HUIXTLA
ESCUINTLA
AKISHINO
AKISHINO2 USG
ESPECIALIDADES
Home
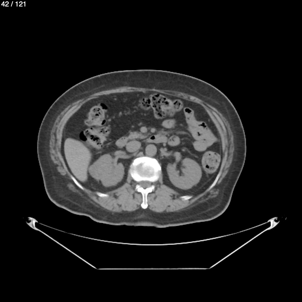
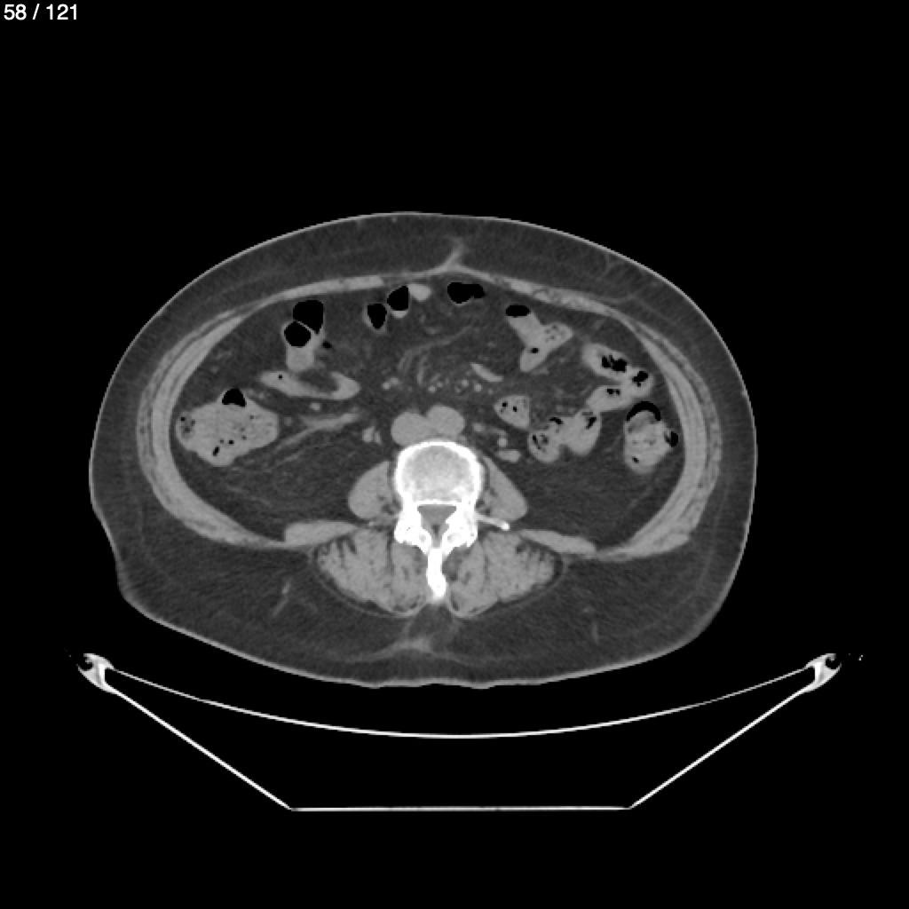
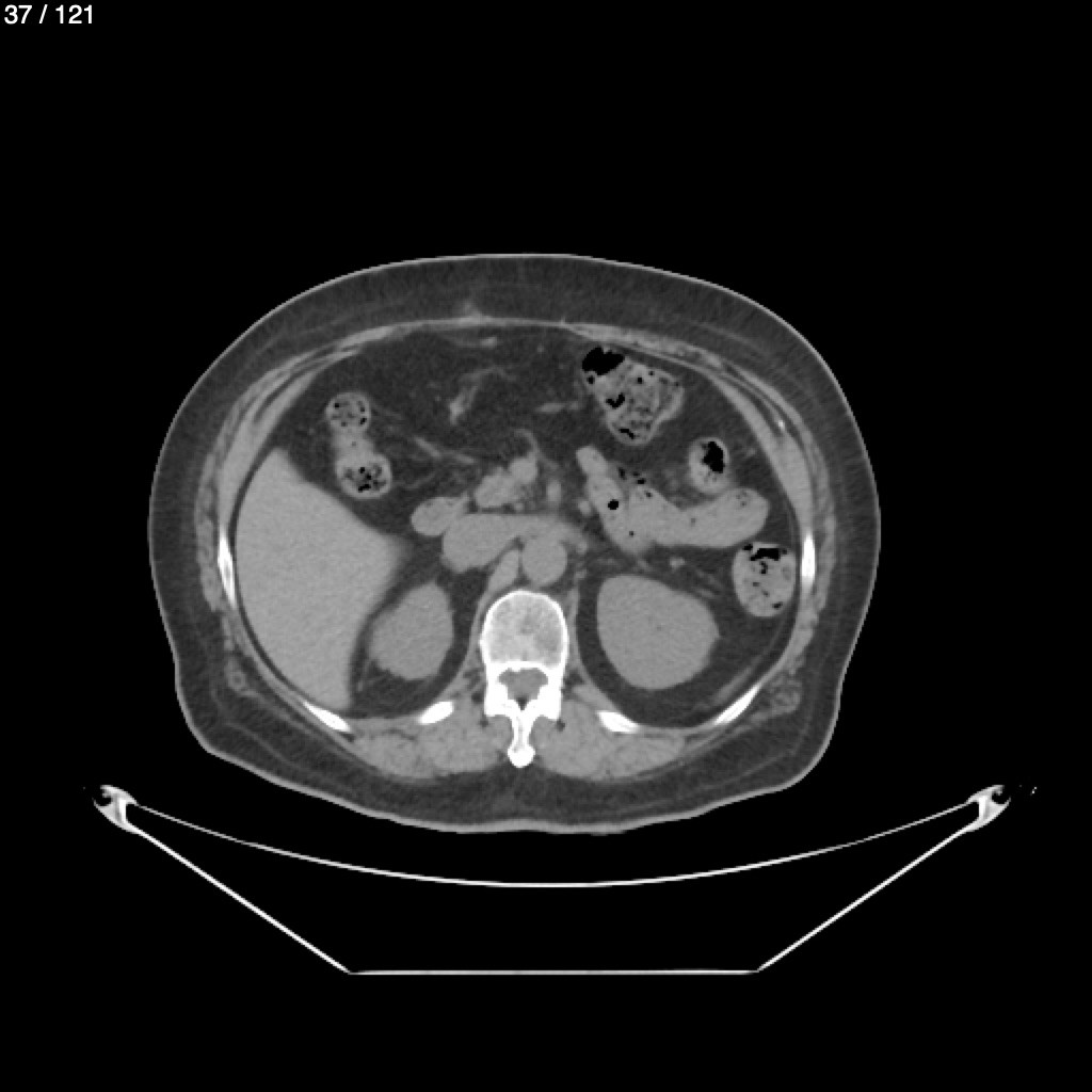
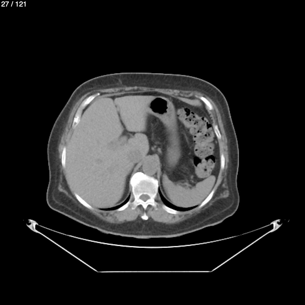
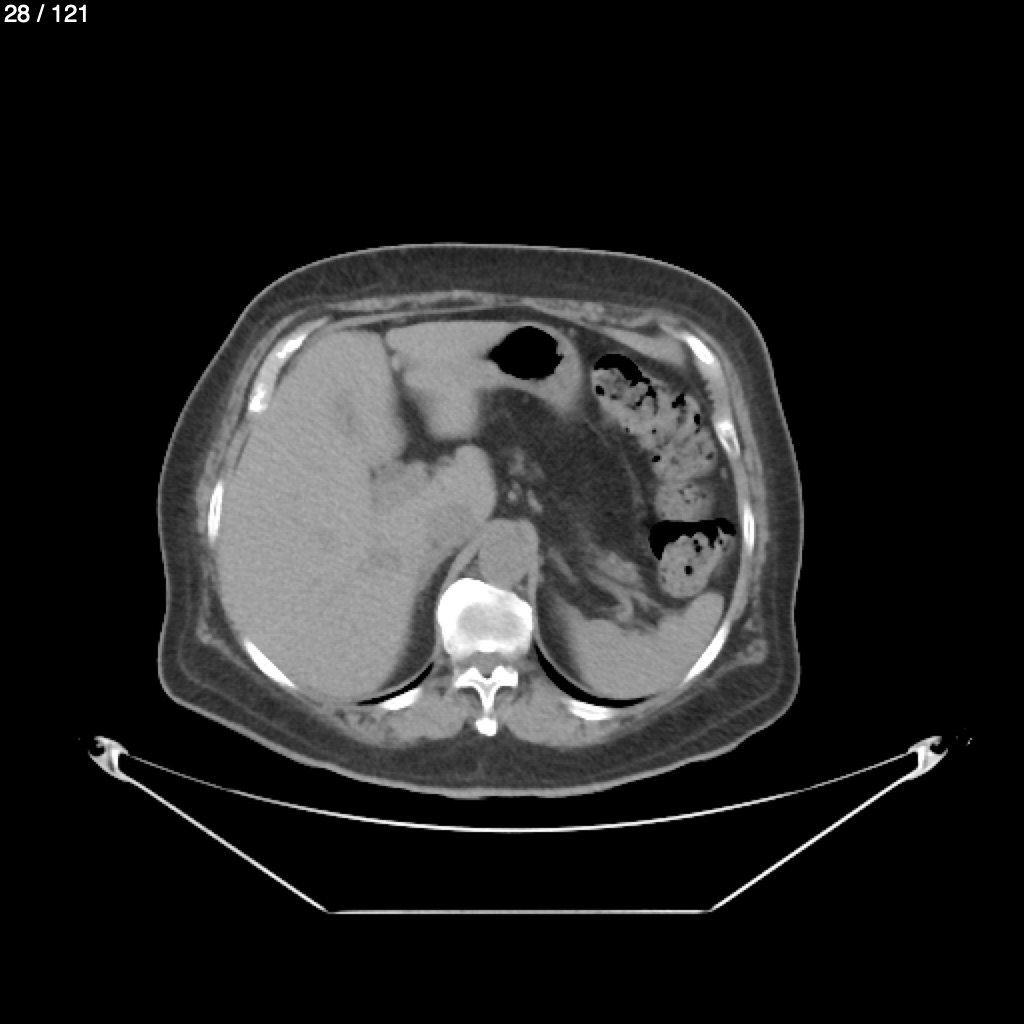
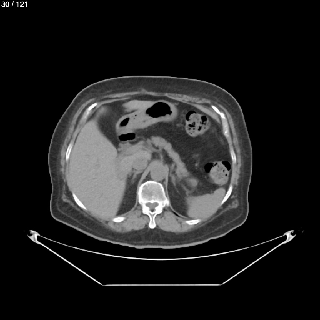
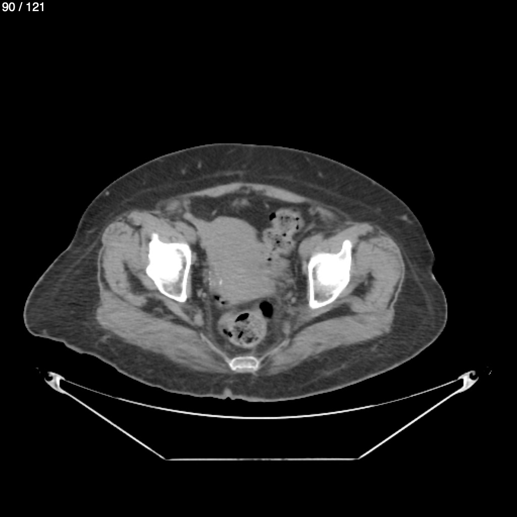
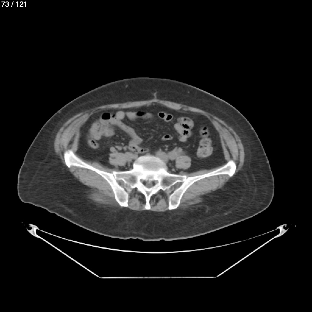
Carmen Lopez Gomez 70A - Urotac
Next Series
Show as Sequence