HUIXTLA
ESCUINTLA
AKISHINO
AKISHINO2 USG
ESPECIALIDADES
Home
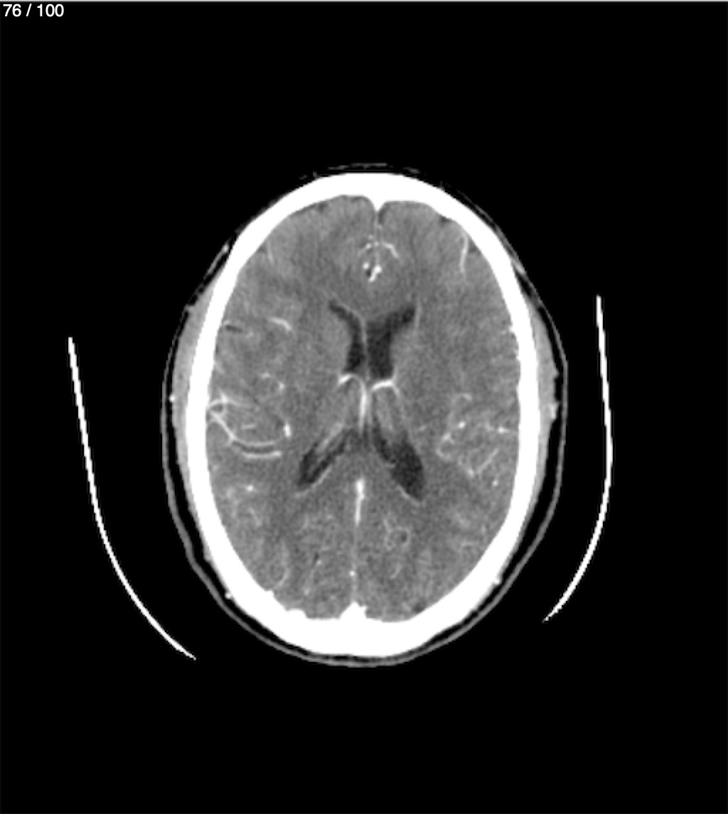
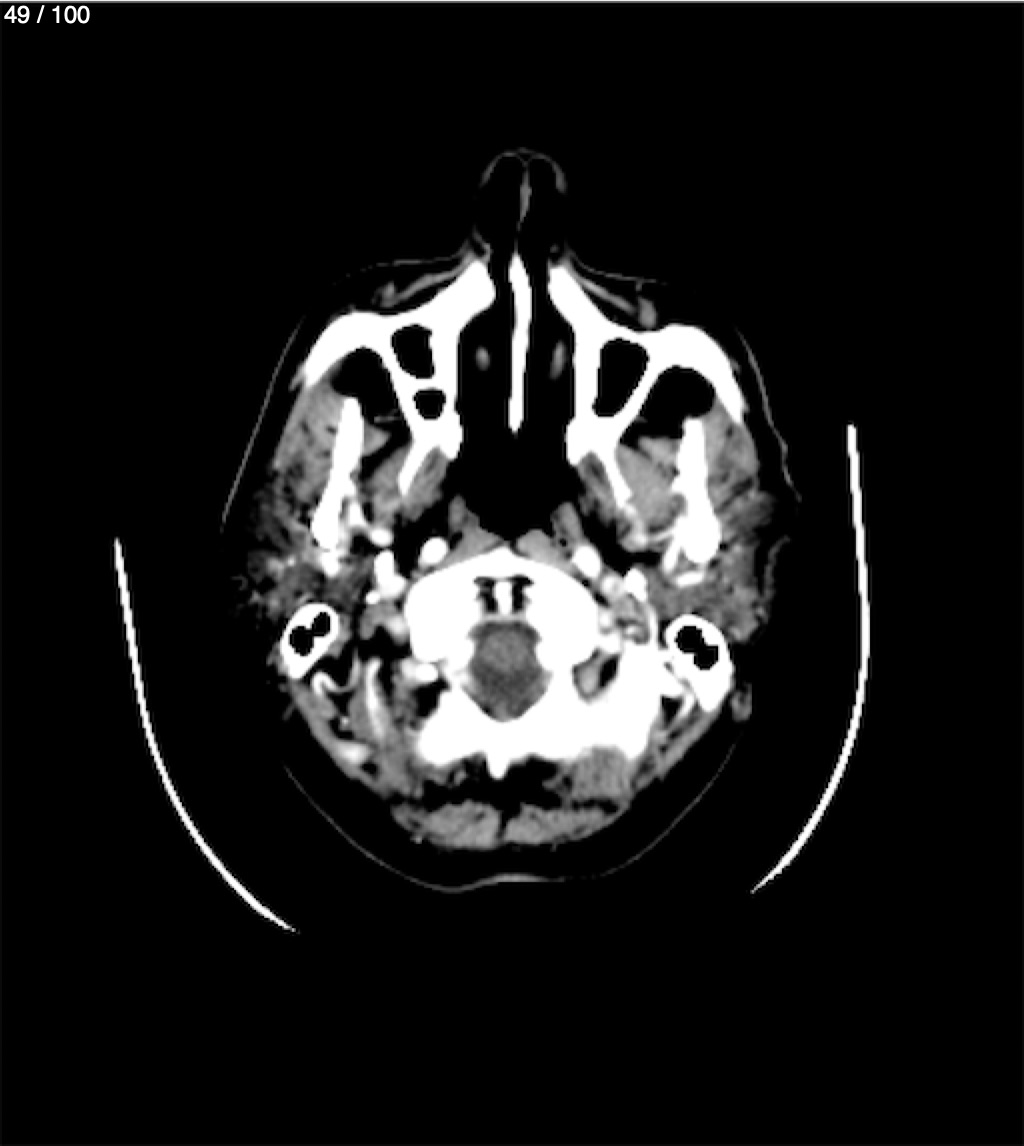
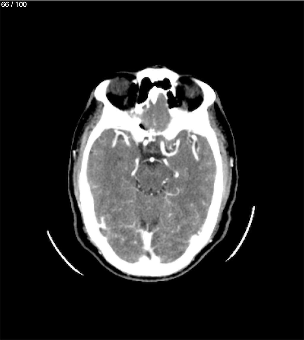
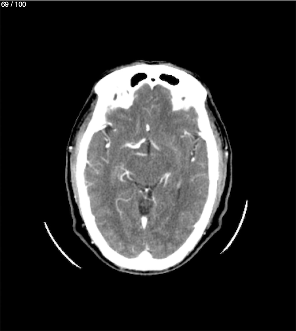
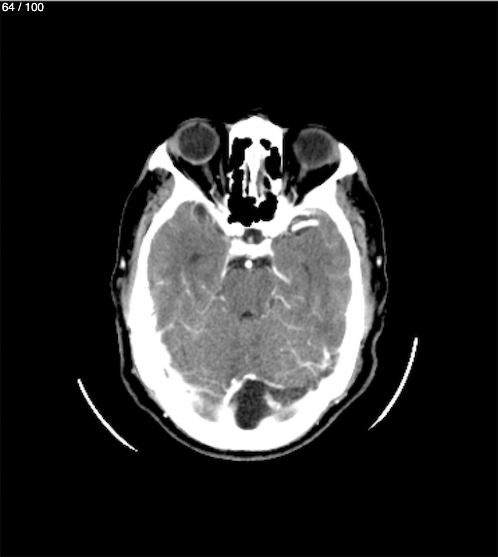
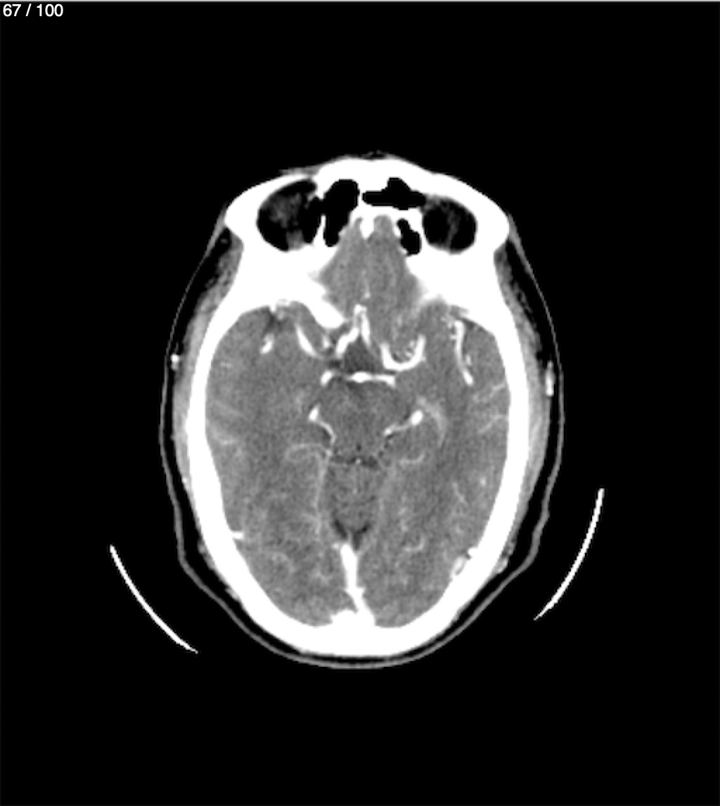
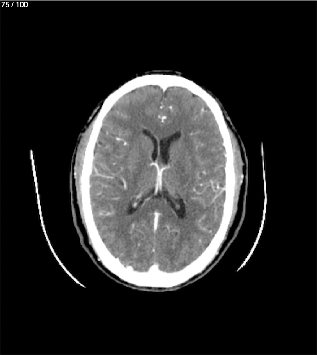
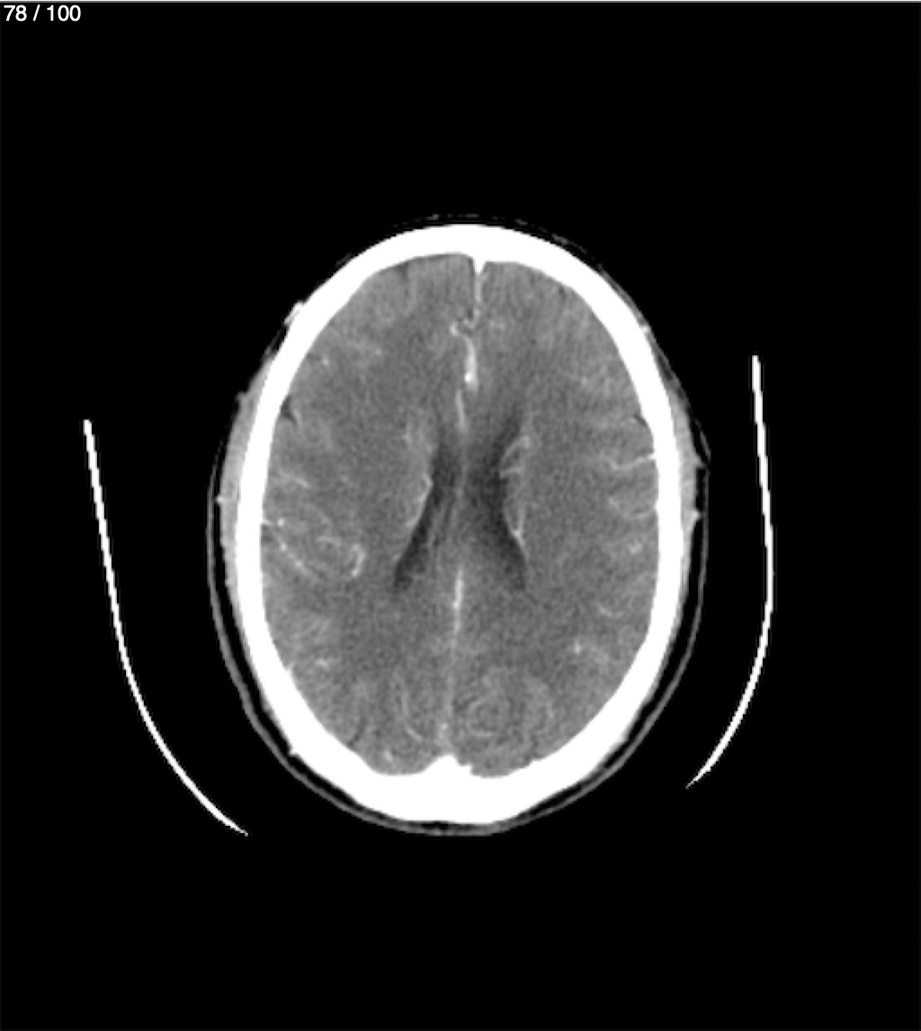
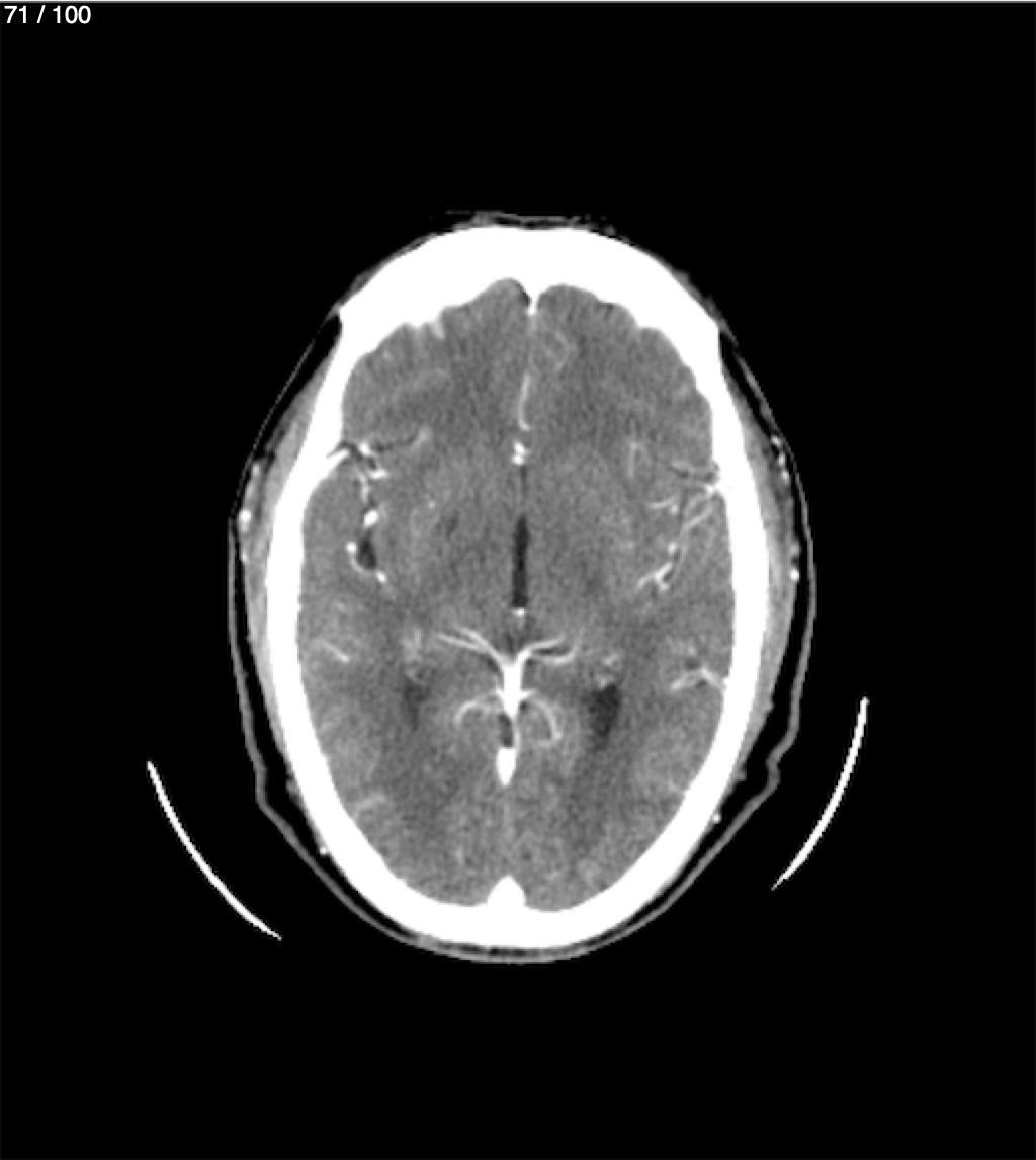
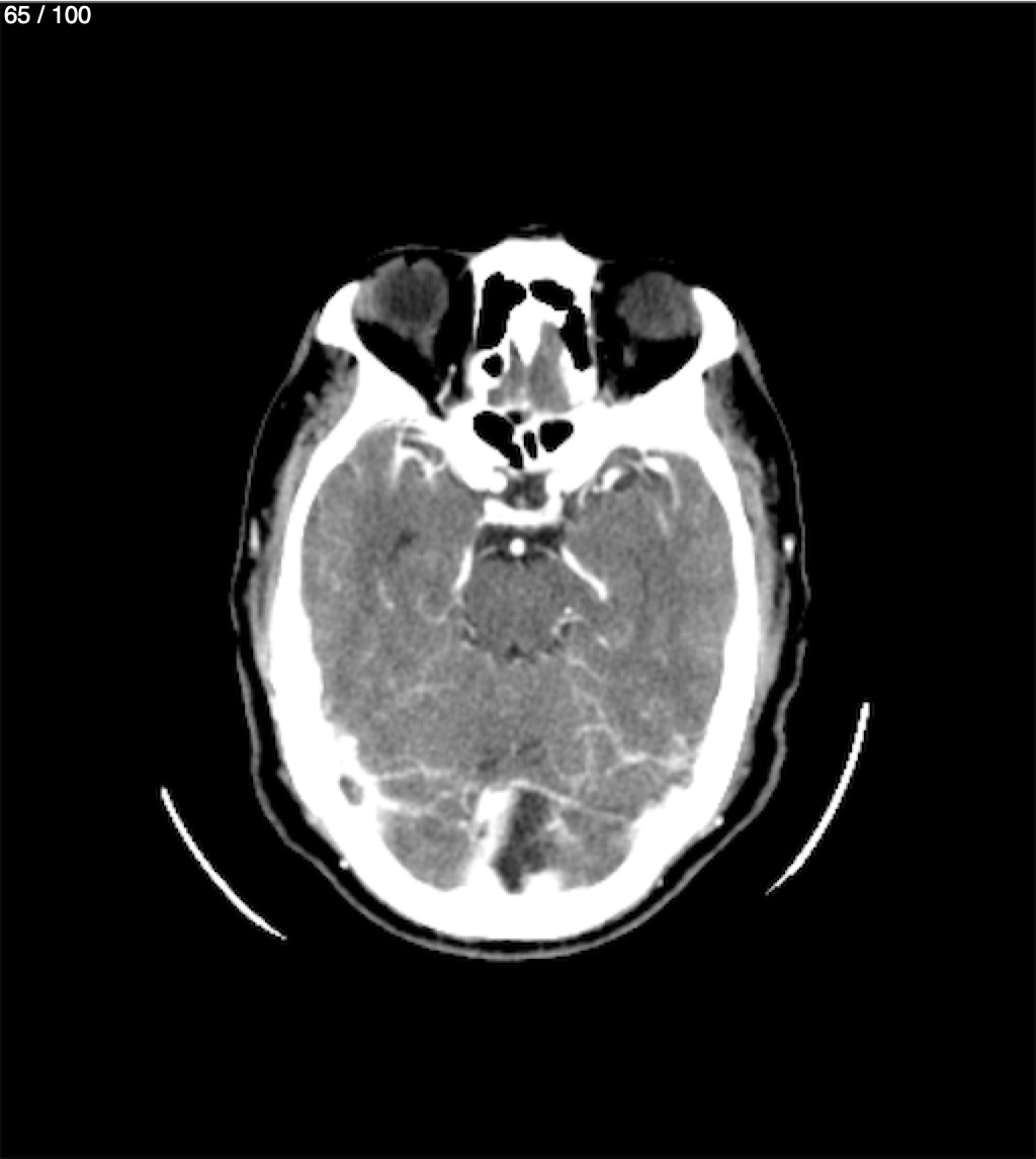
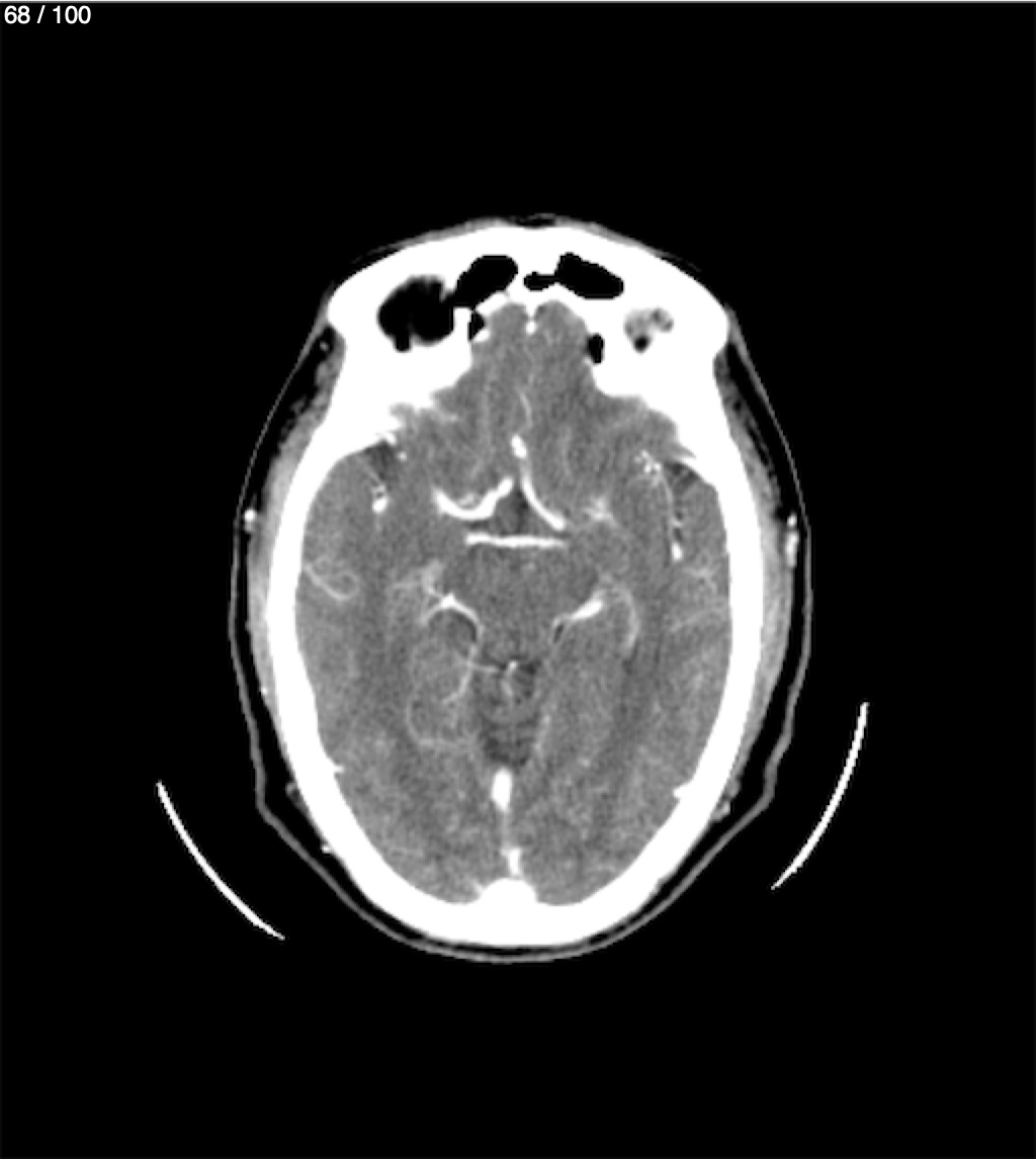
Roberto Sargento Morales 57A - Tc Craneo Y Cuello Sc
Previous Series
Next Series
Show as Sequence