HUIXTLA
ESCUINTLA
AKISHINO
AKISHINO2 USG
ESPECIALIDADES
Home
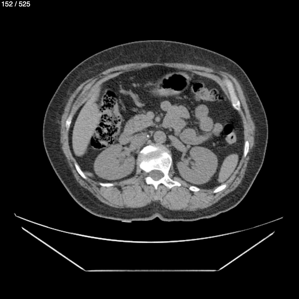
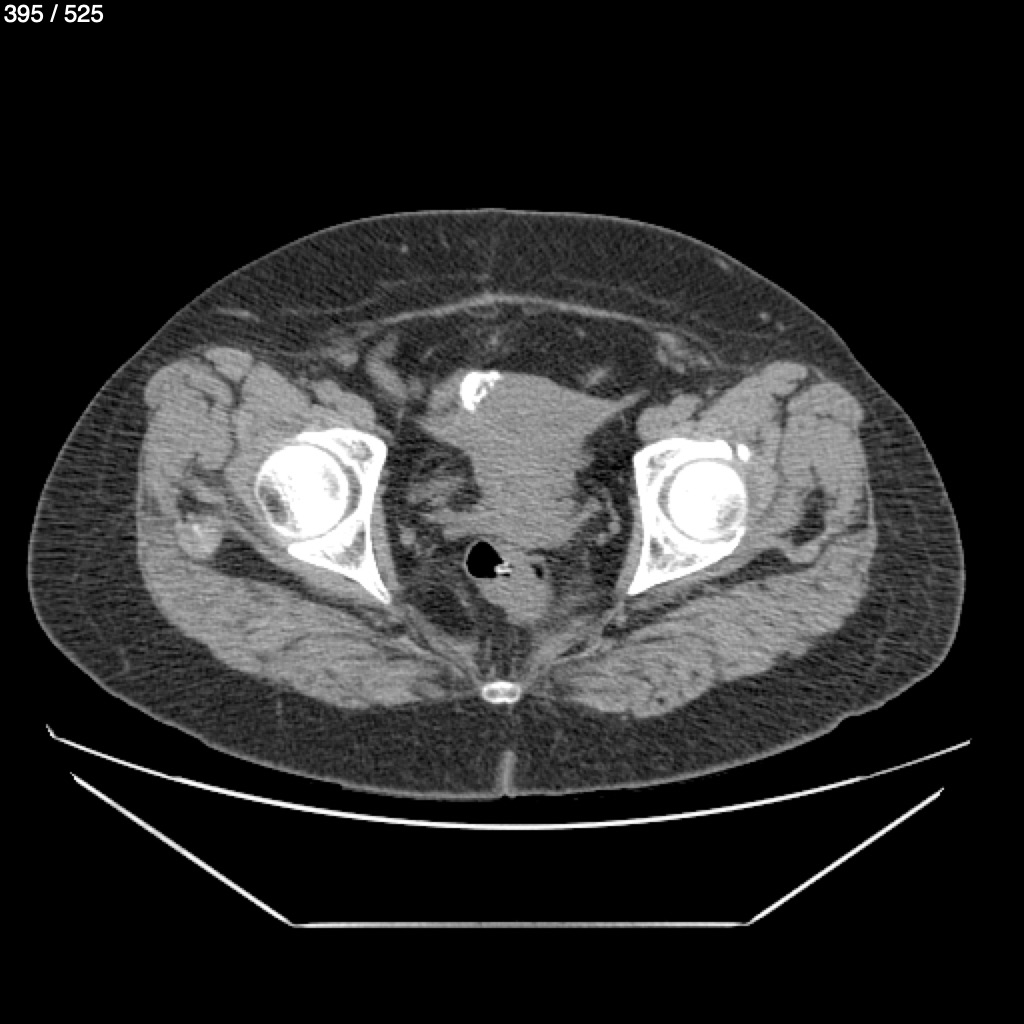
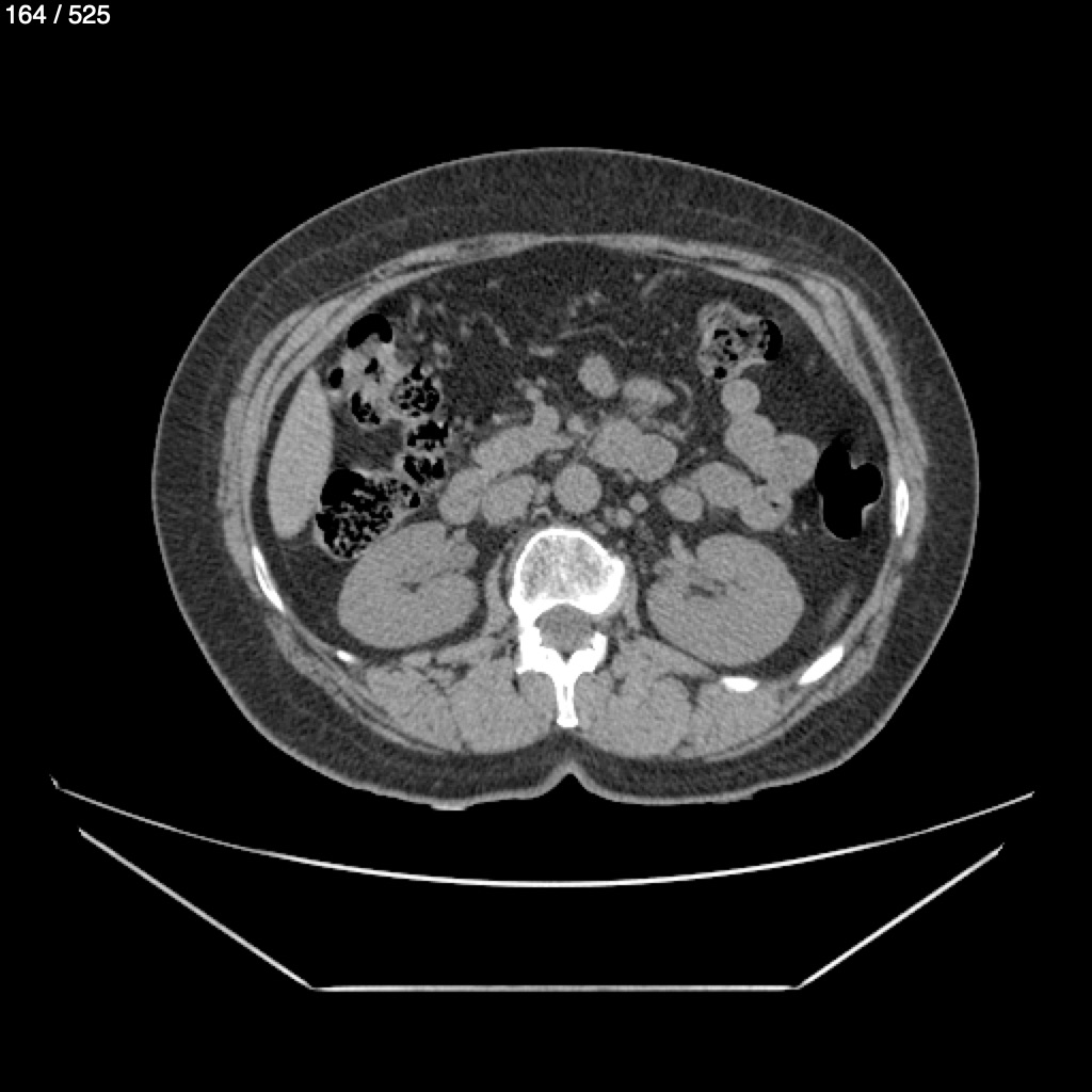
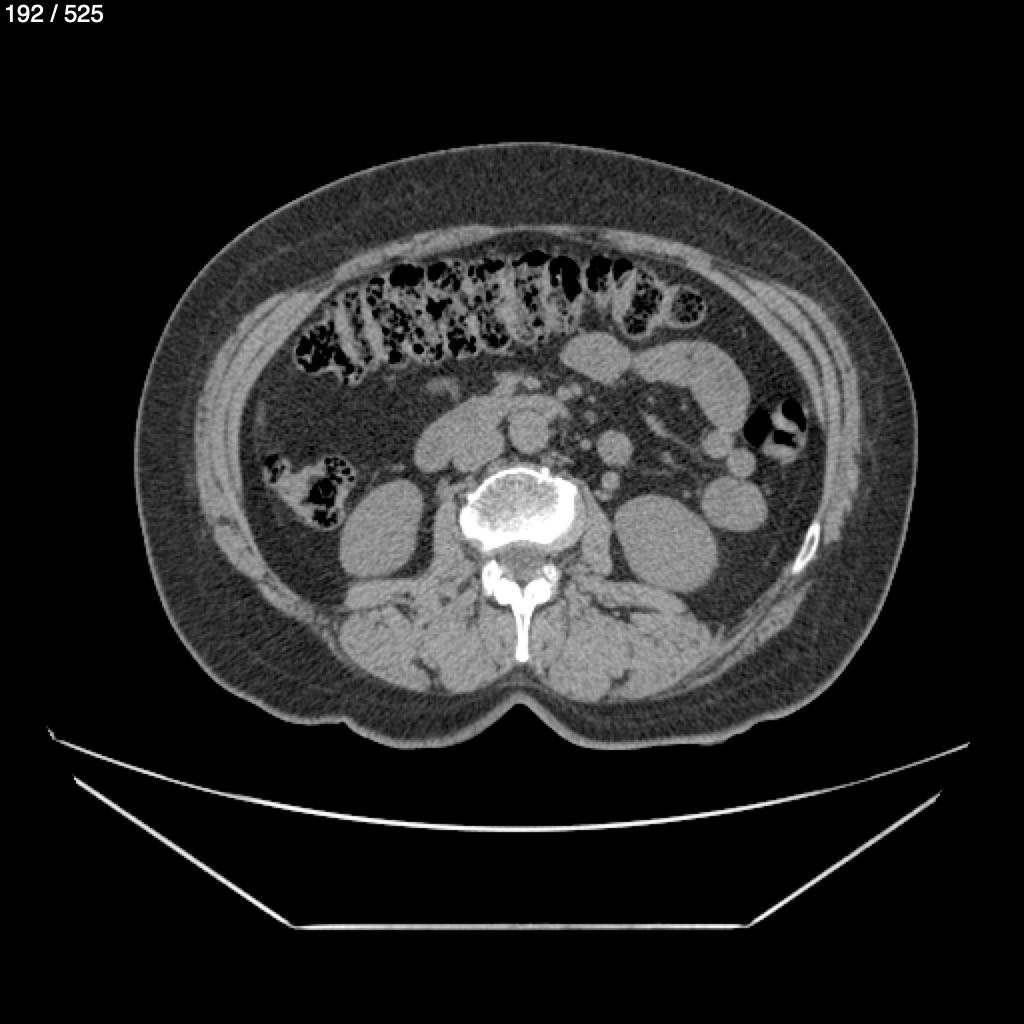
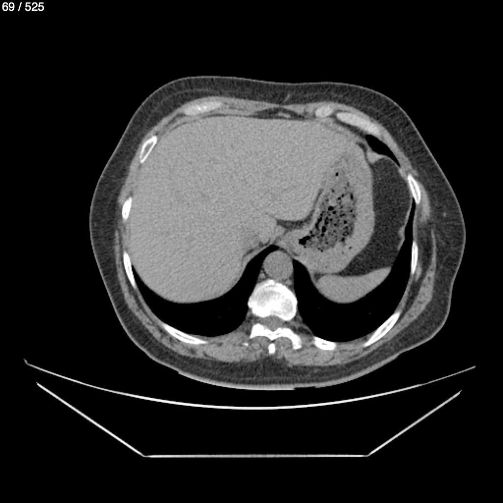
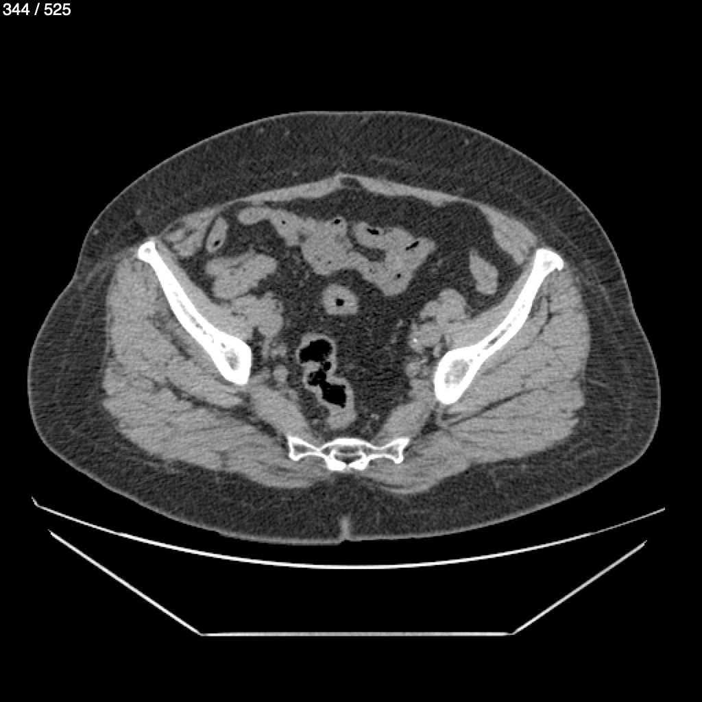
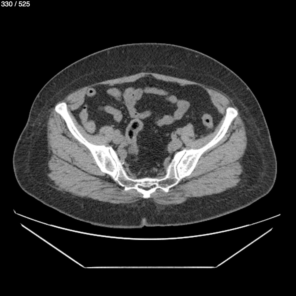
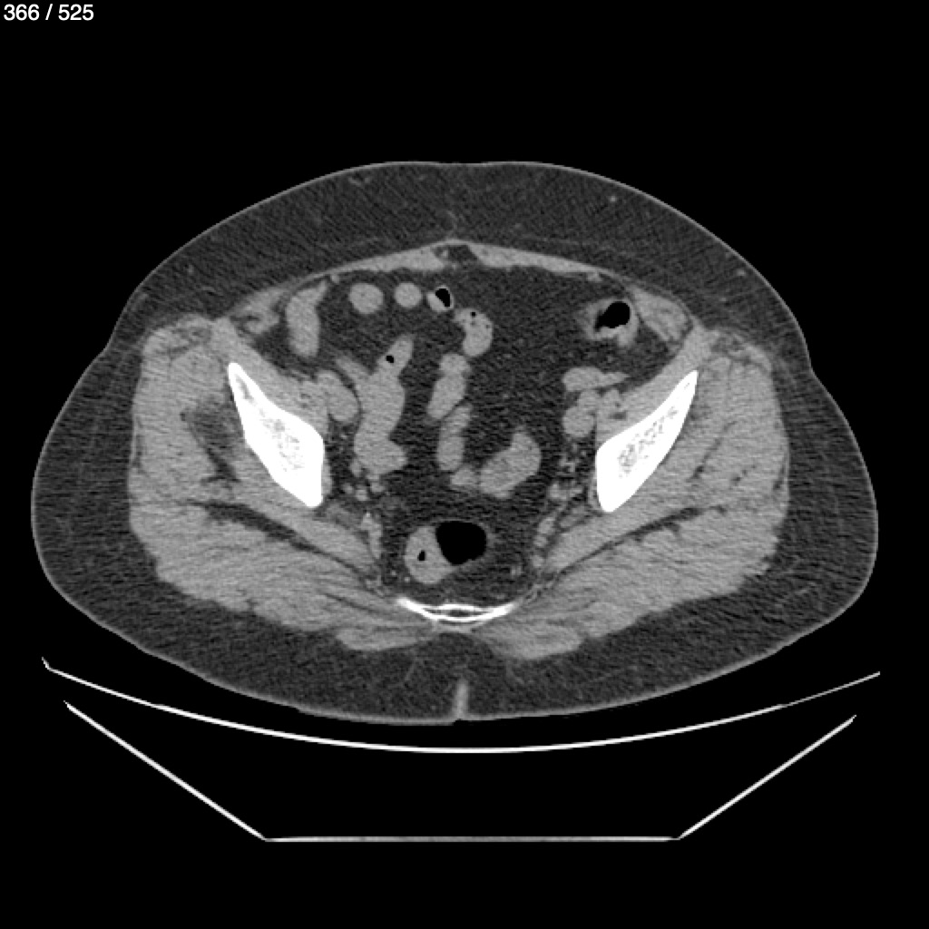
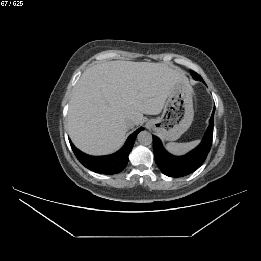
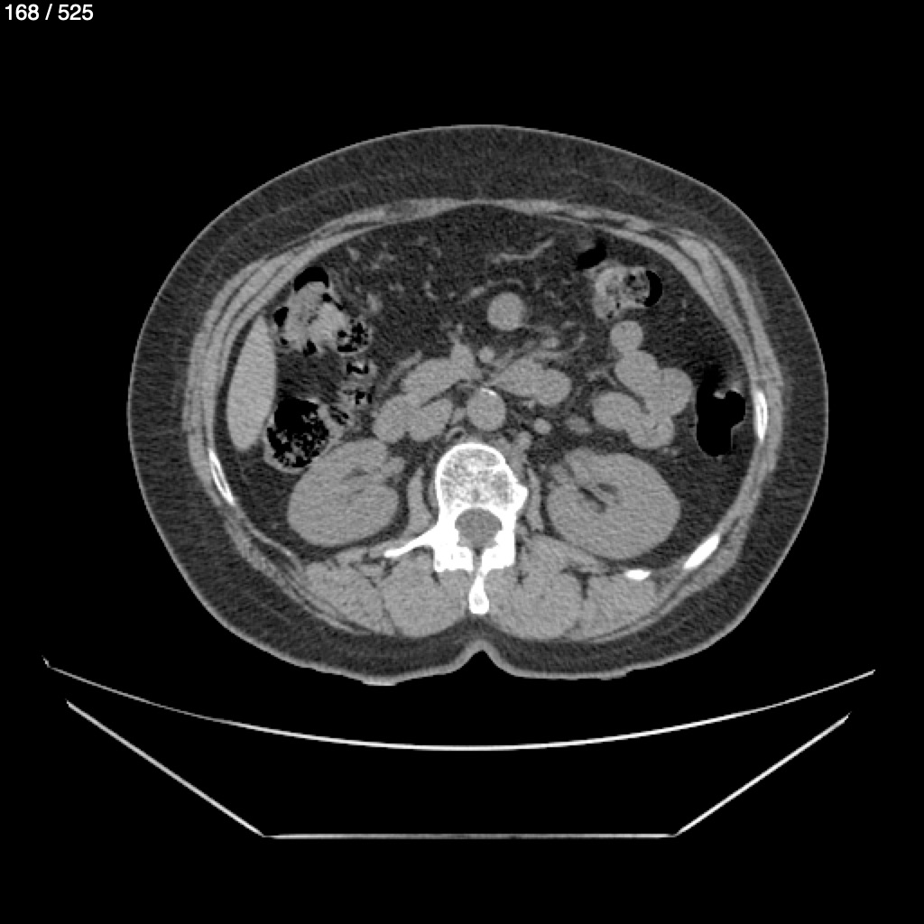
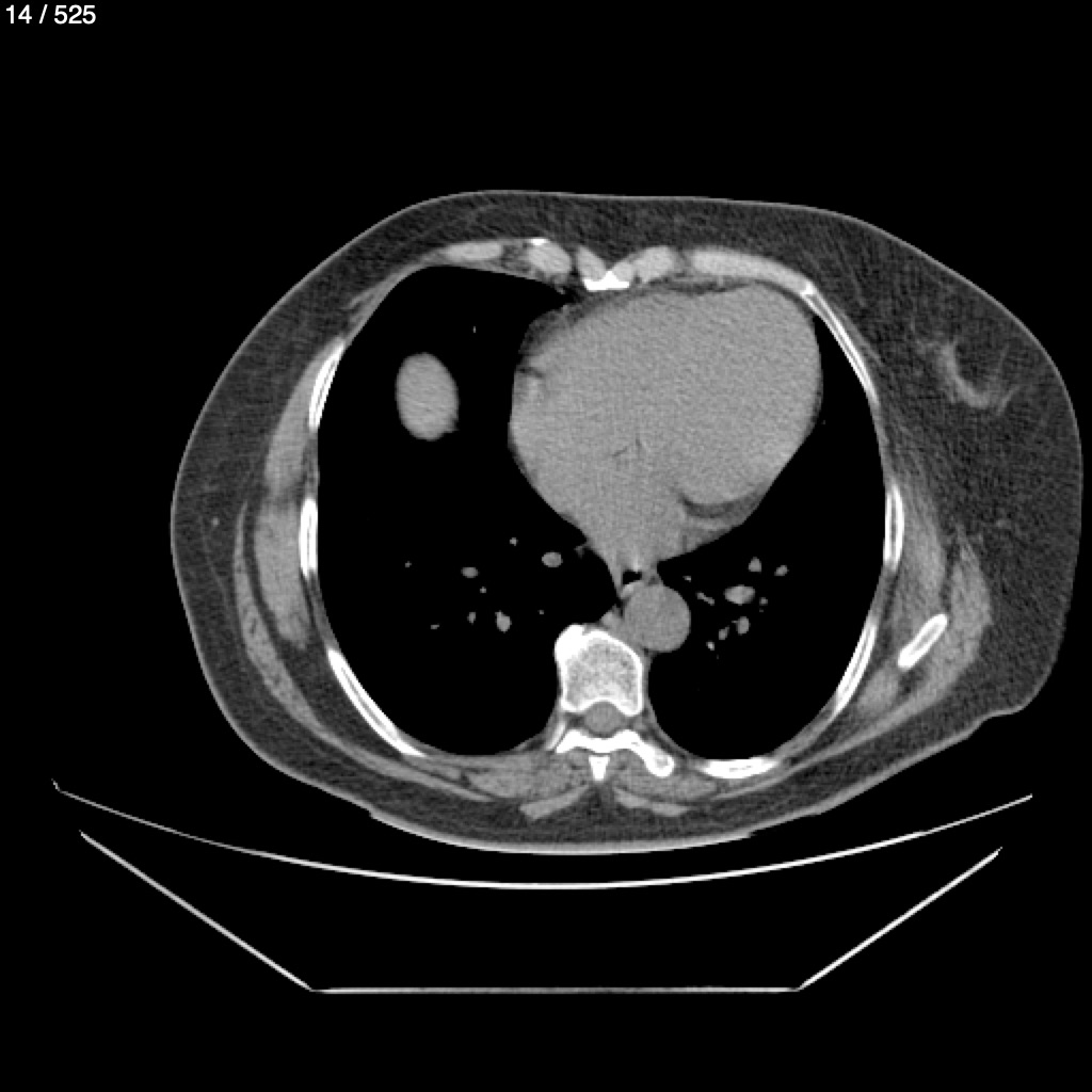
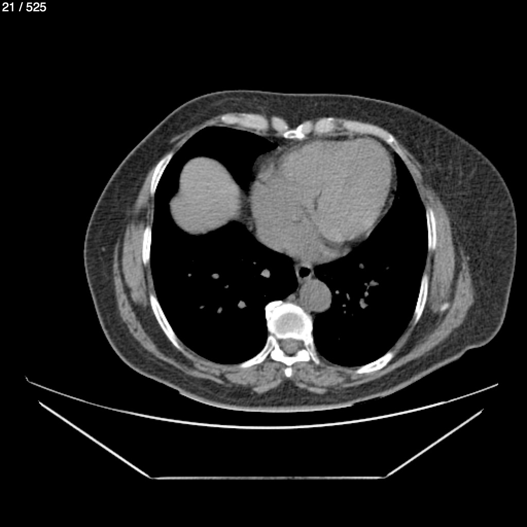
Maria Enrique Giron Dominguez63A - T.C Abdomen Simple
Previous Series
Next Series
Show as Sequence