HUIXTLA
ESCUINTLA
AKISHINO
AKISHINO2 USG
ESPECIALIDADES
Home
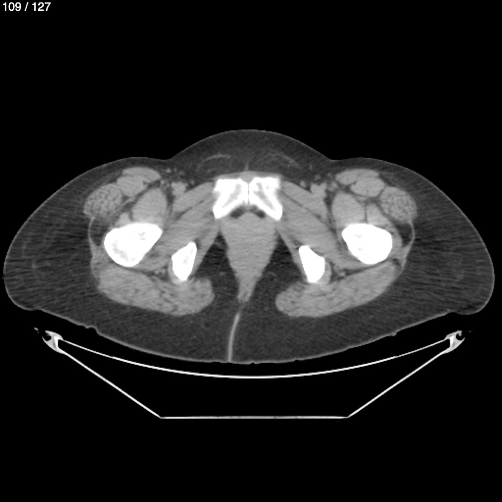
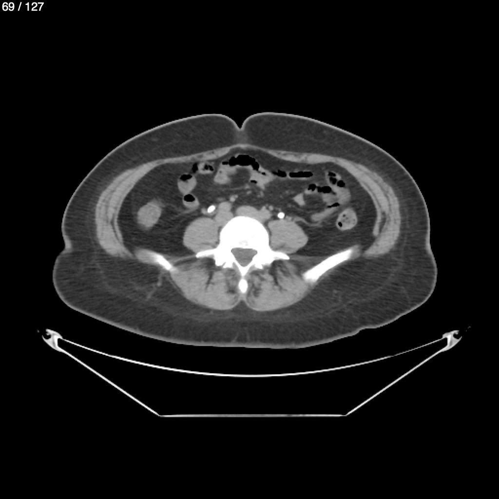
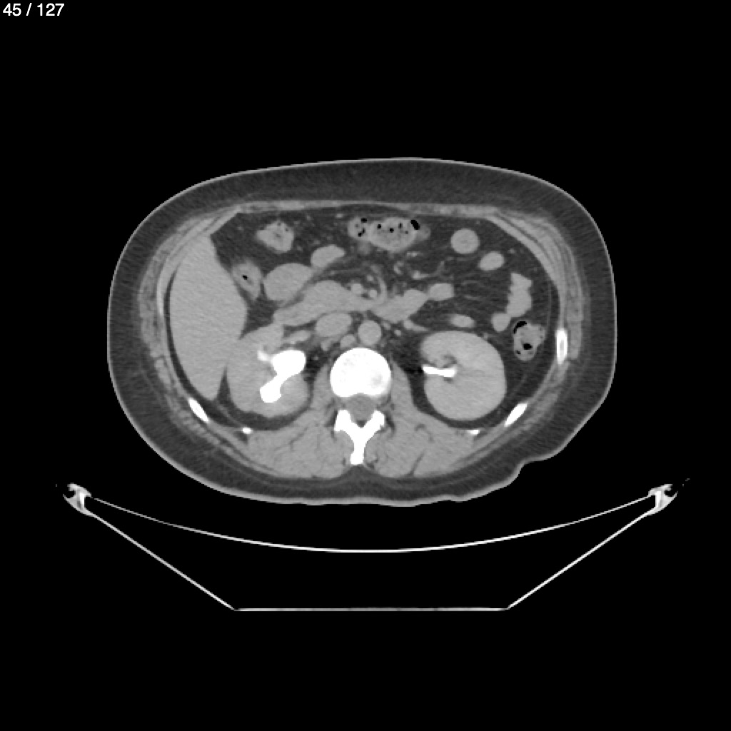
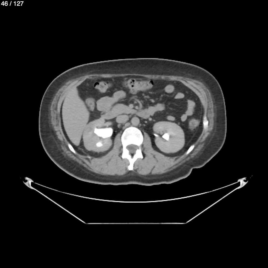
Claudia Maritza Noriega Lopez 39 - Urotac
Previous Series
Next Series
Show as Sequence