HUIXTLA
ESCUINTLA
AKISHINO
AKISHINO2 USG
ESPECIALIDADES
Home
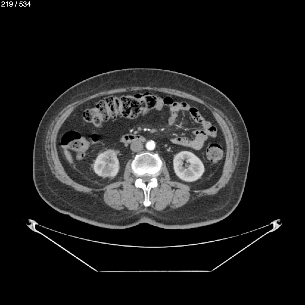
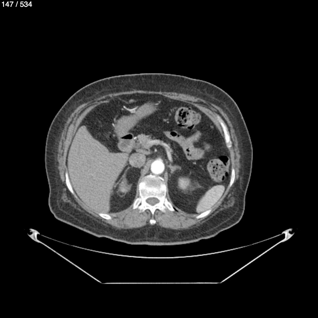
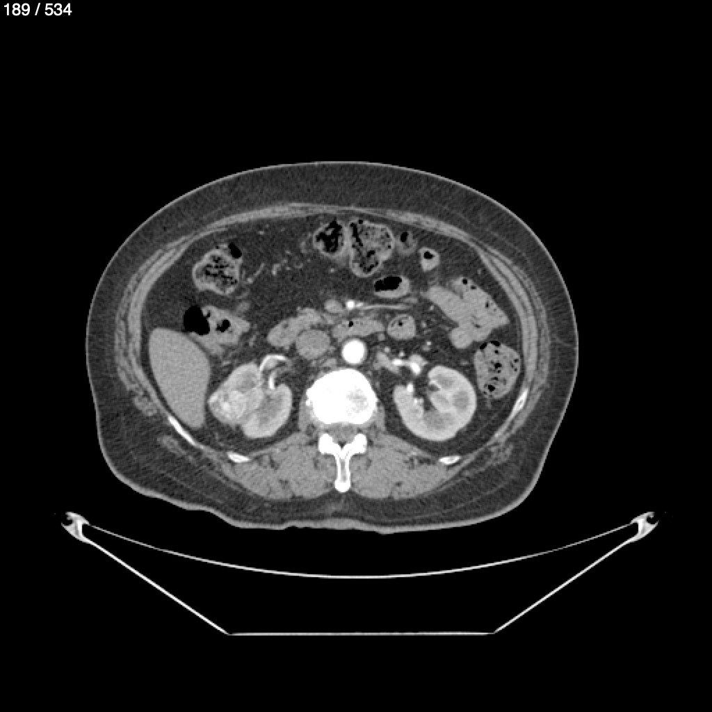
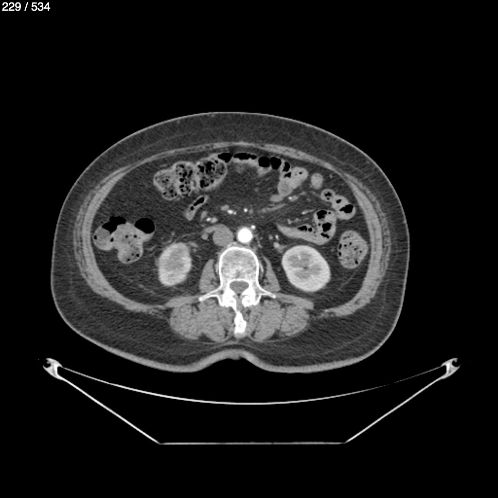
Carmen Lopez Gomez 70A - Urotac
Previous Series
Next Series
Show as Sequence