HUIXTLA
ESCUINTLA
AKISHINO
AKISHINO2 USG
ESPECIALIDADES
Home
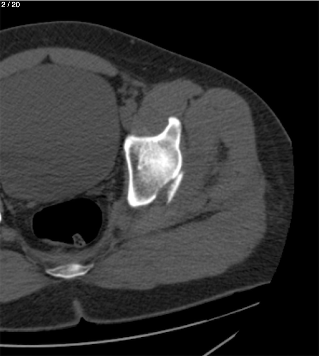
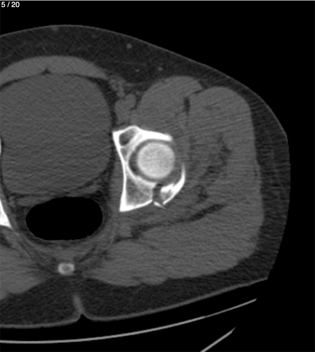
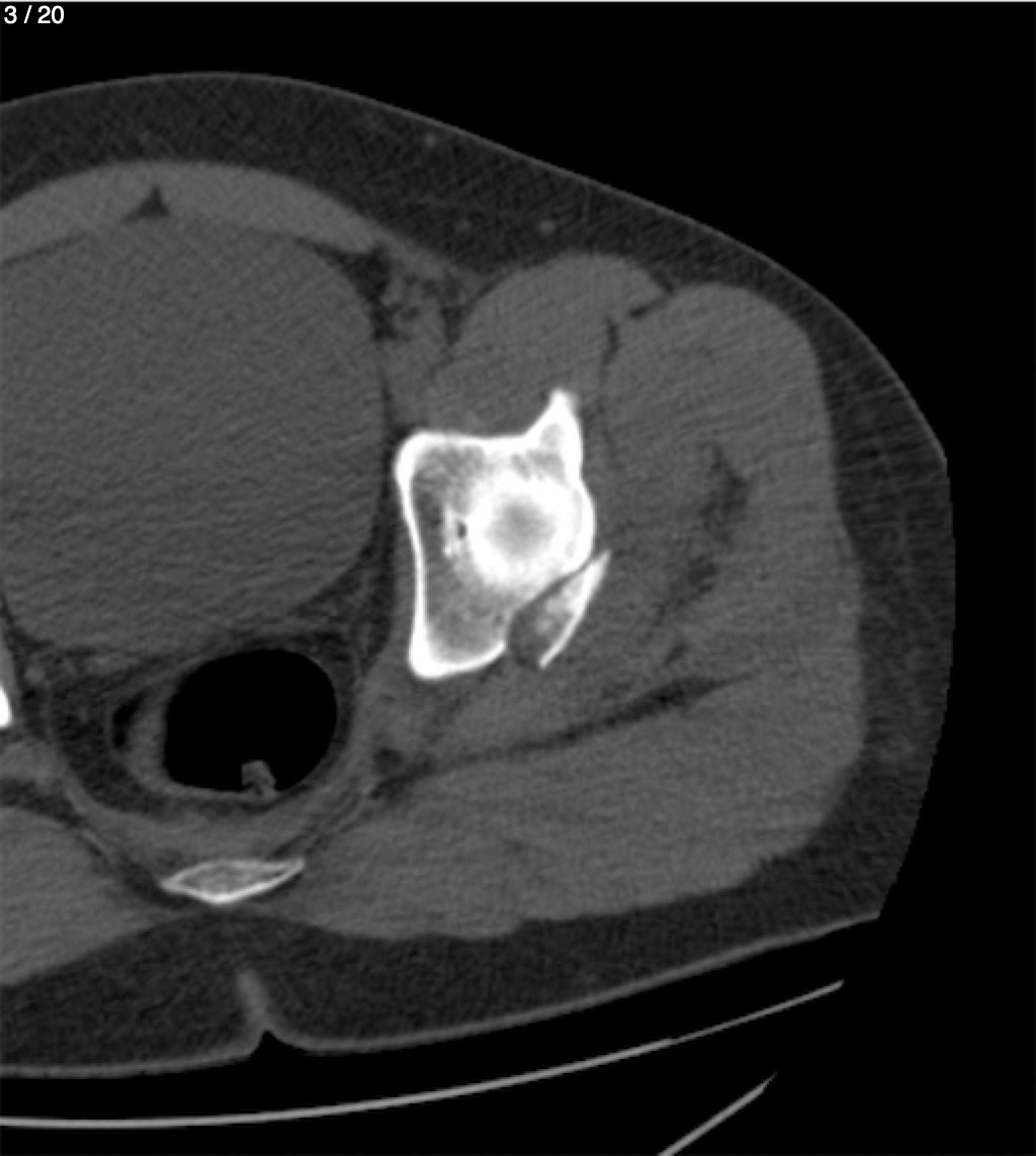
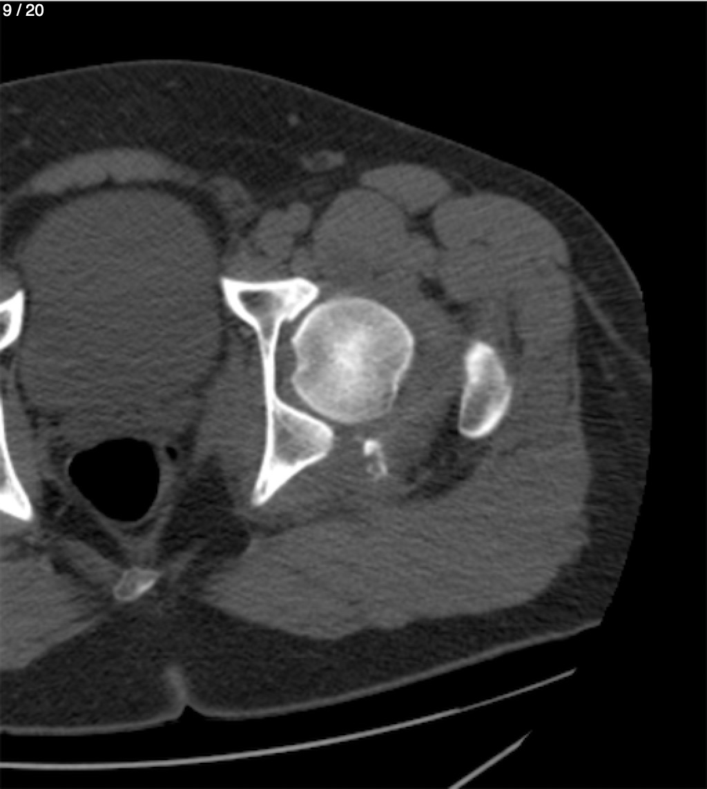
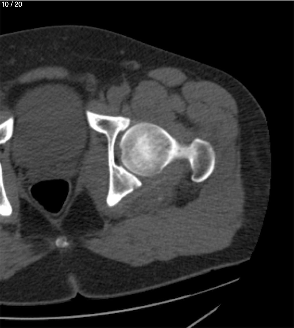
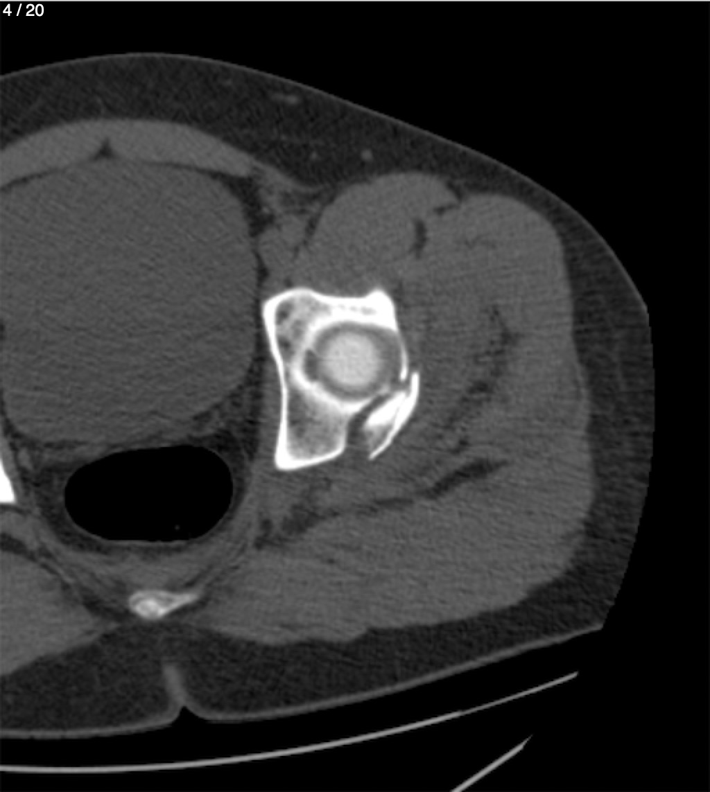
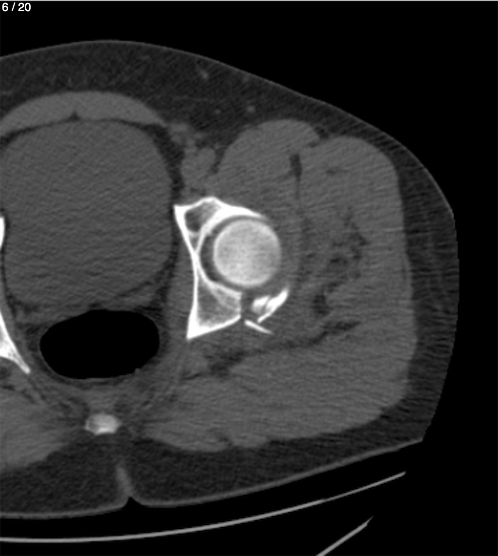
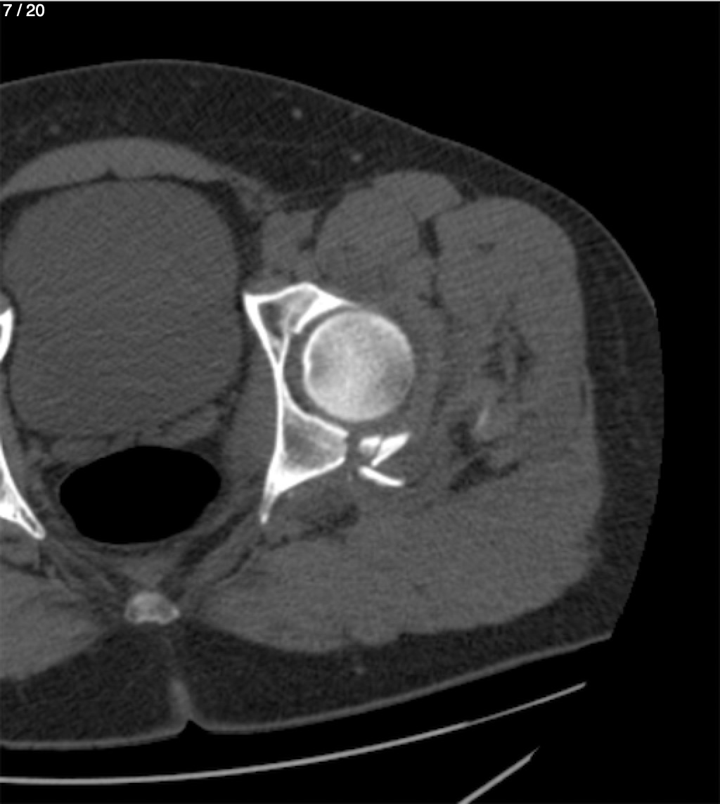
Abedail Raymundo Lopez Morales - Cadera
Previous Series
Next Series
Show as Sequence