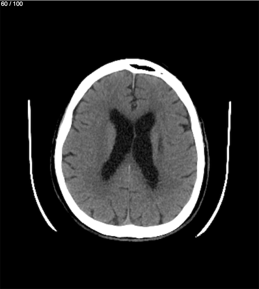
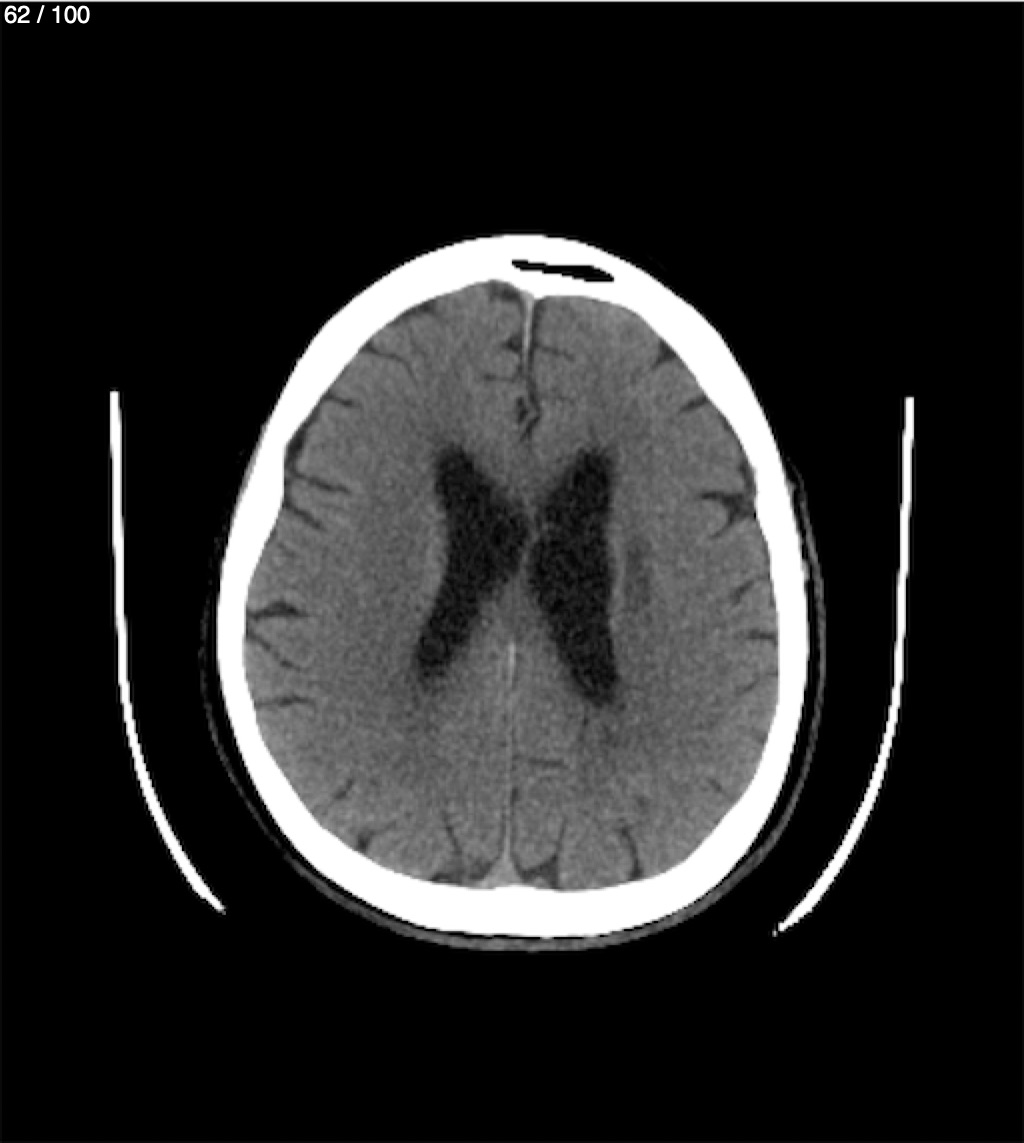
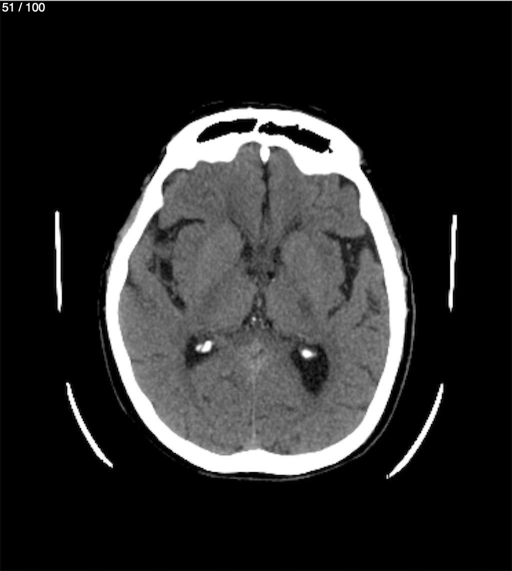
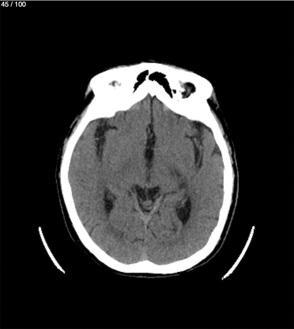
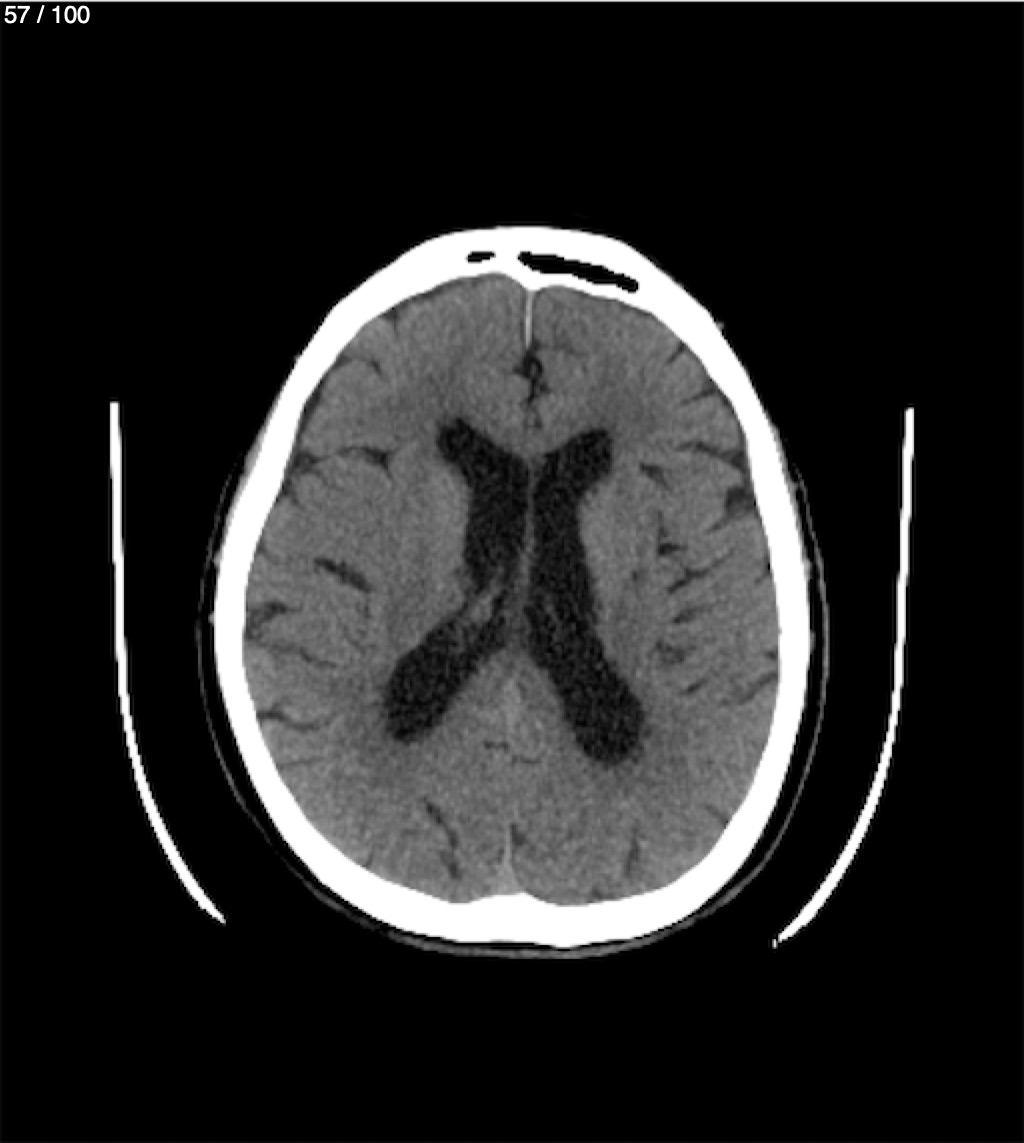
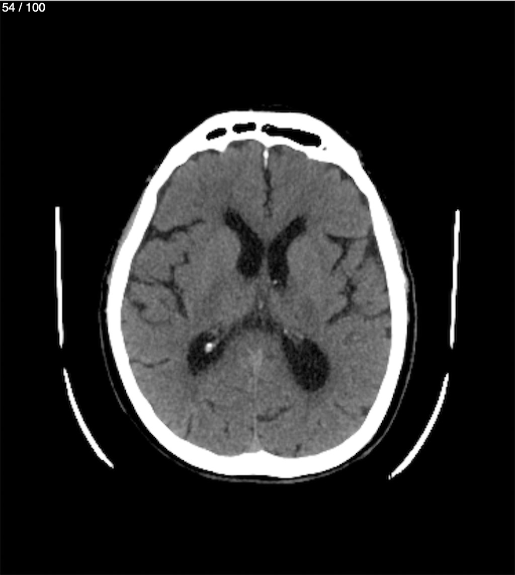
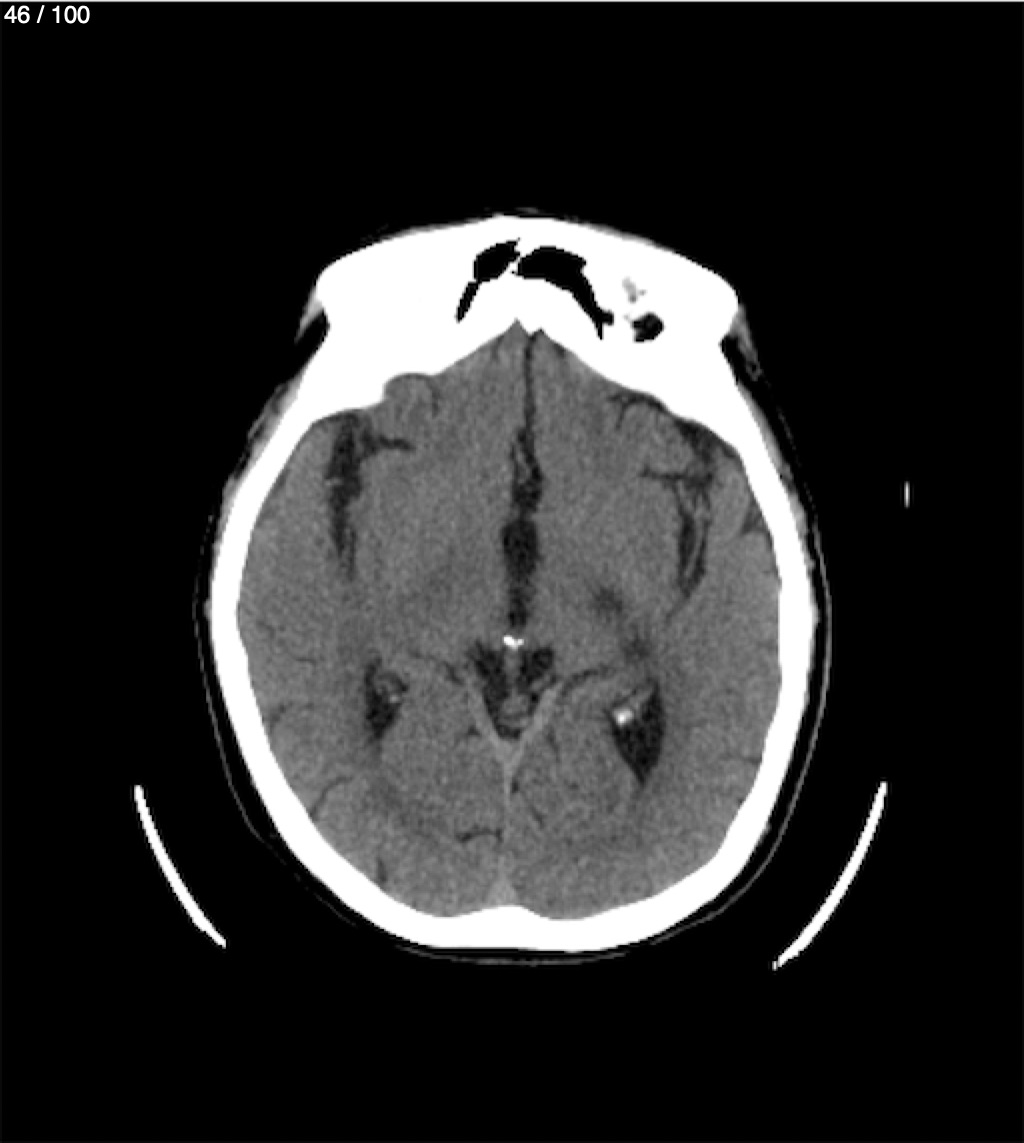
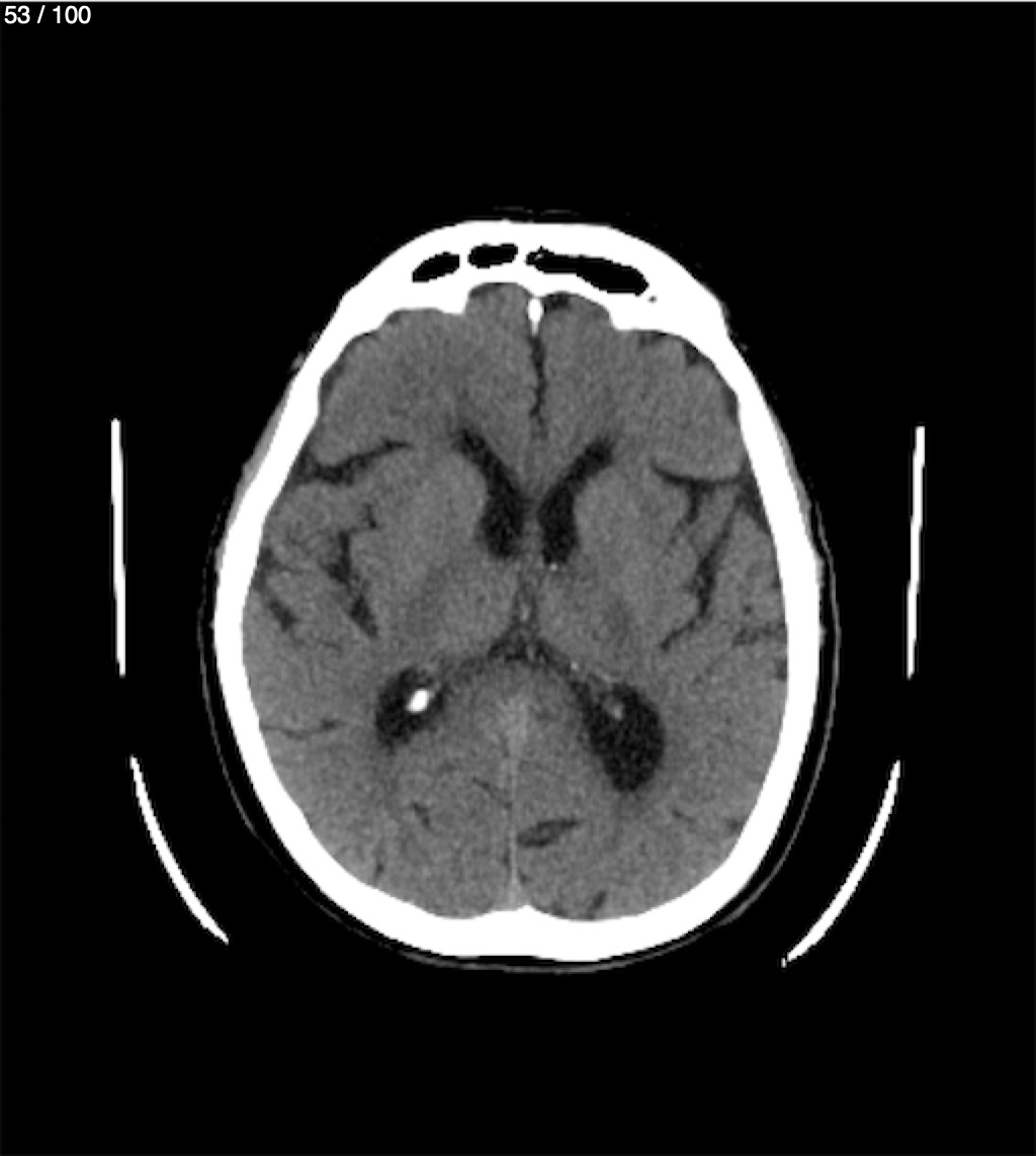
Home R​o​b​e​r​t​o​ ​C​a​b​a​l​l​e​r​o​ ​J​i​m​e​n​e​z​ ​8​5​A​ ​-​ ​T​c​.​ ​C​r​a​n​e​o​ ​S​y​c