HUIXTLA
ESCUINTLA
AKISHINO
AKISHINO2 USG
ESPECIALIDADES
Home
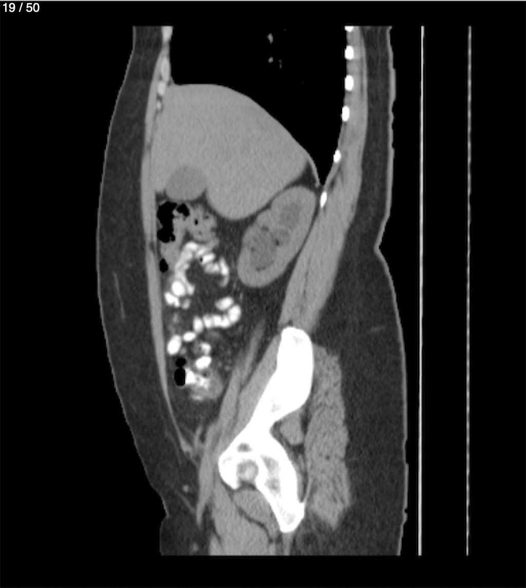
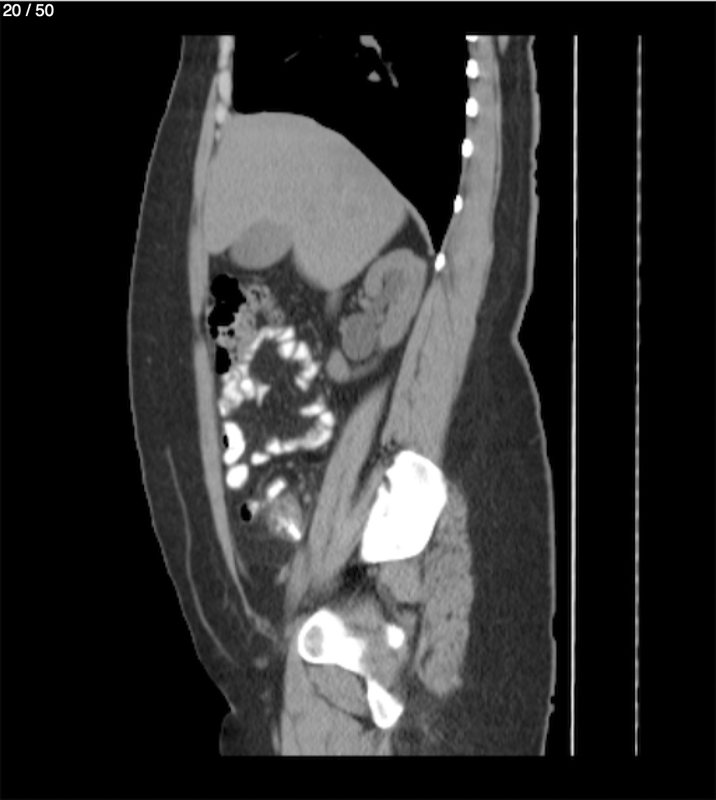
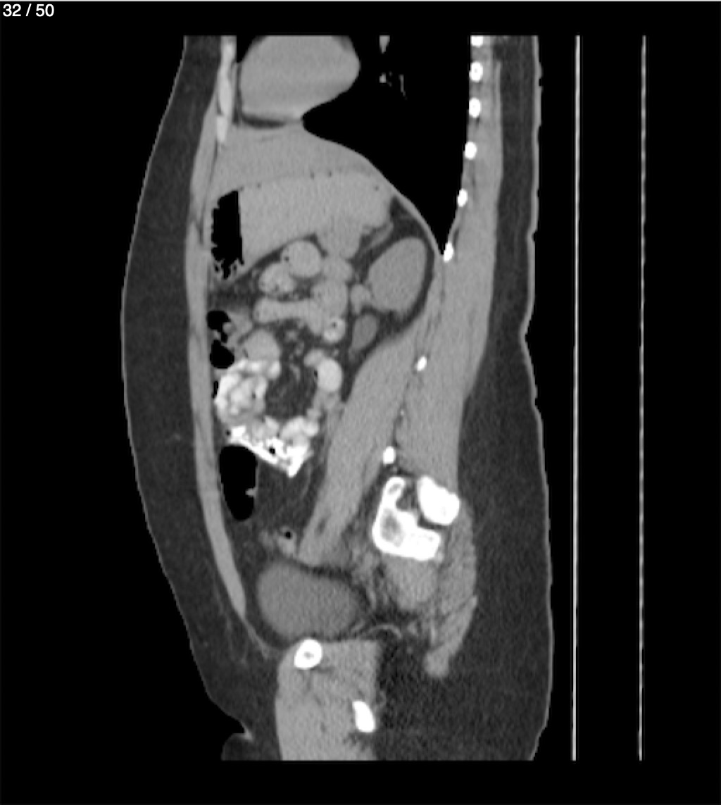
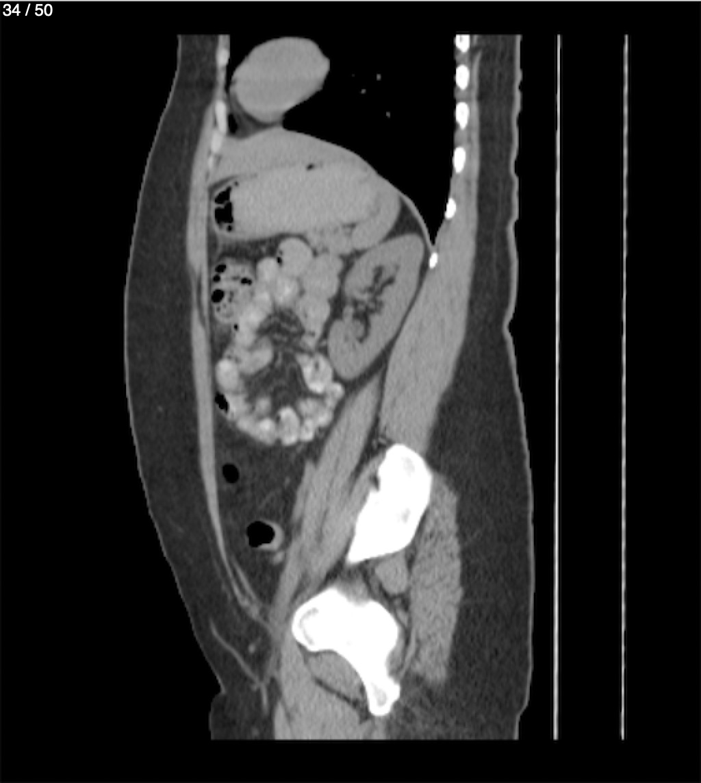
Evelyn Santizo Zamora 32A - E+1 T.C Abdomen Syc
Previous Series
Next Series
Show as Sequence