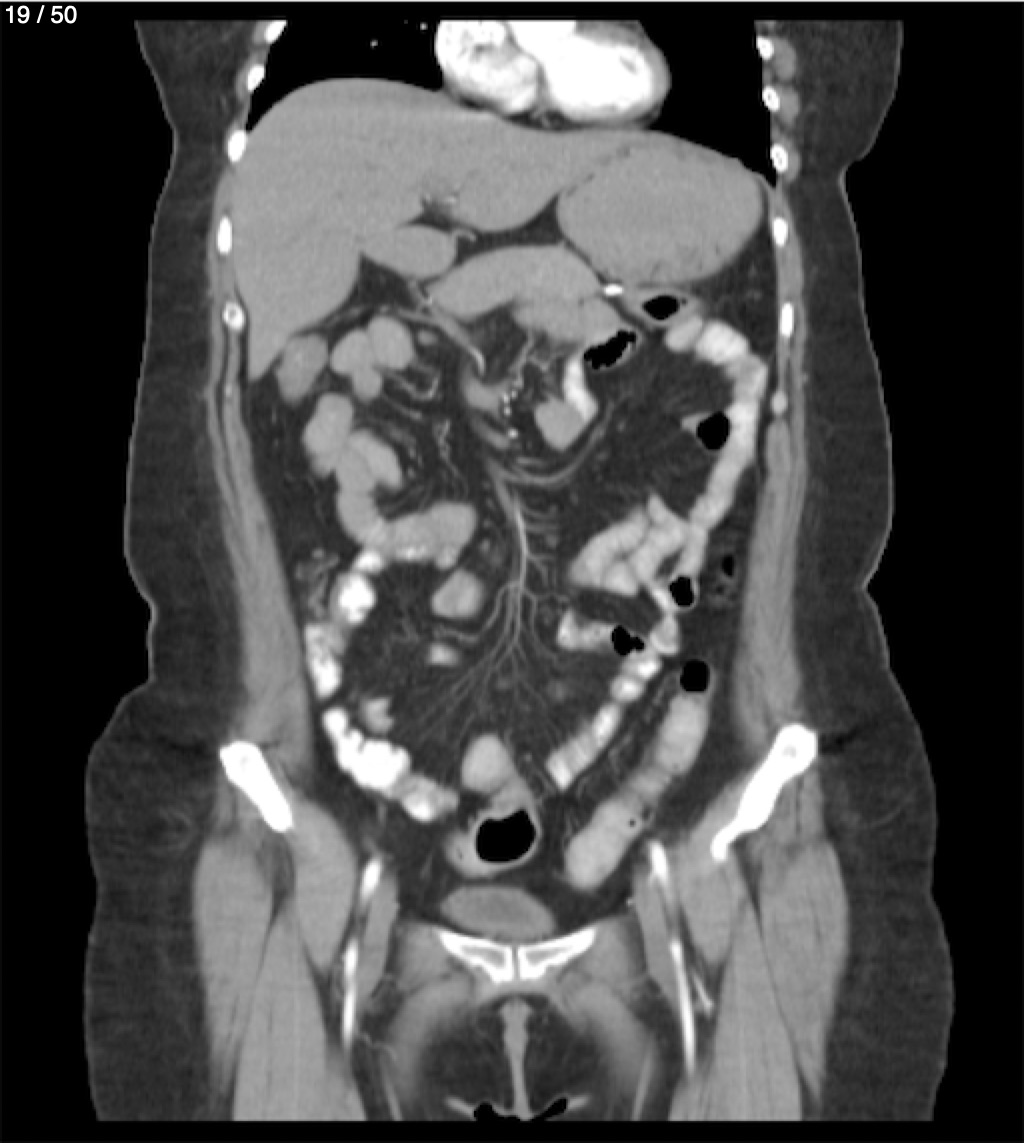
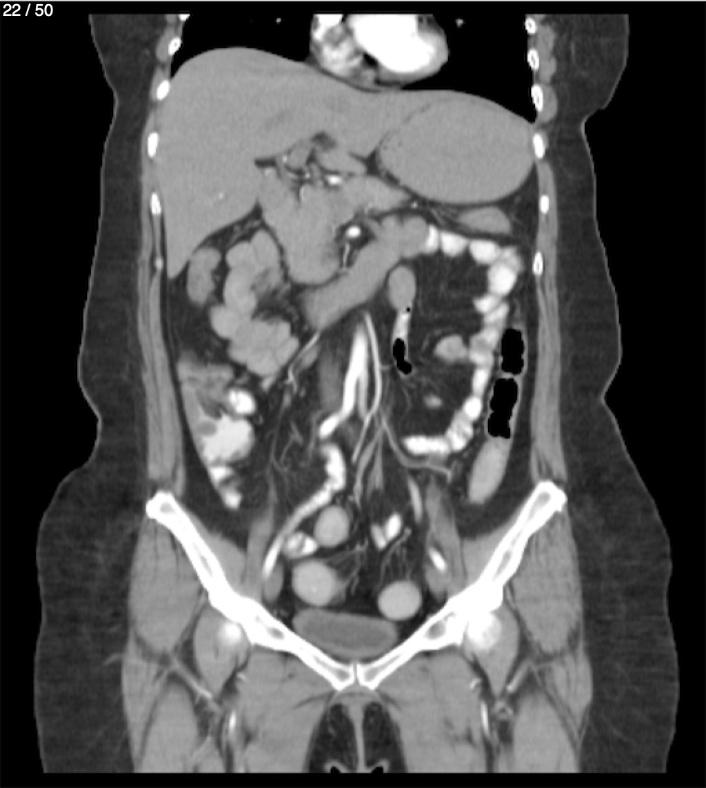
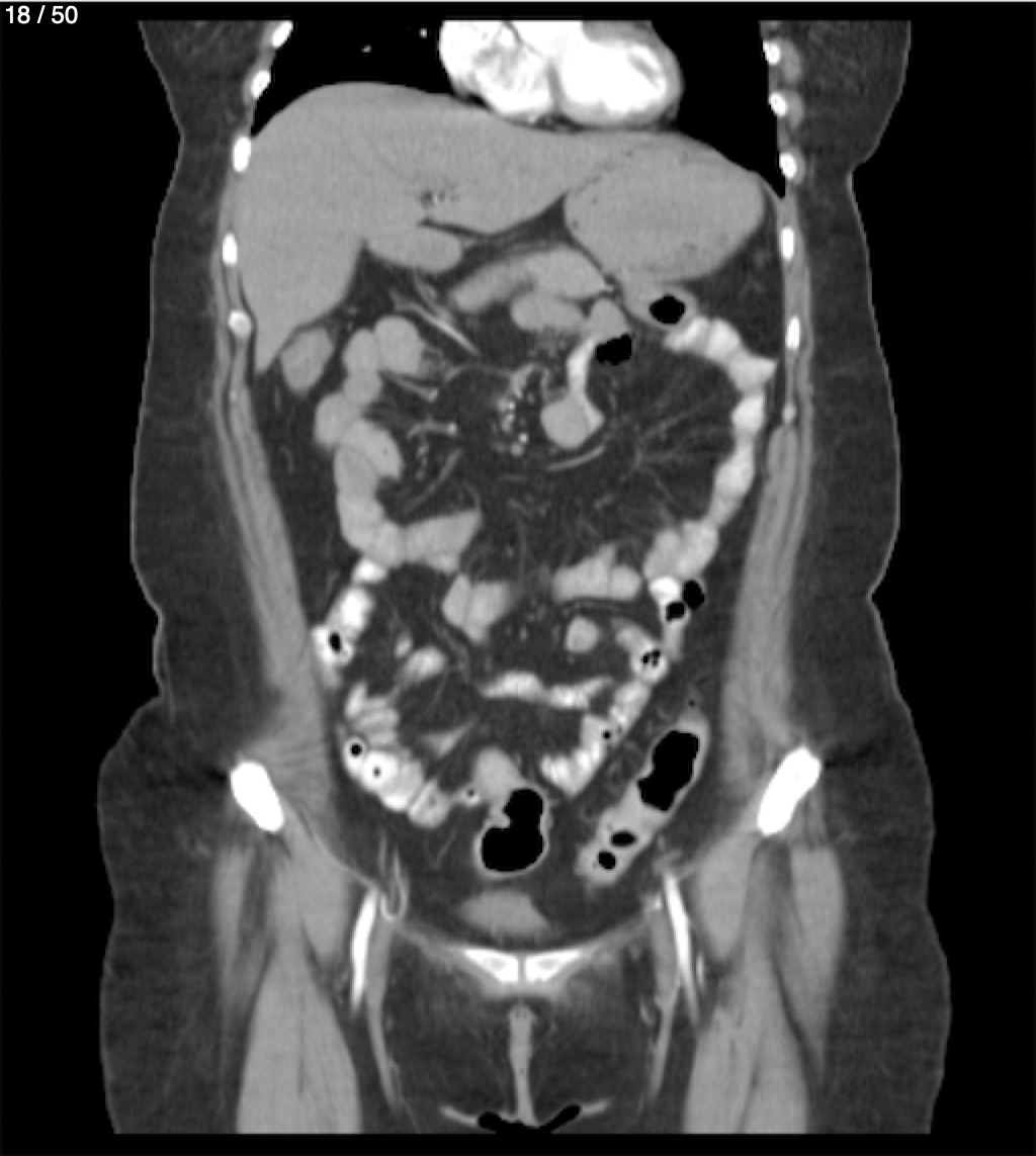
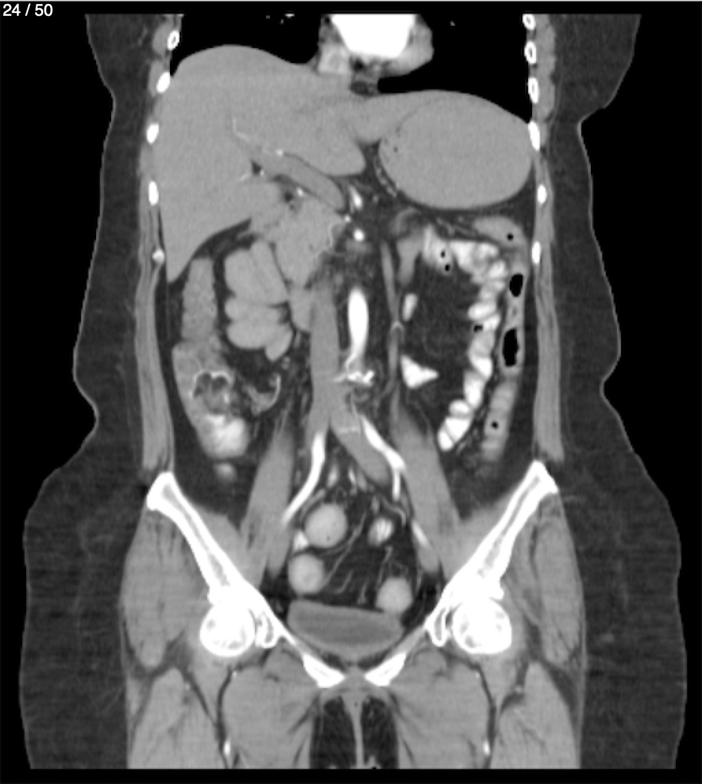
Home L​i​b​a​n​a​ ​M​u​n​o​s​ ​V​e​l​a​z​q​u​e​z​ ​5​1​A​ ​-​ ​T​.​C​ ​A​b​d​o​m​e​n​ ​S​y​c