HUIXTLA
ESCUINTLA
AKISHINO
AKISHINO2 USG
ESPECIALIDADES
Home
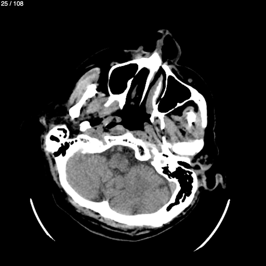
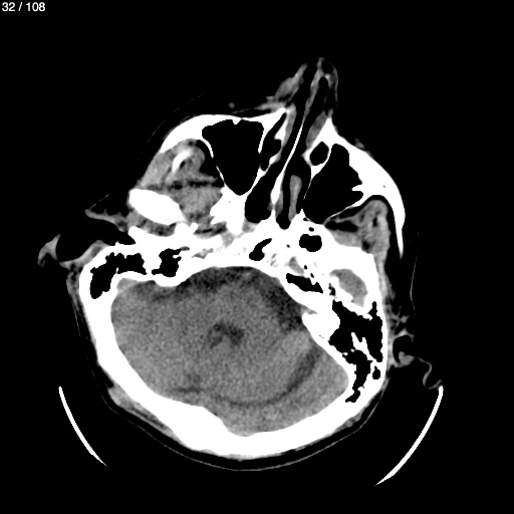
Angel Jose Elorza Alegria 63A - T.C Craneo
Next Series
Show as Sequence