HUIXTLA
ESCUINTLA
AKISHINO
AKISHINO2 USG
ESPECIALIDADES
Home
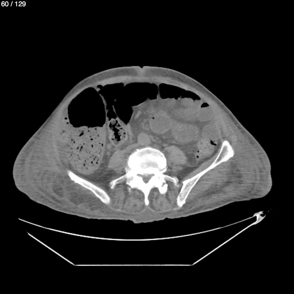
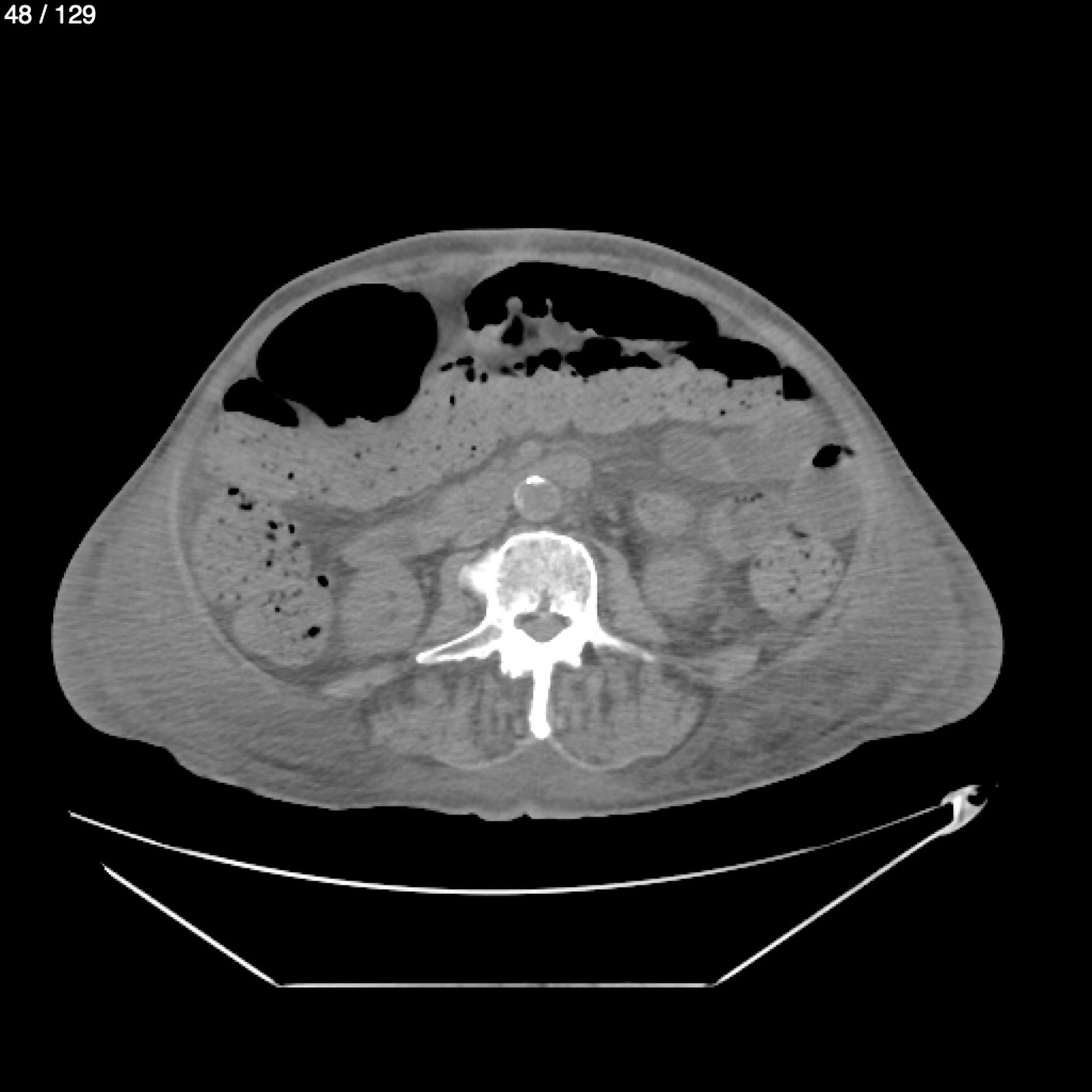
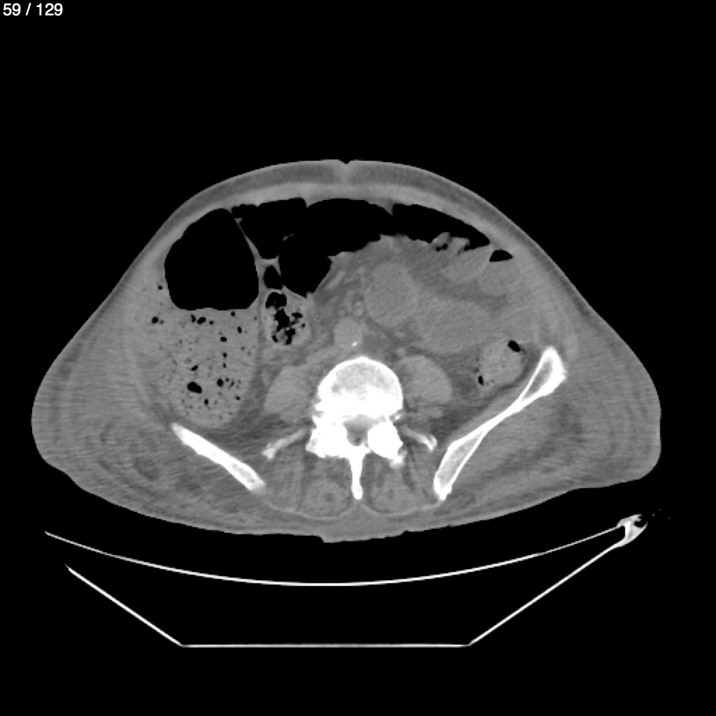
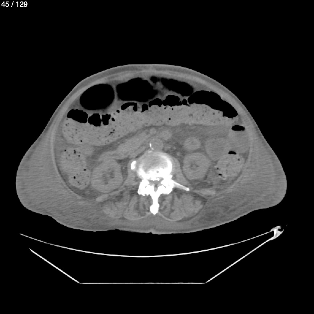
Angel Escobar Ruiz 72A - T.C Abdomen Syc
Next Series
Show as Sequence