HUIXTLA
ESCUINTLA
AKISHINO
AKISHINO2 USG
ESPECIALIDADES
Home
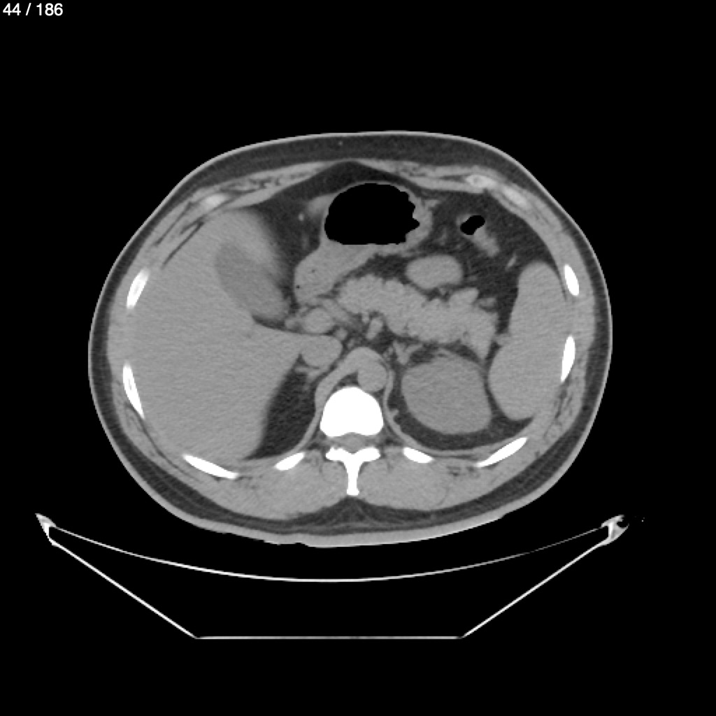
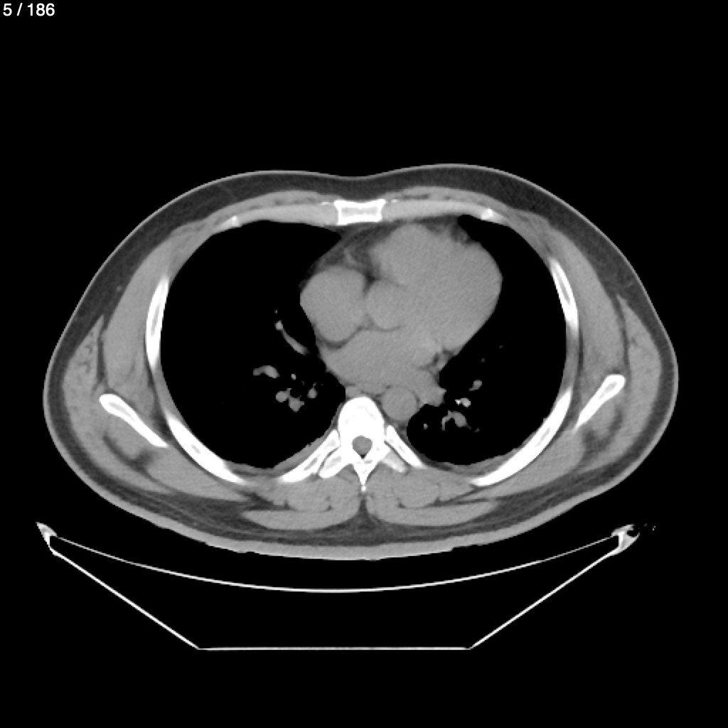
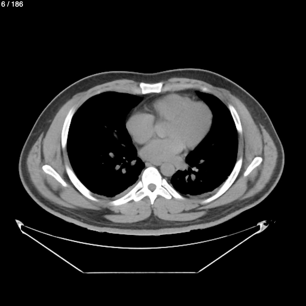
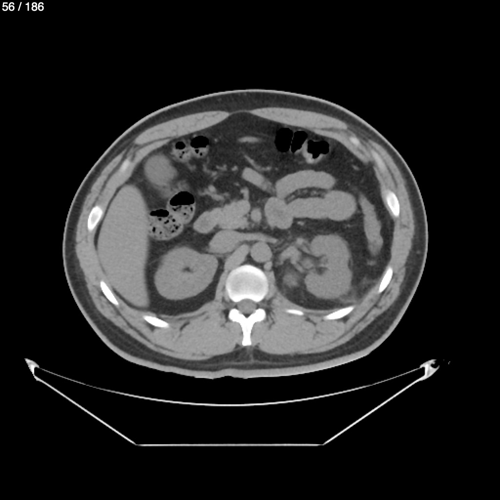
Luis Miguel Mejia Zumarraga 35 - T.C Abdomen Simple
Next Series
Show as Sequence