HUIXTLA
ESCUINTLA
AKISHINO
AKISHINO2 USG
ESPECIALIDADES
Home
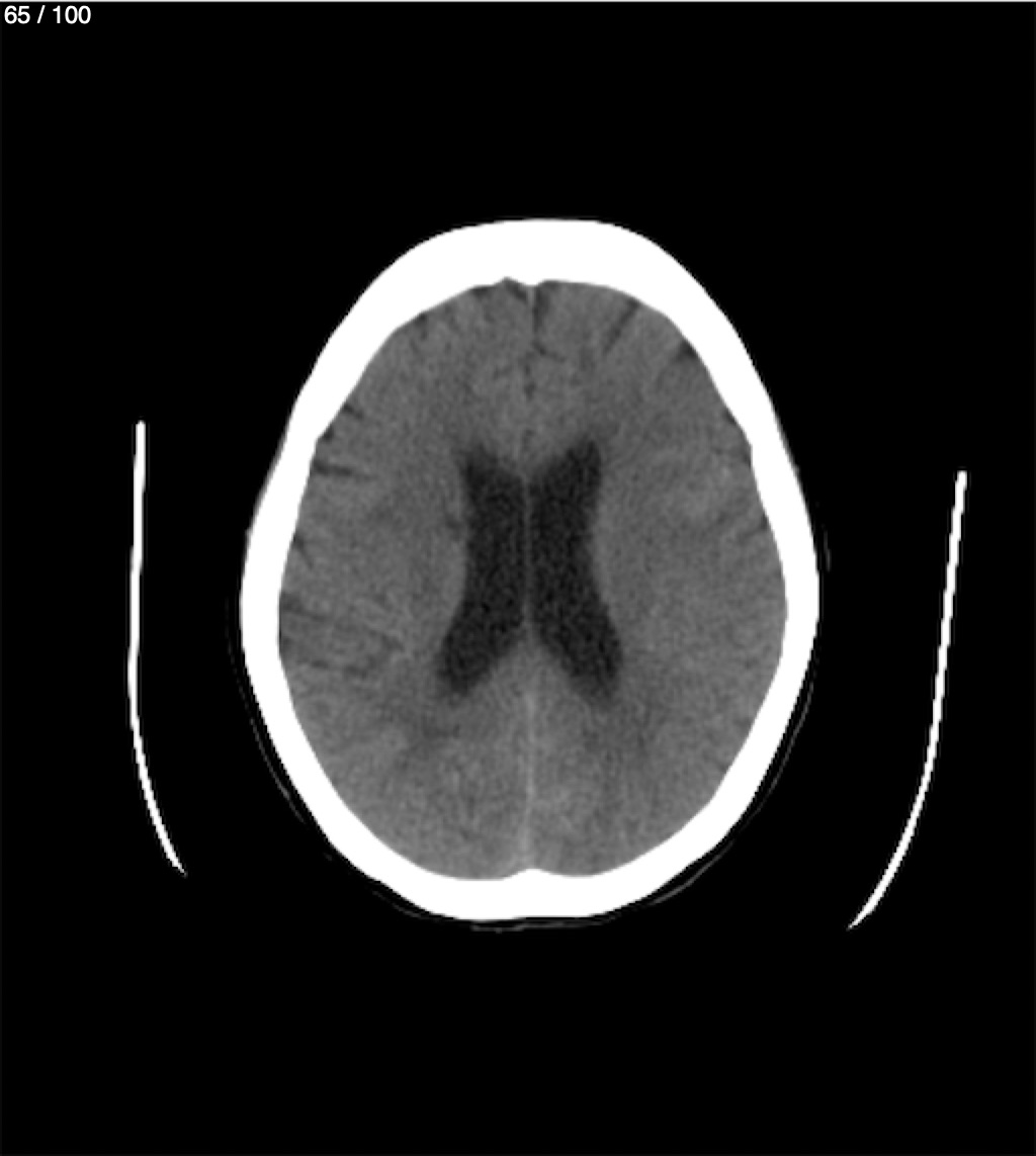
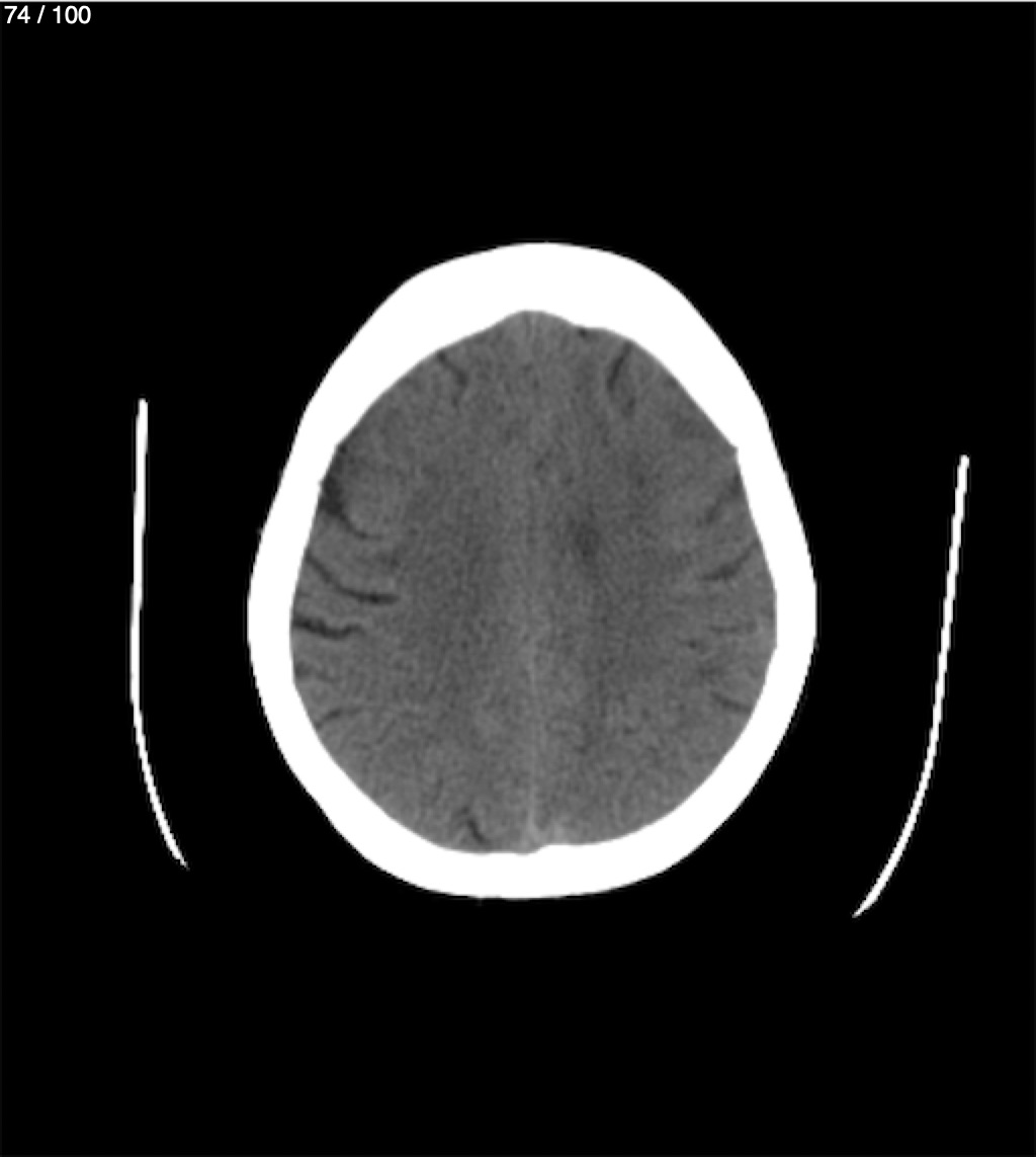
Elvira Perez Cifuentes 64A - Tc. Craneo Syc
Previous Series
Next Series
Show as Sequence