HUIXTLA
ESCUINTLA
AKISHINO
AKISHINO2 USG
ESPECIALIDADES
Home
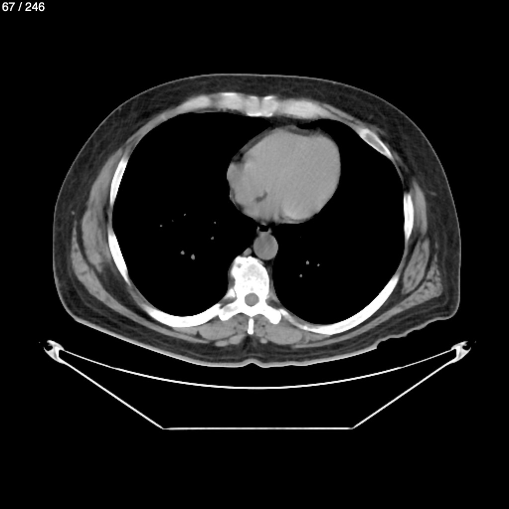
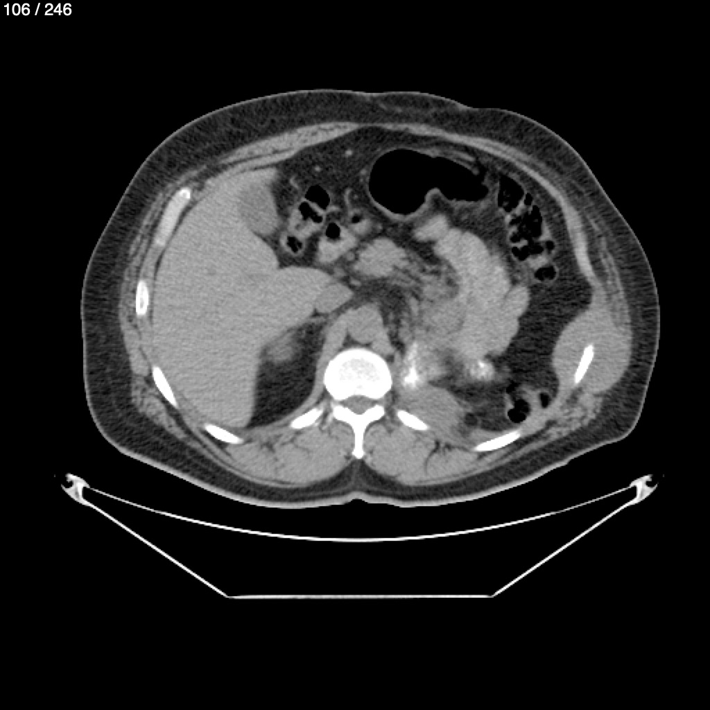
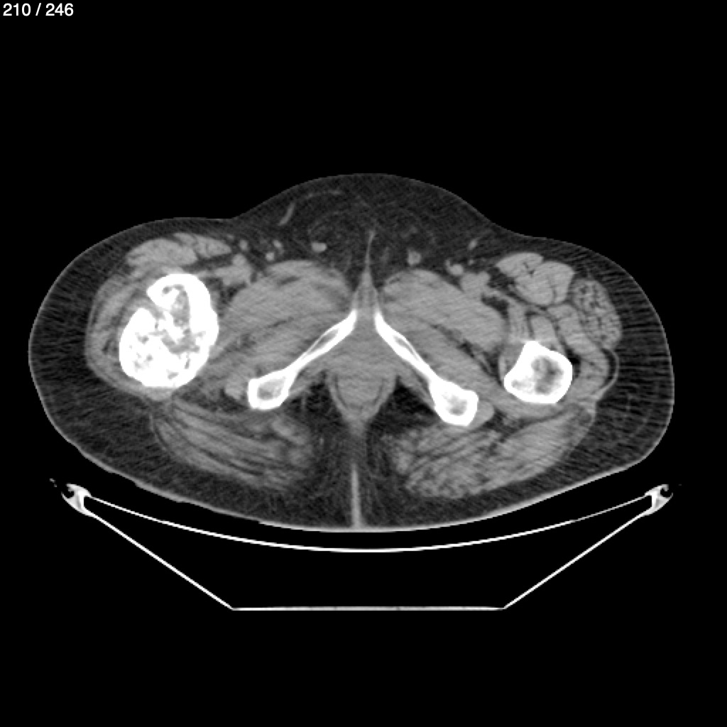
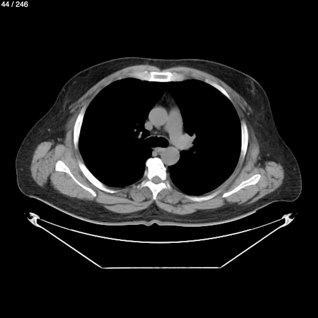
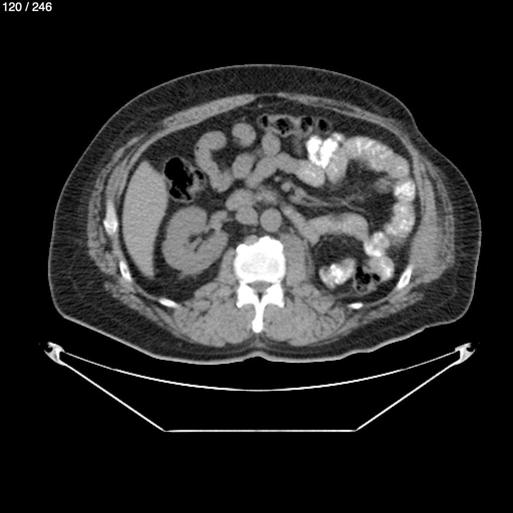
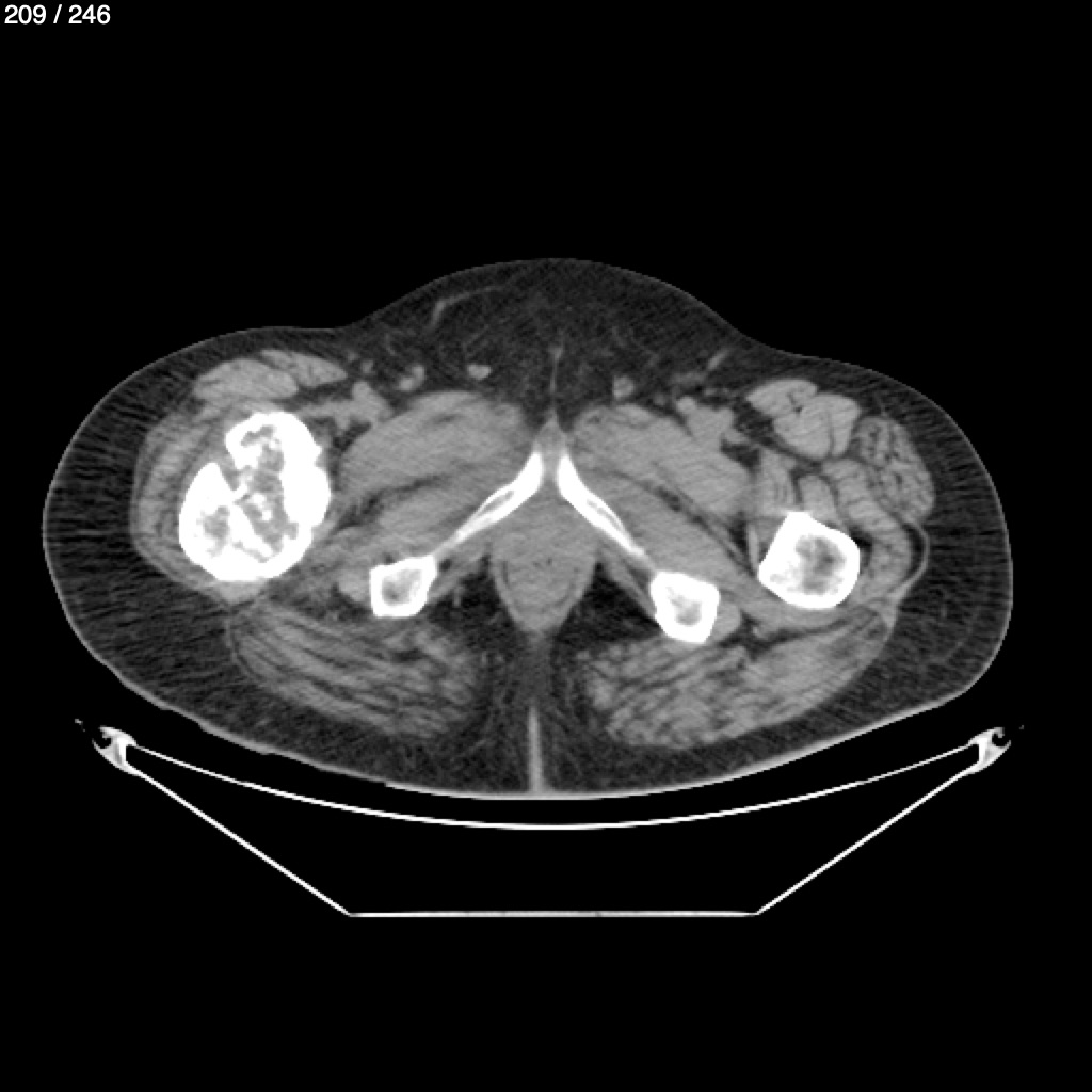
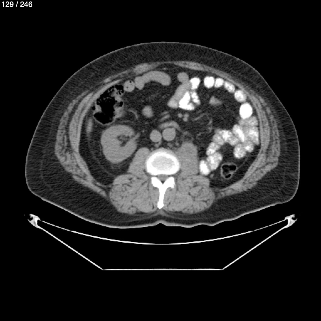
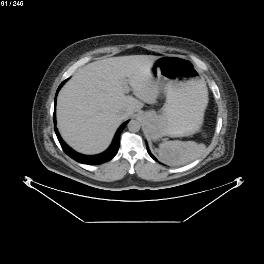
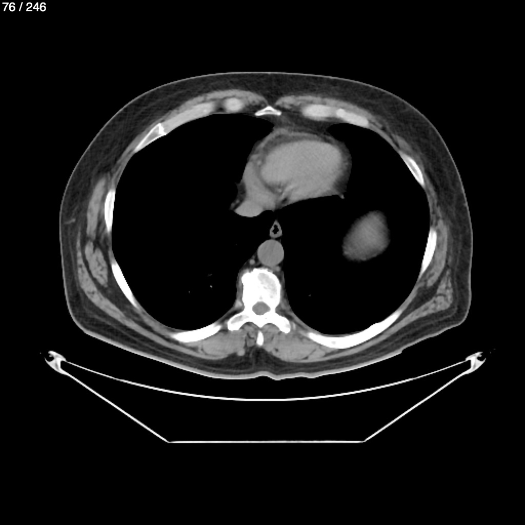
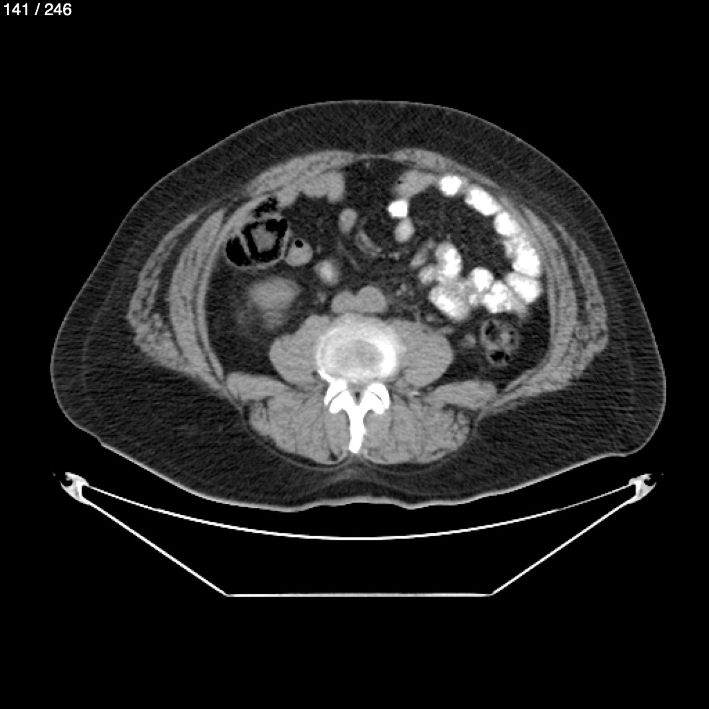
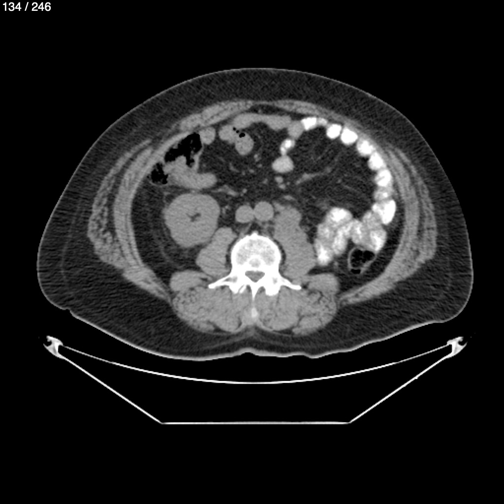
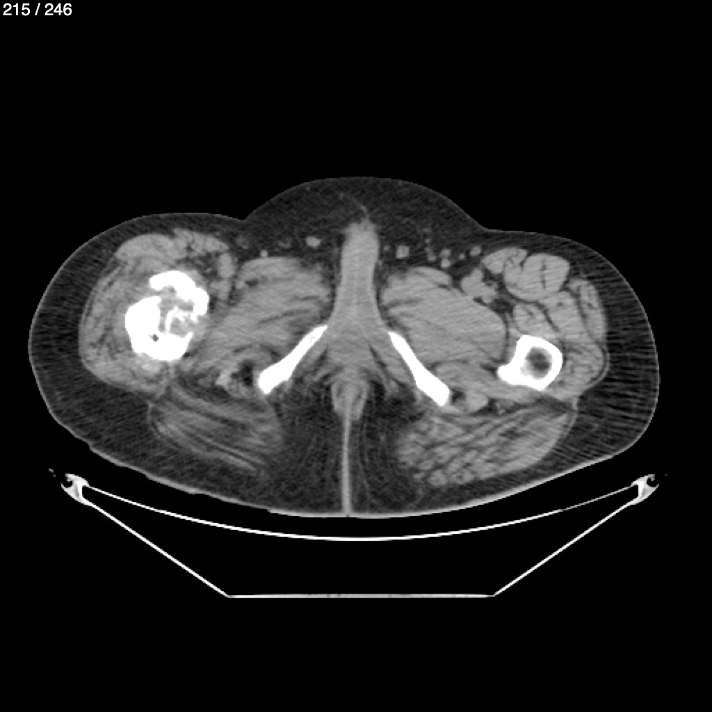
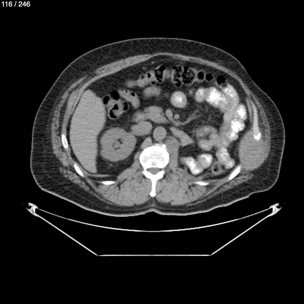
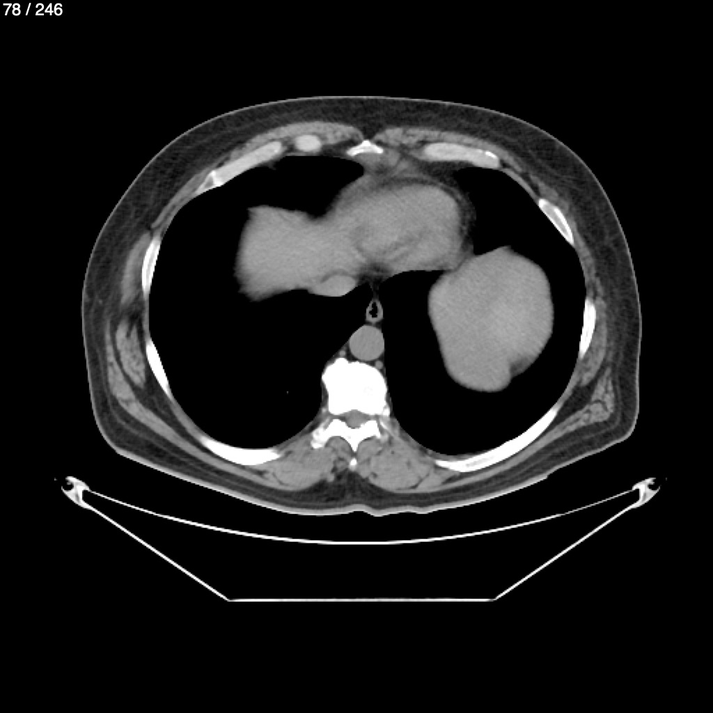
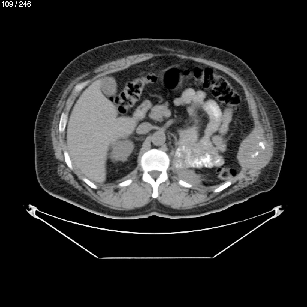
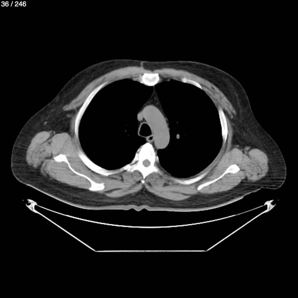
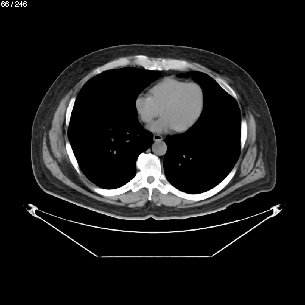
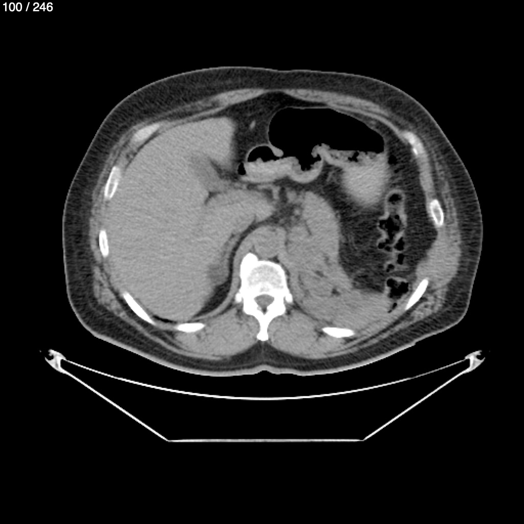
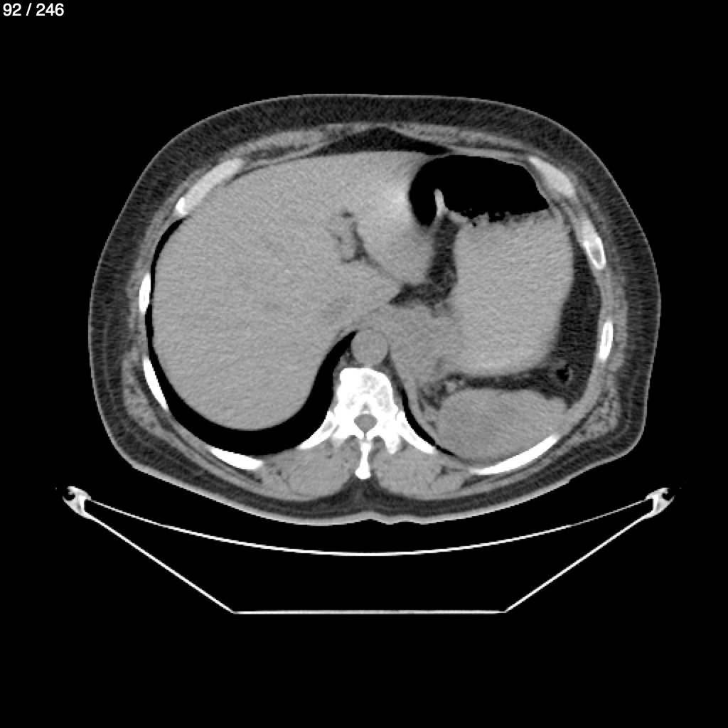
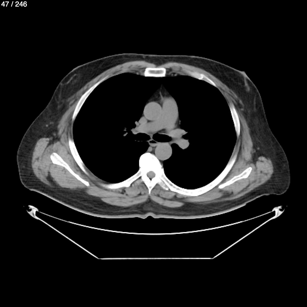
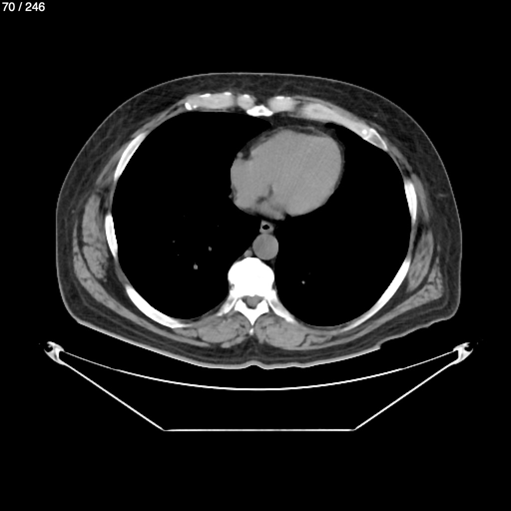
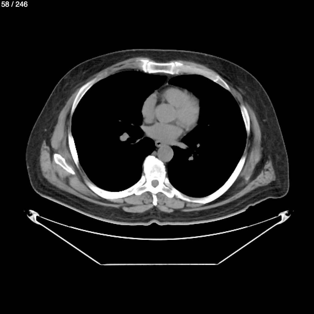
Magdiel Lopez Castaneda 55A - T.C Toracoabdoen Syc
Next Series
Show as Sequence