HUIXTLA
ESCUINTLA
AKISHINO
AKISHINO2 USG
ESPECIALIDADES
Home
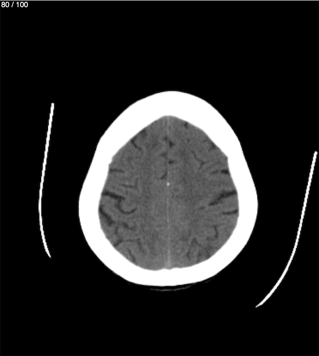
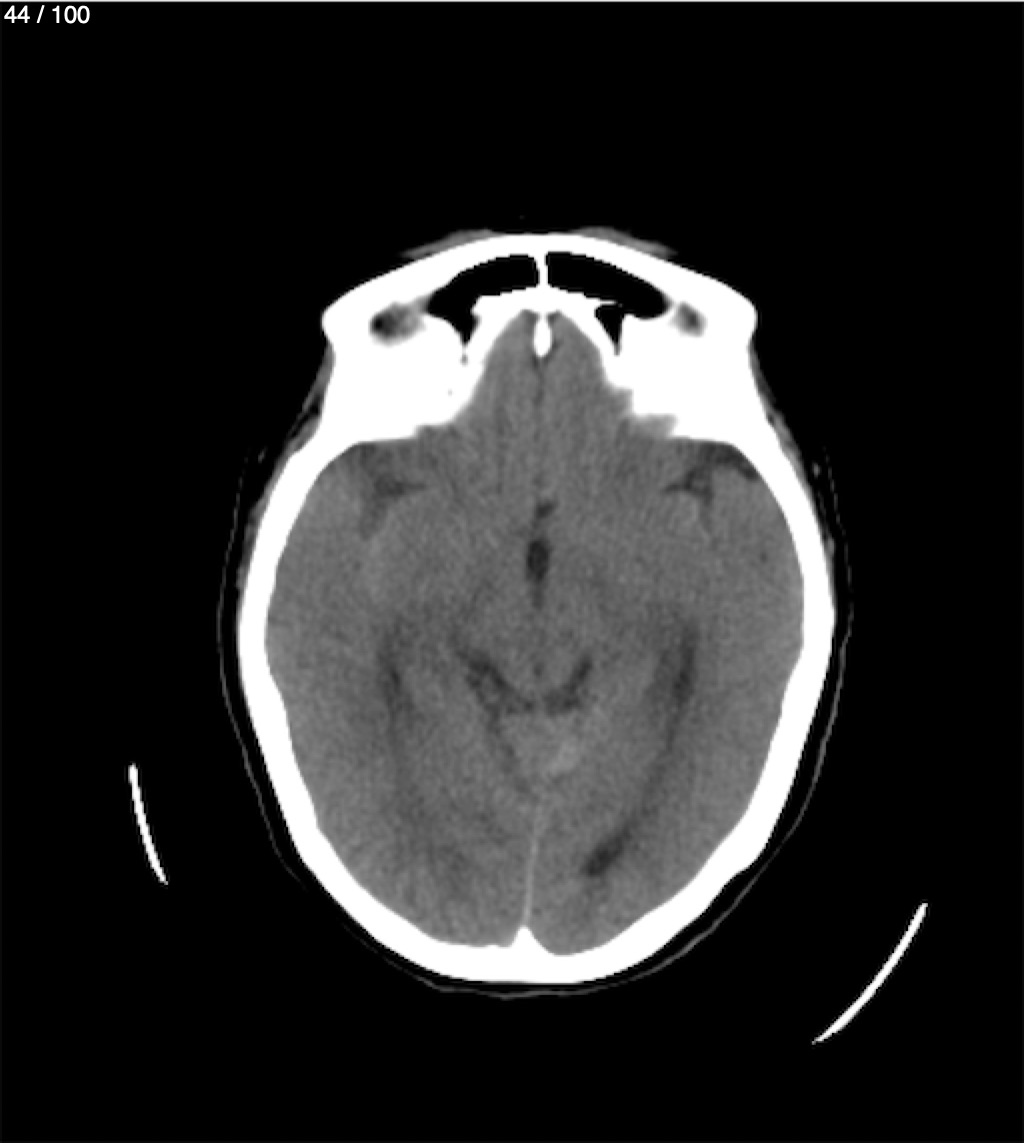
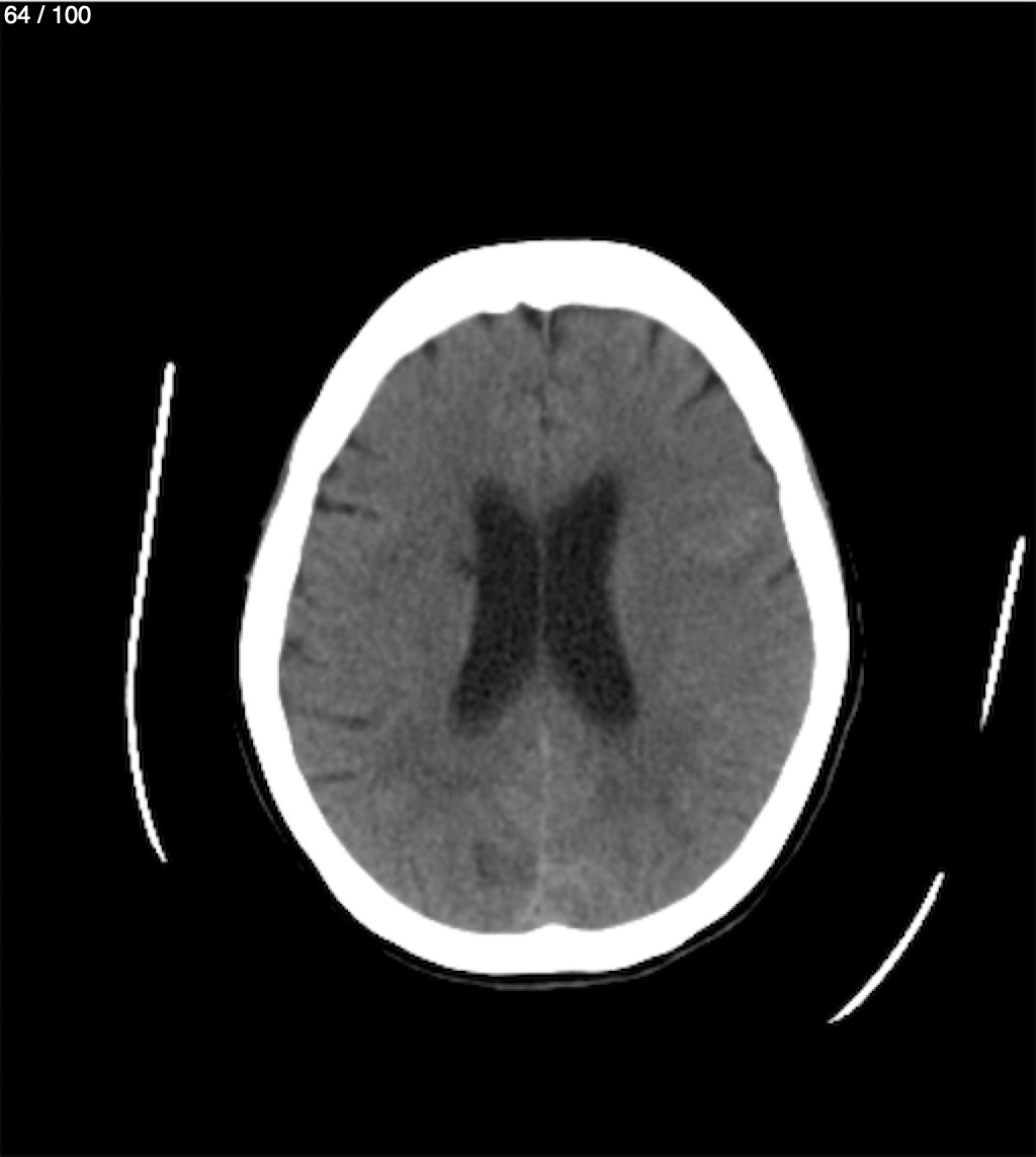
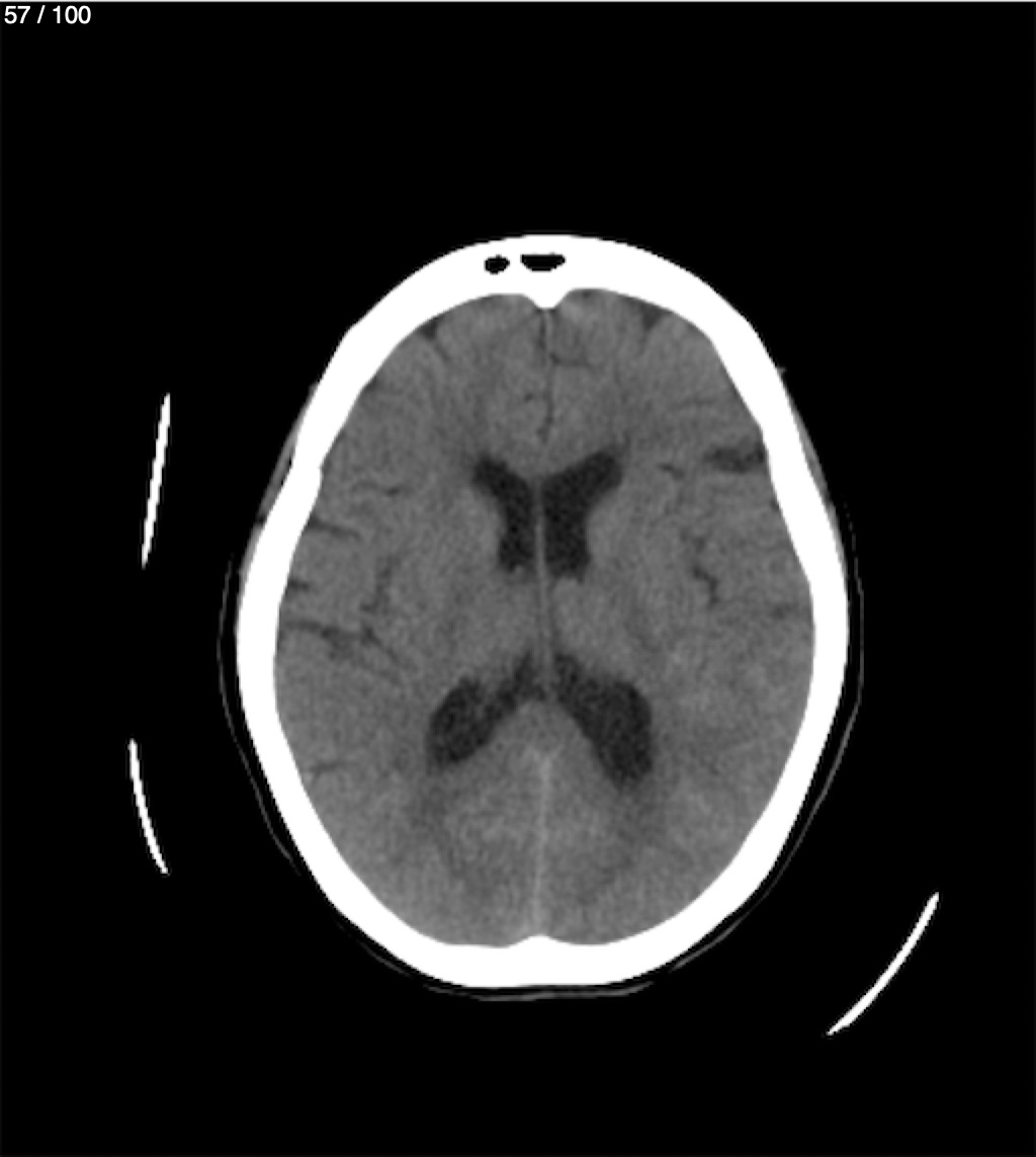
Elvira Perez Cifuentes 65A - T.C Craneo
Previous Series
Next Series
Show as Sequence