HUIXTLA
ESCUINTLA
AKISHINO
AKISHINO2 USG
ESPECIALIDADES
Home
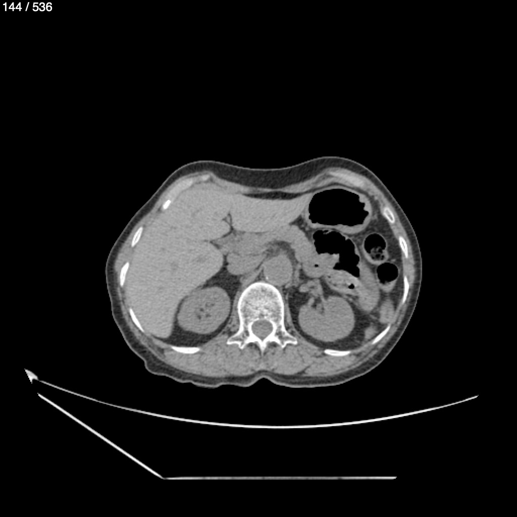
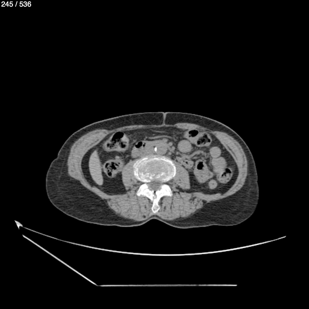
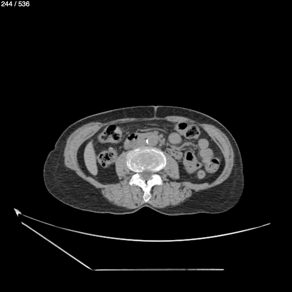
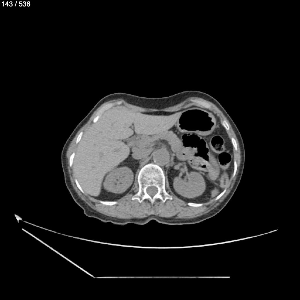
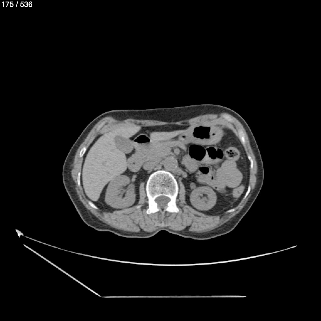
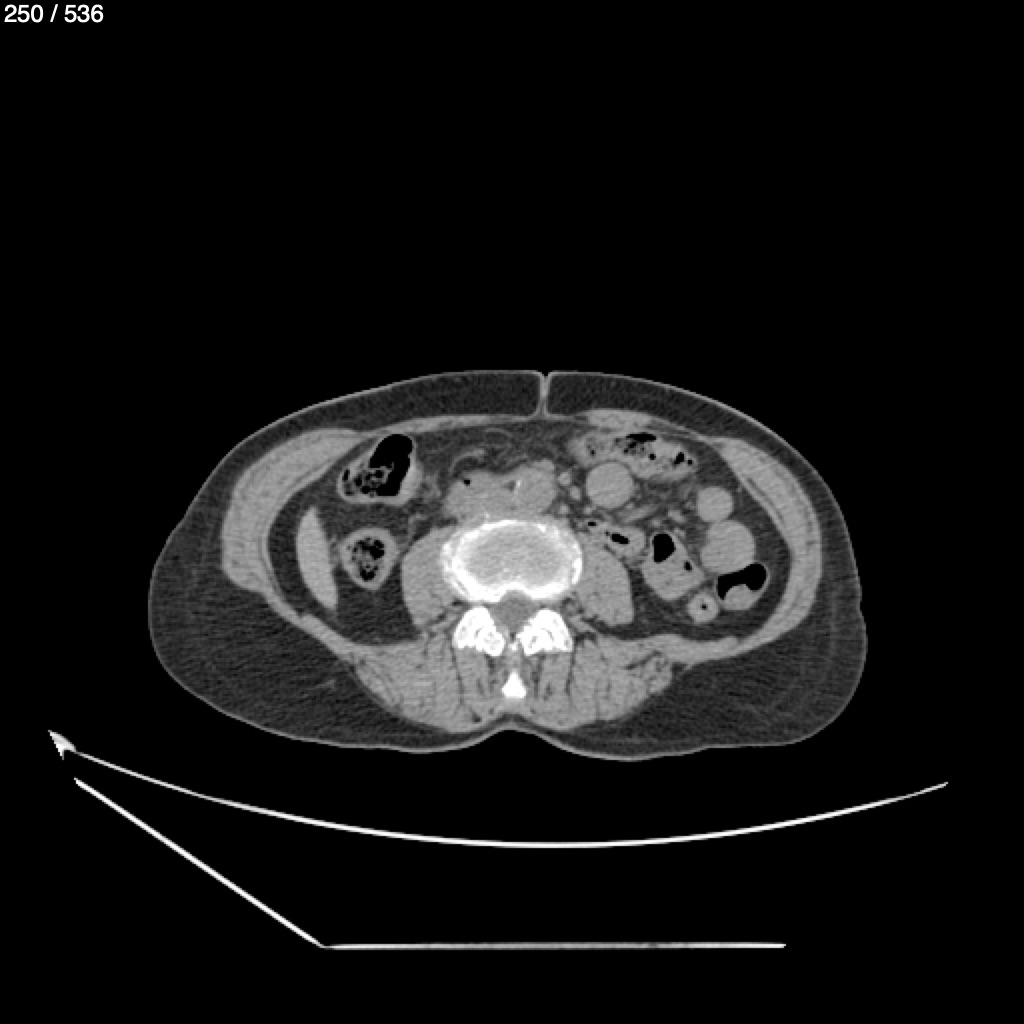
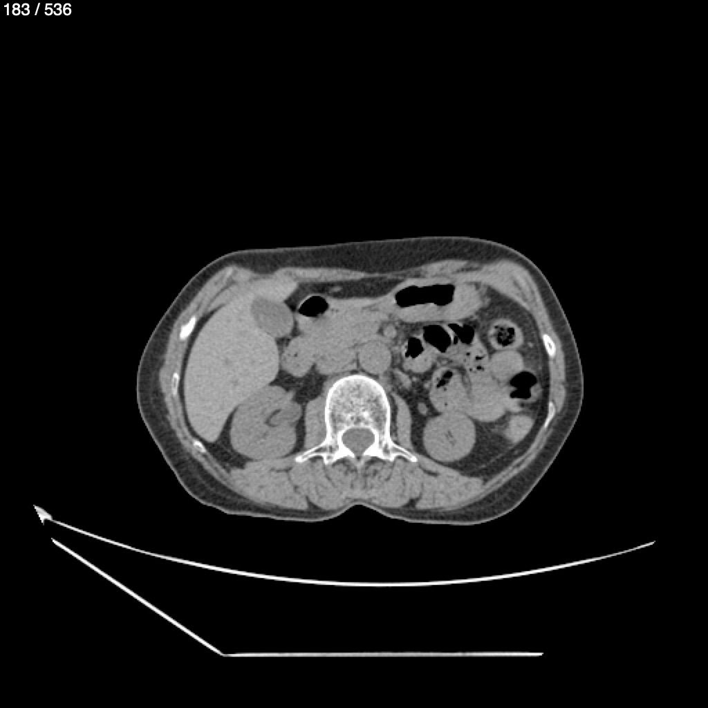
Enriqueta Navarro Zacarias 65A - T.C Abdomen Simple
Previous Series
Next Series
Show as Sequence