HUIXTLA
ESCUINTLA
AKISHINO
AKISHINO2 USG
ESPECIALIDADES
Home
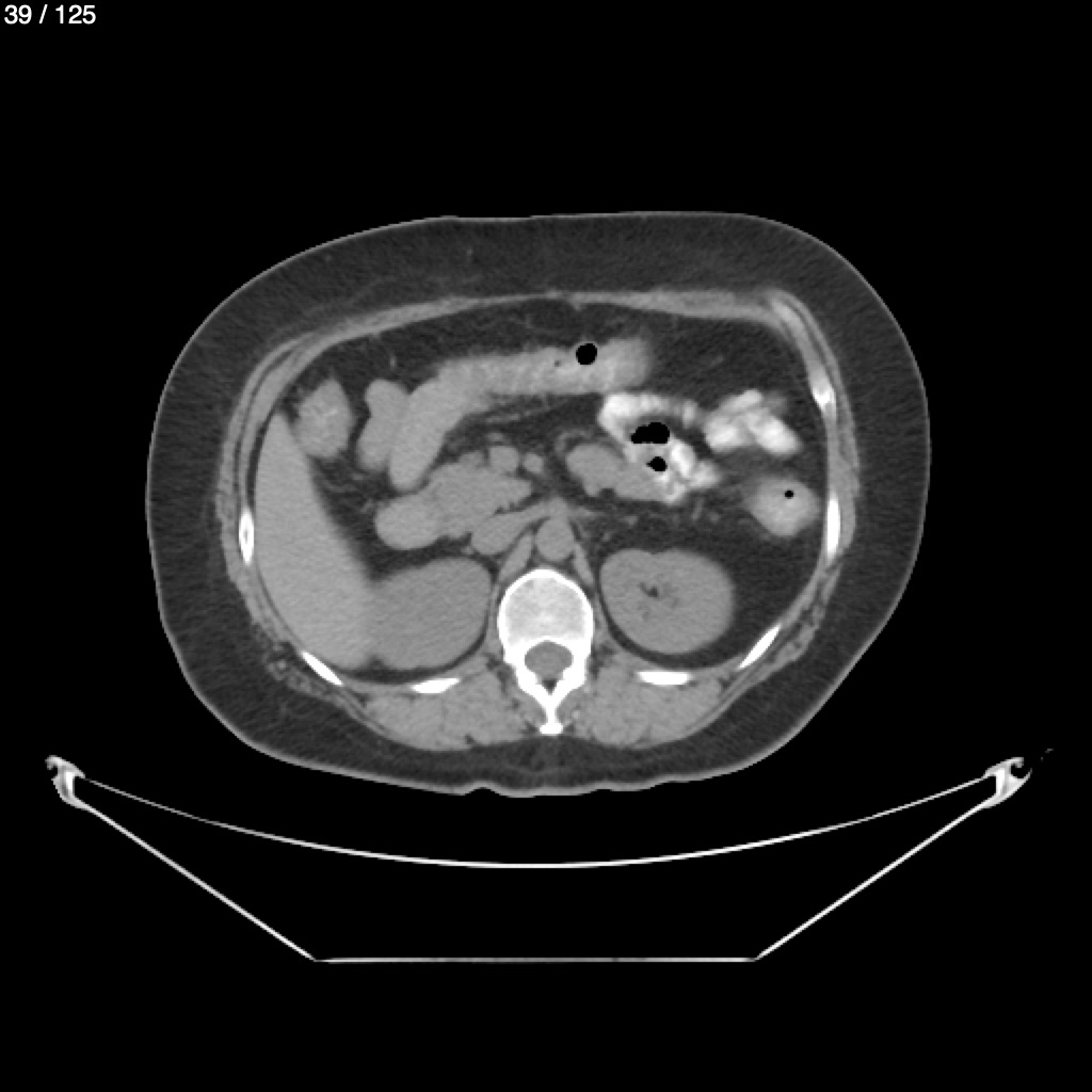
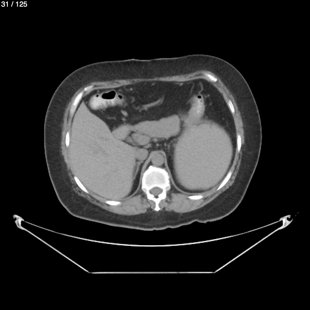
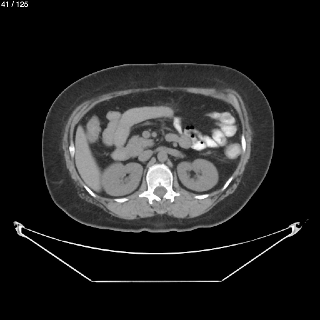
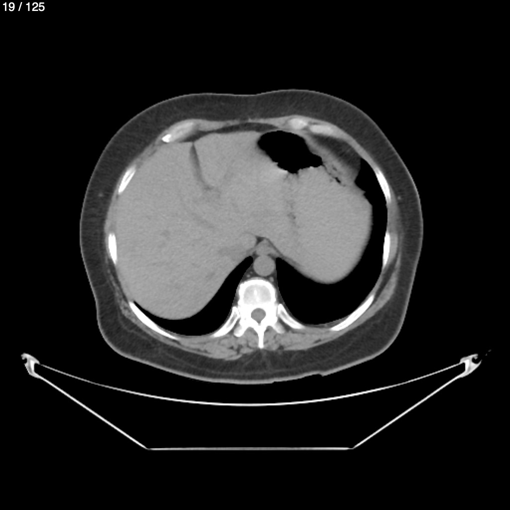
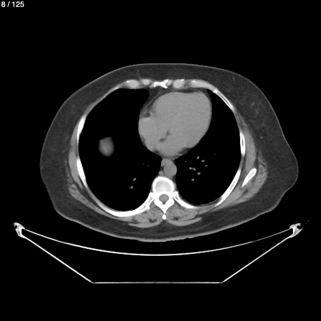
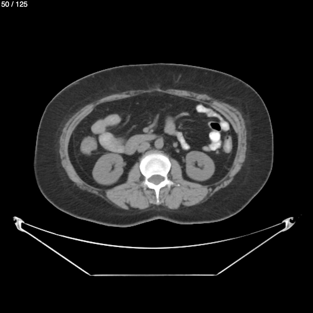
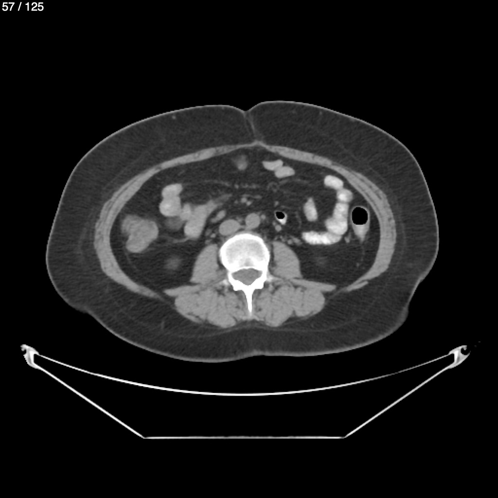
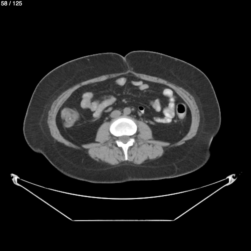
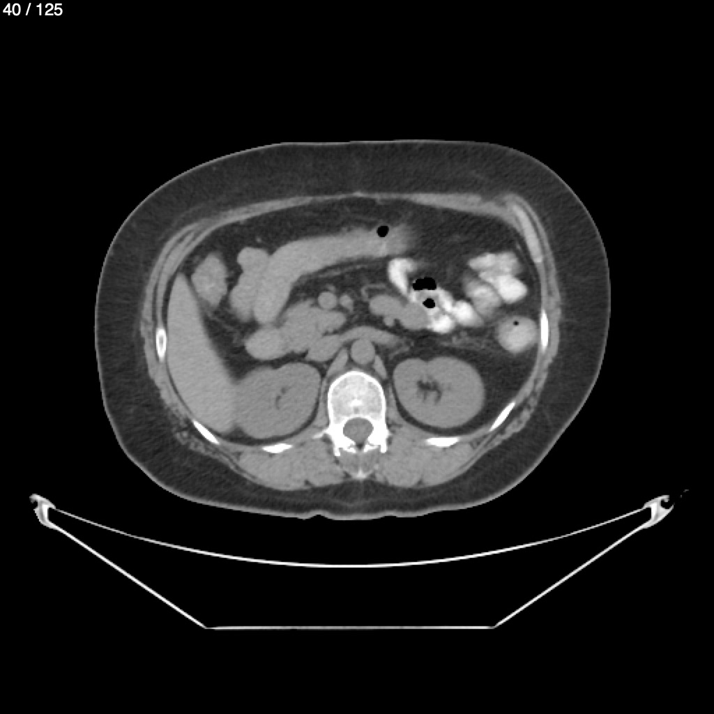
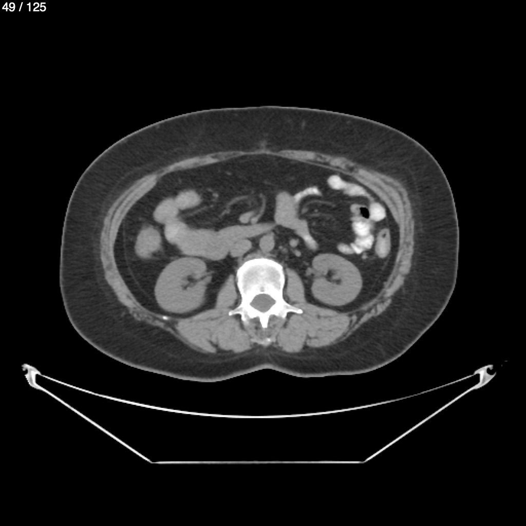
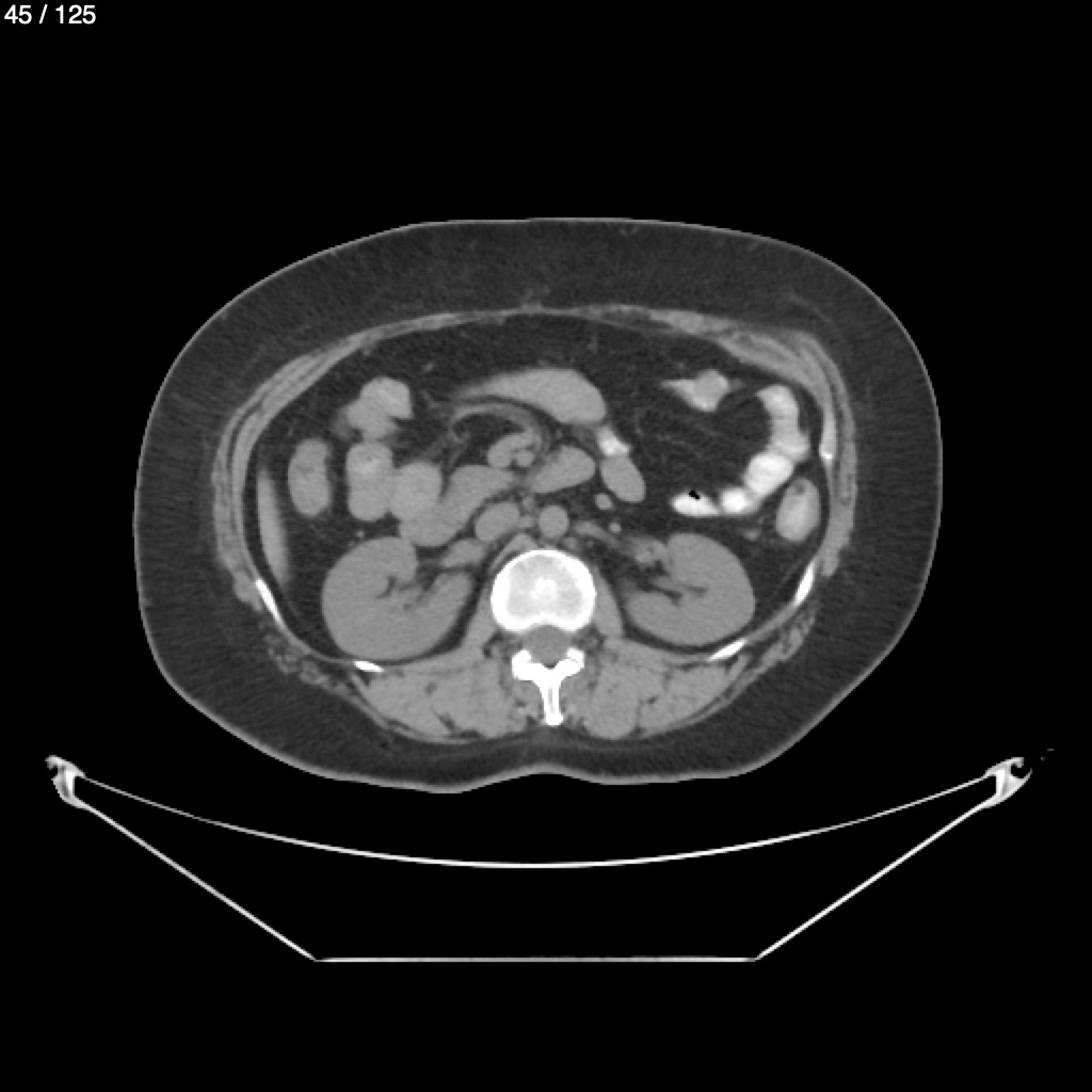
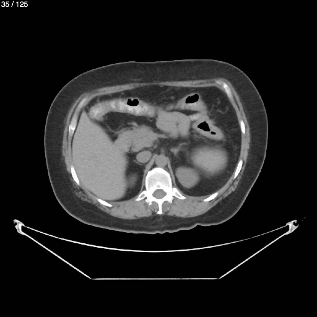
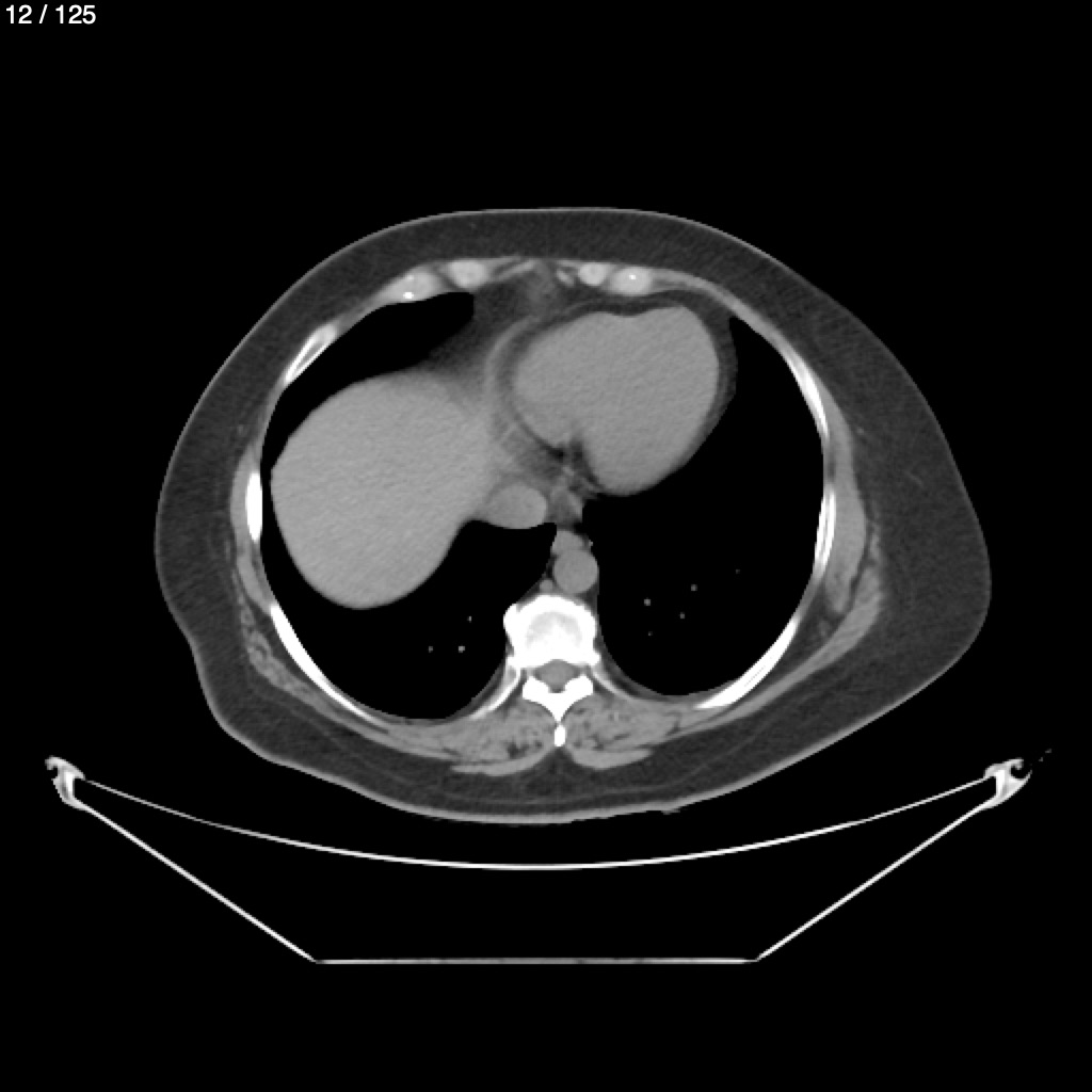
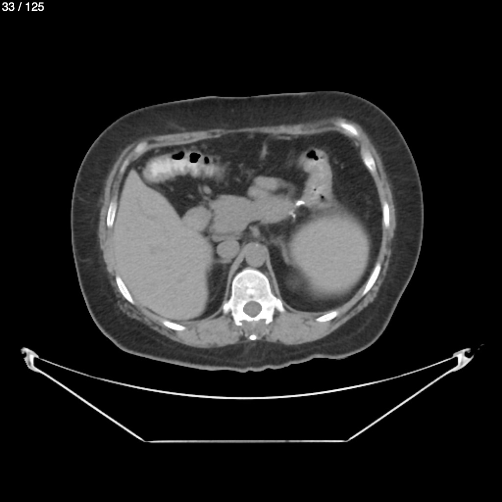
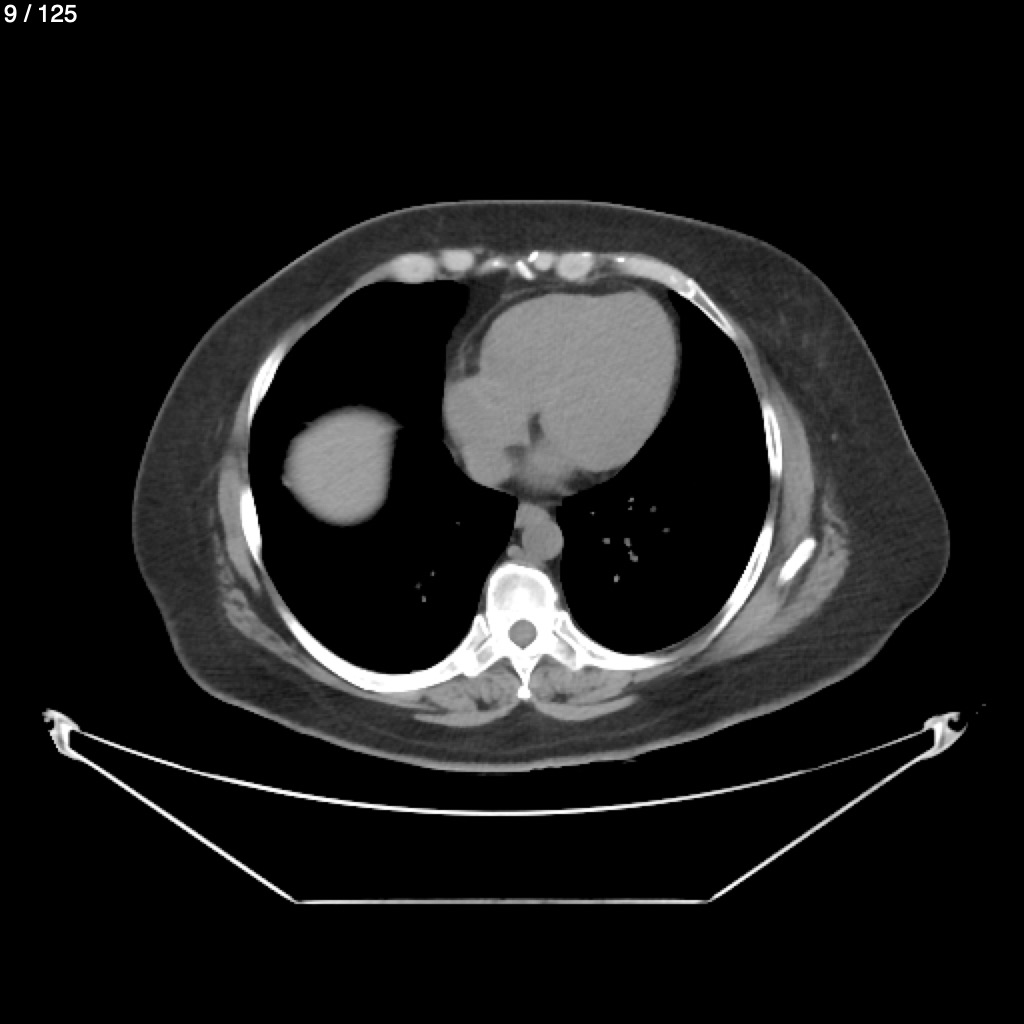
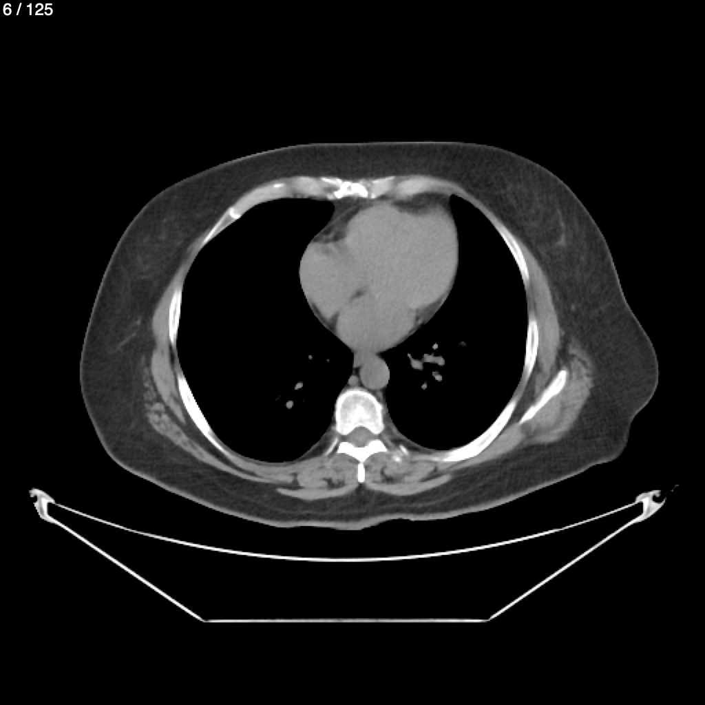
Libana Munos Velazquez 51A - T.C Abdomen Syc
Next Series
Show as Sequence