HUIXTLA
ESCUINTLA
AKISHINO
AKISHINO2 USG
ESPECIALIDADES
Home
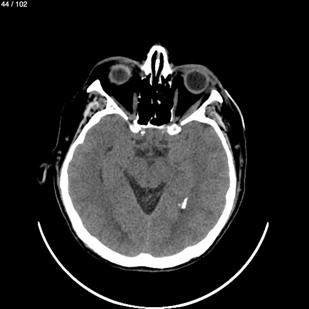
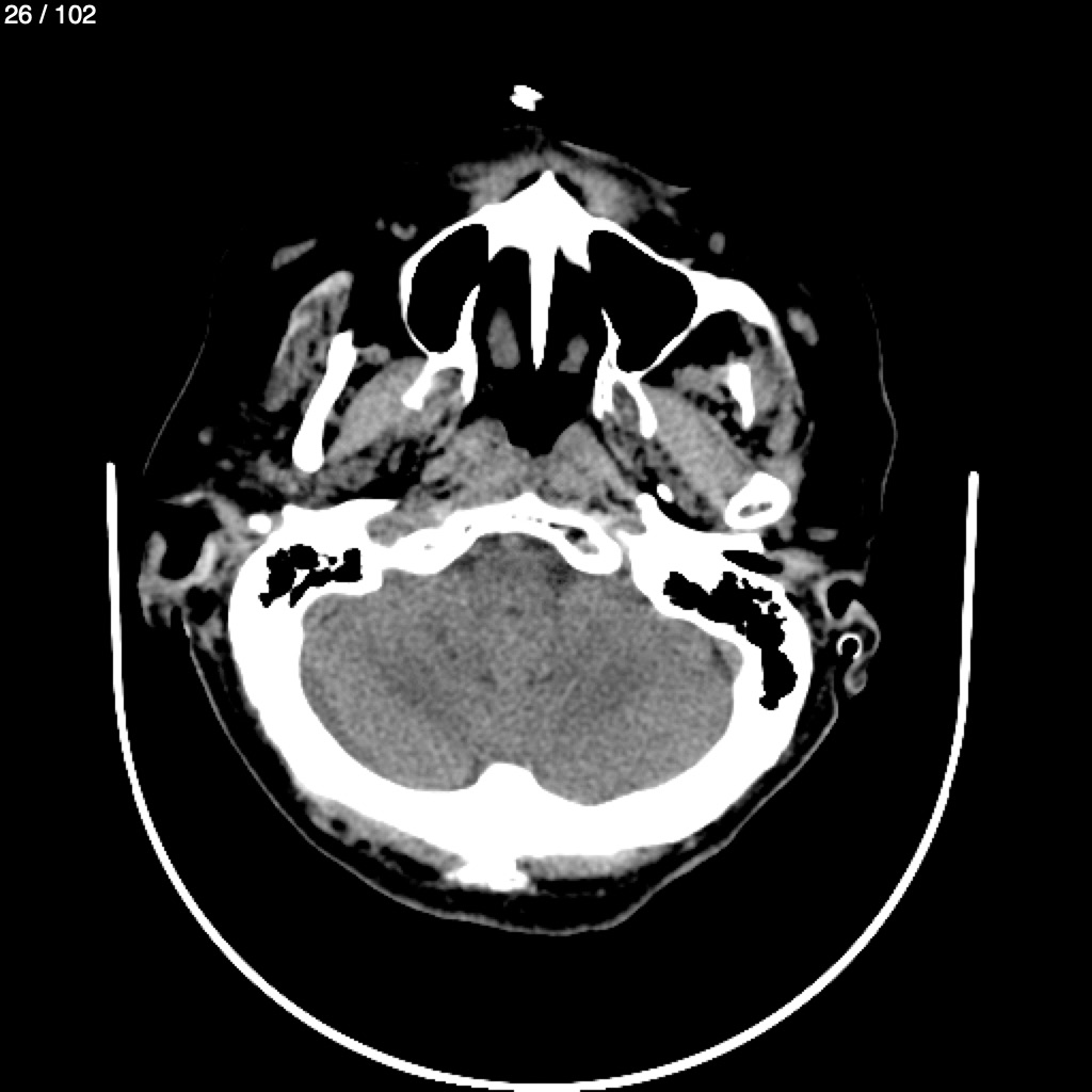
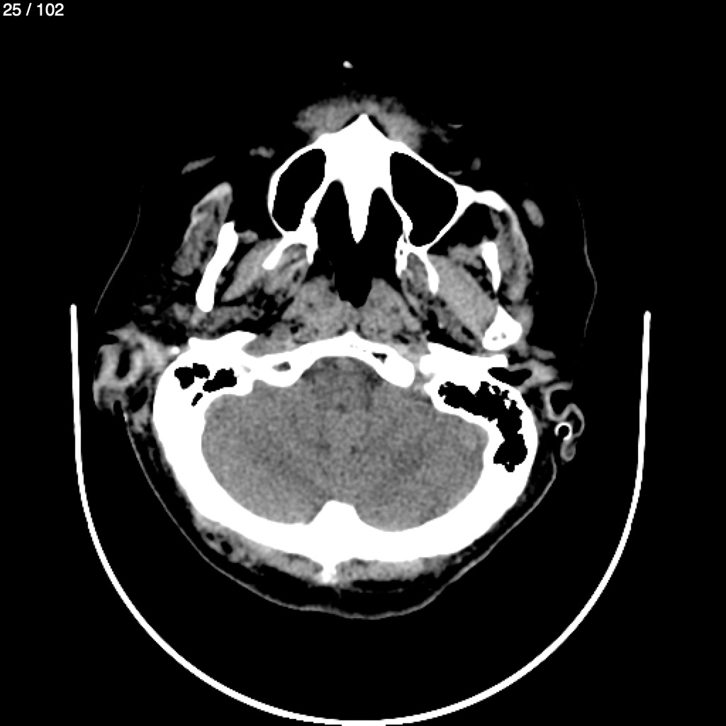
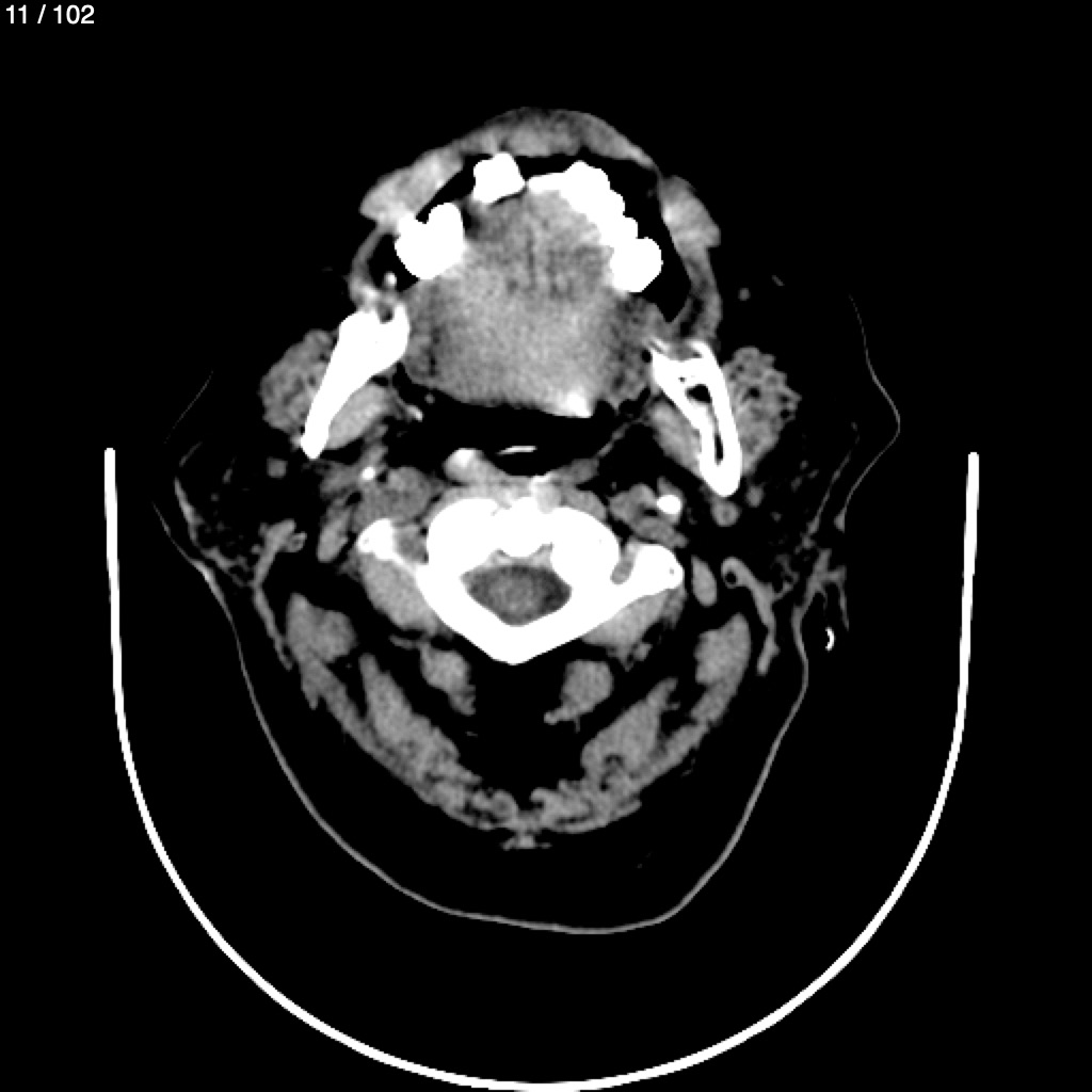
Estela Perez Roblero 62A - T.C Craneo
Next Series
Show as Sequence