HUIXTLA
ESCUINTLA
AKISHINO
AKISHINO2 USG
ESPECIALIDADES
Home
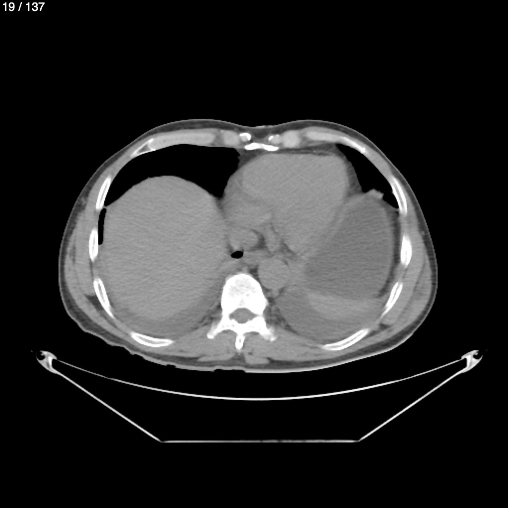
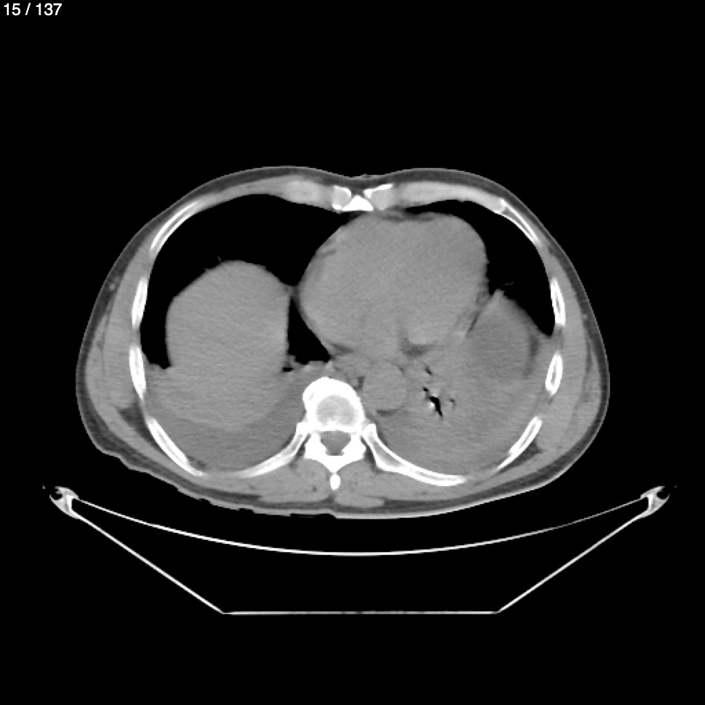
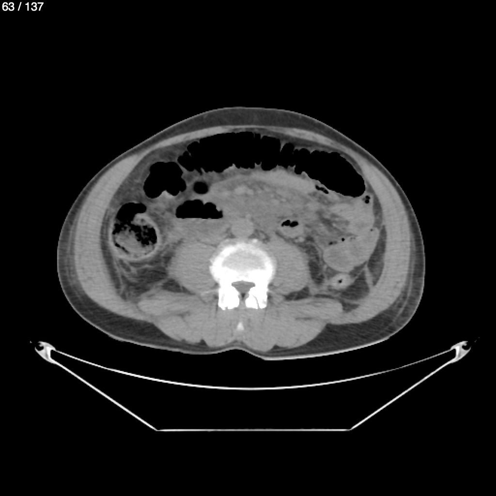
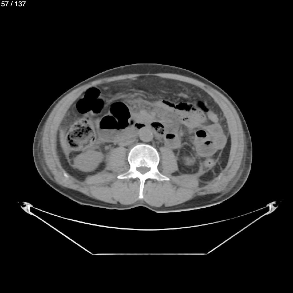
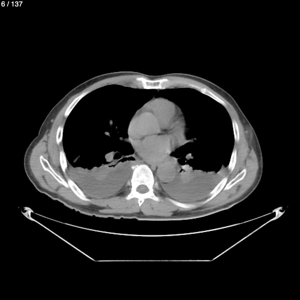
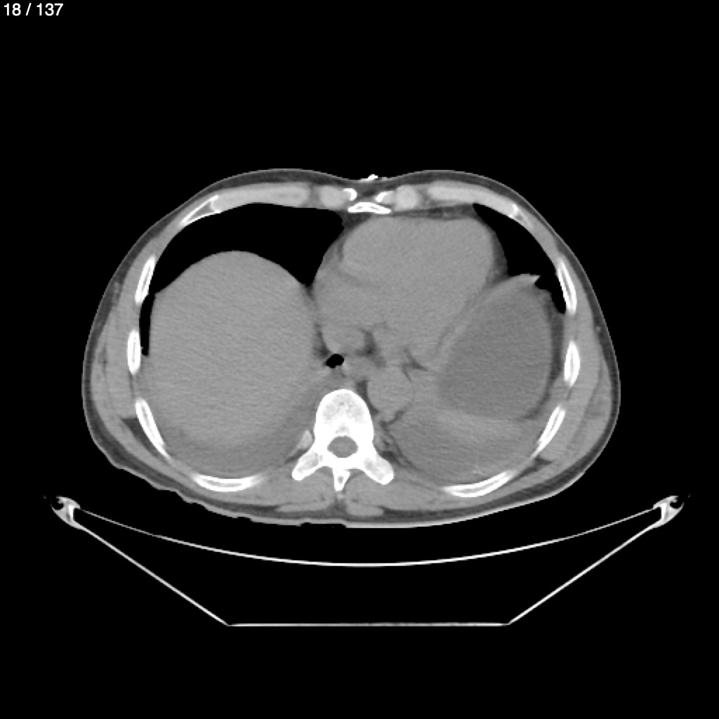
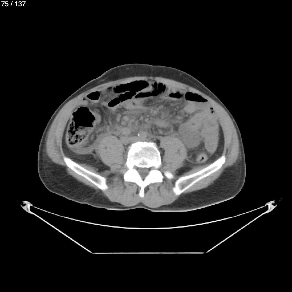
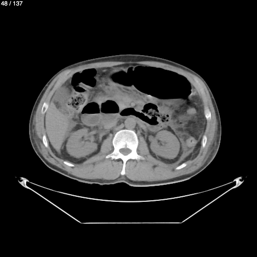
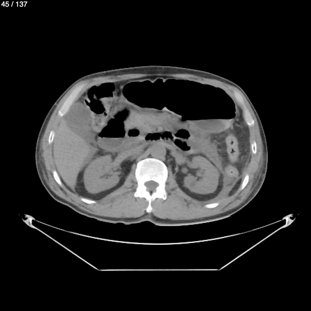
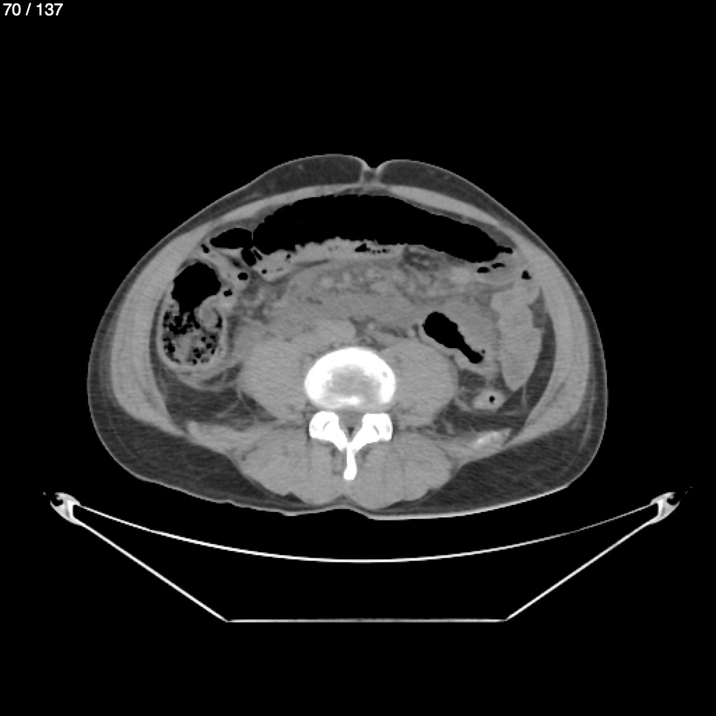
Alonso Victorio Ruiz 62A - T.C Abdomen Syc
Next Series
Show as Sequence