HUIXTLA
ESCUINTLA
AKISHINO
AKISHINO2 USG
ESPECIALIDADES
Home
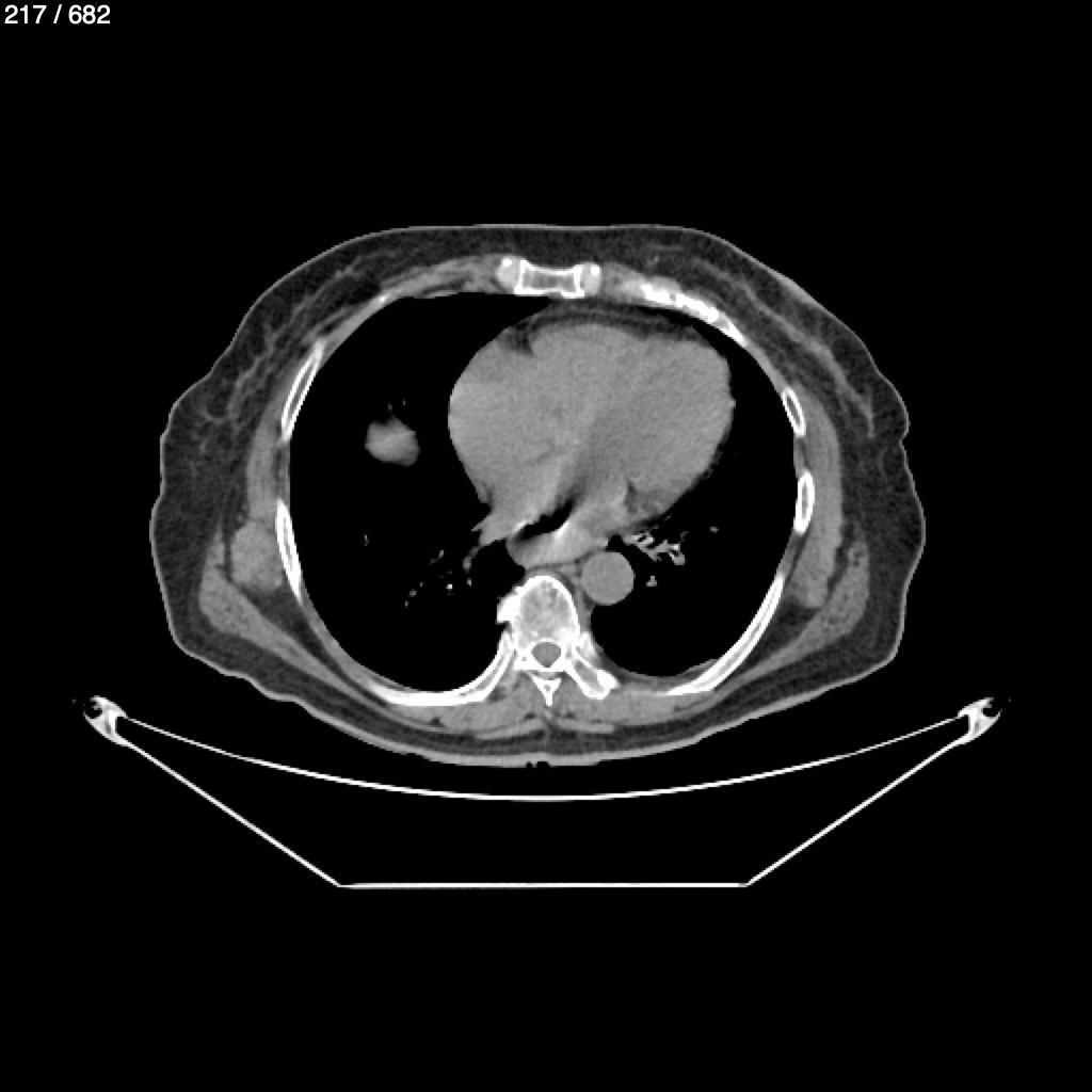
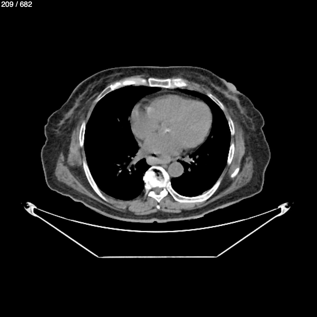
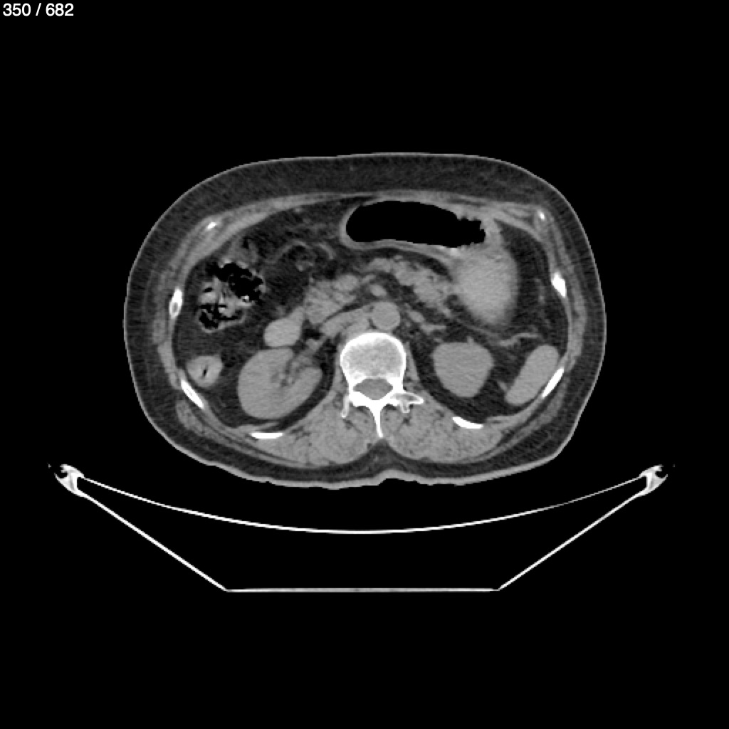
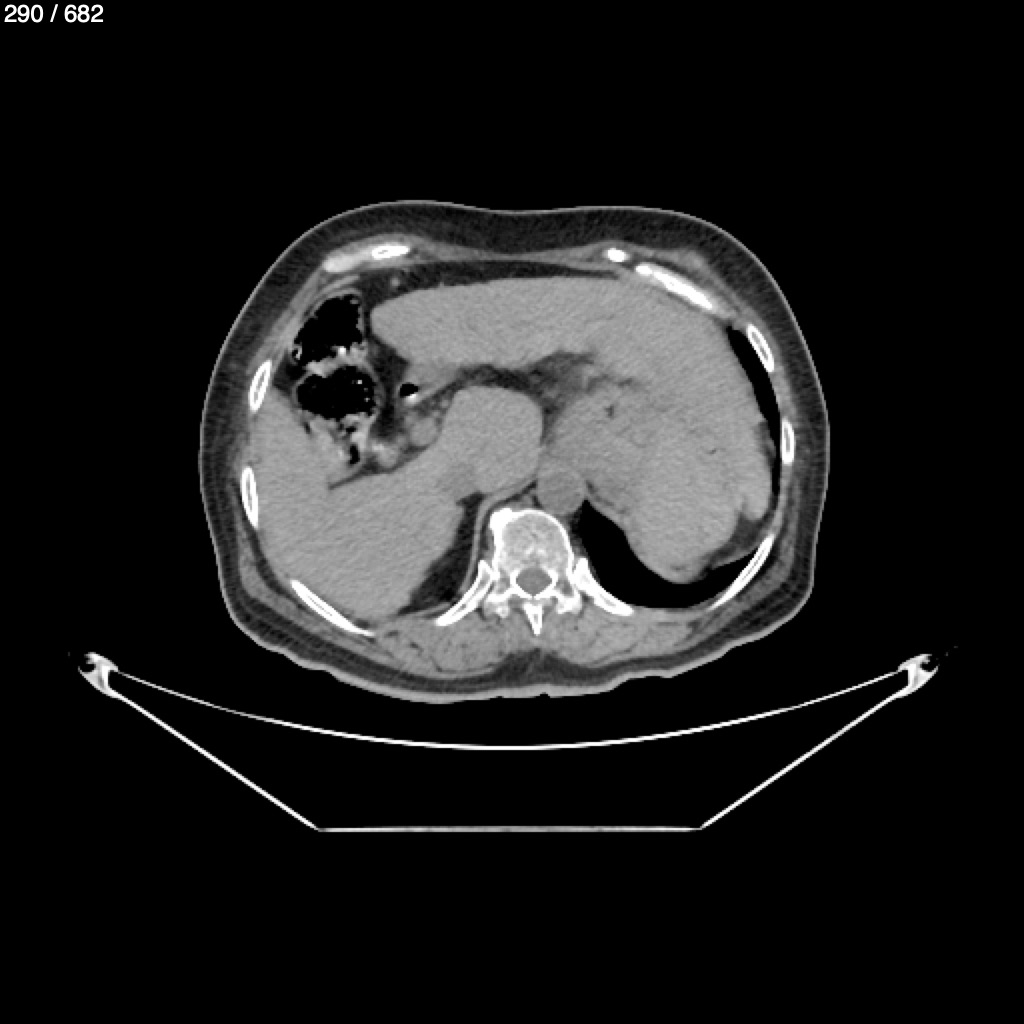
Catalina Lopez Villanueva 71A - T.C Toracoabdoen Syc
Previous Series
Next Series
Show as Sequence