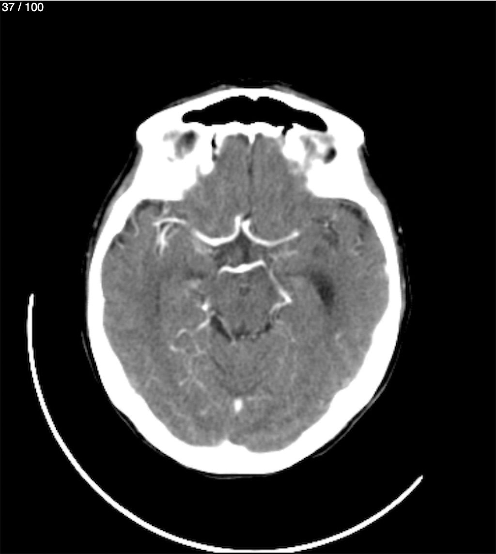
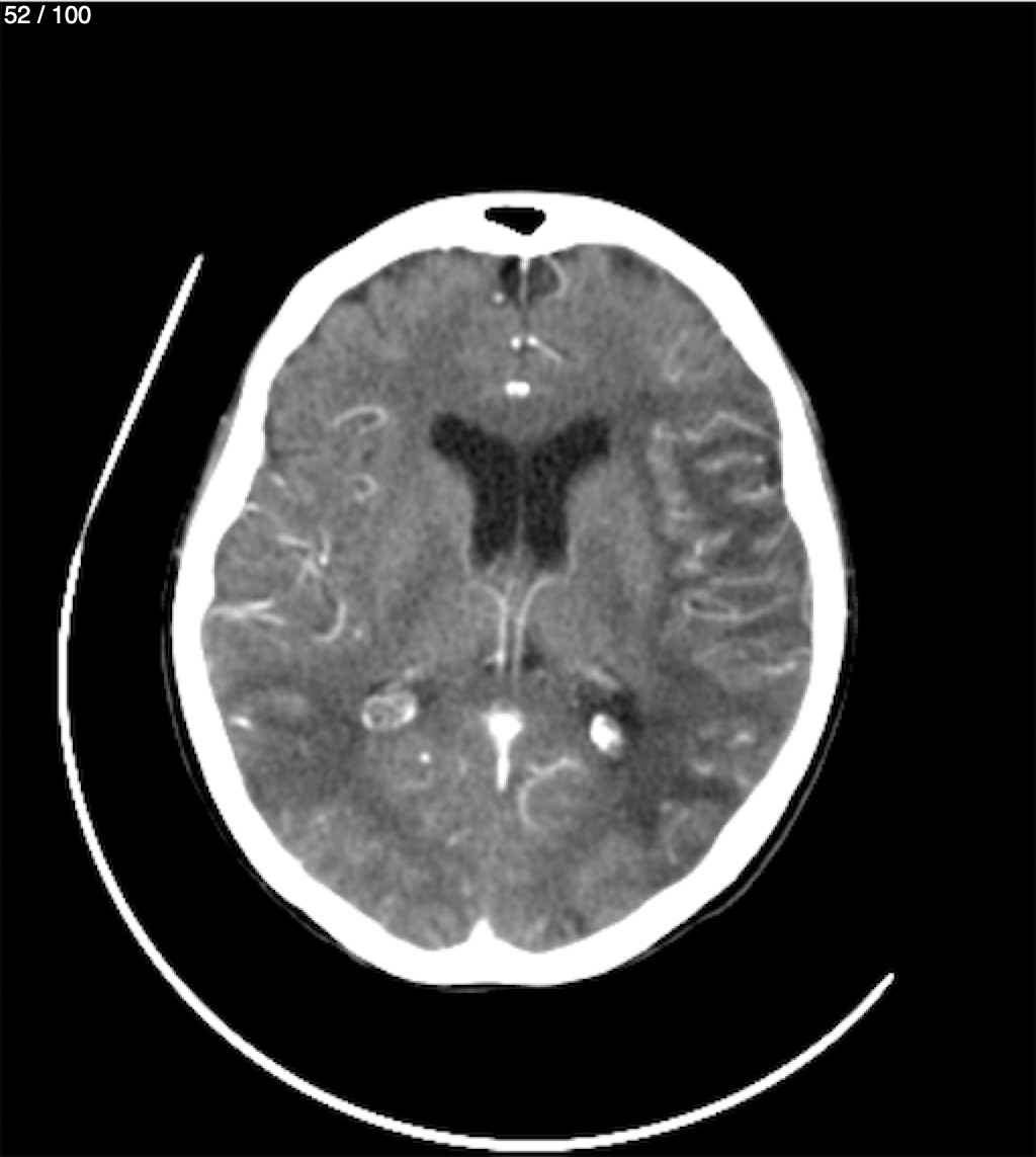
Maria Juana Ramirez Matul 58A - T.C Craneo
Previous Series
Next Series
Show as Sequence