HUIXTLA
ESCUINTLA
AKISHINO
AKISHINO2 USG
ESPECIALIDADES
Home
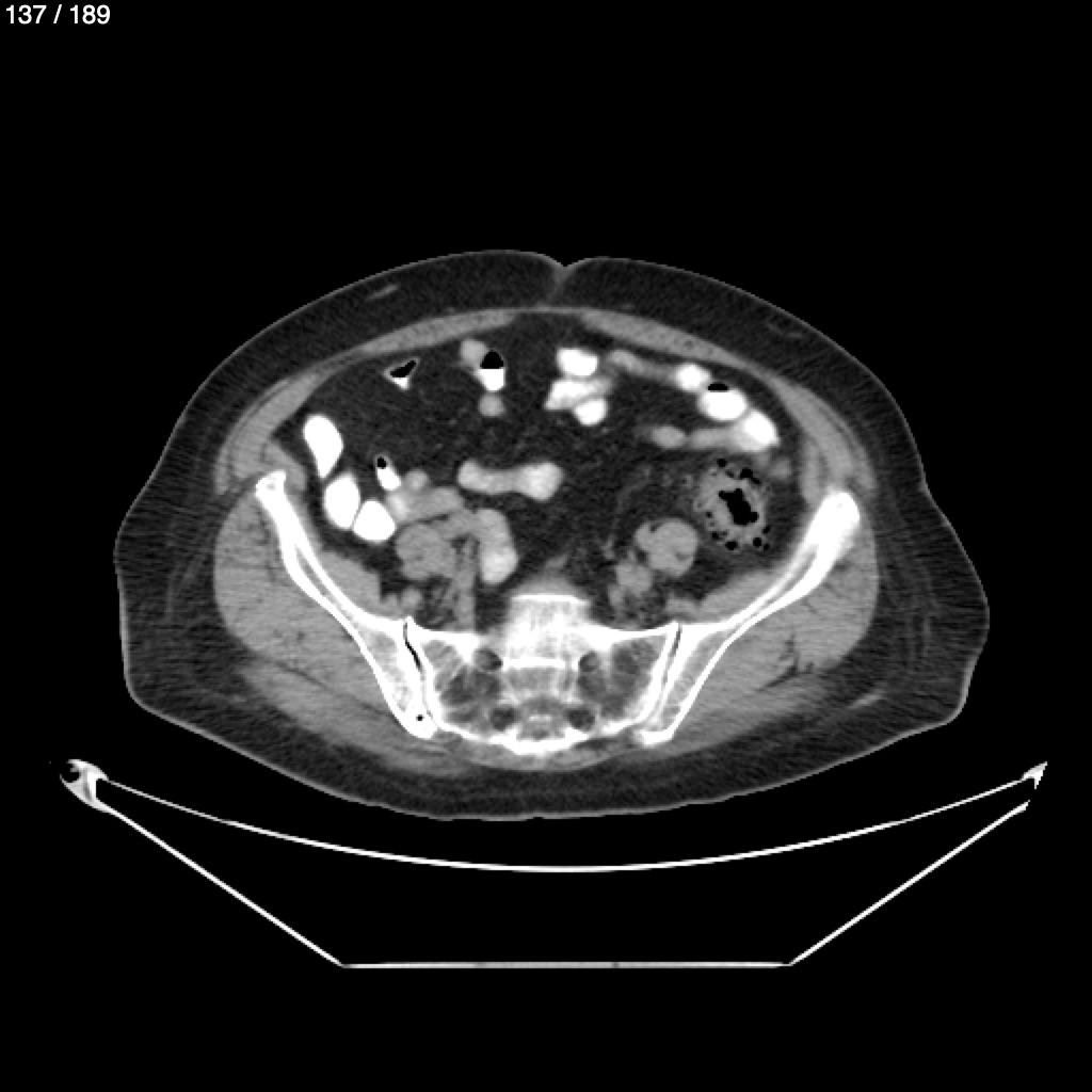
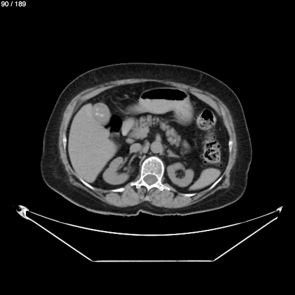
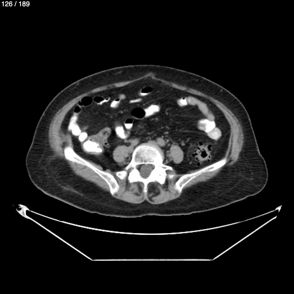
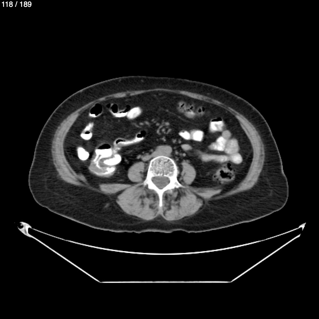
Jesus Perez Escalante 77A - T.C Toracoabdoen Syc
Next Series
Show as Sequence