HUIXTLA
ESCUINTLA
AKISHINO
AKISHINO2 USG
ESPECIALIDADES
Home
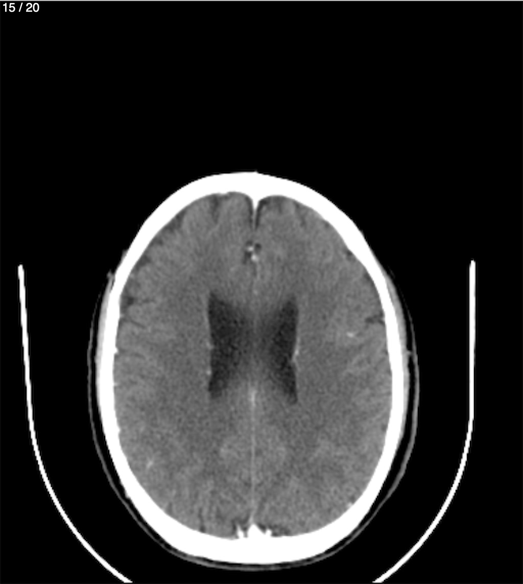
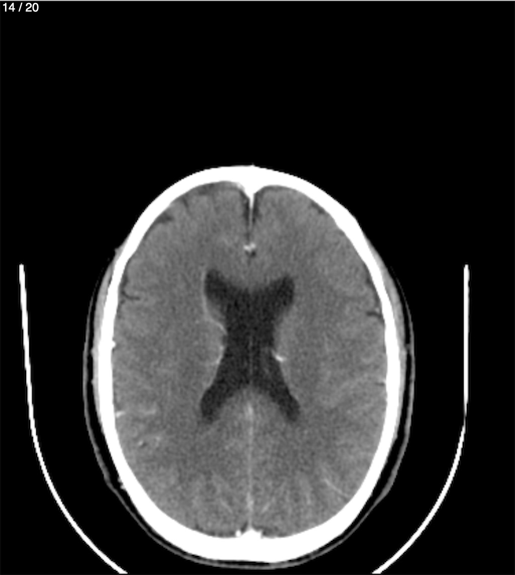
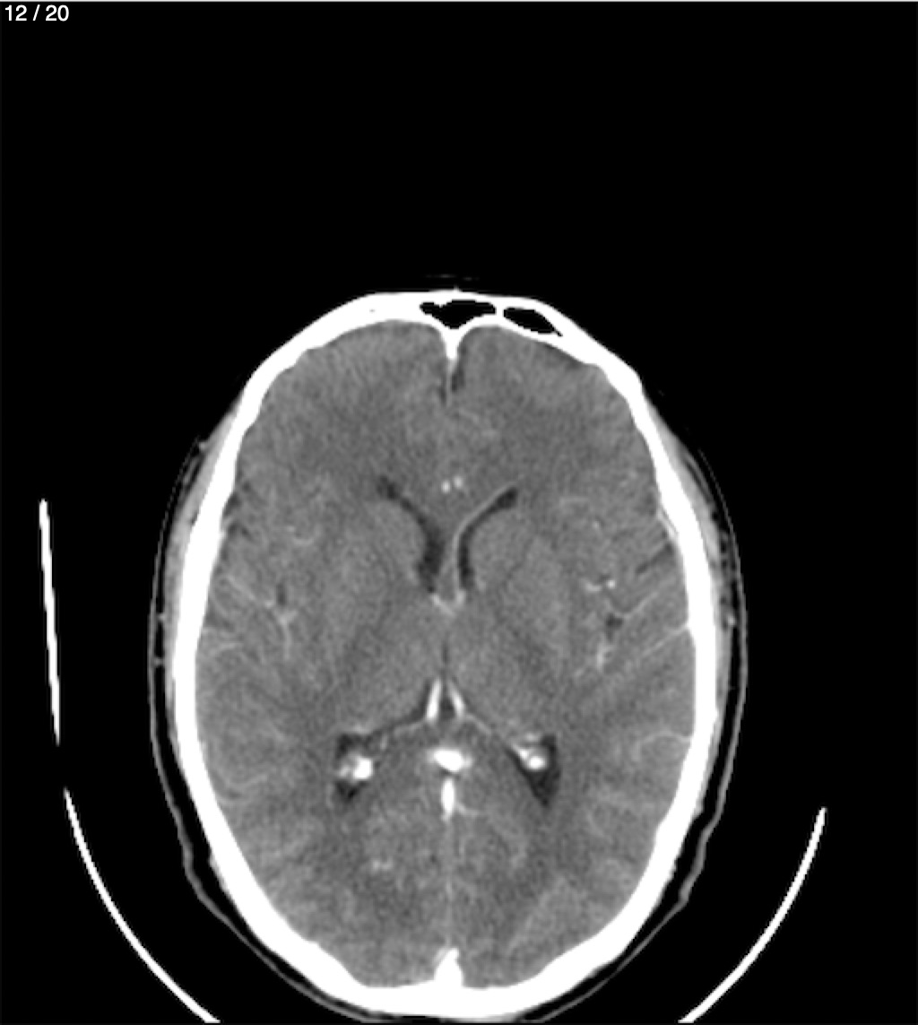
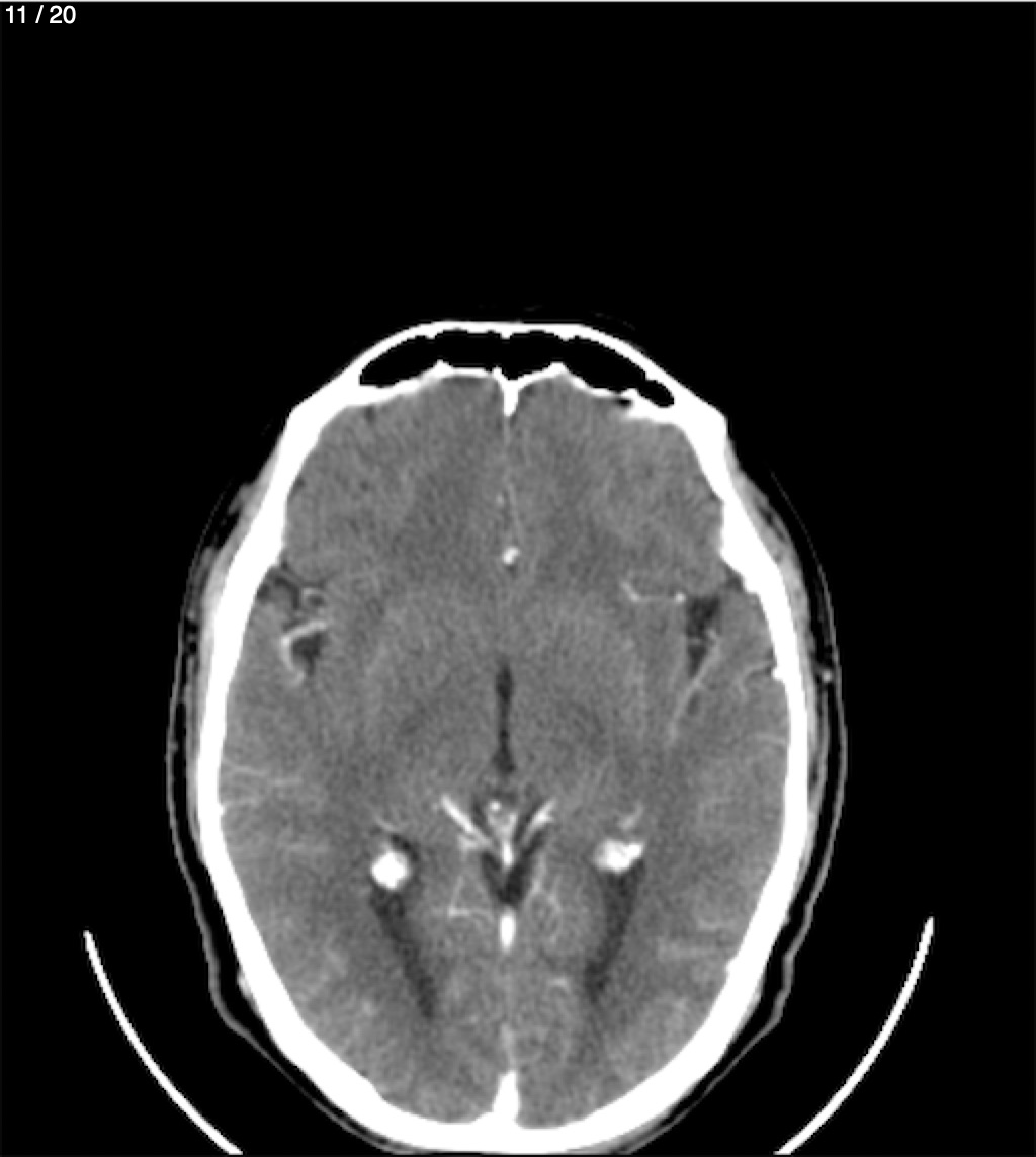
Eduvigez Morales Rodriguez 56A - E+1 Tc. Craneo Syc
Previous Series
Next Series
Show as Sequence