HUIXTLA
ESCUINTLA
AKISHINO
AKISHINO2 USG
ESPECIALIDADES
Home
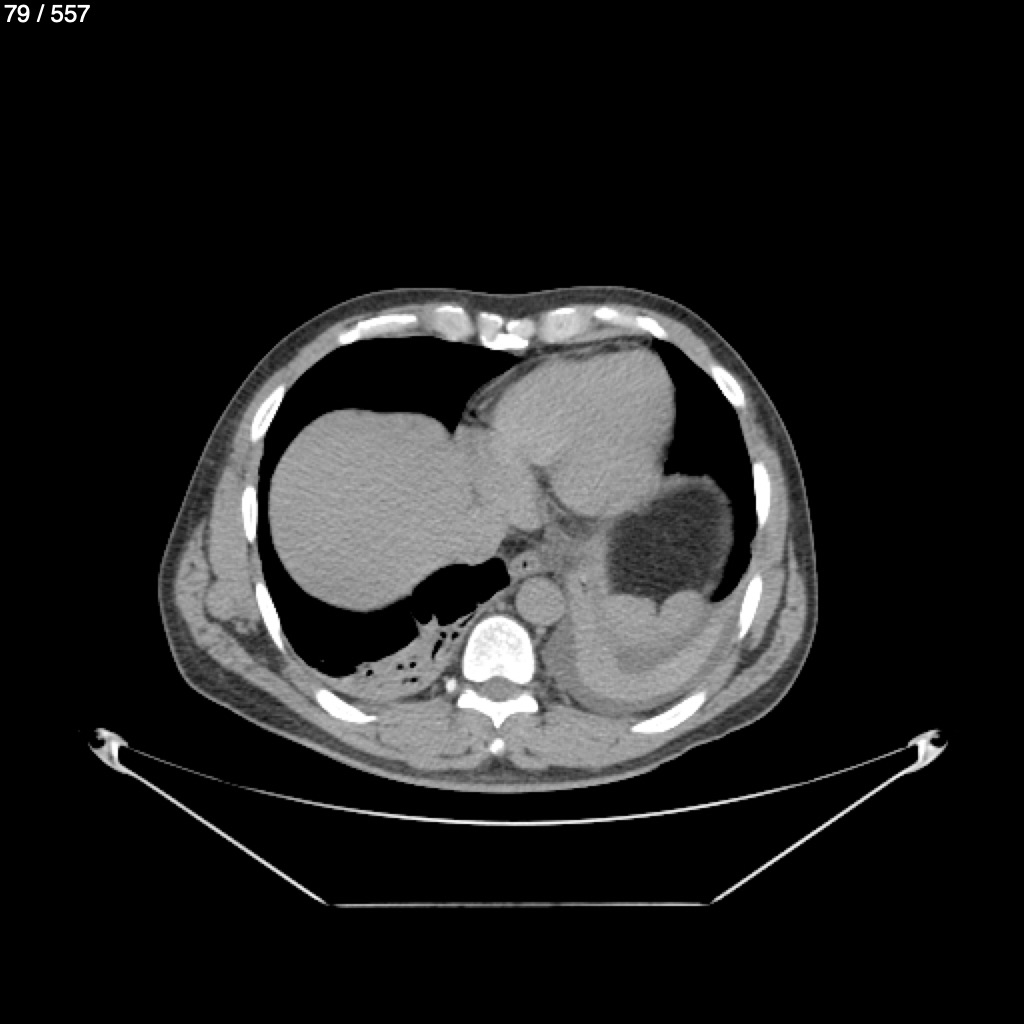
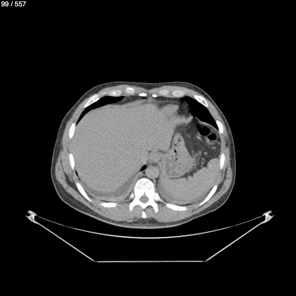
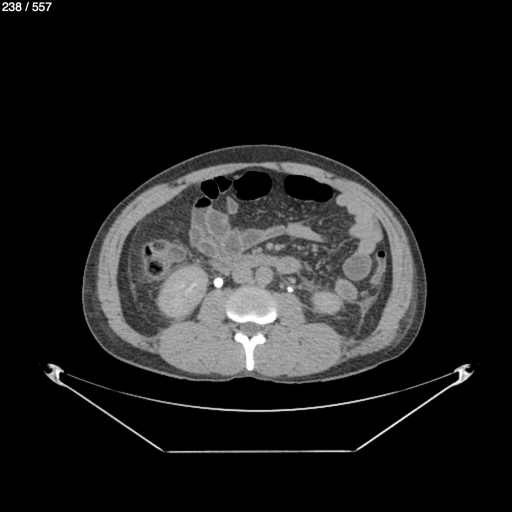
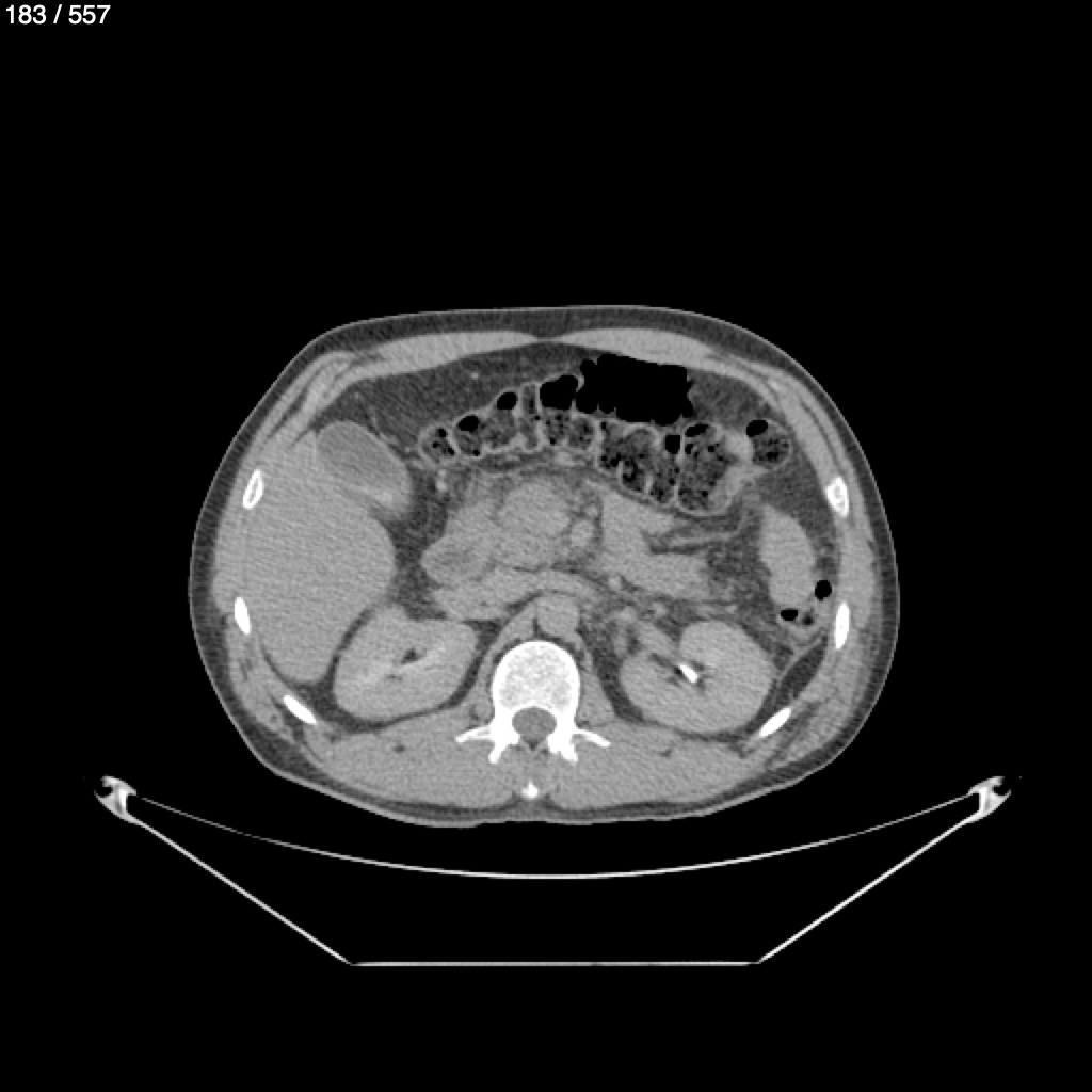
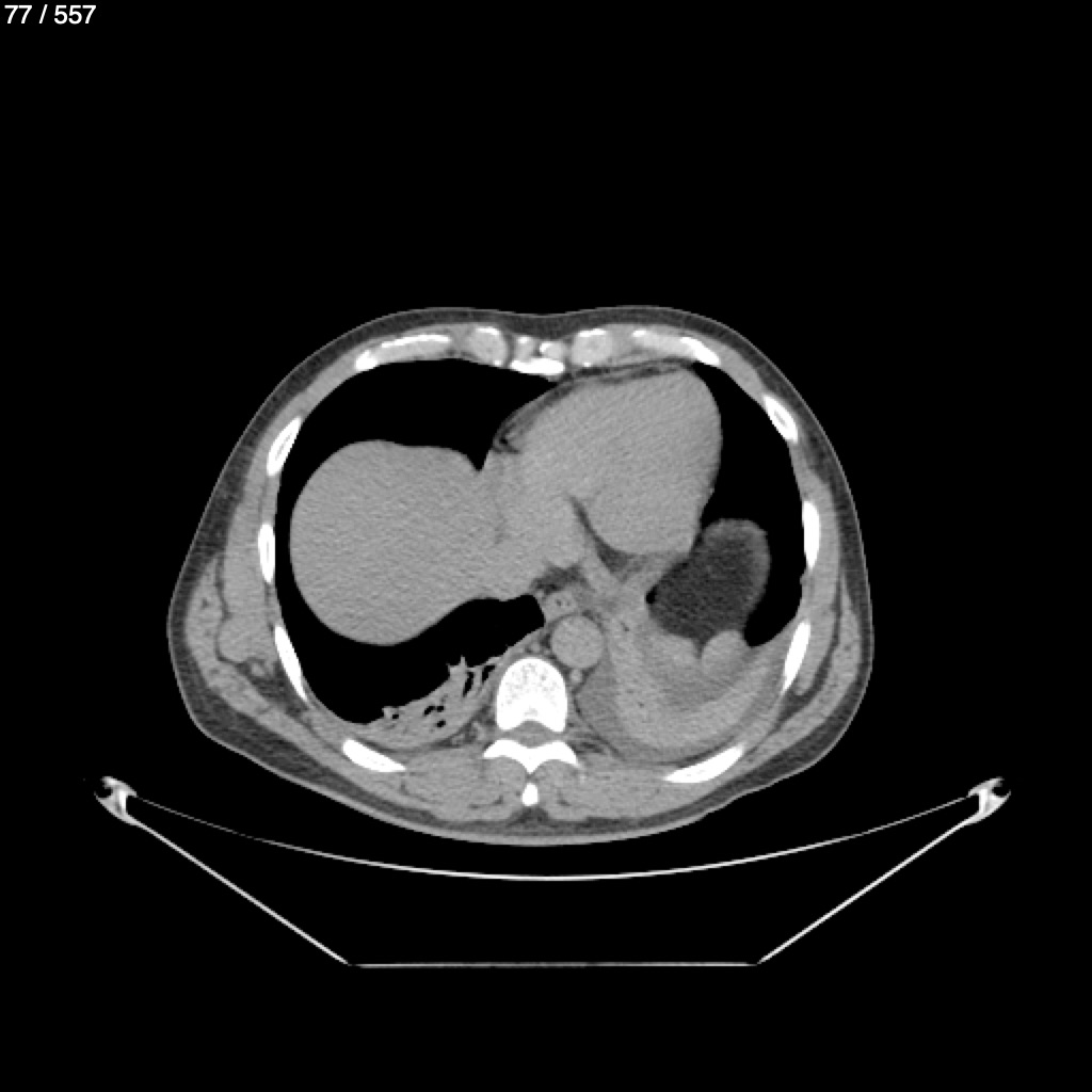
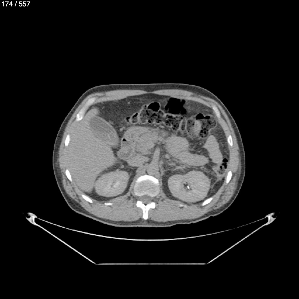
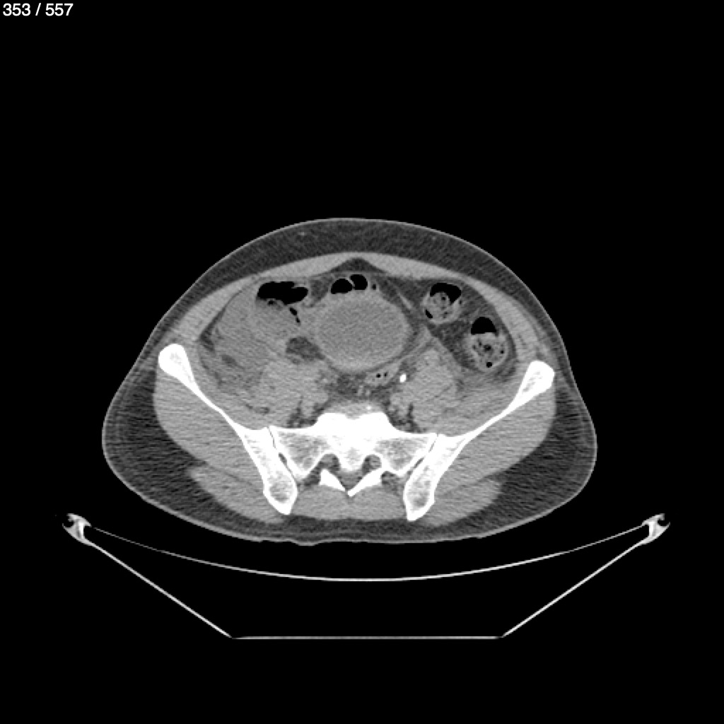
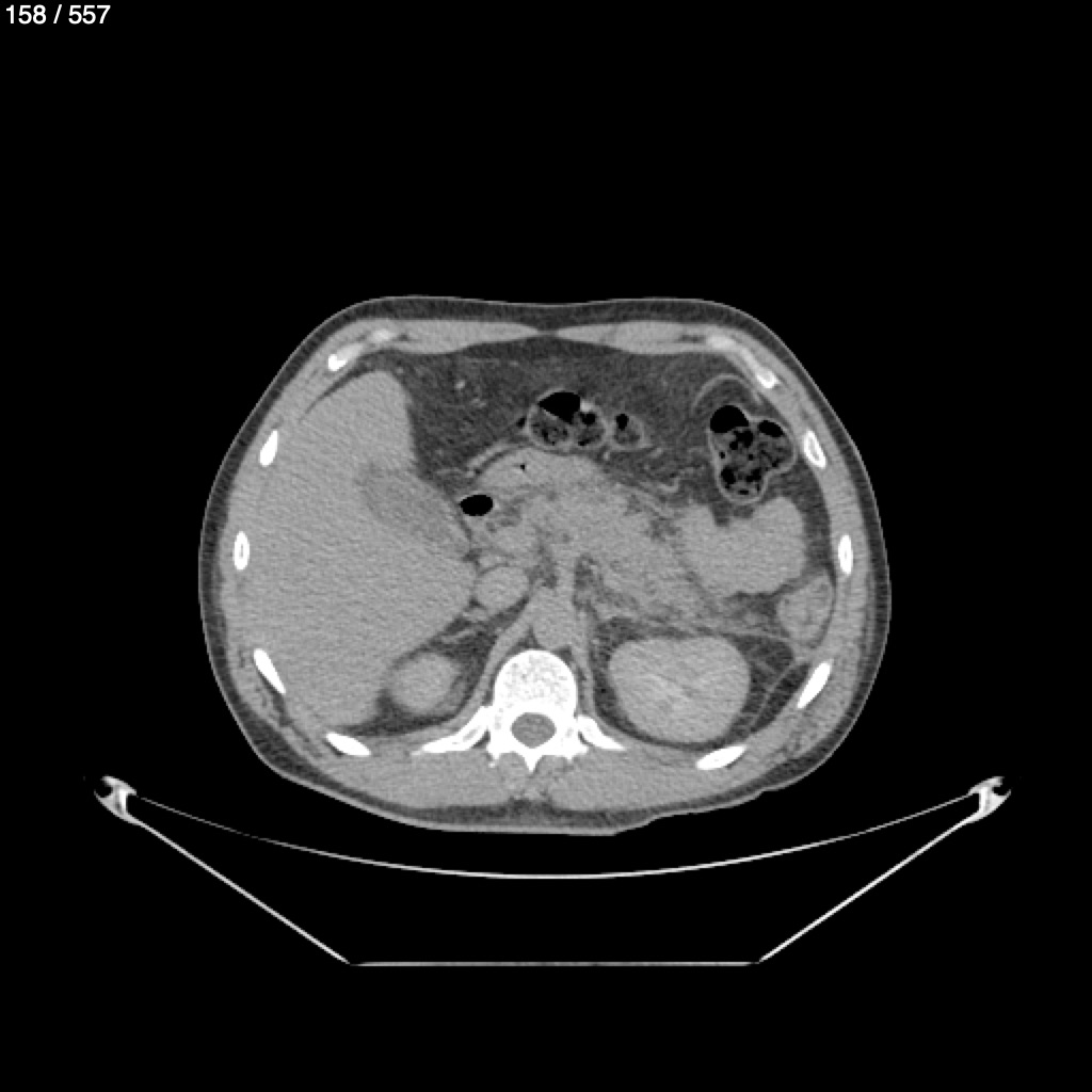
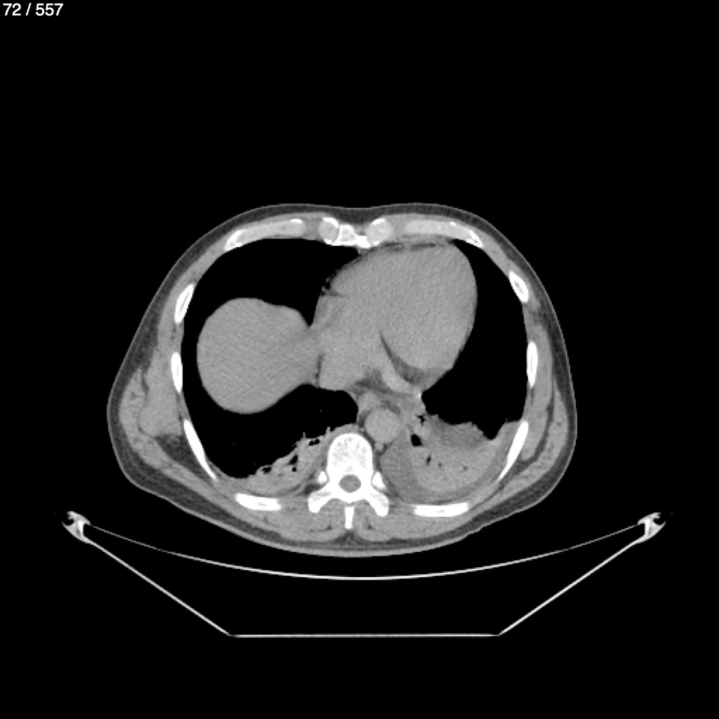
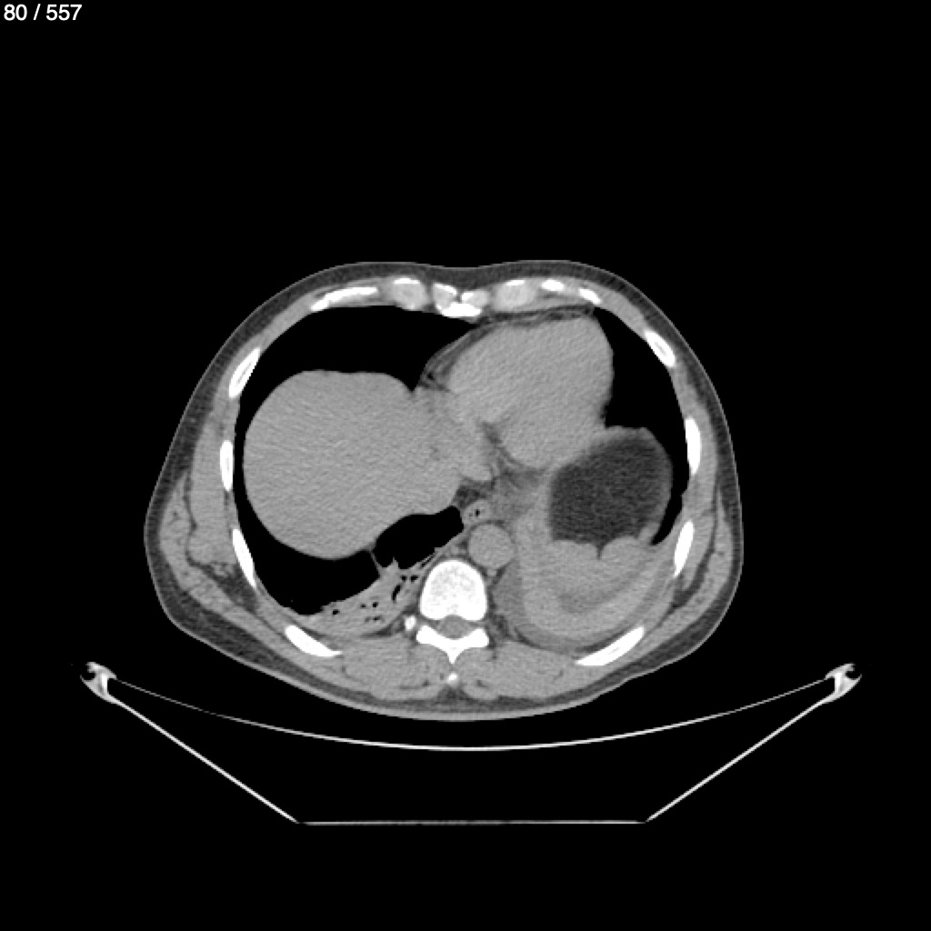
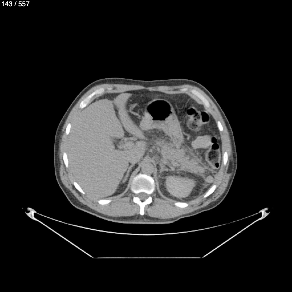
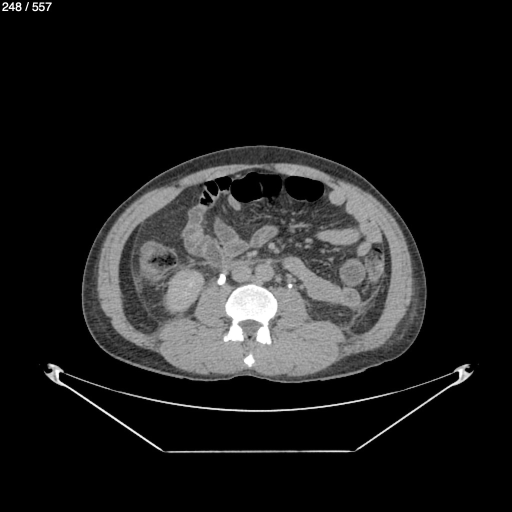
Roberto Reyes Lopez Lopez 55A - T.C Abdomen Syc
Previous Series
Next Series
Show as Sequence